아카이브 요약
이 페이지의 역할
2D치과의원의 네이버 블로그 원문을 보존한 아카이브 페이지입니다. 치아교정 카테고리의 (2D)투디치과: 성장기 어린이 비발치 부정교합 후기 과정. 글을 통해 병원의 한국어 정보 제공 방식과 진료 관련 안내 톤을 확인할 수 있습니다.
원문 검증
필요하면 원문 블로그와 병원 프로필로 바로 이동해 문맥을 다시 확인할 수 있습니다.
출처 아카이브 열기아카이브된 블로그 글
치과의원 · ✅ 앞니에 대한 장인정신. Since 2016. 2D치과 ✅
(2D)투디치과: 성장기 어린이 비발치 부정교합 후기 과정. : 네이버 블로그 NAVER 블로그 ✅ 앞니에 대한 장인정신. Since 2016. 2D치과 ✅ 블로그 검색 이 블로그에서 검색 공감 0 칭찬 0 감사 0 웃김 0 놀람 0 슬픔 0 span.u_likeit_button) 공감 face 3개 (전체)) --> 공...
게시일
2018년 10월 23일
원문 기준으로 확인된 발행일입니다.
카테고리
치아교정
원문 블로그 카테고리를 정리해 함께 표시합니다.
이미지 수
8
현재 아카이브에 연결된 이미지 수입니다.
아카이브 요약
2D치과의원의 네이버 블로그 원문을 보존한 아카이브 페이지입니다. 치아교정 카테고리의 (2D)투디치과: 성장기 어린이 비발치 부정교합 후기 과정. 글을 통해 병원의 한국어 정보 제공 방식과 진료 관련 안내 톤을 확인할 수 있습니다.
원문 검증
필요하면 원문 블로그와 병원 프로필로 바로 이동해 문맥을 다시 확인할 수 있습니다.
출처 아카이브 열기(2D)투디치과: 성장기 어린이 비발치 부정교합 후기 과정. : 네이버 블로그
NAVER 블로그
✅ 앞니에 대한 장인정신. Since 2016. 2D치과 ✅
블로그 검색
이 블로그에서 검색
공감 0
칭찬 0
감사 0
웃김 0
놀람 0
슬픔 0
span.u_likeit_button) 공감 face 3개 (전체)) -->
공감 0
공감 0
칭찬 0
감사 0
웃김 0
놀람 0
슬픔 0
댓글
11
공유하기
블로그 주소 변경 불가 안내
블로그 마켓 판매자의 이력 관리를 위해
블로그 주소 변경이 불가합니다.
자세히 보기 레이어 닫기
블로그 아이디가 필요해요!
블로그에서 진짜 나를 기록하고
다양한 이웃과 소식을 만나보세요. 지금 시작해볼까요?
블로그 아이디 만들기 블로그 아이디 만들기 레이어 닫기
blog.naver.com/
입력 내용 삭제
설정한 아이디는 나중에 변경할 수 없으니 신중하게 입력해주세요.
변경 전 공유된 블로그/글/클립 링크는 연결이 끊길 수 있습니다.
네이버 아이디 또는 개인정보가 포함된 문자 사용은 피해주세요.
블로그 도움말에서 아이디 변경 유의사항을 확인해보세요.
나중에 할게요
3개월간 새로운 주소로 연결을 지원하며
이후 언제든 연결이 끊길 수 있습니다.
다시 변경이 불가능합니다.
변경하시겠습니까?
취소 확인
블로그 아이디는 한번 정하면
다시 변경이 불가능합니다.
이 아이디로 블로그를 만들까요?
취소 확인
환영합니다!
블로그 아이디가 만들어졌어요.
blog.naver.com/
바로 시작하기 추가정보 입력하기
나중에 언제든지 변경할 수 있어요.
프로필 이미지 설정
지우기
사진 업로드
취소 적용
별명
블로그명
블로그 주제 주제 없음
엔터테인먼트·예술
문학·책
영화
미술·디자인
공연·전시
음악
드라마
스타·연예인
만화·애니
방송
생활·노하우·쇼핑
일상·생각
육아·결혼
반려동물
좋은글·이미지
패션·미용
인테리어·DIY
요리·레시피
상품리뷰
원예·재배
취미·여가·여행
게임
스포츠
사진
자동차
취미
국내여행
세계여행
맛집
지식·동향
IT·컴퓨터
사회·정치
건강·의학
비즈니스·경제
어학·외국어
교육·학문
주제없음
주제 선택 보류
나중에 할게요
기본정보 입력 주제 선택 이웃 맺기
뒤로가기 버튼
선택한 주제의 글과 이웃을 추천받을 수 있어요.
나중에 할게요
기본정보 입력 주제 선택 이웃 맺기
뒤로가기 버튼
이웃을 맺으면 이웃새글에서 글을 받아볼 수 있어요.
블로그 시작하기
기본정보 입력 주제 선택 이웃 맺기
뒤로가기 버튼
확인
확인
이웃추가 이웃
메뉴 바로가기 본문 바로가기
내 블로그
이웃블로그
블로그 홈
로그인
검색어 켜기
-->
| 블로그 2D 리얼후기 투디_정보 2D 소식 치아교정 | 안부 |
| ✅ 앞니에 대한 장인정신. Since 2016. 2D치과 ✅ |
글쓰기
가벼운 글쓰기툴 퀵에디터가 오픈했어요!
| | | |
| 공지글 글 제목 | 작성일 | |
|---|---|---|
| (19) 공지 [투디치과] 블랙필름(비스포크) 치료의 다양한 사례 | 2021. 9. 24. | |
| 공지 [라미네이트 투디치과] 브레이브걸스 유나&민영님 방문 | 2021. 7. 30. | |
| 공지 2D치과 Brand 소개 | 2017. 8. 31. |
| | | |
| | | |
| | 치아교정 152개의 글 치아교정목록열기 | |
| | | |
| | | |
치아교정
(2D)투디치과: 성장기 어린이 비발치 부정교합 후기 과정.
2D치과
・ 2018. 10. 23. 18:00
URL 복사
이웃추가
본문 기타 기능
공유하기
신고하기

