아카이브 요약
이 페이지의 역할
하루플란트치과의원의 네이버 블로그 원문을 보존한 아카이브 페이지입니다. 심미보철 센터 카테고리의 치아 사이 틈, 하루네이트로 해결할 수 있습니다 글을 통해 병원의 한국어 정보 제공 방식과 진료 관련 안내 톤을 확인할 수 있습니다.
원문 검증
필요하면 원문 블로그와 병원 프로필로 바로 이동해 문맥을 다시 확인할 수 있습니다.
출처 아카이브 열기아카이브된 블로그 글
하루플란트치과의원 · Naver Blog
안녕하세요. 하루로 시작하는 편안한 일상, 하루플란트치과입니다. 혹시 거울을 볼 때, 치아 사이에 작고 까만 공간을 보신 적 있으신가요? 충치가 생긴 것도 아닌데 치아 사이가 까맣게 보인다면 그냥 지나칠 일이 아닙니다. ‘블랙 트라이앵글’일지도 모르기 때문이죠. 충치가 없더라도 생길...
게시일
2024년 12월 26일
원문 기준으로 확인된 발행일입니다.
카테고리
심미보철 센터
원문 블로그 카테고리를 정리해 함께 표시합니다.
이미지 수
14
현재 아카이브에 연결된 이미지 수입니다.
아카이브 요약
하루플란트치과의원의 네이버 블로그 원문을 보존한 아카이브 페이지입니다. 심미보철 센터 카테고리의 치아 사이 틈, 하루네이트로 해결할 수 있습니다 글을 통해 병원의 한국어 정보 제공 방식과 진료 관련 안내 톤을 확인할 수 있습니다.
원문 검증
필요하면 원문 블로그와 병원 프로필로 바로 이동해 문맥을 다시 확인할 수 있습니다.
출처 아카이브 열기안녕하세요.
하루로 시작하는 편안한 일상, 하루플란트치과입니다.
혹시 거울을 볼 때, 치아 사이에 작고 까만 공간을 보신 적 있으신가요?
충치가 생긴 것도 아닌데 치아 사이가 까맣게 보인다면 그냥 지나칠 일이 아닙니다.
‘블랙 트라이앵글’일지도 모르기 때문이죠.

충치가 없더라도 생길 수 있는 블랙 트라이앵글.
단순히 보기에만 신경 쓰이는 문제일까요?
아니면 치아 건강이 나빠졌다는 신호일까요?
오늘은 블랙 트라이앵글의 원인과 증상, 그리고 사례부터 해결 방안까지 알아보겠습니다.
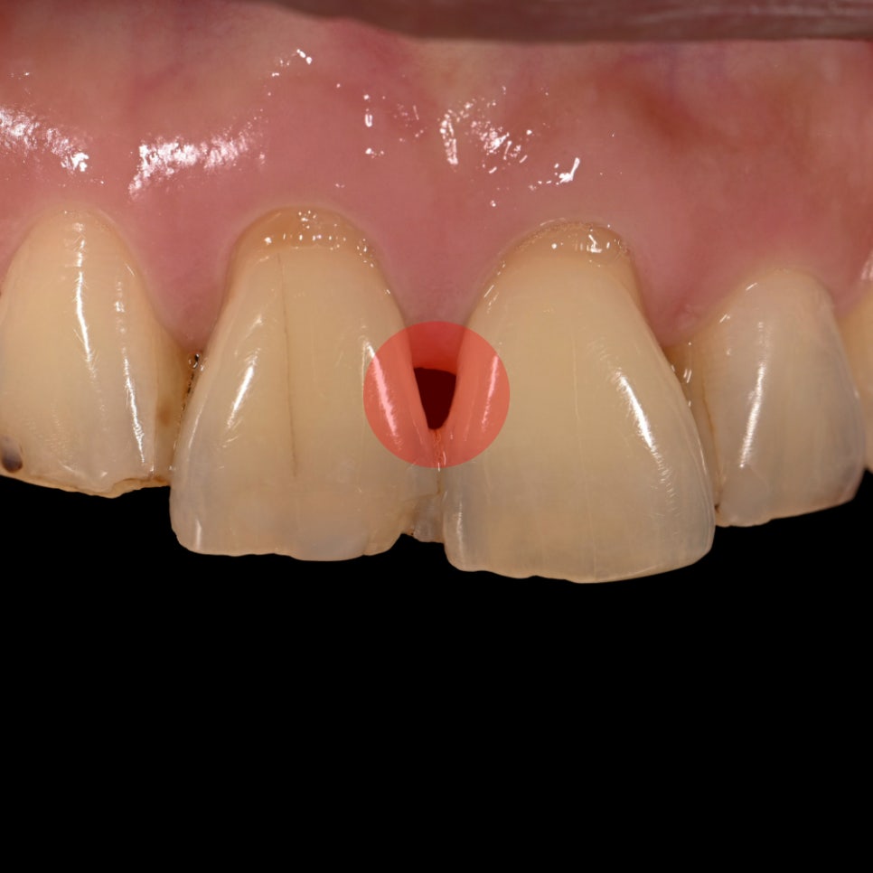
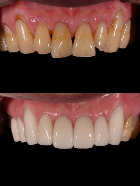
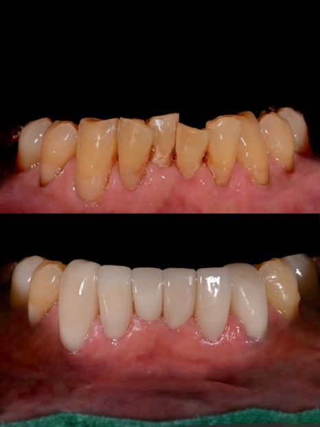
블랙 트라이앵글이란?

