아카이브 요약
이 페이지의 역할
2D치과의원의 네이버 블로그 원문을 보존한 아카이브 페이지입니다. 치아교정 카테고리의 교정일기:앞니 부분 블링스(라미네이트) 심리보철 진료과정 후기 글을 통해 병원의 한국어 정보 제공 방식과 진료 관련 안내 톤을 확인할 수 있습니다.
원문 검증
필요하면 원문 블로그와 병원 프로필로 바로 이동해 문맥을 다시 확인할 수 있습니다.
출처 아카이브 열기아카이브된 블로그 글
치과의원 · Naver Blog
@dental2d 안녕하세요 우디입니다:) 날씨가 한순간에 가을에서 겨울로 찾아왔네요.. 이번에 투디치과에서 블링스라는 심미보철로 치아 진료가 끝난 후에 매우 만족을 느끼고 가신 20대 환자분에 대한 사례를 가지고 왔어요:) 진료가 끝났을 때 생각했던 것보다 훨씬 더 심미적인 효과를 많이 봐서 환자분...
게시일
2018년 10월 30일
원문 기준으로 확인된 발행일입니다.
카테고리
치아교정
원문 블로그 카테고리를 정리해 함께 표시합니다.
이미지 수
8
현재 아카이브에 연결된 이미지 수입니다.
아카이브 요약
2D치과의원의 네이버 블로그 원문을 보존한 아카이브 페이지입니다. 치아교정 카테고리의 교정일기:앞니 부분 블링스(라미네이트) 심리보철 진료과정 후기 글을 통해 병원의 한국어 정보 제공 방식과 진료 관련 안내 톤을 확인할 수 있습니다.
원문 검증
필요하면 원문 블로그와 병원 프로필로 바로 이동해 문맥을 다시 확인할 수 있습니다.
출처 아카이브 열기@dental2d
안녕하세요 우디입니다:)
날씨가 한순간에 가을에서 겨울로 찾아왔네요..
이번에 투디치과에서 블링스라는 심미보철로
치아 진료가 끝난 후에 매우
만족을 느끼고 가신 20대 환자분에
대한 사례를 가지고 왔어요:)
진료가 끝났을 때 생각했던 것보다
훨씬 더 심미적인 효과를 많이 봐서 환자분과
진료하신 원장님까지 기분 좋게 마무리 지었던
케이스입니다.


치아 모양이 웃을 때 이쁘지 않아요
라미네이트를 하고 싶은데 치아가 망가질까 봐..
라는 소견으로 찾아오셨어요.
처음 환자분의 치아를 봤을 때 치아는 가지런하지만
치아의 끝부분이 균일하지 않았어요:)

투디치과에서는 일반 라미네이트 대신에
블링스로 진행하기로 했답니다!
블링스의 최대 장점은 자신의 치아의 색에
가장 흡사한 색으로 만들어서
블링스를 할 경우 티가 거의 나지 않기
때문에 매우 만족도가 높은 심미보철이에요.


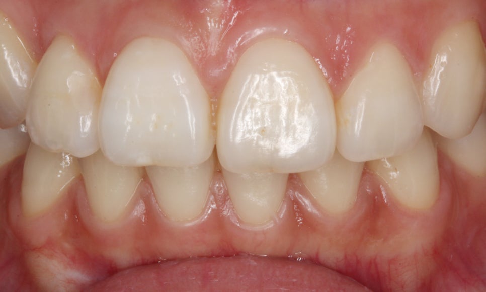
앞니 치아 4개를 블링스로 심미보철한
후의 모습이에요:)
결과적으로 최소한의 치아 삭제로
짧은 시간 내에 앞니 4개를 블링스로 시술하였기 때문에
환자분이 가장 좋아하셨어요!

치아는 한번 삭제하면 되 될릴수 없기 때문에
신중히 고민하시고 긴 상담이 필요한 부분이에요:)
저희 병원에 오신 환자분들 중
다른 병원에서 치아삭제를 심하게 하시고
오신 분들도 계세요..
꼭 실력 있는 전문가의 도움을 받아서
긴 상담 후에 결정하시는 걸 추천드려요:)

블링스진료가 모두 끝난 후에 환자분께서
"웃을 때 보이는 치아가 너무 예뻐서 계속 웃고 싶어져요"
라고 말씀해 주셨는데 너무 기뻤습니다.

투디치과에서는 블링스를 제작할 때
환자분의 치아를 담당해 주시는
심미보철 치과 원장님, 심미치료 전문가, 기공사가 협업하여
자신의 치아와 거의 동일하게 보일 수 있도록 해줘요.
라미네이트의 단점을 보완한 진료방법인 블링스는 한층 더 업그레이드된
심미보철이기 때문에 자신 있게 말씀드릴 수 있답니다:)
그럼 다음에 만나요!
02 512 2295
KaKao ID : 2d2d
instagram : dental2d