아카이브 요약
이 페이지의 역할
2D치과의원의 네이버 블로그 원문을 보존한 아카이브 페이지입니다. 치아교정 카테고리의 돌출입 유형 및 증상, 치과 내원 전 자가진단! 글을 통해 병원의 한국어 정보 제공 방식과 진료 관련 안내 톤을 확인할 수 있습니다.
원문 검증
필요하면 원문 블로그와 병원 프로필로 바로 이동해 문맥을 다시 확인할 수 있습니다.
출처 아카이브 열기아카이브된 블로그 글
치과의원 · ✅ 앞니에 대한 장인정신. Since 2016. 2D치과 ✅
돌출입 유형 및 증상, 치과 내원 전 자가진단! : 네이버 블로그 NAVER 블로그 ✅ 앞니에 대한 장인정신. Since 2016. 2D치과 ✅ 블로그 검색 이 블로그에서 검색 공감 0 칭찬 0 감사 0 웃김 0 놀람 0 슬픔 0 span.u_likeit_button) 공감 face 3개 (전체)) --> 공감 0 공감...
게시일
2017년 6월 13일
원문 기준으로 확인된 발행일입니다.
카테고리
치아교정
원문 블로그 카테고리를 정리해 함께 표시합니다.
이미지 수
15
현재 아카이브에 연결된 이미지 수입니다.
아카이브 요약
2D치과의원의 네이버 블로그 원문을 보존한 아카이브 페이지입니다. 치아교정 카테고리의 돌출입 유형 및 증상, 치과 내원 전 자가진단! 글을 통해 병원의 한국어 정보 제공 방식과 진료 관련 안내 톤을 확인할 수 있습니다.
원문 검증
필요하면 원문 블로그와 병원 프로필로 바로 이동해 문맥을 다시 확인할 수 있습니다.
출처 아카이브 열기돌출입 유형 및 증상, 치과 내원 전 자가진단! : 네이버 블로그
NAVER 블로그
✅ 앞니에 대한 장인정신. Since 2016. 2D치과 ✅
블로그 검색
이 블로그에서 검색
공감 0
칭찬 0
감사 0
웃김 0
놀람 0
슬픔 0
span.u_likeit_button) 공감 face 3개 (전체)) -->
공감 0
공감 0
칭찬 0
감사 0
웃김 0
놀람 0
슬픔 0
댓글
2
공유하기
블로그 주소 변경 불가 안내
블로그 마켓 판매자의 이력 관리를 위해
블로그 주소 변경이 불가합니다.
자세히 보기 레이어 닫기
블로그 아이디가 필요해요!
블로그에서 진짜 나를 기록하고
다양한 이웃과 소식을 만나보세요. 지금 시작해볼까요?
블로그 아이디 만들기 블로그 아이디 만들기 레이어 닫기
blog.naver.com/
입력 내용 삭제
설정한 아이디는 나중에 변경할 수 없으니 신중하게 입력해주세요.
변경 전 공유된 블로그/글/클립 링크는 연결이 끊길 수 있습니다.
네이버 아이디 또는 개인정보가 포함된 문자 사용은 피해주세요.
블로그 도움말에서 아이디 변경 유의사항을 확인해보세요.
나중에 할게요
3개월간 새로운 주소로 연결을 지원하며
이후 언제든 연결이 끊길 수 있습니다.
다시 변경이 불가능합니다.
변경하시겠습니까?
취소 확인
블로그 아이디는 한번 정하면
다시 변경이 불가능합니다.
이 아이디로 블로그를 만들까요?
취소 확인
환영합니다!
블로그 아이디가 만들어졌어요.
blog.naver.com/
바로 시작하기 추가정보 입력하기
나중에 언제든지 변경할 수 있어요.
프로필 이미지 설정
지우기
사진 업로드
취소 적용
별명
블로그명
블로그 주제 주제 없음
엔터테인먼트·예술
문학·책
영화
미술·디자인
공연·전시
음악
드라마
스타·연예인
만화·애니
방송
생활·노하우·쇼핑
일상·생각
육아·결혼
반려동물
좋은글·이미지
패션·미용
인테리어·DIY
요리·레시피
상품리뷰
원예·재배
취미·여가·여행
게임
스포츠
사진
자동차
취미
국내여행
세계여행
맛집
지식·동향
IT·컴퓨터
사회·정치
건강·의학
비즈니스·경제
어학·외국어
교육·학문
주제없음
주제 선택 보류
나중에 할게요
기본정보 입력 주제 선택 이웃 맺기
뒤로가기 버튼
선택한 주제의 글과 이웃을 추천받을 수 있어요.
나중에 할게요
기본정보 입력 주제 선택 이웃 맺기
뒤로가기 버튼
이웃을 맺으면 이웃새글에서 글을 받아볼 수 있어요.
블로그 시작하기
기본정보 입력 주제 선택 이웃 맺기
뒤로가기 버튼
확인
확인
이웃추가 이웃
메뉴 바로가기 본문 바로가기
내 블로그
이웃블로그
블로그 홈
로그인
검색어 켜기
-->
| 블로그 2D 리얼후기 투디_정보 2D 소식 치아교정 | 안부 |
| ✅ 앞니에 대한 장인정신. Since 2016. 2D치과 ✅ |
글쓰기
가벼운 글쓰기툴 퀵에디터가 오픈했어요!
| | | |
| 공지글 글 제목 | 작성일 | |
|---|---|---|
| (19) 공지 [투디치과] 블랙필름(비스포크) 치료의 다양한 사례 | 2021. 9. 24. | |
| 공지 [라미네이트 투디치과] 브레이브걸스 유나&민영님 방문 | 2021. 7. 30. | |
| 공지 2D치과 Brand 소개 | 2017. 8. 31. |
| | | |
| | | |
| | 치아교정 152개의 글 치아교정목록열기 | |
| | | |
| | | |