블랙 트라이앵글(Black Triangle)은 번역하면 ‘검은 삼각형’이라는 뜻으로, 치아와 치아 사이에 생긴 빈틈을 말합니다.
틈이 검정색 삼각형처럼 벌어지기 때문에 블랙 트라이앵글이라고 하는 것이죠.
치아 사이에 자리 잡고 있던 잇몸이 여러 가지 원인 때문에 줄어들면서 더 이상 틈을 채워주지 못해 생겨납니다.
블랙 트라이앵글의 원인은 무엇인가요?
여러 가지 원인이 있을 수 있지만, 노화에 따른 변화가 가장 큰 이유로 꼽힙니다.
잇몸뼈가 퇴축되거나 잇몸의 탄력이 줄면서 치아 사이에 틈이 생기게 되는 것인데요.
보통 40대를 기점으로 서서히 변화가 생기죠.
그 외에도 잘못된 습관으로 잇몸이 손상되거나 교정 부작용, 잇몸 질환 등으로 발생할 수 있습니다.
블랙 트라이앵글이 생길 경우
어떤 문제가 생기나요?
치아가 벌어져 까만 공간이 생기면 심미적으로 좋지 않은 이미지를 줄 수 있습니다.
블랙 트라이앵글이 심할 경우 말하거나 웃는 상황이 불편하게 느껴질 수 있으며, 잇몸이 내려앉아 치아가 길어 보이기 때문에 상대적으로 더 나이 든 인상을 주기도 하죠.
하지만 가장 큰 문제는 구강 건강인데요.
틈 사이에 음식물 찌꺼기와 치석 등이 쉽게 쌓여 충치나 잇몸 질환의 위험이 높아지게 됩니다.

치석이 자리 잡은 틈은 점점 벌어지면서 잇몸을 밀어내고, 서서 주저앉은 잇몸은 치석을 제거해도 다시 차오르는 경우가 드물죠.
결과적으로 이는 블랙 트라이앵글을 심화시키고, 다시 구강 건강이 악화되는 악순환으로 이어집니다.
무엇보다 블랙 트라이앵글이 보인다는 것은 치아 뿌리가 드러나 감염에 취약한 상태임을 의미하며, 이는 단순히 염증이나 구취 발생을 넘어서 더욱 심각한 문제를 초래할 수 있다는 뜻이기도 합니다.
그렇다면 블랙 트라이앵글을 치료할 수 있는 방법이 있을까요?

