아카이브 요약
이 페이지의 역할
2D치과의원의 네이버 블로그 원문을 보존한 아카이브 페이지입니다. 치아교정 카테고리의 절단교합 교정 케이스 전후비교, 교정전문 2D치과 글을 통해 병원의 한국어 정보 제공 방식과 진료 관련 안내 톤을 확인할 수 있습니다.
원문 검증
필요하면 원문 블로그와 병원 프로필로 바로 이동해 문맥을 다시 확인할 수 있습니다.
출처 아카이브 열기아카이브된 블로그 글
치과의원 · ✅ 앞니에 대한 장인정신. Since 2016. 2D치과 ✅
절단교합 교정 케이스 전후비교, 교정전문 2D치과 : 네이버 블로그 NAVER 블로그 ✅ 앞니에 대한 장인정신. Since 2016. 2D치과 ✅ 블로그 검색 이 블로그에서 검색 공감 0 칭찬 0 감사 0 웃김 0 놀람 0 슬픔 0 span.u_likeit_button) 공감 face 3개 (전체)) --> 공감 0 공감...
게시일
2017년 7월 18일
원문 기준으로 확인된 발행일입니다.
카테고리
치아교정
원문 블로그 카테고리를 정리해 함께 표시합니다.
이미지 수
20
현재 아카이브에 연결된 이미지 수입니다.
아카이브 요약
2D치과의원의 네이버 블로그 원문을 보존한 아카이브 페이지입니다. 치아교정 카테고리의 절단교합 교정 케이스 전후비교, 교정전문 2D치과 글을 통해 병원의 한국어 정보 제공 방식과 진료 관련 안내 톤을 확인할 수 있습니다.
원문 검증
필요하면 원문 블로그와 병원 프로필로 바로 이동해 문맥을 다시 확인할 수 있습니다.
출처 아카이브 열기절단교합 교정 케이스 전후비교, 교정전문 2D치과 : 네이버 블로그
NAVER 블로그
✅ 앞니에 대한 장인정신. Since 2016. 2D치과 ✅
블로그 검색
이 블로그에서 검색
공감 0
칭찬 0
감사 0
웃김 0
놀람 0
슬픔 0
span.u_likeit_button) 공감 face 3개 (전체)) -->
공감 0
공감 0
칭찬 0
감사 0
웃김 0
놀람 0
슬픔 0
댓글
4
공유하기
블로그 주소 변경 불가 안내
블로그 마켓 판매자의 이력 관리를 위해
블로그 주소 변경이 불가합니다.
자세히 보기 레이어 닫기
블로그 아이디가 필요해요!
블로그에서 진짜 나를 기록하고
다양한 이웃과 소식을 만나보세요. 지금 시작해볼까요?
블로그 아이디 만들기 블로그 아이디 만들기 레이어 닫기
blog.naver.com/
입력 내용 삭제
설정한 아이디는 나중에 변경할 수 없으니 신중하게 입력해주세요.
변경 전 공유된 블로그/글/클립 링크는 연결이 끊길 수 있습니다.
네이버 아이디 또는 개인정보가 포함된 문자 사용은 피해주세요.
블로그 도움말에서 아이디 변경 유의사항을 확인해보세요.
나중에 할게요
3개월간 새로운 주소로 연결을 지원하며
이후 언제든 연결이 끊길 수 있습니다.
다시 변경이 불가능합니다.
변경하시겠습니까?
취소 확인
블로그 아이디는 한번 정하면
다시 변경이 불가능합니다.
이 아이디로 블로그를 만들까요?
취소 확인
환영합니다!
블로그 아이디가 만들어졌어요.
blog.naver.com/
바로 시작하기 추가정보 입력하기
나중에 언제든지 변경할 수 있어요.
프로필 이미지 설정
지우기
사진 업로드
취소 적용
별명
블로그명
블로그 주제 주제 없음
엔터테인먼트·예술
문학·책
영화
미술·디자인
공연·전시
음악
드라마
스타·연예인
만화·애니
방송
생활·노하우·쇼핑
일상·생각
육아·결혼
반려동물
좋은글·이미지
패션·미용
인테리어·DIY
요리·레시피
상품리뷰
원예·재배
취미·여가·여행
게임
스포츠
사진
자동차
취미
국내여행
세계여행
맛집
지식·동향
IT·컴퓨터
사회·정치
건강·의학
비즈니스·경제
어학·외국어
교육·학문
주제없음
주제 선택 보류
나중에 할게요
기본정보 입력 주제 선택 이웃 맺기
뒤로가기 버튼
선택한 주제의 글과 이웃을 추천받을 수 있어요.
나중에 할게요
기본정보 입력 주제 선택 이웃 맺기
뒤로가기 버튼
이웃을 맺으면 이웃새글에서 글을 받아볼 수 있어요.
블로그 시작하기
기본정보 입력 주제 선택 이웃 맺기
뒤로가기 버튼
확인
확인
이웃추가 이웃
메뉴 바로가기 본문 바로가기
내 블로그
이웃블로그
블로그 홈
로그인
검색어 켜기
-->
| 블로그 2D 리얼후기 투디_정보 2D 소식 치아교정 | 안부 |
| ✅ 앞니에 대한 장인정신. Since 2016. 2D치과 ✅ |
글쓰기
가벼운 글쓰기툴 퀵에디터가 오픈했어요!
| | | |
| 공지글 글 제목 | 작성일 | |
|---|---|---|
| (19) 공지 [투디치과] 블랙필름(비스포크) 치료의 다양한 사례 | 2021. 9. 24. | |
| 공지 [라미네이트 투디치과] 브레이브걸스 유나&민영님 방문 | 2021. 7. 30. | |
| 공지 2D치과 Brand 소개 | 2017. 8. 31. |
| | | |
| | | |
| | 치아교정 152개의 글 치아교정목록열기 | |
| | | |
| | | |

