아카이브 요약
이 페이지의 역할
하루플란트치과의원의 네이버 블로그 원문을 보존한 아카이브 페이지입니다. 하루플란트치과의원 카테고리의 치과당일치료 하루플란트치과의 혁신적인 하루완성 클리닉 글을 통해 병원의 한국어 정보 제공 방식과 진료 관련 안내 톤을 확인할 수 있습니다.
원문 검증
필요하면 원문 블로그와 병원 프로필로 바로 이동해 문맥을 다시 확인할 수 있습니다.
출처 아카이브 열기아카이브된 블로그 글
하루플란트치과의원 · Naver Blog
안녕하세요. 하루로 시작하는 편안한 일상, 하루플란트치과입니다. 현대 사회에서 시간은 중요한 자원 중 하나입니다. 그러다 보니 바쁜 직장인들과 시간이 부족한 분들은 치료를 위해 여러 번 치과를 방문하는 것이 부담스럽게 느껴질 수 있습니다. 이러한 문제를 해결하기 위해 강남역 하루플란트치과에서는 '치과당일치료'라는...
게시일
2024년 7월 24일
원문 기준으로 확인된 발행일입니다.
카테고리
하루플란트치과의원
원문 블로그 카테고리를 정리해 함께 표시합니다.
이미지 수
21
현재 아카이브에 연결된 이미지 수입니다.
아카이브 요약
하루플란트치과의원의 네이버 블로그 원문을 보존한 아카이브 페이지입니다. 하루플란트치과의원 카테고리의 치과당일치료 하루플란트치과의 혁신적인 하루완성 클리닉 글을 통해 병원의 한국어 정보 제공 방식과 진료 관련 안내 톤을 확인할 수 있습니다.
원문 검증
필요하면 원문 블로그와 병원 프로필로 바로 이동해 문맥을 다시 확인할 수 있습니다.
출처 아카이브 열기
안녕하세요.
하루로 시작하는 편안한 일상,
하루플란트치과입니다.
현대 사회에서 시간은 중요한 자원 중 하나입니다.
그러다 보니 바쁜 직장인들과 시간이 부족한 분들은
치료를 위해 여러 번 치과를 방문하는 것이
부담스럽게 느껴질 수 있습니다.
이러한 문제를 해결하기 위해
강남역 하루플란트치과에서는
'치과당일치료'라는 혁신적인
진료를 제공하고 있습니다.
20년 이상의 노하우와 첨단 기술을 바탕으로 한
하루플란트치과의 하루완성 클리닉은
다양한 치료를 하루 만에 완성할 수 있도록 도와줍니다.
당일 임플란트 수술 후 최종 보철 제작
치과당일치료 하루플란트치과의 혁신적인 하루완성 클리닉
하루플란트치과의 첫 번째 혁신적인
하루완성 클리닉은 당일 임플란트입니다.
일반적으로 임플란트는 여러 번의 방문이 필요하지만,
하루플란트치과에서는 수술 당일 또는
다음 날 최종 보철물까지 완성할 수 있습니다.
모든 임플란트가 당일에 가능한 것은 아니지만,
적합한 경우에 한해 첨단 무절개 전용 임플란트를
통해 빠르고 안전한 수술을 진행합니다.


통증과 출혈을 최소화한 무절개 임플란트를 통해
당일 임플란트 식립을 진행합니다.
정확하고 신속한 치료 계획을 세우기 위해
수술 직후 컴퓨터 촬영을 진행하는데요.
촬영 정보를 즉시 원내 기공소에 전송하여
신속하게 보철물을 제작합니다.


당일에 보철물을 제작하고 장착하여
치과당일치료를 마무리합니다.
당일 완성 하루네이트
치과당일치료 하루플란트치과의 혁신적인 하루완성 클리닉


하루네이트는 바쁜 일상에서도
자신 있는 미소를 완성할 수 있는
하루플란트치과의 당일 라미네이트 치료입니다.
특히 물리적 거리상 여러 번 내원하기 어려운 분
또는 불편한 임시 치아를
피하고 싶은 분께 이상적입니다.
하루네이트의 당일 제작은 전문적인 기술과
첨단 장비를 갖춘 자체 기공소에서 이루어집니다.
숙련된 기공사의 세심한 작업과
지루하게게 발생하는 대기 시간을
최소화하기 위한 배려가 결합되어,
환자에게 최상의 결과를 제공합니다.
당일 완성 하루크라운
치과당일치료 하루플란트치과의 혁신적인 하루완성 클리닉

하루크라운은 기존의 복잡하고 시간이 많이 소요되는
크라운 치료 과정을 간소화하여
당일에 완료할 수 있도록 한 치료 방법입니다.

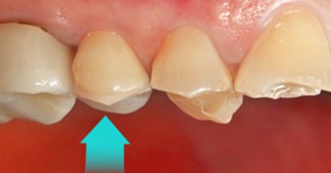
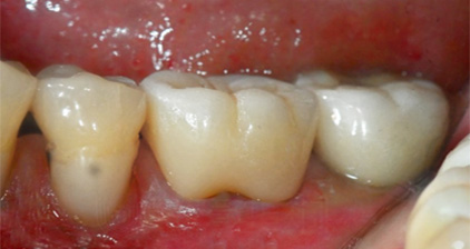
하루크라운 치료 전


하루크라운 치료 후
치료 시작과 동시에 치아를 삭제하고
컴퓨터 촬영을 통해 정확한 정보를 얻습니다.
하루플란트치과 원내 기공소에서
즉시 보철물을 제작하여
임시 치아 과정 없이 1~2시간 이내에
최종 보철물을 장착합니다.
당일 완성 인레이
치과당일치료 하루플란트치과의 혁신적인 하루완성 클리닉
인레이 치료는 충치를 제거한 후
그 자리를 세라믹 충전재로 채우는 방식으로,
하루플란트치과는 당일에 인레이 치료를 완료합니다.
임시 재료 사용으로 인한 치아과민증이나
불편감 등의 문제를 예방하기 위해
하루완성치료 시스템으로 운영되고 있습니다.

당일 완성 지르코니아 크라운
치과당일치료 하루플란트치과의 혁신적인 하루완성 클리닉
지르코니아 크라운은 내구성이 강하고
자연스러운 색감을 가진 보철물로,
미적 감각과 기능성을 동시에 만족시키는데요.
하루플란트치과에서는 최신 기술과 장비를 활용하여
지르코니아 크라운을 내원 당일 제작합니다.
기존에 8시간가량 소요되는 제작 시간을
2시간으로 줄이고 임시 치아 과정 없이
당일에 최종 보철물을 장착하여
바로 일상생활에 복귀할 수 있도록 돕습니다.

당일 완성 앞니 지르코니아 크라운


당일 완성 어금니 지르코니아 크라운



하루플란트치과의 '치과당일치료'는
바쁜 현대인에게 최적의 솔루션을 제공합니다.
시간과 불편함을 줄이면서도
최상의 치료를 받을 수 있는 하루플란트치과의
하루완성 클리닉을 통해 건강하고 아름다운 미소를
빠르게 되찾길 바랍니다.
첨단 기술과 전문적인 의료진이 함께하는
하루플란트치과에서 더욱 편리하고
효율적인 치료를 경험해 보세요.