네, 물론입니다.
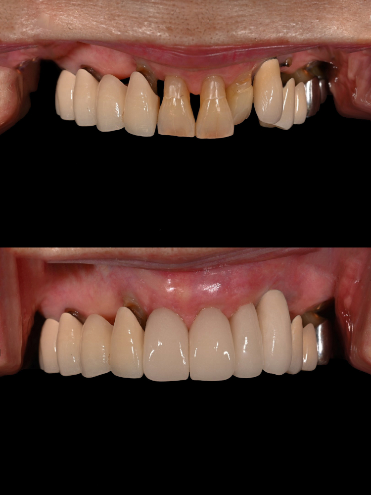
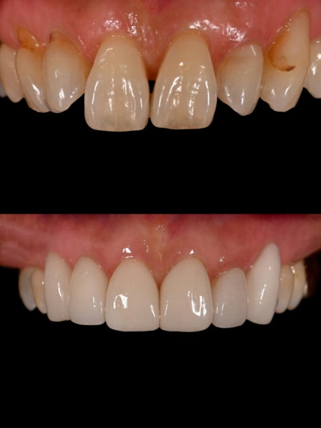
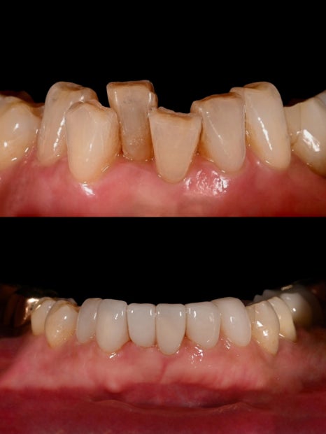
하루네이트는 블랙 트라이앵글로 인해손상된 심미성을 회복시킬 뿐만 아니라, 구강 건강도 개선할 수 있는 효과적인 해결책이죠.
블랙 트라이앵글 치료에 하루네이트가
적합한 이유는 무엇일까요?
블랙 트라이앵글의 진행 정도나 구강 구조에 따라 치료해야 할 치아와 잇몸 구조는 각기 다를 수 있는데요.
하루네이트는 이러한 개인차를 고려하여, 맞춤형 설계를 통해 최적화된 치아 디자인을 제공합니다.


시술 전, 치아와 잇몸 상태를 정밀하게 분석함으로써
훼손된 심미성을 자연스럽게 회복할 수 있죠.
또한, 핑크 포세린 치료를 통해 줄어든 잇몸까지 복원하여 치아와의 연결을 조화롭게 구현할 수 있습니다.


무엇보다 하루네이트는 치아와 잇몸 경계에 빈틈없이 밀착되도록 설계되어, 치료 후 음식물 찌꺼기나 치석이 쌓이는 것을 효과적으로 방지하는데요.
이로 인해 세균 침입과 염증 발생을 차단하여 블랙 트라이앵글의 근본 원인을 원천 봉쇄할 수 있죠.


정교하게 설계된 하루네이트는 치아와 잇몸 간의 결합력이 우수해 오랜 기간 사용할 수 있을뿐더러, 마치 자연치아처럼 오랜 기간 안정적으로 사용할 수 있습니다.


블랙 트라이앵글을 예방하기 위해선 평소 양치질을 꼼꼼하게 하고, 흡연이나 음주 등을 피해야 합니다.
꾸준한 스케일링을 통해 치석을 제거하는 것 역시 잇몸의 탄력을 지킬 수 있는 방법인데요.
하지만 앞서 말씀드렸듯 블랙 트라이앵글의 주요 원인은 노화로, 나이가 들면서 어쩔 수 없이 발생하기도 하죠.
자연스러운 현상이긴 하지만, 관리를 소홀히 할 경우
건강에도 영향을 미칠 수 있으므로 주기적인 내원을 통해 구강 상태를 점검하는 것이 좋습니다.

블랙 트라이앵글로 인해 웃는 것이 부담스럽거나 불편하셨다면, 하루네이트로 자신감 있는 미소를 되찾아 보시는 건 어떨까요?
모든 진료 과정에서 환자의 목소리에 귀 기울이고 최상의 결과를 제공하기 위해 최선을 다하고 있습니다.
하루네이트에 대해 궁금하신 사항이 있다면 언제든지 문의 부탁드립니다.
섬세하고 정밀한 치료로 당신의 하루를 더욱 밝고
미소 가득한 순간으로 만들어드리겠습니다.
