아카이브 요약
이 페이지의 역할
2D치과의원의 네이버 블로그 원문을 보존한 아카이브 페이지입니다. 치아교정 카테고리의 앞니 덧니 부분교정 케이스 전후비교, 교정전문 2D치과 글을 통해 병원의 한국어 정보 제공 방식과 진료 관련 안내 톤을 확인할 수 있습니다.
원문 검증
필요하면 원문 블로그와 병원 프로필로 바로 이동해 문맥을 다시 확인할 수 있습니다.
출처 아카이브 열기아카이브된 블로그 글
치과의원 · ✅ 앞니에 대한 장인정신. Since 2016. 2D치과 ✅
앞니 덧니 부분교정 케이스 전후비교, 교정전문 2D치과 : 네이버 블로그 NAVER 블로그 ✅ 앞니에 대한 장인정신. Since 2016. 2D치과 ✅ 블로그 검색 이 블로그에서 검색 공감 0 칭찬 0 감사 0 웃김 0 놀람 0 슬픔 0 span.u_likeit_button) 공감 face 3개 (전체)) --> 공감 0...
게시일
2017년 7월 10일
원문 기준으로 확인된 발행일입니다.
카테고리
치아교정
원문 블로그 카테고리를 정리해 함께 표시합니다.
이미지 수
15
현재 아카이브에 연결된 이미지 수입니다.
아카이브 요약
2D치과의원의 네이버 블로그 원문을 보존한 아카이브 페이지입니다. 치아교정 카테고리의 앞니 덧니 부분교정 케이스 전후비교, 교정전문 2D치과 글을 통해 병원의 한국어 정보 제공 방식과 진료 관련 안내 톤을 확인할 수 있습니다.
원문 검증
필요하면 원문 블로그와 병원 프로필로 바로 이동해 문맥을 다시 확인할 수 있습니다.
출처 아카이브 열기앞니 덧니 부분교정 케이스 전후비교, 교정전문 2D치과 : 네이버 블로그
NAVER 블로그
✅ 앞니에 대한 장인정신. Since 2016. 2D치과 ✅
블로그 검색
이 블로그에서 검색
공감 0
칭찬 0
감사 0
웃김 0
놀람 0
슬픔 0
span.u_likeit_button) 공감 face 3개 (전체)) -->
공감 0
공감 0
칭찬 0
감사 0
웃김 0
놀람 0
슬픔 0
댓글
6
공유하기
블로그 주소 변경 불가 안내
블로그 마켓 판매자의 이력 관리를 위해
블로그 주소 변경이 불가합니다.
자세히 보기 레이어 닫기
블로그 아이디가 필요해요!
블로그에서 진짜 나를 기록하고
다양한 이웃과 소식을 만나보세요. 지금 시작해볼까요?
블로그 아이디 만들기 블로그 아이디 만들기 레이어 닫기
blog.naver.com/
입력 내용 삭제
설정한 아이디는 나중에 변경할 수 없으니 신중하게 입력해주세요.
변경 전 공유된 블로그/글/클립 링크는 연결이 끊길 수 있습니다.
네이버 아이디 또는 개인정보가 포함된 문자 사용은 피해주세요.
블로그 도움말에서 아이디 변경 유의사항을 확인해보세요.
나중에 할게요
3개월간 새로운 주소로 연결을 지원하며
이후 언제든 연결이 끊길 수 있습니다.
다시 변경이 불가능합니다.
변경하시겠습니까?
취소 확인
블로그 아이디는 한번 정하면
다시 변경이 불가능합니다.
이 아이디로 블로그를 만들까요?
취소 확인
환영합니다!
블로그 아이디가 만들어졌어요.
blog.naver.com/
바로 시작하기 추가정보 입력하기
나중에 언제든지 변경할 수 있어요.
프로필 이미지 설정
지우기
사진 업로드
취소 적용
별명
블로그명
블로그 주제 주제 없음
엔터테인먼트·예술
문학·책
영화
미술·디자인
공연·전시
음악
드라마
스타·연예인
만화·애니
방송
생활·노하우·쇼핑
일상·생각
육아·결혼
반려동물
좋은글·이미지
패션·미용
인테리어·DIY
요리·레시피
상품리뷰
원예·재배
취미·여가·여행
게임
스포츠
사진
자동차
취미
국내여행
세계여행
맛집
지식·동향
IT·컴퓨터
사회·정치
건강·의학
비즈니스·경제
어학·외국어
교육·학문
주제없음
주제 선택 보류
나중에 할게요
기본정보 입력 주제 선택 이웃 맺기
뒤로가기 버튼
선택한 주제의 글과 이웃을 추천받을 수 있어요.
나중에 할게요
기본정보 입력 주제 선택 이웃 맺기
뒤로가기 버튼
이웃을 맺으면 이웃새글에서 글을 받아볼 수 있어요.
블로그 시작하기
기본정보 입력 주제 선택 이웃 맺기
뒤로가기 버튼
확인
확인
이웃추가 이웃
메뉴 바로가기 본문 바로가기
내 블로그
이웃블로그
블로그 홈
로그인
검색어 켜기
-->
| 블로그 2D 리얼후기 투디_정보 2D 소식 치아교정 | 안부 |
| ✅ 앞니에 대한 장인정신. Since 2016. 2D치과 ✅ |
글쓰기
가벼운 글쓰기툴 퀵에디터가 오픈했어요!
| | | |
| 공지글 글 제목 | 작성일 | |
|---|---|---|
| (19) 공지 [투디치과] 블랙필름(비스포크) 치료의 다양한 사례 | 2021. 9. 24. | |
| 공지 [라미네이트 투디치과] 브레이브걸스 유나&민영님 방문 | 2021. 7. 30. | |
| 공지 2D치과 Brand 소개 | 2017. 8. 31. |
| | | |
| | | |
| | 치아교정 152개의 글 치아교정목록열기 | |
| | | |
| | | |

