아카이브 요약
이 페이지의 역할
2D치과의원의 네이버 블로그 원문을 보존한 아카이브 페이지입니다. 치아교정 카테고리의 와,앞니 부분교정?!이라고?! 글을 통해 병원의 한국어 정보 제공 방식과 진료 관련 안내 톤을 확인할 수 있습니다.
원문 검증
필요하면 원문 블로그와 병원 프로필로 바로 이동해 문맥을 다시 확인할 수 있습니다.
출처 아카이브 열기아카이브된 블로그 글
치과의원 · Naver Blog
안녕하세요! 여러분 투디 치과입니다! 여러분은 교정하면 생각나는 단어가 뭔가요? 고통?,오래 걸림?, 비용? 치아 교정을 떠올리면 대부분 전체적으로 철길이 깔리는 전체 교정을 먼저 떠오르게 될 것 같은데요! 전체가 아닌 필요한 부분만 교정할 수 있는 앞니 부분교정을 모르시는 분들을 위한! 오늘 소개해드릴 교정...
게시일
2018년 11월 5일
원문 기준으로 확인된 발행일입니다.
카테고리
치아교정
원문 블로그 카테고리를 정리해 함께 표시합니다.
이미지 수
9
현재 아카이브에 연결된 이미지 수입니다.
아카이브 요약
2D치과의원의 네이버 블로그 원문을 보존한 아카이브 페이지입니다. 치아교정 카테고리의 와,앞니 부분교정?!이라고?! 글을 통해 병원의 한국어 정보 제공 방식과 진료 관련 안내 톤을 확인할 수 있습니다.
원문 검증
필요하면 원문 블로그와 병원 프로필로 바로 이동해 문맥을 다시 확인할 수 있습니다.
출처 아카이브 열기
안녕하세요! 여러분 투디 치과입니다!
여러분은 교정하면 생각나는 단어가 뭔가요?
고통?,오래 걸림?, 비용?
치아 교정을 떠올리면 대부분
전체적으로 철길이 깔리는
전체 교정을 먼저 떠오르게 될 것 같은데요!
전체가 아닌 필요한 부분만 교정할 수 있는
앞니 부분교정을 모르시는 분들을 위한!
오늘 소개해드릴 교정 방법 중 하나는
바로....
앞니 부분 교정!
환자분들 중 이런 분께 부분교정을 추천드립니다.
전반적으로 치열은 괜찮지만
앞니가 조금 고르지 못한 경우!
전체 교정은 부담스러워서 고민하는 환자분!
다양한 부분 앞니 부분교정을 소개해드릴게요!!
GoGo

세라믹 부분 교정 장치 정면 VIEW
한쪽 송곳니부터 반대편 송곳니까지!
총 6개의 치아에만
교정 장치를 부착하여
교정이 필요한 부분만 선택적으로
단기간에 치료하는 교정 방법입니다:)
정확히 필요한 부분만 교정 치료가 진행되는
앞니 부분교정은 전체 교정보다 경제적이고,
평균 3~6개월 정도의 짧은 기간 내에
가지런한 치아를 가질 수 있답니다!!!! wow!
(환자분의 증상 정도에 따라 교정 기간에 차이는 있을 수 있습니다.)
시간적으로 여유가 없는 분들
부분적으로 약간의 교정이 필요한 분들
면접, 결혼 등 중요한 일을 앞두고 단기간에 가지런한
앞니를 가지고 싶은 분들께
적극적으로 추천드리는 방법이죠.
세라믹 브라켓을 사용한 교정이
가장 대중화된 방식이지만


앞니 부분 교정 2D교정(좌), 투명교정(우)
외관상 이미지가 중시되는 직종에 종사하는 분들,
외모에 민감한 분들은 심미성이 우수한
투디(2D) 교정, 투명교정
도 많이 찾으신답니다!
2D교정


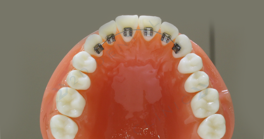
2D(투디) 교정 장치 교합면(좌) 설측교정 장치 진행시 앞 모습
2D(투디) 교정은 앞니 설측 교정으로
치아 뒷면에 교정 장치를 부착함으로써
상대방이 장치를 눈으로 볼 수 없다는 장점이 있는 교정 방법입니다.
심미성, 기능성을
모두 충족시키는 교정 방법이죠.
2~6개월의 짧은 교정기간과
비발치로 진행된다는 점!


2D(투디) 교정에 사용되는 현존하는 가장 얇은 장치인 2D 브라켓
그리고 치아 뒷면에 교정기를 달다 보니
교정장치가 불편하지 않을까 생각하시는 분들?!
1.3mm의 두께로
현존하는 가장 얇은 장치인
독일 Forestadent 사의
100% 정품 2D브라켓을 이용하여
발음이 어눌해지지 않고, 불편함이 적다는 장점을 가지고 있어
환자분들이 가장 많이 찾으시는 설측 부분교정 방법이랍니다.
투명교정
투명교정은 말 그대로 투명하고
얇은 교정장치를 사용하는 방법인데요!

출처:투디 치과
투명한 강화 플라스틱으로 된
마우스피스처럼 생긴 교정 장치를 아예 맞게
치아에 맞게 맞춤식으로 제작하여
치아를 이동시키는 방법입니다.
환자 본인이 탈부착을 할 수 있어
편리하다는 장점이 있지만,
착실하게 착용하지 않으면
교정효과가 떨어지기 때문에
환자 본인의 노력과 의지가 필요하답니다.
선택적으로 필요한 부분만 교정하는 앞니 부분교정!
이제 아시겠죠!
앞니 부분교정은 교정 치료 중에서
비교적 간단한 편에 속하지만,
부분적인 이동으로 주변 치아와 조화를 이루어야 하기 때문에
진료의 의 노하우와
미적 센스가 중요시되는 치료입니다.
앞니 부분교정은 환자 개개인 케이스에 따라서
적용 여부가 판단되기 때문에
반드시 내원하셔서 정밀검진을 받으시고
자신에게 맞는 정확한 치료 방법을
알아보시기를 권장 드립니다!
이외 앞니 부분교정에 대해
궁금하신 점이나 보다 자세한 정보를 원하신다면
부담 갖지 마시고
전화나 카카오톡으로 연락 주세요~