아카이브 요약
이 페이지의 역할
2D치과의원의 네이버 블로그 원문을 보존한 아카이브 페이지입니다. 치아교정 카테고리의 콤비교정, 합리적인 비용으로 돌출입 개선하자! 강남 투디치과 글을 통해 병원의 한국어 정보 제공 방식과 진료 관련 안내 톤을 확인할 수 있습니다.
원문 검증
필요하면 원문 블로그와 병원 프로필로 바로 이동해 문맥을 다시 확인할 수 있습니다.
출처 아카이브 열기아카이브된 블로그 글
치과의원 · Naver Blog
콤비교정, 합리적인 비용으로 돌출입 개선하자! 강남 투디치과 : 네이버 블로그 NAVER 블로그 ✅ 앞니에 대한 장인정신. Since 2016. 2D치과 ✅ 블로그 검색 이 블로그에서 검색 공감 0 칭찬 0 감사 0 웃김 0 놀람 0 슬픔 0 span.u_likeit_button) 공감 face 3개 (전체)) --> 공...
게시일
2017년 5월 8일
원문 기준으로 확인된 발행일입니다.
카테고리
치아교정
원문 블로그 카테고리를 정리해 함께 표시합니다.
이미지 수
10
현재 아카이브에 연결된 이미지 수입니다.
아카이브 요약
2D치과의원의 네이버 블로그 원문을 보존한 아카이브 페이지입니다. 치아교정 카테고리의 콤비교정, 합리적인 비용으로 돌출입 개선하자! 강남 투디치과 글을 통해 병원의 한국어 정보 제공 방식과 진료 관련 안내 톤을 확인할 수 있습니다.
원문 검증
필요하면 원문 블로그와 병원 프로필로 바로 이동해 문맥을 다시 확인할 수 있습니다.
출처 아카이브 열기콤비교정, 합리적인 비용으로 돌출입 개선하자! 강남 투디치과 : 네이버 블로그
NAVER 블로그
✅ 앞니에 대한 장인정신. Since 2016. 2D치과 ✅
블로그 검색
이 블로그에서 검색
공감 0
칭찬 0
감사 0
웃김 0
놀람 0
슬픔 0
span.u_likeit_button) 공감 face 3개 (전체)) -->
공감 0
공감 0
칭찬 0
감사 0
웃김 0
놀람 0
슬픔 0
첫 댓글을 남겨보세요
공유하기
블로그 주소 변경 불가 안내
블로그 마켓 판매자의 이력 관리를 위해
블로그 주소 변경이 불가합니다.
자세히 보기 레이어 닫기
블로그 아이디가 필요해요!
블로그에서 진짜 나를 기록하고
다양한 이웃과 소식을 만나보세요. 지금 시작해볼까요?
블로그 아이디 만들기 블로그 아이디 만들기 레이어 닫기
blog.naver.com/
입력 내용 삭제
설정한 아이디는 나중에 변경할 수 없으니 신중하게 입력해주세요.
변경 전 공유된 블로그/글/클립 링크는 연결이 끊길 수 있습니다.
네이버 아이디 또는 개인정보가 포함된 문자 사용은 피해주세요.
블로그 도움말에서 아이디 변경 유의사항을 확인해보세요.
나중에 할게요
3개월간 새로운 주소로 연결을 지원하며
이후 언제든 연결이 끊길 수 있습니다.
다시 변경이 불가능합니다.
변경하시겠습니까?
취소 확인
블로그 아이디는 한번 정하면
다시 변경이 불가능합니다.
이 아이디로 블로그를 만들까요?
취소 확인
환영합니다!
블로그 아이디가 만들어졌어요.
blog.naver.com/
바로 시작하기 추가정보 입력하기
나중에 언제든지 변경할 수 있어요.
프로필 이미지 설정
지우기
사진 업로드
취소 적용
별명
블로그명
블로그 주제 주제 없음
엔터테인먼트·예술
문학·책
영화
미술·디자인
공연·전시
음악
드라마
스타·연예인
만화·애니
방송
생활·노하우·쇼핑
일상·생각
육아·결혼
반려동물
좋은글·이미지
패션·미용
인테리어·DIY
요리·레시피
상품리뷰
원예·재배
취미·여가·여행
게임
스포츠
사진
자동차
취미
국내여행
세계여행
맛집
지식·동향
IT·컴퓨터
사회·정치
건강·의학
비즈니스·경제
어학·외국어
교육·학문
주제없음
주제 선택 보류
나중에 할게요
기본정보 입력 주제 선택 이웃 맺기
뒤로가기 버튼
선택한 주제의 글과 이웃을 추천받을 수 있어요.
나중에 할게요
기본정보 입력 주제 선택 이웃 맺기
뒤로가기 버튼
이웃을 맺으면 이웃새글에서 글을 받아볼 수 있어요.
블로그 시작하기
기본정보 입력 주제 선택 이웃 맺기
뒤로가기 버튼
확인
확인
이웃추가 이웃
메뉴 바로가기 본문 바로가기
내 블로그
이웃블로그
블로그 홈
로그인
검색어 켜기
-->
| 블로그 2D 리얼후기 투디_정보 2D 소식 치아교정 | 안부 |
| ✅ 앞니에 대한 장인정신. Since 2016. 2D치과 ✅ |
글쓰기
가벼운 글쓰기툴 퀵에디터가 오픈했어요!
| | | |
| 공지글 글 제목 | 작성일 | |
|---|---|---|
| (19) 공지 [투디치과] 블랙필름(비스포크) 치료의 다양한 사례 | 2021. 9. 24. | |
| 공지 [라미네이트 투디치과] 브레이브걸스 유나&민영님 방문 | 2021. 7. 30. | |
| 공지 2D치과 Brand 소개 | 2017. 8. 31. |
| | | |
| | | |
| | 치아교정 152개의 글 치아교정목록열기 | |
| | | |
| | | |

