아카이브 요약
이 페이지의 역할
2D치과의원의 네이버 블로그 원문을 보존한 아카이브 페이지입니다. 치아교정 카테고리의 투명교정. 그것이 알고싶다! 글을 통해 병원의 한국어 정보 제공 방식과 진료 관련 안내 톤을 확인할 수 있습니다.
원문 검증
필요하면 원문 블로그와 병원 프로필로 바로 이동해 문맥을 다시 확인할 수 있습니다.
출처 아카이브 열기아카이브된 블로그 글
치과의원 · ✅ 앞니에 대한 장인정신. Since 2016. 2D치과 ✅
투명교정. 그것이 알고싶다! : 네이버 블로그 NAVER 블로그 ✅ 앞니에 대한 장인정신. Since 2016. 2D치과 ✅ 블로그 검색 이 블로그에서 검색 공감 0 칭찬 0 감사 0 웃김 0 놀람 0 슬픔 0 span.u_likeit_button) 공감 face 3개 (전체)) --> 공감 0 공감 0 칭찬 0 감사 0...
게시일
2018년 6월 20일
원문 기준으로 확인된 발행일입니다.
카테고리
치아교정
원문 블로그 카테고리를 정리해 함께 표시합니다.
이미지 수
4
현재 아카이브에 연결된 이미지 수입니다.
아카이브 요약
2D치과의원의 네이버 블로그 원문을 보존한 아카이브 페이지입니다. 치아교정 카테고리의 투명교정. 그것이 알고싶다! 글을 통해 병원의 한국어 정보 제공 방식과 진료 관련 안내 톤을 확인할 수 있습니다.
원문 검증
필요하면 원문 블로그와 병원 프로필로 바로 이동해 문맥을 다시 확인할 수 있습니다.
출처 아카이브 열기투명교정. 그것이 알고싶다! : 네이버 블로그
NAVER 블로그
✅ 앞니에 대한 장인정신. Since 2016. 2D치과 ✅
블로그 검색
이 블로그에서 검색
공감 0
칭찬 0
감사 0
웃김 0
놀람 0
슬픔 0
span.u_likeit_button) 공감 face 3개 (전체)) -->
공감 0
공감 0
칭찬 0
감사 0
웃김 0
놀람 0
슬픔 0
댓글
5
공유하기
블로그 주소 변경 불가 안내
블로그 마켓 판매자의 이력 관리를 위해
블로그 주소 변경이 불가합니다.
자세히 보기 레이어 닫기
블로그 아이디가 필요해요!
블로그에서 진짜 나를 기록하고
다양한 이웃과 소식을 만나보세요. 지금 시작해볼까요?
블로그 아이디 만들기 블로그 아이디 만들기 레이어 닫기
blog.naver.com/
입력 내용 삭제
설정한 아이디는 나중에 변경할 수 없으니 신중하게 입력해주세요.
변경 전 공유된 블로그/글/클립 링크는 연결이 끊길 수 있습니다.
네이버 아이디 또는 개인정보가 포함된 문자 사용은 피해주세요.
블로그 도움말에서 아이디 변경 유의사항을 확인해보세요.
나중에 할게요
3개월간 새로운 주소로 연결을 지원하며
이후 언제든 연결이 끊길 수 있습니다.
다시 변경이 불가능합니다.
변경하시겠습니까?
취소 확인
블로그 아이디는 한번 정하면
다시 변경이 불가능합니다.
이 아이디로 블로그를 만들까요?
취소 확인
환영합니다!
블로그 아이디가 만들어졌어요.
blog.naver.com/
바로 시작하기 추가정보 입력하기
나중에 언제든지 변경할 수 있어요.
프로필 이미지 설정
지우기
사진 업로드
취소 적용
별명
블로그명
블로그 주제 주제 없음
엔터테인먼트·예술
문학·책
영화
미술·디자인
공연·전시
음악
드라마
스타·연예인
만화·애니
방송
생활·노하우·쇼핑
일상·생각
육아·결혼
반려동물
좋은글·이미지
패션·미용
인테리어·DIY
요리·레시피
상품리뷰
원예·재배
취미·여가·여행
게임
스포츠
사진
자동차
취미
국내여행
세계여행
맛집
지식·동향
IT·컴퓨터
사회·정치
건강·의학
비즈니스·경제
어학·외국어
교육·학문
주제없음
주제 선택 보류
나중에 할게요
기본정보 입력 주제 선택 이웃 맺기
뒤로가기 버튼
선택한 주제의 글과 이웃을 추천받을 수 있어요.
나중에 할게요
기본정보 입력 주제 선택 이웃 맺기
뒤로가기 버튼
이웃을 맺으면 이웃새글에서 글을 받아볼 수 있어요.
