아카이브 요약
이 페이지의 역할
2D치과의원의 네이버 블로그 원문을 보존한 아카이브 페이지입니다. 치아교정 카테고리의 케이스로 확인하는 덧니 부정교합, 교정전문 2D치과 글을 통해 병원의 한국어 정보 제공 방식과 진료 관련 안내 톤을 확인할 수 있습니다.
원문 검증
필요하면 원문 블로그와 병원 프로필로 바로 이동해 문맥을 다시 확인할 수 있습니다.
출처 아카이브 열기아카이브된 블로그 글
치과의원 · ✅ 앞니에 대한 장인정신. Since 2016. 2D치과 ✅
케이스로 확인하는 덧니 부정교합, 교정전문 2D치과 : 네이버 블로그 NAVER 블로그 ✅ 앞니에 대한 장인정신. Since 2016. 2D치과 ✅ 블로그 검색 이 블로그에서 검색 공감 0 칭찬 0 감사 0 웃김 0 놀람 0 슬픔 0 span.u_likeit_button) 공감 face 3개 (전체)) --> 공감 0 공...
게시일
2017년 7월 5일
원문 기준으로 확인된 발행일입니다.
카테고리
치아교정
원문 블로그 카테고리를 정리해 함께 표시합니다.
이미지 수
11
현재 아카이브에 연결된 이미지 수입니다.
아카이브 요약
2D치과의원의 네이버 블로그 원문을 보존한 아카이브 페이지입니다. 치아교정 카테고리의 케이스로 확인하는 덧니 부정교합, 교정전문 2D치과 글을 통해 병원의 한국어 정보 제공 방식과 진료 관련 안내 톤을 확인할 수 있습니다.
원문 검증
필요하면 원문 블로그와 병원 프로필로 바로 이동해 문맥을 다시 확인할 수 있습니다.
출처 아카이브 열기케이스로 확인하는 덧니 부정교합, 교정전문 2D치과 : 네이버 블로그
NAVER 블로그
✅ 앞니에 대한 장인정신. Since 2016. 2D치과 ✅
블로그 검색
이 블로그에서 검색
공감 0
칭찬 0
감사 0
웃김 0
놀람 0
슬픔 0
span.u_likeit_button) 공감 face 3개 (전체)) -->
공감 0
공감 0
칭찬 0
감사 0
웃김 0
놀람 0
슬픔 0
첫 댓글을 남겨보세요
공유하기
블로그 주소 변경 불가 안내
블로그 마켓 판매자의 이력 관리를 위해
블로그 주소 변경이 불가합니다.
자세히 보기 레이어 닫기
블로그 아이디가 필요해요!
블로그에서 진짜 나를 기록하고
다양한 이웃과 소식을 만나보세요. 지금 시작해볼까요?
블로그 아이디 만들기 블로그 아이디 만들기 레이어 닫기
blog.naver.com/
입력 내용 삭제
설정한 아이디는 나중에 변경할 수 없으니 신중하게 입력해주세요.
변경 전 공유된 블로그/글/클립 링크는 연결이 끊길 수 있습니다.
네이버 아이디 또는 개인정보가 포함된 문자 사용은 피해주세요.
블로그 도움말에서 아이디 변경 유의사항을 확인해보세요.
나중에 할게요
3개월간 새로운 주소로 연결을 지원하며
이후 언제든 연결이 끊길 수 있습니다.
다시 변경이 불가능합니다.
변경하시겠습니까?
취소 확인
블로그 아이디는 한번 정하면
다시 변경이 불가능합니다.
이 아이디로 블로그를 만들까요?
취소 확인
환영합니다!
블로그 아이디가 만들어졌어요.
blog.naver.com/
바로 시작하기 추가정보 입력하기
나중에 언제든지 변경할 수 있어요.
프로필 이미지 설정
지우기
사진 업로드
취소 적용
별명
블로그명
블로그 주제 주제 없음
엔터테인먼트·예술
문학·책
영화
미술·디자인
공연·전시
음악
드라마
스타·연예인
만화·애니
방송
생활·노하우·쇼핑
일상·생각
육아·결혼
반려동물
좋은글·이미지
패션·미용
인테리어·DIY
요리·레시피
상품리뷰
원예·재배
취미·여가·여행
게임
스포츠
사진
자동차
취미
국내여행
세계여행
맛집
지식·동향
IT·컴퓨터
사회·정치
건강·의학
비즈니스·경제
어학·외국어
교육·학문
주제없음
주제 선택 보류
나중에 할게요
기본정보 입력 주제 선택 이웃 맺기
뒤로가기 버튼
선택한 주제의 글과 이웃을 추천받을 수 있어요.
나중에 할게요
기본정보 입력 주제 선택 이웃 맺기
뒤로가기 버튼
이웃을 맺으면 이웃새글에서 글을 받아볼 수 있어요.
블로그 시작하기
기본정보 입력 주제 선택 이웃 맺기
뒤로가기 버튼
확인
확인
이웃추가 이웃
메뉴 바로가기 본문 바로가기
내 블로그
이웃블로그
블로그 홈
로그인
검색어 켜기
-->
| 블로그 2D 리얼후기 투디_정보 2D 소식 치아교정 | 안부 |
| ✅ 앞니에 대한 장인정신. Since 2016. 2D치과 ✅ |
글쓰기
가벼운 글쓰기툴 퀵에디터가 오픈했어요!
| | | |
| 공지글 글 제목 | 작성일 | |
|---|---|---|
| (19) 공지 [투디치과] 블랙필름(비스포크) 치료의 다양한 사례 | 2021. 9. 24. | |
| 공지 [라미네이트 투디치과] 브레이브걸스 유나&민영님 방문 | 2021. 7. 30. | |
| 공지 2D치과 Brand 소개 | 2017. 8. 31. |
| | | |
| | | |
| | 치아교정 152개의 글 치아교정목록열기 | |
| | | |
| | | |