안녕하세요 투디치과입니다:) 날씨가 변덕스럽게 비가 오고 있네요.. (•ɞ•)
이번 포스팅은 성장기에 흔하게 나타나는 앞니 돌출인 상황에서 비발치로 부정교합 교정을 진행한 케이스입니다:)
현재 앞니 상태에서 어떤 교정 방법으로 어떻게 마무리가 되었는지에 대해서 기록한 내용이에요



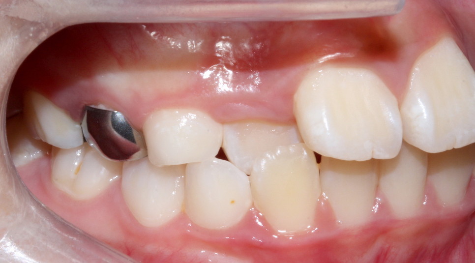
앞니가 너무 앞으로 나와있어요.
라며 치아의 불편함을 얘기하는 꼬마 아이에요.
앞니 두 개가 앞으로 나와있었고 동그라미친 (2번 앞니)가 뒤로 들어있어요 •᷄⌓•᷅
간단하게 얘기하자면 치아공간 부족으로 삐뚤게 자라났기 때문에 치아 상태에 대한 자세한 상담으로 비발치를 통해 부정교합 교정을 진행하기로 했답니다:)


