아카이브 요약
이 페이지의 역할
2D치과의원의 네이버 블로그 원문을 보존한 아카이브 페이지입니다. 치아교정 카테고리의 나비치아 교정 케이스 전후비교, 교정전문 2D치과 글을 통해 병원의 한국어 정보 제공 방식과 진료 관련 안내 톤을 확인할 수 있습니다.
원문 검증
필요하면 원문 블로그와 병원 프로필로 바로 이동해 문맥을 다시 확인할 수 있습니다.
출처 아카이브 열기아카이브된 블로그 글
치과의원 · ✅ 앞니에 대한 장인정신. Since 2016. 2D치과 ✅
나비치아 교정 케이스 전후비교, 교정전문 2D치과 : 네이버 블로그 NAVER 블로그 ✅ 앞니에 대한 장인정신. Since 2016. 2D치과 ✅ 블로그 검색 이 블로그에서 검색 공감 0 칭찬 0 감사 0 웃김 0 놀람 0 슬픔 0 span.u_likeit_button) 공감 face 3개 (전체)) --> 공감 0 공감...
게시일
2017년 7월 6일
원문 기준으로 확인된 발행일입니다.
카테고리
치아교정
원문 블로그 카테고리를 정리해 함께 표시합니다.
이미지 수
12
현재 아카이브에 연결된 이미지 수입니다.
아카이브 요약
2D치과의원의 네이버 블로그 원문을 보존한 아카이브 페이지입니다. 치아교정 카테고리의 나비치아 교정 케이스 전후비교, 교정전문 2D치과 글을 통해 병원의 한국어 정보 제공 방식과 진료 관련 안내 톤을 확인할 수 있습니다.
원문 검증
필요하면 원문 블로그와 병원 프로필로 바로 이동해 문맥을 다시 확인할 수 있습니다.
출처 아카이브 열기나비치아 교정 케이스 전후비교, 교정전문 2D치과 : 네이버 블로그
NAVER 블로그
✅ 앞니에 대한 장인정신. Since 2016. 2D치과 ✅
블로그 검색
이 블로그에서 검색
공감 0
칭찬 0
감사 0
웃김 0
놀람 0
슬픔 0
span.u_likeit_button) 공감 face 3개 (전체)) -->
공감 0
공감 0
칭찬 0
감사 0
웃김 0
놀람 0
슬픔 0
첫 댓글을 남겨보세요
공유하기
블로그 주소 변경 불가 안내
블로그 마켓 판매자의 이력 관리를 위해
블로그 주소 변경이 불가합니다.
자세히 보기 레이어 닫기
블로그 아이디가 필요해요!
블로그에서 진짜 나를 기록하고
다양한 이웃과 소식을 만나보세요. 지금 시작해볼까요?
블로그 아이디 만들기 블로그 아이디 만들기 레이어 닫기
blog.naver.com/
입력 내용 삭제
설정한 아이디는 나중에 변경할 수 없으니 신중하게 입력해주세요.
변경 전 공유된 블로그/글/클립 링크는 연결이 끊길 수 있습니다.
네이버 아이디 또는 개인정보가 포함된 문자 사용은 피해주세요.
블로그 도움말에서 아이디 변경 유의사항을 확인해보세요.
나중에 할게요
3개월간 새로운 주소로 연결을 지원하며
이후 언제든 연결이 끊길 수 있습니다.
다시 변경이 불가능합니다.
변경하시겠습니까?
취소 확인
블로그 아이디는 한번 정하면
다시 변경이 불가능합니다.
이 아이디로 블로그를 만들까요?
취소 확인
환영합니다!
블로그 아이디가 만들어졌어요.
blog.naver.com/
바로 시작하기 추가정보 입력하기
나중에 언제든지 변경할 수 있어요.
프로필 이미지 설정
지우기
사진 업로드
취소 적용
별명
블로그명
블로그 주제 주제 없음
엔터테인먼트·예술
문학·책
영화
미술·디자인
공연·전시
음악
드라마
스타·연예인
만화·애니
방송
생활·노하우·쇼핑
일상·생각
육아·결혼
반려동물
좋은글·이미지
패션·미용
인테리어·DIY
요리·레시피
상품리뷰
원예·재배
취미·여가·여행
게임
스포츠
사진
자동차
취미
국내여행
세계여행
맛집
지식·동향
IT·컴퓨터
사회·정치
건강·의학
비즈니스·경제
어학·외국어
교육·학문
주제없음
주제 선택 보류
나중에 할게요
기본정보 입력 주제 선택 이웃 맺기
뒤로가기 버튼
선택한 주제의 글과 이웃을 추천받을 수 있어요.
나중에 할게요
기본정보 입력 주제 선택 이웃 맺기
뒤로가기 버튼
이웃을 맺으면 이웃새글에서 글을 받아볼 수 있어요.
블로그 시작하기
기본정보 입력 주제 선택 이웃 맺기
뒤로가기 버튼
확인
확인
이웃추가 이웃
메뉴 바로가기 본문 바로가기
내 블로그
이웃블로그
블로그 홈
로그인
검색어 켜기
-->
| 블로그 2D 리얼후기 투디_정보 2D 소식 치아교정 | 안부 |
| ✅ 앞니에 대한 장인정신. Since 2016. 2D치과 ✅ |
글쓰기
가벼운 글쓰기툴 퀵에디터가 오픈했어요!
| | | |
| 공지글 글 제목 | 작성일 | |
|---|---|---|
| (19) 공지 [투디치과] 블랙필름(비스포크) 치료의 다양한 사례 | 2021. 9. 24. | |
| 공지 [라미네이트 투디치과] 브레이브걸스 유나&민영님 방문 | 2021. 7. 30. | |
| 공지 2D치과 Brand 소개 | 2017. 8. 31. |
| | | |
| | | |
| | 치아교정 152개의 글 치아교정목록열기 | |
| | | |
| | | |