치아교정
돌출입 유형 및 증상, 치과 내원 전 자가진단!
2D치과
・ 2017. 6. 13. 16:19
URL 복사
이웃추가
본문 기타 기능
공유하기
신고하기
돌출입 유형 및 증상, 치과 내원 전 자가진단!

안녕하세요~ 일요일도 교정하는 2D치과입니다 :D
가지런한 치아는 기능적으로는 물론, 미적으로도 큰 영향을 끼칩니다. 전체적인 인상과 이미지를 결정짓는 중요한 역할을 하기 때문이죠.
하지만 통계적으로 10명 중 7명은 불규칙한 치열 즉, 부정교합을 갖고 있는데요. 그중 가장 흔한 부정교합으로 돌출입을 꼽을 수 있습니다.
돌출입은 얼굴을 옆에서 보았을 때 코 끝이나 턱 끝에 비해 입이 정상 범위보다 앞으로 튀어나온 상태를 말하며,
치아만 앞으로 튀어나온 치아 돌출,
잇몸 뼈 자체가 튀어나온 잇몸뼈 돌출,
그리고 잇몸 뼈와 함께 치아도 튀어나와 전체적으로 입이 앞으로 나온 경우 등
보이는 상태에 따라서 구분 지을 수 있답니다.
돌출입은 웃을 때 잇몸이 드러나 보여 미관상 심미적이지 않다고 생각할 수 있고, 입술도 두툼하게 나와 있는 모습이 되면서
어딘지 모르게 부자연스러운 느낌과 퉁명스럽고 화가 난 듯한 인상을 줄 수도 있어요ㅠ
또, 입이 벌어지는 구조가 되어 입안이 쉽게 건조되기 때문에 충치도 더욱 잘 생기는 환경이 조성되고,
무턱과 동반될 경우에는 무턱 증상이 더 심해 보일 수도 있구요.
이런 돌출입 증상은 내원 전에 E-line, 비순각, 옆모습 확인 등 자가진단을 통해서 알아볼 수 있답니다!
돌출입 자가진단 방법 자세하게 확인해볼까요?
Ricketts E-line
돌출입 여부를 자가진단 할 때 가장 많이 쓰이는 기준선은 아름다운 옆모습 기준으로 유명한 Ricketts E-line(Esthetic line)으로, 코 끝과 턱 끝을 연결한 심미 라인인데요.

궁극의 E-라인
아래 입술은 E-Line에 거의 일치하고, 윗입술은 약간 안쪽에 있는 정도가 가장 이상적인 옆모습으로,
이 선을 기준으로 입술이 튀어나와 있다면 돌출입이라 할 수 있습니다.
비순각
두 번째는 입술과 코가 이루는 각도, 비순각(Nasolabial Angle)인데요.

