아카이브 요약
이 페이지의 역할
2D치과의원의 네이버 블로그 원문을 보존한 아카이브 페이지입니다. 치아교정 카테고리의 비발치교정, 발치 없이 교정하기! 강남 2D치과 글을 통해 병원의 한국어 정보 제공 방식과 진료 관련 안내 톤을 확인할 수 있습니다.
원문 검증
필요하면 원문 블로그와 병원 프로필로 바로 이동해 문맥을 다시 확인할 수 있습니다.
출처 아카이브 열기아카이브된 블로그 글
치과의원 · ✅ 앞니에 대한 장인정신. Since 2016. 2D치과 ✅
비발치교정, 발치 없이 교정하기! 강남 2D치과 : 네이버 블로그 NAVER 블로그 ✅ 앞니에 대한 장인정신. Since 2016. 2D치과 ✅ 블로그 검색 이 블로그에서 검색 공감 0 칭찬 0 감사 0 웃김 0 놀람 0 슬픔 0 span.u_likeit_button) 공감 face 3개 (전체)) --> 공감 0 공감...
게시일
2017년 6월 12일
원문 기준으로 확인된 발행일입니다.
카테고리
치아교정
원문 블로그 카테고리를 정리해 함께 표시합니다.
이미지 수
12
현재 아카이브에 연결된 이미지 수입니다.
아카이브 요약
2D치과의원의 네이버 블로그 원문을 보존한 아카이브 페이지입니다. 치아교정 카테고리의 비발치교정, 발치 없이 교정하기! 강남 2D치과 글을 통해 병원의 한국어 정보 제공 방식과 진료 관련 안내 톤을 확인할 수 있습니다.
원문 검증
필요하면 원문 블로그와 병원 프로필로 바로 이동해 문맥을 다시 확인할 수 있습니다.
출처 아카이브 열기비발치교정, 발치 없이 교정하기! 강남 2D치과 : 네이버 블로그
NAVER 블로그
✅ 앞니에 대한 장인정신. Since 2016. 2D치과 ✅
블로그 검색
이 블로그에서 검색
공감 0
칭찬 0
감사 0
웃김 0
놀람 0
슬픔 0
span.u_likeit_button) 공감 face 3개 (전체)) -->
공감 0
공감 0
칭찬 0
감사 0
웃김 0
놀람 0
슬픔 0
첫 댓글을 남겨보세요
공유하기
블로그 주소 변경 불가 안내
블로그 마켓 판매자의 이력 관리를 위해
블로그 주소 변경이 불가합니다.
자세히 보기 레이어 닫기
블로그 아이디가 필요해요!
블로그에서 진짜 나를 기록하고
다양한 이웃과 소식을 만나보세요. 지금 시작해볼까요?
블로그 아이디 만들기 블로그 아이디 만들기 레이어 닫기
blog.naver.com/
입력 내용 삭제
설정한 아이디는 나중에 변경할 수 없으니 신중하게 입력해주세요.
변경 전 공유된 블로그/글/클립 링크는 연결이 끊길 수 있습니다.
네이버 아이디 또는 개인정보가 포함된 문자 사용은 피해주세요.
블로그 도움말에서 아이디 변경 유의사항을 확인해보세요.
나중에 할게요
3개월간 새로운 주소로 연결을 지원하며
이후 언제든 연결이 끊길 수 있습니다.
다시 변경이 불가능합니다.
변경하시겠습니까?
취소 확인
블로그 아이디는 한번 정하면
다시 변경이 불가능합니다.
이 아이디로 블로그를 만들까요?
취소 확인
환영합니다!
블로그 아이디가 만들어졌어요.
blog.naver.com/
바로 시작하기 추가정보 입력하기
나중에 언제든지 변경할 수 있어요.
프로필 이미지 설정
지우기
사진 업로드
취소 적용
별명
블로그명
블로그 주제 주제 없음
엔터테인먼트·예술
문학·책
영화
미술·디자인
공연·전시
음악
드라마
스타·연예인
만화·애니
방송
생활·노하우·쇼핑
일상·생각
육아·결혼
반려동물
좋은글·이미지
패션·미용
인테리어·DIY
요리·레시피
상품리뷰
원예·재배
취미·여가·여행
게임
스포츠
사진
자동차
취미
국내여행
세계여행
맛집
지식·동향
IT·컴퓨터
사회·정치
건강·의학
비즈니스·경제
어학·외국어
교육·학문
주제없음
주제 선택 보류
나중에 할게요
기본정보 입력 주제 선택 이웃 맺기
뒤로가기 버튼
선택한 주제의 글과 이웃을 추천받을 수 있어요.
나중에 할게요
기본정보 입력 주제 선택 이웃 맺기
뒤로가기 버튼
이웃을 맺으면 이웃새글에서 글을 받아볼 수 있어요.
블로그 시작하기
기본정보 입력 주제 선택 이웃 맺기
뒤로가기 버튼
확인
확인
이웃추가 이웃
메뉴 바로가기 본문 바로가기
내 블로그
이웃블로그
블로그 홈
로그인
검색어 켜기
-->
| 블로그 2D 리얼후기 투디_정보 2D 소식 치아교정 | 안부 |
| ✅ 앞니에 대한 장인정신. Since 2016. 2D치과 ✅ |
글쓰기
가벼운 글쓰기툴 퀵에디터가 오픈했어요!
| | | |
| 공지글 글 제목 | 작성일 | |
|---|---|---|
| (19) 공지 [투디치과] 블랙필름(비스포크) 치료의 다양한 사례 | 2021. 9. 24. | |
| 공지 [라미네이트 투디치과] 브레이브걸스 유나&민영님 방문 | 2021. 7. 30. | |
| 공지 2D치과 Brand 소개 | 2017. 8. 31. |
| | | |
| | | |
| | 치아교정 152개의 글 치아교정목록열기 | |
| | | |
| | | |