치아교정
절단교합 교정 케이스 전후비교, 교정전문 2D치과
2D치과
・ 2017. 7. 18. 11:16
URL 복사
이웃추가
본문 기타 기능
공유하기
신고하기
절단교합 교정 케이스 전후비교, 교정전문 2D치과

안녕하세요^^ 일요일도 교정하는 2D치과입니다 :)

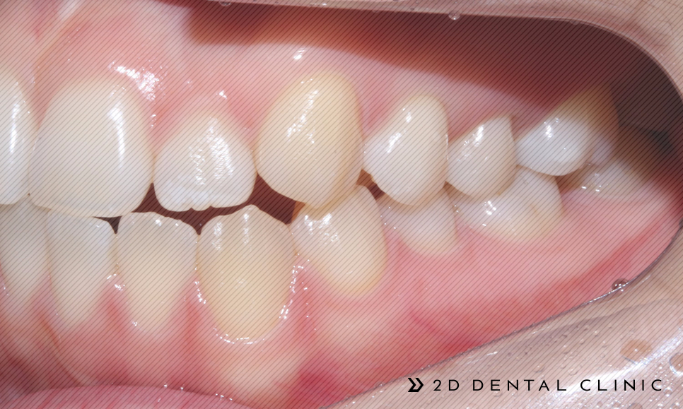
어금니를 꽉 다물은 상태에서 위 앞니가 아래 앞니를 2미리 정도 덮는 것이 정상적인 교합이랍니다.
하지만 아래 앞니와 위 앞니가 맞닿는 경우 3급 부정교합 엣지 투 엣지, 즉 절단교합이라고 합니다.
이 경우 위아래 앞니의 절단연(씹는 부분)이 계속해서 마찰을 일으키기 때문에 절단연이 닳거나 손상될 수 있답니다ㅠ


절단교합 : 위 앞니와 아래 앞니가 맞닿는 경우
이번 케이스의 환자분도 절단교합 때문에 2D치과를 찾아주셨고요~
발치 및 세라믹 전체 교정으로 진행되어 절단교합 및 돌출입도 개선되셨답니다 :)
<전후사진 비교>




상악 제2소구치 (두 번째 작은 어금니) 발치


하악 제1소구치 (첫 번째 작은 어금니) 발치
상악은 제2소구치, 하악은 제1소구치를 발치하여 상악은 좀 덜 당기고, 하악은 좀 더 당겨 절단교합을 교정할 수 있도록 진행했습니다.
교정기간은 1년 반 진행되었습니다.


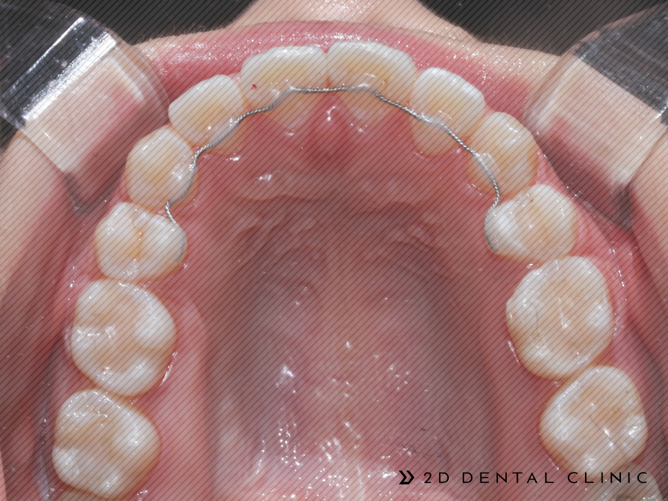
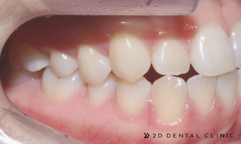
확실히 상악이 하악 앞에 물리는 정상교합에 도달했습니다.




상악이 정상적으로 물림을 측면에서도 확인할 수 있습니다.
본 환자분의 교정 전 케이스는 언뜻 보면 개방교합과 많이 닮았는데요,
개방교합은 어금니를 꽉 물었을 때 앞니가 닿지 않고 전체적으로 공간이 떠 있는 상태로 절단 교합과는 차이점이 있습니다.

개방교합의 경우 위 앞니와 아래 앞니가 애초에 맞닿지 않습니다.
[교정상식] 부정교합 종류! 나는 어떤 케이스에 해당될까?
안녕하세요, 투디치과입니다^^ 교정치과를 선택하기 전에 자신의 치아 유형에 대해 파악하고 그에 알맞은 ...
blog.naver.com
교정치료 결정하시기 전에 미리 자신의 케이스에 대해 알아보시면 환자분 본인에게 많은 도움이 된답니다.
자신의 케이스를 자신이 어느 정도 인지하고 본인에게 딱 맞는 교정 방법을 추천받으셔서 긴 교정기간을 거쳐 만족스러운 결과를 위해 2D치과가 도와드리겠습니다^^
2D치과의원
서울특별시 서초구 강남대로 429 동일빌딩 5층
전화
상세보기

