아카이브 요약
이 페이지의 역할
2D치과의원의 네이버 블로그 원문을 보존한 아카이브 페이지입니다. 치아교정 카테고리의 케이스로 확인하는 토끼이빨, 교정전문 2D치과 글을 통해 병원의 한국어 정보 제공 방식과 진료 관련 안내 톤을 확인할 수 있습니다.
원문 검증
필요하면 원문 블로그와 병원 프로필로 바로 이동해 문맥을 다시 확인할 수 있습니다.
출처 아카이브 열기아카이브된 블로그 글
치과의원 · ✅ 앞니에 대한 장인정신. Since 2016. 2D치과 ✅
케이스로 확인하는 토끼이빨, 교정전문 2D치과 : 네이버 블로그 NAVER 블로그 ✅ 앞니에 대한 장인정신. Since 2016. 2D치과 ✅ 블로그 검색 이 블로그에서 검색 공감 0 칭찬 0 감사 0 웃김 0 놀람 0 슬픔 0 span.u_likeit_button) 공감 face 3개 (전체)) --> 공감 0 공감 0...
게시일
2017년 7월 3일
원문 기준으로 확인된 발행일입니다.
카테고리
치아교정
원문 블로그 카테고리를 정리해 함께 표시합니다.
이미지 수
14
현재 아카이브에 연결된 이미지 수입니다.
아카이브 요약
2D치과의원의 네이버 블로그 원문을 보존한 아카이브 페이지입니다. 치아교정 카테고리의 케이스로 확인하는 토끼이빨, 교정전문 2D치과 글을 통해 병원의 한국어 정보 제공 방식과 진료 관련 안내 톤을 확인할 수 있습니다.
원문 검증
필요하면 원문 블로그와 병원 프로필로 바로 이동해 문맥을 다시 확인할 수 있습니다.
출처 아카이브 열기케이스로 확인하는 토끼이빨, 교정전문 2D치과 : 네이버 블로그
NAVER 블로그
✅ 앞니에 대한 장인정신. Since 2016. 2D치과 ✅
블로그 검색
이 블로그에서 검색
공감 0
칭찬 0
감사 0
웃김 0
놀람 0
슬픔 0
span.u_likeit_button) 공감 face 3개 (전체)) -->
공감 0
공감 0
칭찬 0
감사 0
웃김 0
놀람 0
슬픔 0
첫 댓글을 남겨보세요
공유하기
블로그 주소 변경 불가 안내
블로그 마켓 판매자의 이력 관리를 위해
블로그 주소 변경이 불가합니다.
자세히 보기 레이어 닫기
블로그 아이디가 필요해요!
블로그에서 진짜 나를 기록하고
다양한 이웃과 소식을 만나보세요. 지금 시작해볼까요?
블로그 아이디 만들기 블로그 아이디 만들기 레이어 닫기
blog.naver.com/
입력 내용 삭제
설정한 아이디는 나중에 변경할 수 없으니 신중하게 입력해주세요.
변경 전 공유된 블로그/글/클립 링크는 연결이 끊길 수 있습니다.
네이버 아이디 또는 개인정보가 포함된 문자 사용은 피해주세요.
블로그 도움말에서 아이디 변경 유의사항을 확인해보세요.
나중에 할게요
3개월간 새로운 주소로 연결을 지원하며
이후 언제든 연결이 끊길 수 있습니다.
다시 변경이 불가능합니다.
변경하시겠습니까?
취소 확인
블로그 아이디는 한번 정하면
다시 변경이 불가능합니다.
이 아이디로 블로그를 만들까요?
취소 확인
환영합니다!
블로그 아이디가 만들어졌어요.
blog.naver.com/
바로 시작하기 추가정보 입력하기
나중에 언제든지 변경할 수 있어요.
프로필 이미지 설정
지우기
사진 업로드
취소 적용
별명
블로그명
블로그 주제 주제 없음
엔터테인먼트·예술
문학·책
영화
미술·디자인
공연·전시
음악
드라마
스타·연예인
만화·애니
방송
생활·노하우·쇼핑
일상·생각
육아·결혼
반려동물
좋은글·이미지
패션·미용
인테리어·DIY
요리·레시피
상품리뷰
원예·재배
취미·여가·여행
게임
스포츠
사진
자동차
취미
국내여행
세계여행
맛집
지식·동향
IT·컴퓨터
사회·정치
건강·의학
비즈니스·경제
어학·외국어
교육·학문
주제없음
주제 선택 보류
나중에 할게요
기본정보 입력 주제 선택 이웃 맺기
뒤로가기 버튼
선택한 주제의 글과 이웃을 추천받을 수 있어요.
나중에 할게요
기본정보 입력 주제 선택 이웃 맺기
뒤로가기 버튼
이웃을 맺으면 이웃새글에서 글을 받아볼 수 있어요.
블로그 시작하기
기본정보 입력 주제 선택 이웃 맺기
뒤로가기 버튼
확인
확인
이웃추가 이웃
메뉴 바로가기 본문 바로가기
내 블로그
이웃블로그
블로그 홈
로그인
검색어 켜기
-->
| 블로그 2D 리얼후기 투디_정보 2D 소식 치아교정 | 안부 |
| ✅ 앞니에 대한 장인정신. Since 2016. 2D치과 ✅ |
글쓰기
가벼운 글쓰기툴 퀵에디터가 오픈했어요!
| | | |
| 공지글 글 제목 | 작성일 | |
|---|---|---|
| (19) 공지 [투디치과] 블랙필름(비스포크) 치료의 다양한 사례 | 2021. 9. 24. | |
| 공지 [라미네이트 투디치과] 브레이브걸스 유나&민영님 방문 | 2021. 7. 30. | |
| 공지 2D치과 Brand 소개 | 2017. 8. 31. |
| | | |
| | | |
| | 치아교정 152개의 글 치아교정목록열기 | |
| | | |
| | | |

