아카이브 요약
이 페이지의 역할
2D치과의원의 네이버 블로그 원문을 보존한 아카이브 페이지입니다. 치아꿀팁 카테고리의 오래된 앞니 블링스로 다시 씌우기 :: 강남역 투디치과 글을 통해 병원의 한국어 정보 제공 방식과 진료 관련 안내 톤을 확인할 수 있습니다.
원문 검증
필요하면 원문 블로그와 병원 프로필로 바로 이동해 문맥을 다시 확인할 수 있습니다.
출처 아카이브 열기아카이브된 블로그 글
치과의원 · ✅ 앞니에 대한 장인정신. Since 2016. 2D치과 ✅
오래된 앞니 블링스로 다시 씌우기 :: 강남역 투디치과 : 네이버 블로그 NAVER 블로그 ✅ 앞니에 대한 장인정신. Since 2016. 2D치과 ✅ 블로그 검색 이 블로그에서 검색 공감 0 칭찬 0 감사 0 웃김 0 놀람 0 슬픔 0 span.u_likeit_button) 공감 face 3개 (전체)) --> 공감 0...
게시일
2017년 12월 27일
원문 기준으로 확인된 발행일입니다.
카테고리
치아꿀팁
원문 블로그 카테고리를 정리해 함께 표시합니다.
이미지 수
4
현재 아카이브에 연결된 이미지 수입니다.
아카이브 요약
2D치과의원의 네이버 블로그 원문을 보존한 아카이브 페이지입니다. 치아꿀팁 카테고리의 오래된 앞니 블링스로 다시 씌우기 :: 강남역 투디치과 글을 통해 병원의 한국어 정보 제공 방식과 진료 관련 안내 톤을 확인할 수 있습니다.
원문 검증
필요하면 원문 블로그와 병원 프로필로 바로 이동해 문맥을 다시 확인할 수 있습니다.
출처 아카이브 열기오래된 앞니 블링스로 다시 씌우기 :: 강남역 투디치과 : 네이버 블로그
NAVER 블로그
✅ 앞니에 대한 장인정신. Since 2016. 2D치과 ✅
블로그 검색
이 블로그에서 검색
공감 0
칭찬 0
감사 0
웃김 0
놀람 0
슬픔 0
span.u_likeit_button) 공감 face 3개 (전체)) -->
공감 0
공감 0
칭찬 0
감사 0
웃김 0
놀람 0
슬픔 0
댓글
1
공유하기
블로그 주소 변경 불가 안내
블로그 마켓 판매자의 이력 관리를 위해
블로그 주소 변경이 불가합니다.
자세히 보기 레이어 닫기
블로그 아이디가 필요해요!
블로그에서 진짜 나를 기록하고
다양한 이웃과 소식을 만나보세요. 지금 시작해볼까요?
블로그 아이디 만들기 블로그 아이디 만들기 레이어 닫기
blog.naver.com/
입력 내용 삭제
설정한 아이디는 나중에 변경할 수 없으니 신중하게 입력해주세요.
변경 전 공유된 블로그/글/클립 링크는 연결이 끊길 수 있습니다.
네이버 아이디 또는 개인정보가 포함된 문자 사용은 피해주세요.
블로그 도움말에서 아이디 변경 유의사항을 확인해보세요.
나중에 할게요
3개월간 새로운 주소로 연결을 지원하며
이후 언제든 연결이 끊길 수 있습니다.
다시 변경이 불가능합니다.
변경하시겠습니까?
취소 확인
블로그 아이디는 한번 정하면
다시 변경이 불가능합니다.
이 아이디로 블로그를 만들까요?
취소 확인
환영합니다!
블로그 아이디가 만들어졌어요.
blog.naver.com/
바로 시작하기 추가정보 입력하기
나중에 언제든지 변경할 수 있어요.
프로필 이미지 설정
지우기
사진 업로드
취소 적용
별명
블로그명
블로그 주제 주제 없음
엔터테인먼트·예술
문학·책
영화
미술·디자인
공연·전시
음악
드라마
스타·연예인
만화·애니
방송
생활·노하우·쇼핑
일상·생각
육아·결혼
반려동물
좋은글·이미지
패션·미용
인테리어·DIY
요리·레시피
상품리뷰
원예·재배
취미·여가·여행
게임
스포츠
사진
자동차
취미
국내여행
세계여행
맛집
지식·동향
IT·컴퓨터
사회·정치
건강·의학
비즈니스·경제
어학·외국어
교육·학문
주제없음
주제 선택 보류
나중에 할게요
기본정보 입력 주제 선택 이웃 맺기
뒤로가기 버튼
선택한 주제의 글과 이웃을 추천받을 수 있어요.
나중에 할게요
기본정보 입력 주제 선택 이웃 맺기
뒤로가기 버튼
이웃을 맺으면 이웃새글에서 글을 받아볼 수 있어요.
블로그 시작하기
기본정보 입력 주제 선택 이웃 맺기
뒤로가기 버튼
확인
확인
이웃추가 이웃
메뉴 바로가기 본문 바로가기
내 블로그
이웃블로그
블로그 홈
로그인
검색어 켜기
-->
| 블로그 2D 리얼후기 투디_정보 2D 소식 치아교정 | 안부 |
| ✅ 앞니에 대한 장인정신. Since 2016. 2D치과 ✅ |
글쓰기
가벼운 글쓰기툴 퀵에디터가 오픈했어요!
| | | |
| 공지글 글 제목 | 작성일 | |
|---|---|---|
| (19) 공지 [투디치과] 블랙필름(비스포크) 치료의 다양한 사례 | 2021. 9. 24. | |
| 공지 [라미네이트 투디치과] 브레이브걸스 유나&민영님 방문 | 2021. 7. 30. | |
| 공지 2D치과 Brand 소개 | 2017. 8. 31. |
| | | |
| | | |
| | 치아꿀팁 110개의 글 치아꿀팁목록열기 | |
| | | |
| | | |

