아카이브 요약
이 페이지의 역할
2D치과의원의 네이버 블로그 원문을 보존한 아카이브 페이지입니다. 치아꿀팁 카테고리의 강남역치과[투디치과]투디교정/앞니교정 글을 통해 병원의 한국어 정보 제공 방식과 진료 관련 안내 톤을 확인할 수 있습니다.
원문 검증
필요하면 원문 블로그와 병원 프로필로 바로 이동해 문맥을 다시 확인할 수 있습니다.
출처 아카이브 열기아카이브된 블로그 글
치과의원 · ✅ 앞니에 대한 장인정신. Since 2016. 2D치과 ✅
강남역치과[투디치과]투디교정/앞니교정 : 네이버 블로그 NAVER 블로그 ✅ 앞니에 대한 장인정신. Since 2016. 2D치과 ✅ 블로그 검색 이 블로그에서 검색 공감 0 칭찬 0 감사 0 웃김 0 놀람 0 슬픔 0 span.u_likeit_button) 공감 face 3개 (전체)) --> 공감 0 공감 0 칭찬 0...
게시일
2017년 10월 16일
원문 기준으로 확인된 발행일입니다.
카테고리
치아꿀팁
원문 블로그 카테고리를 정리해 함께 표시합니다.
이미지 수
8
현재 아카이브에 연결된 이미지 수입니다.
아카이브 요약
2D치과의원의 네이버 블로그 원문을 보존한 아카이브 페이지입니다. 치아꿀팁 카테고리의 강남역치과[투디치과]투디교정/앞니교정 글을 통해 병원의 한국어 정보 제공 방식과 진료 관련 안내 톤을 확인할 수 있습니다.
원문 검증
필요하면 원문 블로그와 병원 프로필로 바로 이동해 문맥을 다시 확인할 수 있습니다.
출처 아카이브 열기강남역치과[투디치과]투디교정/앞니교정 : 네이버 블로그
NAVER 블로그
✅ 앞니에 대한 장인정신. Since 2016. 2D치과 ✅
블로그 검색
이 블로그에서 검색
공감 0
칭찬 0
감사 0
웃김 0
놀람 0
슬픔 0
span.u_likeit_button) 공감 face 3개 (전체)) -->
공감 0
공감 0
칭찬 0
감사 0
웃김 0
놀람 0
슬픔 0
댓글
16
공유하기
블로그 주소 변경 불가 안내
블로그 마켓 판매자의 이력 관리를 위해
블로그 주소 변경이 불가합니다.
자세히 보기 레이어 닫기
블로그 아이디가 필요해요!
블로그에서 진짜 나를 기록하고
다양한 이웃과 소식을 만나보세요. 지금 시작해볼까요?
블로그 아이디 만들기 블로그 아이디 만들기 레이어 닫기
blog.naver.com/
입력 내용 삭제
설정한 아이디는 나중에 변경할 수 없으니 신중하게 입력해주세요.
변경 전 공유된 블로그/글/클립 링크는 연결이 끊길 수 있습니다.
네이버 아이디 또는 개인정보가 포함된 문자 사용은 피해주세요.
블로그 도움말에서 아이디 변경 유의사항을 확인해보세요.
나중에 할게요
3개월간 새로운 주소로 연결을 지원하며
이후 언제든 연결이 끊길 수 있습니다.
다시 변경이 불가능합니다.
변경하시겠습니까?
취소 확인
블로그 아이디는 한번 정하면
다시 변경이 불가능합니다.
이 아이디로 블로그를 만들까요?
취소 확인
환영합니다!
블로그 아이디가 만들어졌어요.
blog.naver.com/
바로 시작하기 추가정보 입력하기
나중에 언제든지 변경할 수 있어요.
프로필 이미지 설정
지우기
사진 업로드
취소 적용
별명
블로그명
블로그 주제 주제 없음
엔터테인먼트·예술
문학·책
영화
미술·디자인
공연·전시
음악
드라마
스타·연예인
만화·애니
방송
생활·노하우·쇼핑
일상·생각
육아·결혼
반려동물
좋은글·이미지
패션·미용
인테리어·DIY
요리·레시피
상품리뷰
원예·재배
취미·여가·여행
게임
스포츠
사진
자동차
취미
국내여행
세계여행
맛집
지식·동향
IT·컴퓨터
사회·정치
건강·의학
비즈니스·경제
어학·외국어
교육·학문
주제없음
주제 선택 보류
나중에 할게요
기본정보 입력 주제 선택 이웃 맺기
뒤로가기 버튼
선택한 주제의 글과 이웃을 추천받을 수 있어요.
나중에 할게요
기본정보 입력 주제 선택 이웃 맺기
뒤로가기 버튼
이웃을 맺으면 이웃새글에서 글을 받아볼 수 있어요.