치아교정
앞니 덧니 부분교정 케이스 전후비교, 교정전문 2D치과
2D치과
・ 2017. 7. 10. 11:52
URL 복사
이웃추가
본문 기타 기능
공유하기
신고하기
앞니 덧니 부분교정 케이스 전후비교, 교정전문 2D치과

안녕하세요! 일요일도 교정하는 2D치과입니다^^
앞니 돌출이나 덧니의 경우 미관상 티가 많이 나는 편이지만 앞니 부분교정으로 보통 4~6개월 정도면 교정이 가능하답니다.

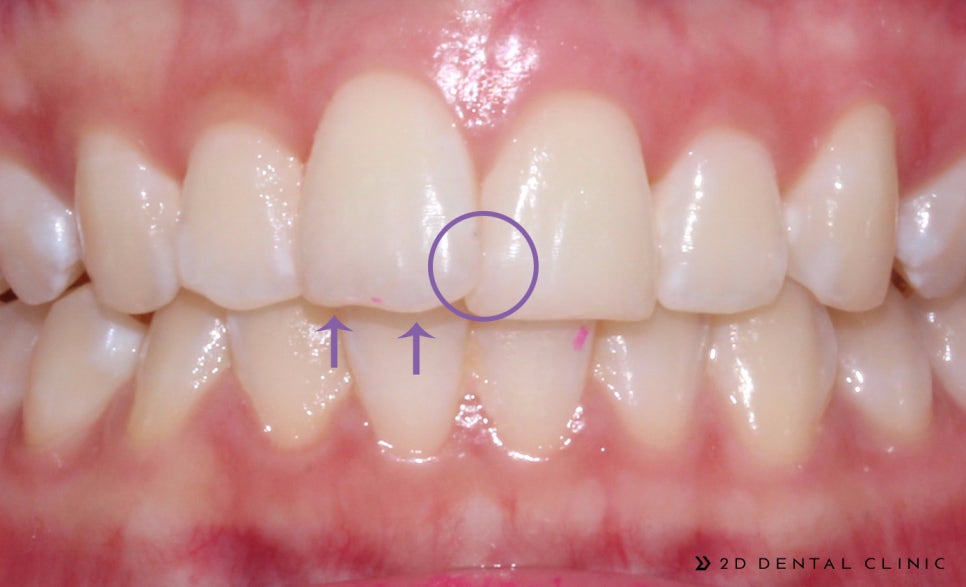
이번 환자분은 앞니 교정으로 문의하셨고요. 상악 중절치의 Labioversion과 앞니 절단연(씹는 면) 의 울퉁불퉁거림, 하악의 전체적인 배열 위주로 진행되었습니다.

