아카이브 요약
이 페이지의 역할
2D치과의원의 네이버 블로그 원문을 보존한 아카이브 페이지입니다. 치아꿀팁 카테고리의 투디치과의 치아미백!! 글을 통해 병원의 한국어 정보 제공 방식과 진료 관련 안내 톤을 확인할 수 있습니다.
원문 검증
필요하면 원문 블로그와 병원 프로필로 바로 이동해 문맥을 다시 확인할 수 있습니다.
출처 아카이브 열기아카이브된 블로그 글
치과의원 · Naver Blog
안녕하세요 2D치과 입니다 ♡ 단순한 치아교정이 아닌 심미적인 교정 으로! 교정을 고민중이신 분들께 개별적으로 가장 효과적인 교정장치와 방법을 제안하고 최고의 결과를 만들어내는 것이 저희 2D치과의 목표 입니다!!! 치아 미백이란? 변색된 치아를 하얗게 만들어 주는 시술입니다. 치아가 변색되...
게시일
2016년 8월 24일
원문 기준으로 확인된 발행일입니다.
카테고리
치아꿀팁
원문 블로그 카테고리를 정리해 함께 표시합니다.
이미지 수
6
현재 아카이브에 연결된 이미지 수입니다.
아카이브 요약
2D치과의원의 네이버 블로그 원문을 보존한 아카이브 페이지입니다. 치아꿀팁 카테고리의 투디치과의 치아미백!! 글을 통해 병원의 한국어 정보 제공 방식과 진료 관련 안내 톤을 확인할 수 있습니다.
원문 검증
필요하면 원문 블로그와 병원 프로필로 바로 이동해 문맥을 다시 확인할 수 있습니다.
출처 아카이브 열기안녕하세요 2D치과 입니다 ♡
단순한 치아교정이 아닌 심미적인 교정 으로!
교정을 고민중이신 분들께 개별적으로 가장 효과적인 교정장치와 방법을 제안하고
최고의 결과를 만들어내는 것이 저희 2D치과의 목표 입니다!!!
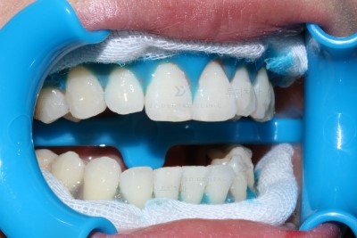
치아 미백이란?
변색된 치아를 하얗게 만들어 주는 시술입니다.
치아가 변색되는 요인은?
선천적인 요인에 의한 치아변색
노화에 의한 치아변색
커피,담배,유색소 음식의 섭취로 인한 치아변색
오늘은 치아 미백에 대해 알아볼까요?
미백 전 준비사항
검진 후 스켈링을 진행합니다.
미백제가 잘 침투할 수 있도록
치석이나 플라그, 착색을 잘 제거합니다.
그리고
미백 전 치아색을 촬영하고 Guide로 기록합니다.
20대 여성분이시고, shade가 많이 어두운 편이 아니여서
눈에 띄게 효과를 못보지 않을까 걱정했는데
결과가 좋아 환자분도 저희도 흡족해 했던 case입니다.
50대 여성분이시고, shade가 회색빛이 돌며 많이 어두운편이였고
전반적으로 cervical abrasion이 심해 조심스럽게 진행한 case입니다.
미백 시술과정
Air를 불어 치면을 건조합니다.

1mm두께로 도포한 후 광중합기로 경화합니다.




BeauTis Light 15분 광조사합니다.
미백제 제거 후 재도포 하고 다시 광조사합니다.
동일방법으로 3번 반복시술.
완료 후 미백제, Dam 제거 후 입안세척합니다.
Shade Guide 로 치아 색상을 측정합니다.
미백 후 주의사항
치아 미백 후 1~2일 정도는 일시적으로 시린 증상이 발생할 수 있습니다.
최소 2시간은 치아 표면에 아무것도 닿지 않는 것이 좋습니다.
커피, 홍차, 녹차, 콜라, 와인, 카레 등의 색소가 강한 음식들과
흡연은 삼가주세요.
백색 반점이 나타날 수 있습니다.
24시간 상담가능합니다^^
언제든 어디서든 물어보세요
♥