의학적으로 이상적인 비순각 각도는
남자 9095도, 여자 95105도이며,
돌출입을 가진 경우 이 각도보다 작고,
일반적으로 동양인이 평균 수치가 낮습니다.
얼굴 옆라인 사진

남녀 각각의 평균 옆모습을 기준으로 하여 위아래 입술만 전후방으로 평행하게 1mm씩 움직여 제작된 옆라인 실루엣인데요.
평균 실루엣은 7번으로, 1번은 입술이 가장 뒤로 후퇴되고 상대적으로 턱이 앞으로 나온 상태가 되며, 13번은 입술이 가장 앞으로 나온 상태입니다.
우리나라의 젊은 성인층은 남녀 6, 7번 실루엣을 선호하시는 경향을 보인답니다~
여러분 몇 번을 선호하시나요?^^
치료방법
돌출입은 반드시 치료해야 할 필요는 없지만, 남들과는 다른 구강구조로 인해 위축되고 사회생활에서까지 어려움을 겪는 경우에는 교정 치료를 통해 증상을 개선할 수 있는데요!
치아가 돌출된 경우
잇몸뼈 자체가 돌출된 경우
치아와 골격이 함께 돌출된 경우
에 따라 치료 방법이 달라질 수 있습니다.
그래서 투디(2D)치과는 코, 턱, 입술의 상대적인 위치와 모양에 따라 환자의 연조직까지 고려하여 원인을 정확히 분석하고 환자 개개인에 맞는 치료 계획을 세워서 치료를 진행합니다.
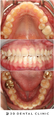
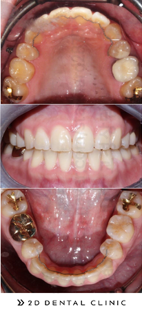
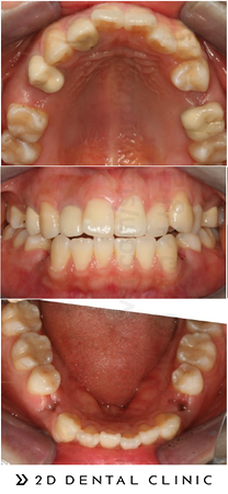
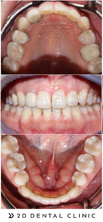
돌출입 발치 교정
투디(2D)치과에서는 치아만 앞으로 튀어나온 치아 돌출의 경우 위아래 작은 어금니 4개를 발치하고 교정 치료를 진행합니다.


돌출입 발치 교정 전(좌), 후(우)
하지만 골격에 문제가 있고 윗입술 또는 아래 입술만 돌출된 경우 상하 한 쪽의 작은 어금니를 뽑고 치료할 수도 있답니다.
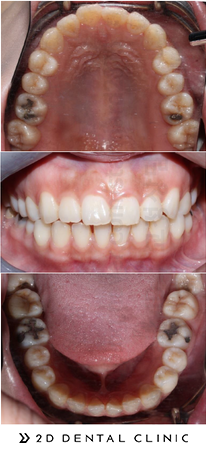
돌출입 비발치 교정
입술이 과도하게 안으로 들어갔을 때 좋지 않은 결과가 예상될 경우에는
치아를 뽑지 않고 미니 스크류라는 부가 장치의 도움을 받아 치열궁 전체를 후방으로 이동시키는 치료를 하기도 합니다.


돌출입 비발치 교정 전(좌), 교정 후(우)
앞니를 안으로 많이 이동시켜주기 위해 앞니를 잡아당겨주는 역할을 하는 것이죠.


앞니를 잡아당겨주는 미니 스크류
수술을 동반한 돌출입 교정 치료
잇몸뼈 자체가 돌출되어 있는 경우 교정 치료만으로 치료를 진행하게 되면 치아가 옥니처럼 보이면서 원하는 만큼의 효과를 보지 못할 수 있는데요.
투디(2D)치과는 이 경우 수술을 진행하고 교정 치료를 병행하면서 돌출입 문제를 해결하게 됩니다.


돌출입 수술 동반 교정 전(좌), 후(우)
수술을 동반한 돌출입 교정 치료 시 발치 공간을 닫는 기간이 줄어들어 6개월에서 1년의 치료기간을 단축할 수 있다는 장점이 있다는 점!
하지만 최근 교정 장치와 치료법의 발달로 교정 치료만으로도 문제를 해결할 수 있는 돌출입 치료 범위가 넓어졌으므로 수술 여부를 결정하시기에 앞서 반드시 내원하셔서 정밀검진 및 자세한 상담을 받아보실 것을 권장 드립니다.
보다 자세한 내용을 원하시는 분들은 전화나 카카오톡으로 문의주세요! 투디(2D)치과는 여러분을 기다리고 있답니다~
2D치과의원
서울특별시 서초구 강남대로 429 동일빌딩 5층
전화
상세보기