블로그 시작하기
기본정보 입력 주제 선택 이웃 맺기
뒤로가기 버튼
확인
확인
이웃추가 이웃
메뉴 바로가기 본문 바로가기
내 블로그
이웃블로그
블로그 홈
로그인
검색어 켜기
-->
| 블로그 2D 리얼후기 투디_정보 2D 소식 치아교정 | 안부 |
| ✅ 앞니에 대한 장인정신. Since 2016. 2D치과 ✅ |
글쓰기
가벼운 글쓰기툴 퀵에디터가 오픈했어요!
| | | |
| 공지글 글 제목 | 작성일 | |
|---|---|---|
| (19) 공지 [투디치과] 블랙필름(비스포크) 치료의 다양한 사례 | 2021. 9. 24. | |
| 공지 [라미네이트 투디치과] 브레이브걸스 유나&민영님 방문 | 2021. 7. 30. | |
| 공지 2D치과 Brand 소개 | 2017. 8. 31. |
| | | |
| | | |
| | 치아꿀팁 110개의 글 치아꿀팁목록열기 | |
| | | |
| | | |
![강남역치과[투디치과]투디교정/앞니교정 관련 이미지 1](https://pub-9f2bb3498faf4d1d8714b41df24753e3.r2.dev/content/clinics/archive/grb36g4zmx/naver_blog/dental2d/assets/by_hash/3b3bd2862198e28087862bbed9aaf3d2164e73f1480edbea48e02f2f8bf5c8d3.jpg)
치아꿀팁
강남역치과[투디치과]투디교정/앞니교정
2D치과
・ 2017. 10. 16. 16:08
URL 복사
이웃추가
본문 기타 기능
공유하기
신고하기
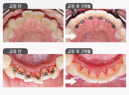
안녕하세요 일요일도 교정하는 2d치과입니다^^
투디교정 많이 들어보셨죠^^? 오늘은 투디교정에 대해서 설명드릴게요!
![강남역치과[투디치과]투디교정/앞니교정 관련 이미지 2](https://pub-9f2bb3498faf4d1d8714b41df24753e3.r2.dev/content/clinics/archive/grb36g4zmx/naver_blog/dental2d/assets/by_hash/b4064c56d778a3b22feba63ed68600b7c2a7e671efcae97869e3a9561e9fbd24.png)
투디치과 투디교정
![강남역치과[투디치과]투디교정/앞니교정 관련 이미지 3](https://pub-9f2bb3498faf4d1d8714b41df24753e3.r2.dev/content/clinics/archive/grb36g4zmx/naver_blog/dental2d/assets/by_hash/3b3bd2862198e28087862bbed9aaf3d2164e73f1480edbea48e02f2f8bf5c8d3.jpg)
![강남역치과[투디치과]투디교정/앞니교정 관련 이미지 4](https://pub-9f2bb3498faf4d1d8714b41df24753e3.r2.dev/content/clinics/archive/grb36g4zmx/naver_blog/dental2d/assets/by_hash/171e0ebd81f1be944495b8dcbaf6fc950b6dd8a732677d3a66fbd23a61b492de.jpg)
![강남역치과[투디치과]투디교정/앞니교정 관련 이미지 5](https://pub-9f2bb3498faf4d1d8714b41df24753e3.r2.dev/content/clinics/archive/grb36g4zmx/naver_blog/dental2d/assets/by_hash/c103a8cc676d4556d71d0f9da09abbf3ba839c6e71eb80c57f13acb246e83d4d.jpg)
작은 사이즈의 교정기가 설측으로 들어가기 때문에 입속 이물감이 최소화된 교정장치에요^^
![강남역치과[투디치과]투디교정/앞니교정 관련 이미지 6](https://pub-9f2bb3498faf4d1d8714b41df24753e3.r2.dev/content/clinics/archive/grb36g4zmx/naver_blog/dental2d/assets/by_hash/77d7062a10bd1a7c08519a1eae77bda7148dbba2552384eee27fef6ec50566fa.jpg)
설측으로 들어가기 때문에 겉에서 봤을땐 티가 전혀 안나요.
![강남역치과[투디치과]투디교정/앞니교정 관련 이미지 7](https://pub-9f2bb3498faf4d1d8714b41df24753e3.r2.dev/content/clinics/archive/grb36g4zmx/naver_blog/dental2d/assets/by_hash/ac086b0ced7e989256c5a95325bf75e005c70a191320d98333c0dba271cc5670.png)
![강남역치과[투디치과]투디교정/앞니교정 관련 이미지 8](https://pub-9f2bb3498faf4d1d8714b41df24753e3.r2.dev/content/clinics/archive/grb36g4zmx/naver_blog/dental2d/assets/by_hash/204cc0f576ec5baddf7546758deb7183dab7faca6d34c082ab4839551128bd87.png)
투디(2D)치과의원
병원 둘러보기 환자의 편안함을 생각하는 2D치과 더보기 의료진 소개 2D치과 의료진들을 소개합니다. 더보기 왜 이제는 2D교정 을 찾나요? 최신 앞니설측 교정방법으로 장치 두께가 얇아 직장인들에게 인기가 많으며 미세조절이 가능합니다. 평균 3개월 우수한 심미성 장치두께 1.3mm 똑부러지는 발음 오시는 길 서울시 서초구 강남대로 429, 동일 빌딩 (카카오프렌즈건물) 5층 02-512-2295 온라인상담 카카오톡 상담 진료시간 12 3 6 9 월, 수 AM 10:00 - PM 07:00 화,목, 금 AM 10:00 - PM 09:0
2d2d.co.kr
2D치과의원
서울특별시 서초구 강남대로 429 동일빌딩 5층
전화
상세보기