치아꿀팁
오래된 앞니 블링스로 다시 씌우기 :: 강남역 투디치과
2D치과
・ 2017. 12. 27. 23:32
URL 복사
이웃추가
본문 기타 기능
공유하기
신고하기
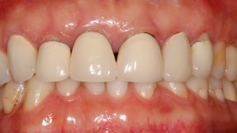
일요일도 진료하는 강남역 2D치과입니다.
예전에 씌웠던 앞니 잇몸부분이 까맣게 보여서 웃을 때 신경쓰여요. 색깔도 다른 치아 보다 둔탁하고 가짜치아 느낌이 많이 나요.

다시 씌워도 까맣고 가짜 치아 느낌 많이 나는거 아닌가요? 라고 고민하시는 분들이 많습니다.
최대한 자연스럽게 내 치아같이 인위적이지 않고 예쁘게 앞니를 다시 씌우고 싶으신 분들께 블링스를 추천 해드립니다.
100시간의 법칙 블링스란?

당일 날 뚝딱 성의없이 만드는 치아가 아닌 원칙을 지켜가며 내 치아와 가장 비슷한 색깔과 모양을 최고의 전문가들이 모여 만듭니다.
치아를 새로 만드는데는 적어도 100시간 10단계의 작업을 거쳐야하는데 단 몇 시간만에 만들면 중간 기공 과정을 뛰어넘다보니 색상이나 모양이 생각보다 정교하지않게 제작이 됩니다.
10년은 족히 사용해야하는 내 소중한 치아를 위해 분야별 최고의 전문가들이 함께 제작하는 블링스

블링스로 제작된 앞니 어떤게 블링스고 어떤게 치아인지 구분하기 힘들정도로 정교한 블링스
기존에 씌운 앞니가 티나서 제대로 웃지 못하는 분들에게 블링스를 추천드립니다.
블링스 홈페이지 https://www.blinx.co.kr
블링스(blinx) 2D치과
10단계 핸드메이드 치아예술 블링스(blinx) 40 color의 급이 다른 심미성
블링스 전문 2D치과 02.512.2295 카톡상담 2d2d
#블링스 #BLINX #망한앞니 #앞니깨짐 #오래된앞니 #예전에씌운앞니 #티안나게앞니씌우기 #연예인앞니 #연예인라미네이트