치아교정
케이스로 확인하는 토끼이빨, 교정전문 2D치과
2D치과
・ 2017. 7. 3. 18:03
URL 복사
이웃추가
본문 기타 기능
공유하기
신고하기
케이스로 확인하는 토끼이빨, 교정전문 2D치과

안녕하세요~! 일요일도 교정하는 2D치과입니다~^^
치과로 내원하기 전! 자가진단하여 자신의 치아 케이스의 유형을 파악하는 것이 치과에 내원하여 상담시에도 환자분에게 큰 도움이 된답니다^^
이번 케이스는 유난히 앞니가 크거나 돌출되어 토끼앞니로 웃을 때 스트레스를 받는 분들을 위해 케이스 전후사진으로 한번 확인해 보겠습니다!

빠른 앞니 치료를 위해 라미네이트 시술을 알아보시는 분들이 많으시죠!
라미네이트의 경우 치간 삭제 후 기공물을 붙이는 방법으로
교정보다는 비교적 치료기간이 짧지만 치아의 과도한 삭제로 인한 치아 시림, 보철물이 깨질 수 있는 경우, 치아와 잇몸의 경계가 검게 변하는 경우가 있어 되도록이면 교정을 추천해드린답니다.

본 환자분도 토끼앞니를 교정으로 개선하고자 방문해주셨답니다.
상하악에 미약한 크라우딩과 하악 중절치(제일 앞니)에 미약한 치은(잇몸) 퇴축이 있으셨답니다. 잇몸이 내려가는 증상인데요.
치은 퇴축은 4, 50대 부터 주로 나타나지만 잇몸이 건강하신 분들도 케이스에 따라 젊은 나이에 나타나는 경우도 있으시답니다.
과도한 교합 이상 및 잘못된 양치 습관이 주된 원인이 되는데요!
한번 퇴축된 치은은 복구가 어려우니 미리미리 관리하셔야 한답니다ㅠㅠ




토끼앞니 전방 전후 사진 (치은 퇴축부분)
다행히 치열은 대체적으로 고른 편이고 토끼이빨도 심하신 케이스는 아니어서 간단하게 앞니부분교정으로
돌출된 앞니를 집어넣고 앞니 부분의 치열을 고르게 교정하셨답니다.


토끼앞니 상악 치료 전후


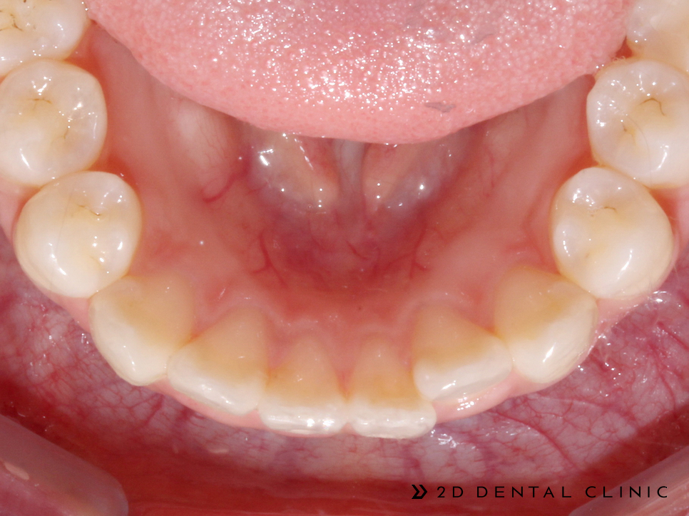
토끼앞니 하악 치료 전후
다른 치아의 치열은 고른데 앞니 부분이나 부분적으로 교정하고 싶으신 경우
전체 교정보다는 앞니 부분교정으로 원하는 부분만 비교적 단기간에 교정할 수 있으니 환자분 본인의 상태를 파악하고 치과에 내원하여 정밀 검사를 받아보시길 바랍니다~!
비용적 측면에서도 앞니 부분교정이 비교적 저렴하다는 점~!
-->
토끼이빨, 앞니 부분교정으로 단기간에! 강남 투디치과
토끼이빨, 앞니 부분교정으로 단기간에! 강남 투디치과 안녕하세요~ 일요일도 교정하는 2D치과입니다 (/'...
blog.naver.com
본문으로 이동 -->
앞니 부분교정의 경우 투명교정이나 세라믹, 2D교정 등 다양하게 진료가 가능하며 무엇보다 심미적으로 교정할 수 있어 많은 분들이 사랑해주시는 듯 합니다.
언제나 궁금하신 점이 있으시면 부담 갖지 마시고~! 카톡이나 전화 주시면 친절하게 상담 도와드리도록 하겠습니다^^
2D치과의원
서울특별시 서초구 강남대로 429 동일빌딩 5층
전화
상세보기

