아카이브 요약
이 페이지의 역할
2D치과의원의 네이버 블로그 원문을 보존한 아카이브 페이지입니다. 치아꿀팁 카테고리의 라미네이트에서 중요한 것은..심미적 요소, 블링스 글을 통해 병원의 한국어 정보 제공 방식과 진료 관련 안내 톤을 확인할 수 있습니다.
원문 검증
필요하면 원문 블로그와 병원 프로필로 바로 이동해 문맥을 다시 확인할 수 있습니다.
출처 아카이브 열기아카이브된 블로그 글
치과의원 · ✅ 앞니에 대한 장인정신. Since 2016. 2D치과 ✅
라미네이트에서 중요한 것은..심미적 요소, 블링스 : 네이버 블로그 NAVER 블로그 ✅ 앞니에 대한 장인정신. Since 2016. 2D치과 ✅ 블로그 검색 이 블로그에서 검색 공감 0 칭찬 0 감사 0 웃김 0 놀람 0 슬픔 0 span.u_likeit_button) 공감 face 3개 (전체)) --> 공감 0 공감...
게시일
2017년 12월 21일
원문 기준으로 확인된 발행일입니다.
카테고리
치아꿀팁
원문 블로그 카테고리를 정리해 함께 표시합니다.
이미지 수
9
현재 아카이브에 연결된 이미지 수입니다.
아카이브 요약
2D치과의원의 네이버 블로그 원문을 보존한 아카이브 페이지입니다. 치아꿀팁 카테고리의 라미네이트에서 중요한 것은..심미적 요소, 블링스 글을 통해 병원의 한국어 정보 제공 방식과 진료 관련 안내 톤을 확인할 수 있습니다.
원문 검증
필요하면 원문 블로그와 병원 프로필로 바로 이동해 문맥을 다시 확인할 수 있습니다.
출처 아카이브 열기라미네이트에서 중요한 것은..심미적 요소, 블링스 : 네이버 블로그
NAVER 블로그
✅ 앞니에 대한 장인정신. Since 2016. 2D치과 ✅
블로그 검색
이 블로그에서 검색
공감 0
칭찬 0
감사 0
웃김 0
놀람 0
슬픔 0
span.u_likeit_button) 공감 face 3개 (전체)) -->
공감 0
공감 0
칭찬 0
감사 0
웃김 0
놀람 0
슬픔 0
첫 댓글을 남겨보세요
공유하기
블로그 주소 변경 불가 안내
블로그 마켓 판매자의 이력 관리를 위해
블로그 주소 변경이 불가합니다.
자세히 보기 레이어 닫기
블로그 아이디가 필요해요!
블로그에서 진짜 나를 기록하고
다양한 이웃과 소식을 만나보세요. 지금 시작해볼까요?
블로그 아이디 만들기 블로그 아이디 만들기 레이어 닫기
blog.naver.com/
입력 내용 삭제
설정한 아이디는 나중에 변경할 수 없으니 신중하게 입력해주세요.
변경 전 공유된 블로그/글/클립 링크는 연결이 끊길 수 있습니다.
네이버 아이디 또는 개인정보가 포함된 문자 사용은 피해주세요.
블로그 도움말에서 아이디 변경 유의사항을 확인해보세요.
나중에 할게요
3개월간 새로운 주소로 연결을 지원하며
이후 언제든 연결이 끊길 수 있습니다.
다시 변경이 불가능합니다.
변경하시겠습니까?
취소 확인
블로그 아이디는 한번 정하면
다시 변경이 불가능합니다.
이 아이디로 블로그를 만들까요?
취소 확인
환영합니다!
블로그 아이디가 만들어졌어요.
blog.naver.com/
바로 시작하기 추가정보 입력하기
나중에 언제든지 변경할 수 있어요.
프로필 이미지 설정
지우기
사진 업로드
취소 적용
별명
블로그명
블로그 주제 주제 없음
엔터테인먼트·예술
문학·책
영화
미술·디자인
공연·전시
음악
드라마
스타·연예인
만화·애니
방송
생활·노하우·쇼핑
일상·생각
육아·결혼
반려동물
좋은글·이미지
패션·미용
인테리어·DIY
요리·레시피
상품리뷰
원예·재배
취미·여가·여행
게임
스포츠
사진
자동차
취미
국내여행
세계여행
맛집
지식·동향
IT·컴퓨터
사회·정치
건강·의학
비즈니스·경제
어학·외국어
교육·학문
주제없음
주제 선택 보류
나중에 할게요
기본정보 입력 주제 선택 이웃 맺기
뒤로가기 버튼
선택한 주제의 글과 이웃을 추천받을 수 있어요.
나중에 할게요
기본정보 입력 주제 선택 이웃 맺기
뒤로가기 버튼
이웃을 맺으면 이웃새글에서 글을 받아볼 수 있어요.
블로그 시작하기
기본정보 입력 주제 선택 이웃 맺기
뒤로가기 버튼
확인
확인
이웃추가 이웃
메뉴 바로가기 본문 바로가기
내 블로그
이웃블로그
블로그 홈
로그인
검색어 켜기
-->
| 블로그 2D 리얼후기 투디_정보 2D 소식 치아교정 | 안부 |
| ✅ 앞니에 대한 장인정신. Since 2016. 2D치과 ✅ |
글쓰기
가벼운 글쓰기툴 퀵에디터가 오픈했어요!
| | | |
| 공지글 글 제목 | 작성일 | |
|---|---|---|
| (19) 공지 [투디치과] 블랙필름(비스포크) 치료의 다양한 사례 | 2021. 9. 24. | |
| 공지 [라미네이트 투디치과] 브레이브걸스 유나&민영님 방문 | 2021. 7. 30. | |
| 공지 2D치과 Brand 소개 | 2017. 8. 31. |
| | | |
| | | |
| | 치아꿀팁 110개의 글 치아꿀팁목록열기 | |
| | | |
| | | |

