아카이브 요약
이 페이지의 역할
2D치과의원의 네이버 블로그 원문을 보존한 아카이브 페이지입니다. 치아꿀팁 카테고리의 [2D치과]개방교합(Open bite)이란? 글을 통해 병원의 한국어 정보 제공 방식과 진료 관련 안내 톤을 확인할 수 있습니다.
원문 검증
필요하면 원문 블로그와 병원 프로필로 바로 이동해 문맥을 다시 확인할 수 있습니다.
출처 아카이브 열기아카이브된 블로그 글
치과의원 · ✅ 앞니에 대한 장인정신. Since 2016. 2D치과 ✅
[2D치과]개방교합(Open bite)이란? : 네이버 블로그 NAVER 블로그 ✅ 앞니에 대한 장인정신. Since 2016. 2D치과 ✅ 블로그 검색 이 블로그에서 검색 공감 0 칭찬 0 감사 0 웃김 0 놀람 0 슬픔 0 span.u_likeit_button) 공감 face 3개 (전체)) --> 공감 0 공감 0...
게시일
2017년 9월 20일
원문 기준으로 확인된 발행일입니다.
카테고리
치아꿀팁
원문 블로그 카테고리를 정리해 함께 표시합니다.
이미지 수
2
현재 아카이브에 연결된 이미지 수입니다.
아카이브 요약
2D치과의원의 네이버 블로그 원문을 보존한 아카이브 페이지입니다. 치아꿀팁 카테고리의 [2D치과]개방교합(Open bite)이란? 글을 통해 병원의 한국어 정보 제공 방식과 진료 관련 안내 톤을 확인할 수 있습니다.
원문 검증
필요하면 원문 블로그와 병원 프로필로 바로 이동해 문맥을 다시 확인할 수 있습니다.
출처 아카이브 열기[2D치과]개방교합(Open bite)이란? : 네이버 블로그
NAVER 블로그
✅ 앞니에 대한 장인정신. Since 2016. 2D치과 ✅
블로그 검색
이 블로그에서 검색
공감 0
칭찬 0
감사 0
웃김 0
놀람 0
슬픔 0
span.u_likeit_button) 공감 face 3개 (전체)) -->
공감 0
공감 0
칭찬 0
감사 0
웃김 0
놀람 0
슬픔 0
댓글
7
공유하기
블로그 주소 변경 불가 안내
블로그 마켓 판매자의 이력 관리를 위해
블로그 주소 변경이 불가합니다.
자세히 보기 레이어 닫기
블로그 아이디가 필요해요!
블로그에서 진짜 나를 기록하고
다양한 이웃과 소식을 만나보세요. 지금 시작해볼까요?
블로그 아이디 만들기 블로그 아이디 만들기 레이어 닫기
blog.naver.com/
입력 내용 삭제
설정한 아이디는 나중에 변경할 수 없으니 신중하게 입력해주세요.
변경 전 공유된 블로그/글/클립 링크는 연결이 끊길 수 있습니다.
네이버 아이디 또는 개인정보가 포함된 문자 사용은 피해주세요.
블로그 도움말에서 아이디 변경 유의사항을 확인해보세요.
나중에 할게요
3개월간 새로운 주소로 연결을 지원하며
이후 언제든 연결이 끊길 수 있습니다.
다시 변경이 불가능합니다.
변경하시겠습니까?
취소 확인
블로그 아이디는 한번 정하면
다시 변경이 불가능합니다.
이 아이디로 블로그를 만들까요?
취소 확인
환영합니다!
블로그 아이디가 만들어졌어요.
blog.naver.com/
바로 시작하기 추가정보 입력하기
나중에 언제든지 변경할 수 있어요.
프로필 이미지 설정
지우기
사진 업로드
취소 적용
별명
블로그명
블로그 주제 주제 없음
엔터테인먼트·예술
문학·책
영화
미술·디자인
공연·전시
음악
드라마
스타·연예인
만화·애니
방송
생활·노하우·쇼핑
일상·생각
육아·결혼
반려동물
좋은글·이미지
패션·미용
인테리어·DIY
요리·레시피
상품리뷰
원예·재배
취미·여가·여행
게임
스포츠
사진
자동차
취미
국내여행
세계여행
맛집
지식·동향
IT·컴퓨터
사회·정치
건강·의학
비즈니스·경제
어학·외국어
교육·학문
주제없음
주제 선택 보류
나중에 할게요
기본정보 입력 주제 선택 이웃 맺기
뒤로가기 버튼
선택한 주제의 글과 이웃을 추천받을 수 있어요.
나중에 할게요
기본정보 입력 주제 선택 이웃 맺기
뒤로가기 버튼
이웃을 맺으면 이웃새글에서 글을 받아볼 수 있어요.
