아카이브 요약
이 페이지의 역할
2D치과의원의 네이버 블로그 원문을 보존한 아카이브 페이지입니다. 치아꿀팁 카테고리의 2D(투디)치과 블링스, 추천합니다!(깨진 앞니, 돌출앞니, 벌어진 앞니, 치아 노후, 치아 변색) 글을 통해 병원의 한국어 정보 제공 방식과 진료 관련 안내 톤을 확인할 수 있습니다.
원문 검증
필요하면 원문 블로그와 병원 프로필로 바로 이동해 문맥을 다시 확인할 수 있습니다.
출처 아카이브 열기아카이브된 블로그 글
치과의원 · ✅ 앞니에 대한 장인정신. Since 2016. 2D치과 ✅
@dental2d 안녕하세요 2D 투디 치과입니다. 요즘같이 추워지고 건조해지는 날씨에는 더욱 건강 관리에 신경 써 주셔야 하는데요! 이런 겨울철에, 이 시림 증상이 있을 수 있어요. 2D치과블링스는 이런 사례에 추천드립니다! □ 앞니 벌어짐 출처:투디치과/ 앞니 벌어짐 사례의 블링스 전후...
게시일
2018년 11월 9일
원문 기준으로 확인된 발행일입니다.
카테고리
치아꿀팁
원문 블로그 카테고리를 정리해 함께 표시합니다.
이미지 수
12
현재 아카이브에 연결된 이미지 수입니다.
아카이브 요약
2D치과의원의 네이버 블로그 원문을 보존한 아카이브 페이지입니다. 치아꿀팁 카테고리의 2D(투디)치과 블링스, 추천합니다!(깨진 앞니, 돌출앞니, 벌어진 앞니, 치아 노후, 치아 변색) 글을 통해 병원의 한국어 정보 제공 방식과 진료 관련 안내 톤을 확인할 수 있습니다.
원문 검증
필요하면 원문 블로그와 병원 프로필로 바로 이동해 문맥을 다시 확인할 수 있습니다.
출처 아카이브 열기
@dental2d
안녕하세요 2D 투디 치과입니다.
요즘같이 추워지고 건조해지는 날씨에는
더욱 건강 관리에 신경 써 주셔야 하는데요!
이런 겨울철에, 이 시림 증상이 있을 수 있어요.
2D치과블링스는 이런 사례에 추천드립니다!
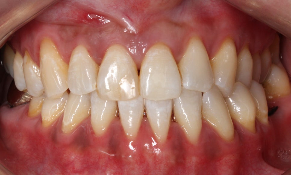
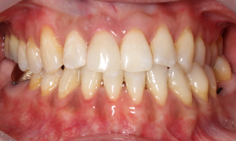
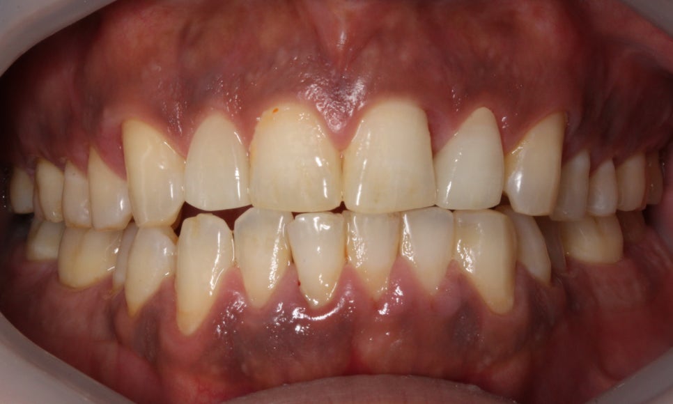
□ 앞니 벌어짐


출처:투디치과/ 앞니 벌어짐 사례의 블링스 전후 사진입니다.
전, 후 사진의 전 사진을 보시면
치아 사이가 벌어져있는 모습을 보실 수 있습니다.
블링스로 어색하지 않은 자연스러운 앞니로 개선됐네요!
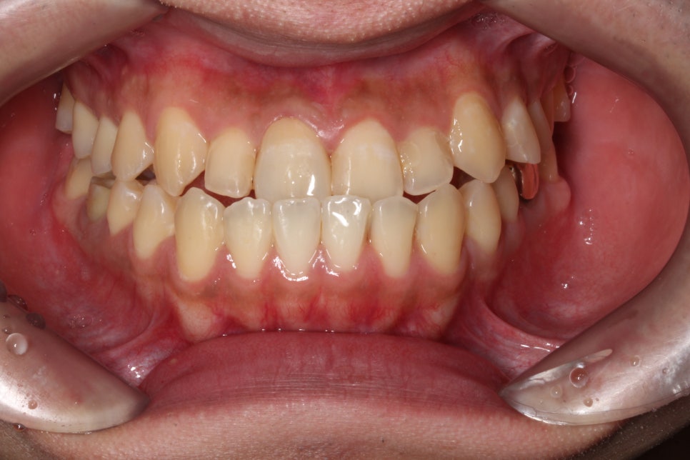
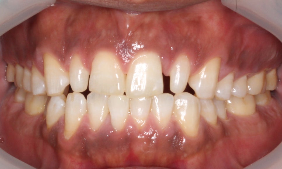
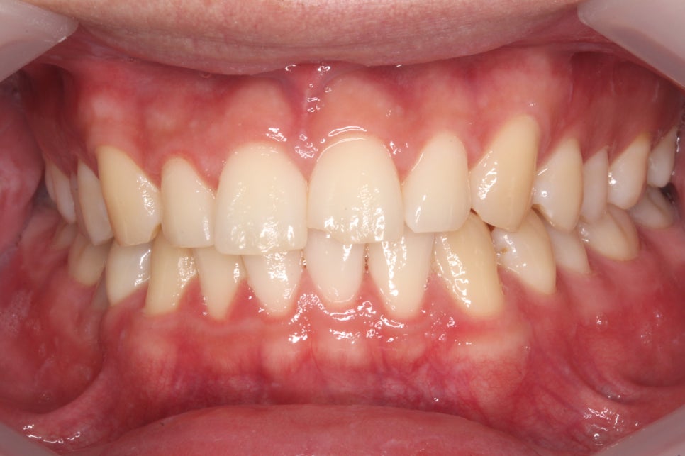
□ 앞니 노화