치아꿀팁
라미네이트에서 중요한 것은..심미적 요소, 블링스
2D치과
・ 2017. 12. 21. 16:38
URL 복사
이웃추가
본문 기타 기능
공유하기
신고하기
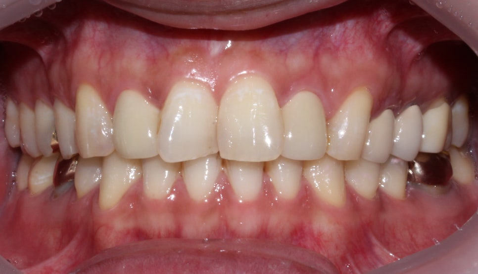
안녕하세요 일요일도 교정하는 2D치과입니다~
많은 분들께서 라미네이트에 대해 관심이 많으실텐데요~ 심미성, 치아의 삭제량, 치아교정 필요 유무 등에 대한 이야기를 해보려고합니다. 환자치료 전후사진 비교는 의료법상 문제가 될 수 있어 이번 포스팅 취지에 맞는 사진만 사용하였습니다~ 사진 사용을 허락해주신 환자분께 감사드립니다^^

어떤게 심미적인 미소일까? 2D치과
위의 예쁘게 웃고 계신 저희 환자분의 치료전 사진과 비교하여 설명 드리겠습니다~ 위사진도 웃는 모습이 매력적이고 이쁘지만 냉정한 심미안으로 분석해보겠습니다^^
심미적인 미소의 기준은 모두에게 다르게 적용되겠지만 "치료를 위한 심미"의 기준을 라미네이트, 치아교정과 관련하여 함께 차근차근 설명해보도록 하죠~!
참고로 저희 투디치과에서는 최고의 심미성이 요구되는 전치부의 경우 CAD CAM만 사용하여 하루만에 깎아내는 라미네이트는 사용하지 않습니다.

100시간의 법칙 Handmade 라미네이트 (2D치과)
심미보철 전문 치과기공사가 CAD-CAM 첫 공정 이후 10가지 단계의 수작업 공정을 통해 자연치아와 구분이 어려울 정도의 자연스럽고 심미적인 치아를 제작합니다.

스마일라인
1.Smile Line 상악 치열의 곡선이 아랫 입술의 곡선과 평행해야 미소가 심미적입니다. 이는 상악 치열의 절단연(씹는면)이 부드럽게 연결되면서 동시에 치아의 길이도 곡선에 맞게 생각해줘야합니다. 저희 환자분 사진으로 올라가보시면 치아가 삐뚤거리는 동시에 송곳이의 길이가 길어 평행함을 유지하고있지 못합니다. 이런경우 송곳니에서 반대편 송곳니까지 총 6개 치아 블링스(2D치과 handmade 라미네이트)를 할 수 있으며 조금 더 바람직한 치료 계획은 치아교정으로 치아를 가지런하게 한 후 꼭 필요한 치아들만 블링스 치료를 하는 것입니다.