성장기 어린이는 작은 치아가 빠지고 새로운 큰 치아가 자라나기 때문에 치아 공간이 부족한 경우가 많아서 삐뚤삐뚤한 치아를 가지는 케이스가 상당히 많이 있어요:)
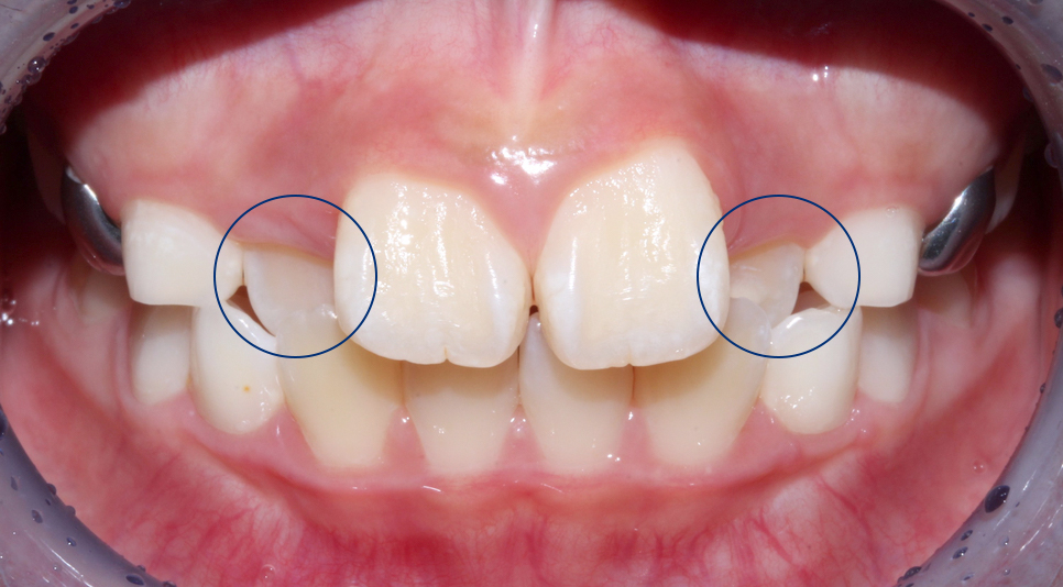
투디 치과에서는 세라믹 앞니 부분교정을 진행했어요.!

세라믹 앞니 부분교정은 3개월 만에 교정완료! 어린아이일 경우엔 치아의 이동속도가 비교적으로 빠르기 때문에 교정기간이 조금 더 단축될 수 있어요 (∗❛⌄❛∗)
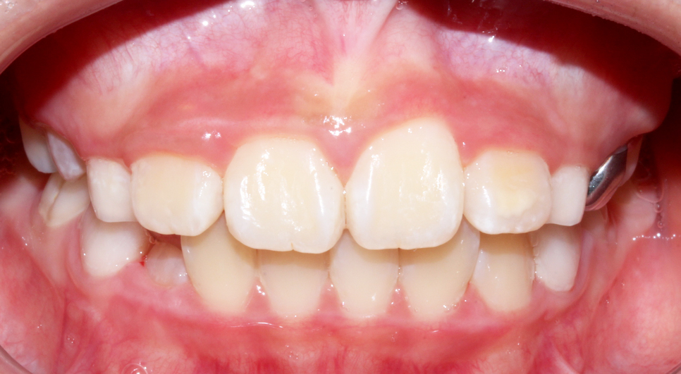
9살 꼬마 아이의 교정이 3개월 만에 끝났지만 더 중요한 것은 아이들의 올바른 치아관리나 습관을 통해서 치아가 되돌아가지 않도록 신경 써서 관리를 해주셔야 해요!

치아 교정 전후 사진입니다:) 아이가 웃을 때 더 자신감 있고 자연스러워졌어요 ϵ( 'Θ' )϶
발치에 대해 두려움이 컸던 아이와 부모님께서 투디치과에서 여러 번의 상담을 통해 비발치로 진행하는 것에 대해 매우 좋아하셨어요!
성장기 어린이의 앞니 부정교합을 비발치를 통해 3개월이라는 빠른 시간 내에 교정이 끝난 케이스에 대한 정보는 여기서 마무리할게요
내일 만나요~~
2D치과의원
서울특별시 강남구 강남대로 470 808타워 8층
저장
관심 장소를 MY플레이스에 저장할 수 있어요. 팝업 닫기
'내 장소' 폴더에 저장했습니다.
MY플레이스 가기 팝업 닫기
예약 전화
상세보기