블로그 시작하기
기본정보 입력 주제 선택 이웃 맺기
뒤로가기 버튼
확인
확인
이웃추가 이웃
메뉴 바로가기 본문 바로가기
내 블로그
이웃블로그
블로그 홈
로그인
검색어 켜기
-->
| 블로그 2D 리얼후기 투디_정보 2D 소식 치아교정 | 안부 |
| ✅ 앞니에 대한 장인정신. Since 2016. 2D치과 ✅ |
글쓰기
가벼운 글쓰기툴 퀵에디터가 오픈했어요!
| | | |
| 공지글 글 제목 | 작성일 | |
|---|---|---|
| (19) 공지 [투디치과] 블랙필름(비스포크) 치료의 다양한 사례 | 2021. 9. 24. | |
| 공지 [라미네이트 투디치과] 브레이브걸스 유나&민영님 방문 | 2021. 7. 30. | |
| 공지 2D치과 Brand 소개 | 2017. 8. 31. |
| | | |
| | | |
| | 치아꿀팁 110개의 글 치아꿀팁목록열기 | |
| | | |
| | | |
![[2D치과]개방교합(Open bite)이란? 관련 이미지 1](https://pub-9f2bb3498faf4d1d8714b41df24753e3.r2.dev/content/clinics/archive/grb36g4zmx/naver_blog/dental2d/assets/by_hash/dae674cfcd0c34832f6084857eeefe3f999f779ad9330530009bfa382824a253.jpg)
치아꿀팁
[2D치과]개방교합(Open bite)이란?
2D치과
・ 2017. 9. 20. 15:08
URL 복사
이웃추가
본문 기타 기능
공유하기
신고하기
안녕하세요^^ 일요일도 진료하는 2D치과입니다! 오늘은 개방교합이 무엇인지 알기 쉽게 설명해 드릴게요.
[개방교합]이란?
먼저 교합이란 입을 다물었을 때 위 아래 턱의 치아가 서로 맞물리는 상태구요.
개방교합(open bite)은 상하악(위 아래 턱)의 치아가 서로 맞물리지 않는 상태에요. 구치부 교합(어금니)은 정상이나 앞니만 서로 만나지 않아 개방교합이 되는 경우가 있어요.
[개방교합의 원인]
어릴 때 손가락을 빠는 좋지 않은 구강습관이 원인이 될 수 있고, 유전적인 원인도 있어요.
대부분은 위와 아래 앞니의 발육이 부족하거나 어금니가 과다하게 발육하는 등 골격의 부조화가 원인이에요.
입으로 호흡(구호흡)하게 되면서 생길 수도 있어요. 입으로 호흡하는 경우에는 발음 등 기능적인 문제가 발생할 수 있고, 입안이 타인에 비하여 잘 마르기 때문에 충치가 더 잘 생길 수 있어요. 잇몸도 나빠질 가능성이 크며, 입냄새가 심해지기도 해요.
[치료과정]
어린이의 교정치료는 제한적으로 시행해야 하고, 완전히 성장(16~18세 이후)한 후에 교정 치료와 턱뼈 수술을 해야 해요.
① 수술 전 교정 : 턱뼈 수술을 위한 준비과정으로 평균 6개월∼1년정도 걸려요.
② 턱뼈수술 : 수술 후 보통 3∼7일의 입원 기간이 필요해요.
③ 수술 후 교정 : 새로운 위치로 옮겨진 턱뼈와 치열의 교합을 맞추는 단계에요.
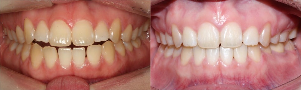
[투디치과 개방교합 교정]
![[2D치과]개방교합(Open bite)이란? 관련 이미지 2](https://pub-9f2bb3498faf4d1d8714b41df24753e3.r2.dev/content/clinics/archive/grb36g4zmx/naver_blog/dental2d/assets/by_hash/1c5876c98da5680538248b2972bed67a32c25ed91e68c1074b23e0177b6ba226.jpg)
개방교합 치료전과 치료후
위 사진은 저희 투디치과에서 개방교합을 교정으로만 마무리 했어요.
원칙은 개방교합을 완벽하게 해결하기 위해서 교정-수술-교정이지만 환자분의 상황에 따라 진행이 되기 때문에 수술을 하기 어려운 경우(입원, 비용 등)에는 교정만으로 해결을 해드린답니다^ ^
혹시 궁금한 사항이 있으면 아래 링크를 누르시고 언제든지 문의해 주세요^^
http://plus.kakao.com/home/@2d2d
2D치과
안녕하세요 2D치과입니다♡ <br/>카톡아이디: 2D2D
plus.kakao.com
2D치과의원
서울특별시 서초구 강남대로 429 동일빌딩 5층
전화
상세보기