가지런하지 못한 치열
2.가지런한 치열 당연하지만 치아가 가지런해야 심미적이라고 할 수 있습니다. 삐뚤거리는 치아는 그대로 놔두고 라미네이트로 가지런하게 할 수 있는지 많은 분들께서 물어보십니다. 정답은 "상황에 따라 다르다"입니다. 저희 치과에서는 환자분 치아의 형태가 정상적이지 못하여 치아교정 후에도 심미적이지 않을 것으로 예상되는 경우에는 심미성이 매우 우수한 블링스(Handmade 라미네이트)를 권장하며 이러한 경우도 가장 좋은 것은
[앞니교정 194일] 2D교정 28
안녕하세요 일요일도 교정하는 2D치과입니다 아래 앞니가 삐뚤거려요 하악 crowding -2D치과 2D교정 cas...
blog.naver.com
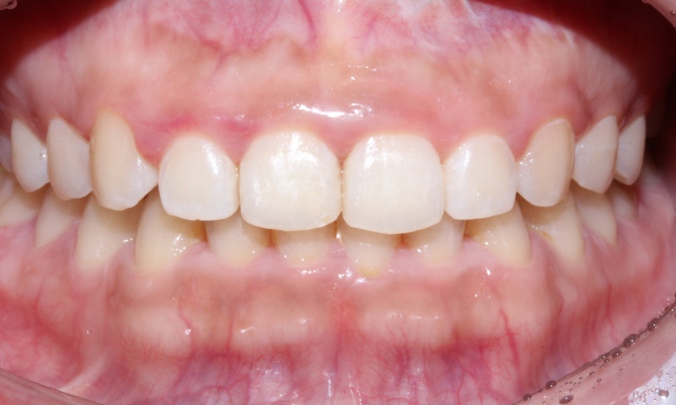
투디교정으로 앞니를 가지런하게 한 후 모양과 색까지 개선 할 수 있는 블링스를 진행하는 것이 좋겠습니다.

치아의 모양과 비율, 라미네이트가 필요할 수 있습니다.
3.치아의 모양과 비율 형태학적으로 이상이 없고 인접치와의 비율, 치아의 가로/세로 비율 등을 만족해야 심미적인 미소라고 할 수 있습니다. 이런 경우 치아는 가지런한데 환자분께서 뭔가 웃을 때 안 이쁘다고 합니다. 위의 사진도 저희 투디치과에서 치료받으신 환자분의 사진인데 교정 후 심미적이지 못한 치아의 가로/세로 비율과 치아의 모양 때문에 블링스(라미네이트)를 진행하셨습니다. 다시 맨 위로 올라가셔서 환자분 사진을 보면 측절치하나가 뾰족한 것을 보실 수 있습니다. 보통 이러한 기형치(peg lateralis)가 자주 발생하는데 교정만으로는 모양을 바꿀 수 없기 때문에 블링스와 같은 보철치료가 동반되어야 합니다.

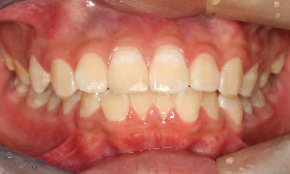
치아의 얼룩이나 미백으로 해결되지 않는 색상 문제.
4.치아의 색깔과 표면 상태 당연한 이야기겠지만 하얗고 표면에 얼룩이 없는 치아가 심미적이라고 할 수 있습니다. 여기서 중요한 것은 사람의 치아는 사실 순백색이 아니라는 것입니다. 적절한 투명도와 함께 부위/깊이 별로 다른 색과 투명함이 요구됩니다.

2D치과 Handmade 라미네이트
일반적으로 CAD-CAM만 이용하여 블럭을 깎아서 반나절만에 만든 라미네이트의 경우 세라믹 Build-up을 통해 치과기공사가 수제작한 결과물과 비교해보면 색상이나 투명도에서 차이가 날 수 있습니다.

2D치과 블링스 (Handmade 라미네이트)
5.오래된/비심미적인 보철물 마지막으로 치열이 가지런하고 예뻐도 오래전에 치료한 라미네이트가 심미적이지 못하다거나, 비심미적인 재료나 방식을 이용한 보철물이 있는 경우입니다. 생각보다 우리의 치아는 정교하고 복잡합니다. 약간만 색(shade), 투명도(translucency) 등 이 맞지 않으면 눈에 거슬립니다.
위의 다양한 요소들이 서로 영향을 주고 연결되어 우리의 예쁜 미소를 책임지고 있습니다~ 또한 기계가 반영하지 못하는 섬세하고 정교한 공정이 명품 라미네이트와 명품 미소를 만들어줍니다~~
이번 포스팅은 여기서 마무리하겠습니다. 긴글 읽어주신 여러분께 감사드립니다~^^
블링스 홈페이지 https://www.blinx.co.kr
블링스(blinx) 2D치과
10단계 핸드메이드 치아예술 블링스(blinx) 40 color의 급이 다른 심미성
2D치과
안녕하세요 2D치과입니다♡ 카톡아이디: 2D2D
plus.kakao.com
100시간의 법칙 Handmade 라미네이트 블링스
블링스,라미네이트,치아교정 대해 궁금하신 점이 있으시면 위의 카톡상담을 눌러주세요~
2D치과는 강남역/신논현역에 위치하고 있습니다.