치아교정
비발치교정, 발치 없이 교정하기! 강남 2D치과
2D치과
・ 2017. 6. 12. 13:41
URL 복사
이웃추가
본문 기타 기능
공유하기
신고하기
비발치교정, 발치 없이 교정하기! 강남 2D치과

안녕하세요! 일요일도 교정하는 2D치과입니다 :D
치아 교정은 기능적인 측면부터 콤플렉스로 작용했던 미적인 부분까지 동시에 개선할 수 있기 때문에 많은 분들이 관심을 가지고 계세요.
하지만 막상 교정을 시작하려 하니 긴 치료기간에 대한 부담과 동시에 생니를 뽑아야 하는 발치에 대한 부담감으로 망설이는 이들도 적지 않습니다.

일반적으로 교정을 진행하려면 반드시 발치를 해야 하는 거 아닌지 생각하시는 분들이 많으신데요.
발치를 통해 치아 사이의 공간을 확보하여 치열을 맞추는 것이 보통이기는 하지만, 모든 교정에서 필수는 아니랍니다.
요즘에는 자연 치아를 최대한 살리고 정말 필요한 부분만 움직여 짧은 치료기간만으로 빠르게 교정이 가능한 비발치교정이 인기인데요.
발치 없이 어금니를 뒤로 밀어 공간을 확보해 치아를 이동시키거나,
사랑니 발치 공간을 이용하거나,
악궁 확장을 통한 치아 이동공간 확보,
또는 치간 삭제 등의 방법으로 진행됩니다.
가장 중요한 것은 치아가 이동할 수 있는 공간이 필요하다는 점!
또, 발치 교정보다 6개월 이상 단축되기 때문에 시간적으로나 비용적으로 고민하셨던 분들에게 적합한 방법이구요!
교정 장치를 오래 착용했을 때 발생할 수 있는 충치나 잇몸질환 등의 부작용을 줄일 수 있고,
그 어떤 방법이라도 기본적으로 발치를 하지 않기 때문에
발치 자체에 따르는 고통과 출혈이 없다는 것이 장점이에요.
돌출입, 앞니 부분교정, 벌어진 치아, 덧니, 삐뚤빼뚤한 치아, 토끼이빨 등의 급속 교정 시 적용이 가능하고,
치아가 이동할 공간이 지나치게 좁지 않아 충분한 이동 공간이 확보되는 경우에도 가능하답니다!


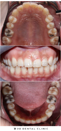
돌출입 비발치교정 전(좌), 후(우)


치열개선 비발치교정 전(좌), 후(우)
하지만 치아 교정을 원하는 모든 분들이 발치 과정 없이 교정을 진행할 수 있는 것은 아닌데요ㅠ
치아의 이동량이 많이 필요한 환자의 경우 공간이 없는데도 발치를 하지 않을 때는 잇몸에 무리가 가거나 치아가 돌출될 수 있기 때문에 발치의 과정이 필요합니다.
반대로, 치열이 많이 삐뚤지 않음에도 불구하고 발치 교정을 진행할 경우,
그 공간을 메우기 위해 치아를 이동시키게 되는데 이때 치아가 너무 안쪽으로 들어가게 되어 오히려 옥니 또는 합죽이 형태의 부자연스러운 결과를 초래할 가능성이 있어요ㅠ

비발치교정은 모든 환자분들에게 적용 가능한 치료가 아님과 동시에 발치 없이 치열을 교정하는 만큼 정확한 진단과 철저한 치료 계획은 필수적이겠죠?
이를 위해서는 수많은 케이스를 경험한 경력 많은 숙련된 의료진의 노하우가 필요합니다. 환자분 개개인마다 치아 상태가 모두 다르고 원하시는 결과도 모두 다르기 때문이죠.

2D치과에서는 교정 전문의가 직접 환자분들의 상태를 정밀검진하여 정확한 진단과 함께 발치/비발치 여부를 결정하고,
환자 개개인에 맞춤식 치료 계획을 세워 처음부터 끝까지 꼼꼼하게 진료하며 사후 관리까지 철저하게 진행하고 있답니다!

그 밖에도 평일 3회 야간진료(화, 수, 금)와 토요일, 일요일에도 정상 진료를 하기 때문에 주 중에 시간 내기 어려우신 분들이 편하게 내원하실 수 있도록 노력하고 있습니다.
발치 때문에 교정을 망설이셨던 분들이나 보다 자세한 내용을 알고 싶으신 분들은 전화나 카카오톡으로 문의주세요! 언제나 친절하고 빠르게 답변드리겠습니다~
2D치과의원
서울특별시 서초구 강남대로 429 동일빌딩 5층
전화
상세보기