치아교정
콤비교정, 합리적인 비용으로 돌출입 개선하자! 강남 투디치과
2D치과
・ 2017. 5. 8. 13:51
URL 복사
이웃추가
본문 기타 기능
공유하기
신고하기
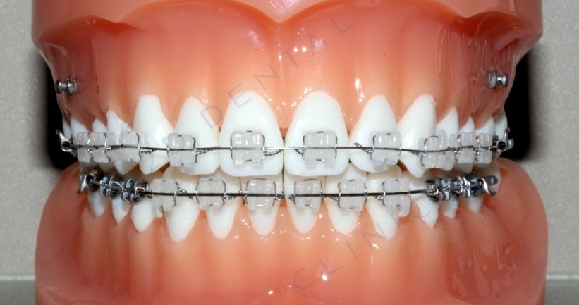
콤비교정, 합리적인 비용으로 돌출입 개선하자! 강남 투디치과

안녕하세요~ 일요일에도 교정하는 강남 투디치과입니다 :D
심한 돌출입이나 부정교합으로 앞니 부분교정만으로 치료가 힘든 경우, 전체적으로 치아를 가지런히 배열하고 싶으신 경우 전체교정이 효과적인데요~

심미성이 떨어지는 일반 세라믹 전체교정
말하거나 웃을 때 보이는 교정장치가 외관상 심미적이지 않다는 이유로 설측 전체교정을 고려하시는 분들이 많지만 상대적으로 비싼 가격 때문에 부담스럽다고 느끼시는 분들이 많아요.
하지만!! 상대적으로 티가 많이 나는 상악에는 설측교정, 하악에는 순측교정을 병행하는 콤비교정으로 비용을 절감하실 수 있다는 점!
-->
[교정상식] 설측교정,투명교정,콤비교정 장치종류 및 장단점!
안녕하세요 투디치과 입니다 ♡ 단순한 치아교정이 아닌 심미적인 교정 으로! 교정을 고민중이신 분들께 개...
blog.naver.com
본문으로 이동 -->

그렇다면 자세히 알아볼까요?
콤비교정은 상악 설측교정 + 하악 순측교정을 말해요.
설측교정과 순측교정을 합한 방법으로 말하거나 웃을 때 많이 드러나는 윗니는 치아 안쪽에 장치를 부착하는 설측교정으로 클리피엘(Clippy-L) 장치를,
상대적으로 덜 드러나는 아랫니는 치아 바깥쪽에 장치를 부착하는 순측교정으로 클리피씨(Clippy-C) 장치를 사용하여 치료하는 교정 방법이죠.

그렇다면 장점은 무엇일까요?
콤비교정은 설측교정과 순측교정의 장점만을 가져온 방법입니다.
-->
[투디(2D)치과] 설측교정? 순측교정? 장단점
안녕하세요! 강남치과 투디치과입니다^^ 주말이 다가왔는데 바람이 불어 날씨가 좀 쌀쌀하네요! 이럴 때 감...
blog.naver.com
본문으로 이동 -->
상악은 클리피엘 설측교정을 하고 하악을 클리피씨 순측교정으로 함으로써 상대적으로 가격을 낮출 수 있어 설측교정의 단점인 가격을 적절하게 해결한 합리적인 교정 방법이라는 점!
또한 아랫니에는 치아 바깥 면에 장치를 부착하니 혀의 움직임이 매우 자유로워요. 따라서, 발음하기가 쉽고 혀의 이물감이 덜해서 적응하는데 기간이 짧다는 장점이 있어요.
게다가 앞니 부분교정이 아닌 전체교정으로 돌출입이나 심한 부정교합 등 부분교정만으로 커버하기 힘든 다양한 케이스에 적용 가능하답니다.

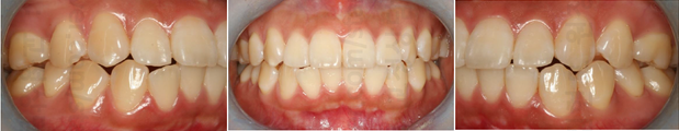
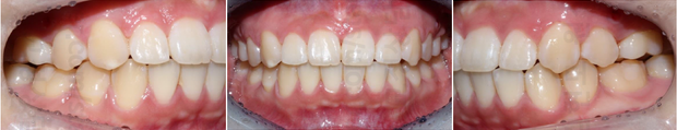
돌출입 교정 전(좌)과 후(우)

돌출입 교정 전

돌출입 교정 후
특히 돌출입 교정의 경우 일반교정을 하면 원래 튀어나와 있는 치아가 교정장치로 인해 더 튀어나와 보일 수 있는데요. 상악을 설측교정으로 하기 때문에 그럴 일이 없으니 자연스럽게 웃으실 수 있습니다.
교정장치가 밖으로 보일까 신경 쓰이시는 분, 설측교정 가격이 부담스러우신 분, 외관이 중시되는 서비스직에 종사하시는 분, 취업이나 결혼을 준비하시는 분들에게 적극 추천드리구요!
콤비교정은 난이도가 높은 교정치료로 전문적인 진료가 필요하기 때문에 반드시 내원하셔서 전문의의 진단을 받으시는 게 필요합니다.
이외에 궁금한 점이 있으신 부분은 언제든지! 부담 없이 연락 주시면 빠르고 친절하게 상담 드릴게요~!
2D치과의원
서울특별시 서초구 강남대로 429 동일빌딩 5층
전화
상세보기