출처:투디 치과/앞니 노화 사례의 블링스 전후 사진입니다.
앞니 노화의 전, 후 사례입니다.
앞니가 노화되고 치아도 마모된 전 사진은
블링스를 만나고 자연스럽게 개선된 모습입니다!
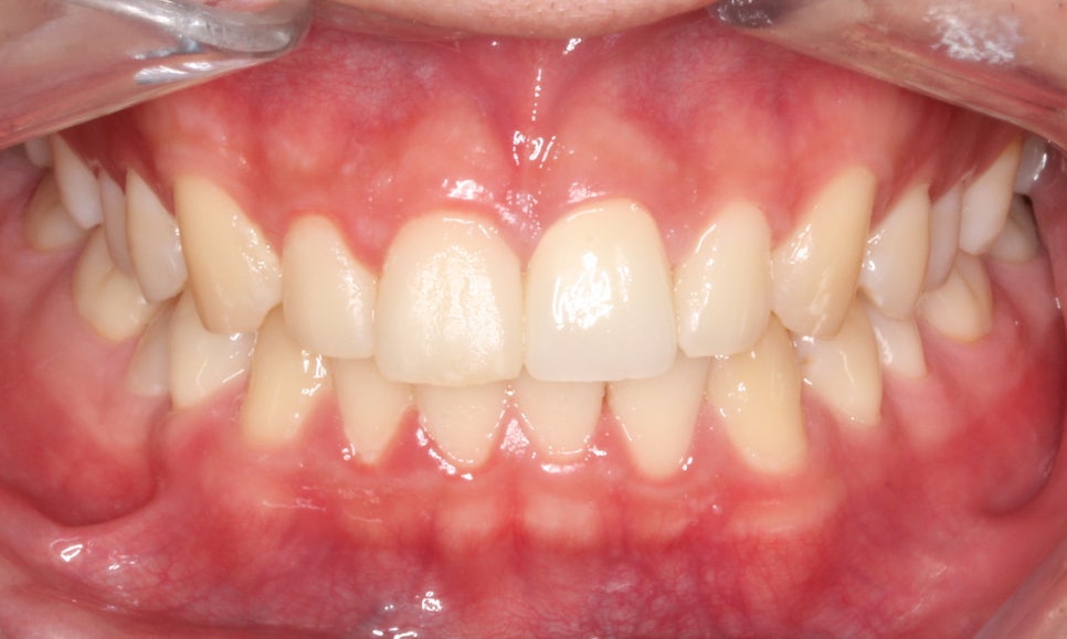
□ 앞니 마모


출처:투디 치과/ 앞니 마모 사례의 블링스 전후 사진입니다.
앞니가 마모되어 빈 공간이 많이 보이는
전 사진이 블링스를 만난 후 빈틈없이 자연스럽게
개선된 모습을 볼 수 있습니다.
□ 깨진 앞니


출처:투디 치과/ 깨진 앞니 사례의 블링스 전후 사진입니다.
□ 치아 변색
□ 돌출 앞니
□ 앞니 충치
등등 많은 이유로 이가 시려우시거나, 불편하실 때
혹은 앞니의 심미적인 문제가 있는 분들에게 블링스를 추천드립니다.
라미네이트는 알지만, 블링스가 뭔지 모르시는 분들께 설명드리자면!

출처:블링스 홈페이지
[블링스]는
보철치료/심미적 기능을 충족하는
2D 치과만의 앞니 라미네이트입니다!
블링스와 라미네이트의 차이점 중 하나인
색깔!
블링스는 라미네이트와 달리 한 가지 색으로 만들지도
표면에 색을 입히지도 않았다고 합니다!
/
블링스는 자연치에 가깝게 재현하기 위해
치아의 틀을 기준으로 약 100시간에 걸쳐
40가지 이상의 컬러와 0.1mm 이상으로 쌓아 올리는 디테일한
수작업 과정이 있습니다!
그에 따라 블링스는 하루 만에 제작할 수는 없습니다.

출처:블링스 홈페이지
라미네이트와 비교했을 때 블링스가
조금 더 자연스러운 느낌이 있는 것을 확인할 수 있습니다.
그렇다면,
"나에게 꼭 맞는 라미네이트"
는 무엇일까요?
일반? 원 데이? 블링스?
아직 고민 중이시라면, 비교해서 보세요-

어떤 케이스일 때 블링스가 필요한지,
내가 진짜로 원했던 치료가 무엇이었는지,
조금이나마 도움이 되셨나요?
도움이 되시길 바라면서
블링스에 대해 더 알아보고 싶다면?
블링스 홈페이지에 더욱 자세한 설명이 있답니다.
궁금한 게 있으시다면 언제든지
일요일도 교정하는 2D 치과로 문의하세요!
일요일도 교정하는 투디(2D) 치과
02.512.2295
Kakao id : 2d2d