블로그 시작하기
기본정보 입력 주제 선택 이웃 맺기
뒤로가기 버튼
확인
확인
이웃추가 이웃
메뉴 바로가기 본문 바로가기
내 블로그
이웃블로그
블로그 홈
로그인
검색어 켜기
-->
| 블로그 2D 리얼후기 투디_정보 2D 소식 치아교정 | 안부 |
| ✅ 앞니에 대한 장인정신. Since 2016. 2D치과 ✅ |
글쓰기
가벼운 글쓰기툴 퀵에디터가 오픈했어요!
| | | |
| 공지글 글 제목 | 작성일 | |
|---|---|---|
| (19) 공지 [투디치과] 블랙필름(비스포크) 치료의 다양한 사례 | 2021. 9. 24. | |
| 공지 [라미네이트 투디치과] 브레이브걸스 유나&민영님 방문 | 2021. 7. 30. | |
| 공지 2D치과 Brand 소개 | 2017. 8. 31. |
| | | |
| | | |
| | 치아교정 152개의 글 치아교정목록열기 | |
| | | |
| | | |
치아교정
투명교정. 그것이 알고싶다!
2D치과
・ 2018. 6. 20. 17:11
URL 복사
이웃추가
본문 기타 기능
공유하기
신고하기
안녕하세요~^^ 원칙을 지키는 치과 2D치과입니다,
오늘은 요즘에 정말 말도많고 탈도많았던 투명교정 케이스를 들고왔답니다 ㅎㅎ
투명교정. 정말 하나마나한, 효과가 1도 없는 교정방법일까요?
정답은 아닙니다~!!!
투명교정으로 만족할만한 결과를 얻으신 분도 정말정말 많아요~!!
눈에 보이는 장치에만 의존했던 예전 교정치료와 비교하면 정말 혁신적인 교정방법이죠~
하지만!! 지금 문제가 되고있는 이유는 투명교정에 적합하지 않은 케이스를 무리하게 "모두 다 됩니다" "안돼는건 없습니다" "무조건 됩니다!!!!!"
라는 식의 사이비 종교와도 같은..ㅋㅋ 다 된다라는 진단때문이였죠 ㅠ_ㅠ
투명교정은 가능한 케이스가 한정적이기 때문에 교정과 전문의의 정확한 진단이 중요하답니다!!
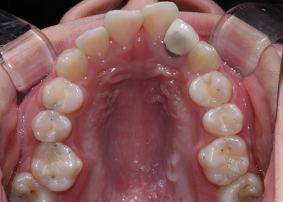
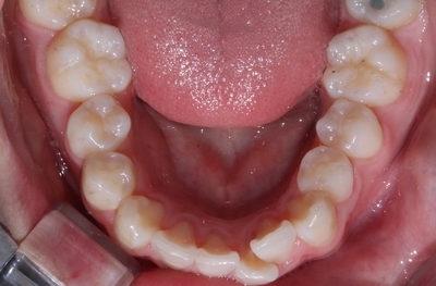
앞니가 튀어나왔고, 아랫니도 삐뚤삐뚤해요..


윗니가 앞으로 많이 뻐드러져있고, 아랫니도 공간이 부족해서 치아가 꽤 많이 삐뚤삐뚤 한 걸 확인할 수 있습니다 ㅠ_ㅠ
눈에 보이는 장치는 정말정말 하고 싶지 않다고 하셔서 원장님과 1:1 맞춤상담을 걸쳐 투명으로 진행하기로 결정하셨어요!!
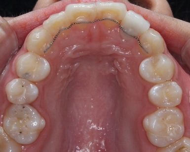
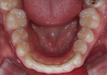
"투명교정은 큰어금니까지 움직이기에는 한계가 있기때문에 큰 어금니가 안쪽으로 치우쳐져 있는 것에 대해서는 개선이 어렵습니다"
라고
가능한 점과 한계점을 모두 자세히 설명드리고 동의하고 진행하기로 하셨습니다~^^
결과는?????


10개월간의 노력끝에 투명교정으로 만족할 만한 결과를 얻어가셨답니다 ^_________^
정확한 진단과 정확한 장치제작도 중요하지만 투명교정은 본인이 장치를 정말 열!심!히! 껴주셔야 좋은 결과가 나온답니다~^^
10개월간 열심히 노력해주신 환자분께도 박수를!!!!짝짝짝!!ㅋㅋ
투명교정으로 너무 오랜기간 끌고가게 되면 환자분도 중간에 지치게 되요 ㅠ_ㅠ
때문에 저희 병원은 1년 이상 넘어갈 것 같은 투명교정 케이스는 왠만해서는 무리하게 권해드리지 않고 있답니다..!!
2D치과에 오셔서 투명교정으로 가능 여부를 교정과 전문의 원장님께 정확히 상담받아보세요~^^
2D치과 상담책임 윤지희 010-3303-2875
친절하게 상담 도와드리겠습니다. 언제든 연락주세용 ♥
카톡환영 :)