동그라미 부분이 상악 우측 중절치의 Labioversion으로 치아가 입술 쪽으로 튀어나오는 상태로 왼쪽 중절치와 겹쳐 보인답니다.
화살표 부분의 절단연(씹는 면)은 환자분의 요청에 따라 평평하게 연마하여 진행되었습니다.
전체교정까지 진행할 필요는 없어 앞니 부분교정인 2D교정으로 진행하였습니다.


불균형한 절단연의 원인은 불규칙한 치아배열로 인한 마모나 외부적인 요인이 있습니다.(음식으로 인한)
절단연을 연마하는 것만으로도 심미적으로 차이가 나기 때문에 환자분 요청에 따라 치아에 손상이 많이 가지 않는 한에서 심미성을 위하여 조정 도와드렸습니다.

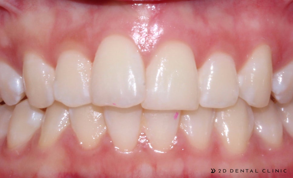
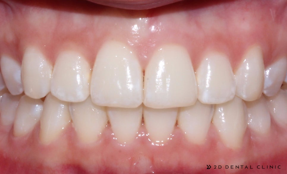
상악 오른쪽 앞니의 부분 돌출도 이상 없이 고르게 교정 완료했답니다. 하악 크라우딩(자리가 없어 덧난 경우)도 이쁘게 제자리를 찾아갔습니다.
상하악 모두 2D교정으로 진행되었고요, 교정기간은 4개월이 걸렸습니다.






2D교정은 교정기가 치아 안쪽으로 붙어 바깥으로 보이지 않아 교정 방법들 중 가장 심미적인 교정 방법입니다.
2D교정으로는 간단한 앞니, 덧니, 나비치아부터 케이스에 따라 돌출입이나 좀 더 복잡한 케이스도 교정 가능한 케이스가 있습니다.
투디교정에 대해 궁금하신 점은 아래에 포스팅으로 참고 부탁드리고요~!
-->
[투디(2D)치과] 투디교정 궁금한 점? QnA
강남 투디(2D)치과 투디교정 궁금한 점? QnA 안녕하세요~! 일요일도 교정하는 투디치과입니다^^ 요즘 많...
blog.naver.com
본문으로 이동 -->
교정을 고민 중인 분이시라면 자가진단으로 자신의 치아 배열 상태를 파악하고 있는 것이 치아 교정시에도 많은 도움이 됩니다.
앞으로도 다양한 케이스 올려드릴 예정이니 자신의 케이스와 비교하여 참고해주시고요!
1:1 환자분을 위한 맞춤형 교정 솔루션으로 환자분에게 제일 이상적이고 알맞은 교정 방법을 추천해드리겠습니다^^
-->
아나운서 언니들이 추천한다는 바로 그 교정! | 병원약국검색어플, 굿닥
아나운서 언니들이 추천한다는 바로 그 교정! - 현존하는 가장 얇은 교정장치 2D교정의 모든 것
본문으로 이동 -->
2D치과의원
서울특별시 서초구 강남대로 429 동일빌딩 5층
전화
상세보기