치아교정
나비치아 교정 케이스 전후비교, 교정전문 2D치과
2D치과
・ 2017. 7. 6. 11:32
URL 복사
이웃추가
본문 기타 기능
공유하기
신고하기
나비치아 교정 케이스 전후비교, 교정전문 2D치과

안녕하세요! 일요일도 교정하는 2D치과입니다~
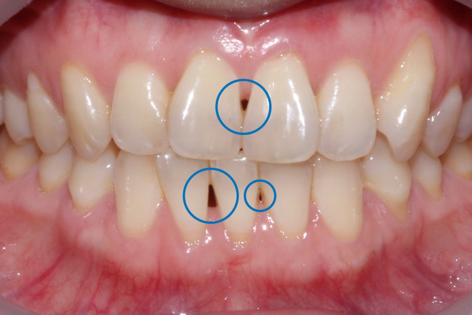
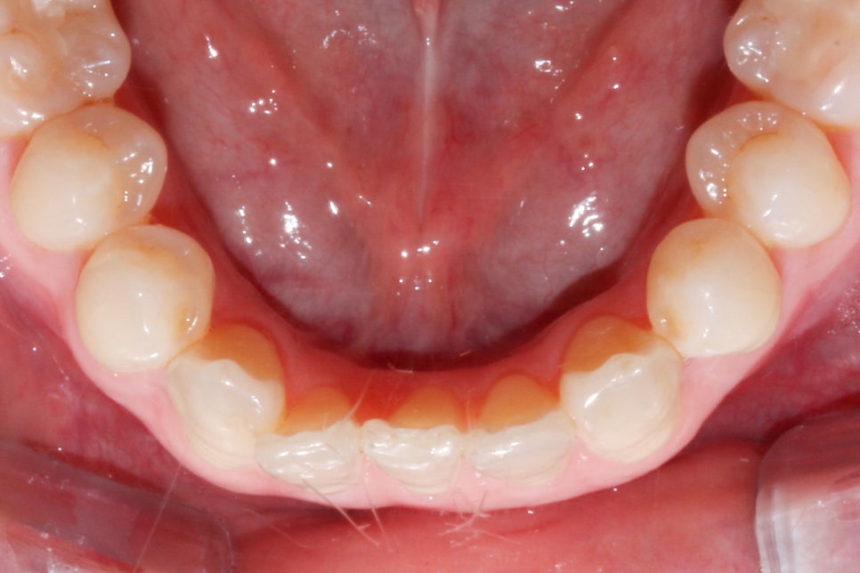
나비치아는 중절치가 회전하여 아래서 봤을 때 나비 날개와 같다 하여 붙여진 이름입니다.

이번 케이스의 환자분은 나비치아 때문에 교정을 진행하셨고요. 군데군데 블랙 트라이앵글이 보이셨답니다. 이미 잇몸 퇴축이 많이 진행된 상태고요ㅠ

잇몸 퇴축으로 치아 사이에 공간이 생긴 '블랙 트라이앵글'
앞니 부분교정인 2D교정으로 진행하였습니다.


2D교정으로 진행된 나비치아 케이스 상악 전후 사진
교정 전 전방 사진상으로도 심하지 않은 케이스이셔서 앞니 부분교정으로 기간은 4개월 만에 교정이 완료되셨답니다.


전방 전후 사진


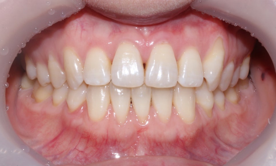
나비치아 케이스 하악 전후 사진
2D치과에서는 교정기간 중간중간 꼼꼼히 최대한 심미적으로 교정을 완료하실 수 있도록 세심하게 체크해드린답니다~
나비치아 교정 중 치아를 회전시키는 과정에서 일시적으로 앞니 가운데가 벌어지는 경우까지 고려하여
2D치과는 두 치아를 고무줄로 묶어 앞니 사이가 벌어지지 않도록 교정 과정의 처음부터 끝까지 집중하여 세심하게 관리를 도와드리고 있답니다! (교정 전문 2D치과의 센스!)
-->
나비치아, 앞니 부분 2D교정으로 교정 기간 단축!
나비치아, 앞니 부분 2D교정으로 교정 기간 단축! 안녕하세요! 일요일도 교정하는 2D치과입니다 :D 이름...
blog.naver.com
본문으로 이동 -->
블랙 트라이앵글의 경우 예전의 건강했던 잇몸의 모습으로는 돌아가기 힘들 수 있답니다.
원하시는 경우에는 치간(치아 사이) 삭제를 해서 치아를 모아 드릴 수 있답니다~!
잇몸퇴축의 경우 잇몸 건강 차원에서 더 악화되기 전에 미리 교정을 해서 치석이 쌓이는 것을 방지하고 주기적으로 스케일링을 받으셔서 잇몸 질환을 예방할 것을 권해드립니다.
치과에 내원하기 전에 자가진단으로 자신의 치아 유형을 미리 파악하는 것이 환자분 본인에게 많은 도움이 됩니다.
앞으로도 더 많은 케이스로 찾아뵙겠습니다^^
2D치과의원
서울특별시 서초구 강남대로 429 동일빌딩 5층
전화
상세보기