치아교정
케이스로 확인하는 덧니 부정교합, 교정전문 2D치과
2D치과
・ 2017. 7. 5. 17:17
URL 복사
이웃추가
본문 기타 기능
공유하기
신고하기
케이스로 확인하는 덧니 부정교합, 교정전문 2D치과

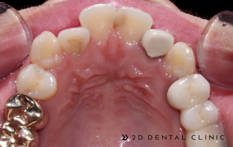
안녕하세요~! 일요일도 교정하는 2D치과입니다.
덧니로 스트레스를 받는 분들은 웃을 때도 맘껏 웃을 수 없어 콤플렉스가 되어버린 경우가 많답니다.
이번 케이스는 전반적으로 심하지 않은 덧니 케이스로 앞니 부분교정만으로도 교정이 가능하지만
전체적인 치열을 고려하여 전체 교정인 클리피씨로 진행한 케이스입니다.

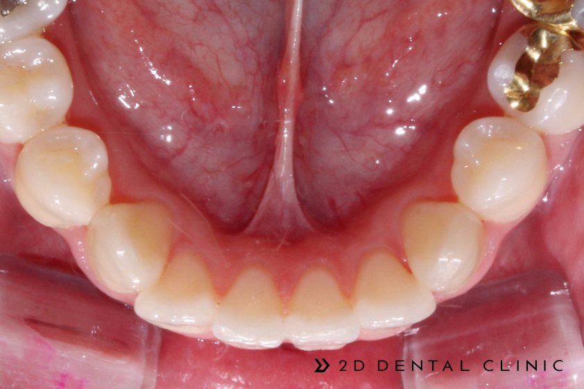
덧니와 함께 상악 측절치(윗니 2번째 앞니)가 반대교합 증상이 같이 나타나셨답니다.

덧니의 경우 치아가 나는 공간이 부족하여 제자리에 나지 않는 증상이며
반대교합의 경우 3급 부정교합으로 아랫니가 윗니보다 앞으로 돌출된 경우를 말합니다.
-->
[교정상식] 부정교합 종류! 나는 어떤 케이스에 해당될까?
안녕하세요, 투디치과입니다^^ 교정치과를 선택하기 전에 자신의 치아 유형에 대해 파악하고 그에 알맞은 ...
blog.naver.com
본문으로 이동 -->
환자분께서는 부정교합 말고도 전에 받으셨던 보철물이 비쳐 보여 맘에 들지 않는다고 말씀하셨답니다.
또 앞니가 좀 튀어나와 보인다고 하셨고요.


교정과 보철치료를 병행할 경우 치료기간이 길어지지 않도록 교정과 보철치료의 치료기간, 타이밍을 잘 맞추는 것이 중요한데요.
보철치료 때문에 치료기간이 길어지지 않도록 잘 조정하여 보철치료까지 순탄하게 진행되셨답니다^^

치료 전 전방 사진
앞니가 튀어나온 경우 앞니만 튀어나온 경우, 악궁 모양이 V자인 경우, 잇몸 뼈가 돌출인 경우, 입술이 두꺼운 경우 등 여러 가지 요인이 있지만
환자분의 경우 앞니만 조금 튀어나온 경우로 교정으로 충분히 재배열하여 입이 조금 들어간 효과를 보셨답니다.
앞니 중앙선은 치료 전에도 잘 맞는 편이셨고요~


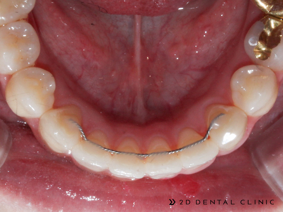
하악의 송곳니도 제자리를 찾아갔습니다.
클리피씨의 경우 2D치과의 대표적인 전체 교정장치로 자가결찰 브라켓으로 일반 브라켓보다 통증과 교정기간을 감소시켜준답니다.
-->
[투디(2D)치과] 클리피씨 교정에 대해 알아보자!
안녕하세요! 일요일도 교정하는 2D치과 입니다!! 오늘은 많은 분들이 사랑해주시는 클리피씨 전체교정에 ...
blog.naver.com
본문으로 이동 -->
덧니의 경우 나이가 들수록 치석이 쌓이기 쉬워 되도록 늦기 전에 심미적인 측면과 더불어 잇몸질환 예방의 차원에서 교정치료를 받기를 추천드립니다.
덧니 케이스에도 앞니 부분교정을 원하시는 경우 더 빠르고 저렴한 가격으로 교정하실 수 있지만 병원에 내원하셔서 정밀검사와 충분한 상담 후에 환자분에게 맞는 치료방법을 찾으시는 것이 제일 중요하니 참고 부탁드리고요~!
-->
앞니 부분교정 전체교정 비교, 강남 2D치과
앞니 부분교정 전체교정의 차이점, 강남 2D치과 안녕하세요^^ 일요일도 교정하는 2D치과입니다! 많은 분...
blog.naver.com
본문으로 이동 -->
치과에 내원하기 전 자가진단으로 환자분 스스로 자신의 케이스를 파악하는 것이 진료 시에도 많은 도움이 된답니다.
2D치과에서 앞으로도 실제 진료 후기에 기반한 투디치과 유형별 케이스 포스팅 많은 관심 부탁드릴게요^^
2D치과의원
서울특별시 서초구 강남대로 429 동일빌딩 5층
전화
상세보기

