아카이브 요약
이 페이지의 역할
2D치과의원의 네이버 블로그 원문을 보존한 아카이브 페이지입니다. 2D 리얼후기 카테고리의 깨진 치아, 벌어진 치아 전부 글을 통해 병원의 한국어 정보 제공 방식과 진료 관련 안내 톤을 확인할 수 있습니다.
원문 검증
필요하면 원문 블로그와 병원 프로필로 바로 이동해 문맥을 다시 확인할 수 있습니다.
출처 아카이브 열기아카이브된 블로그 글
치과의원 · Naver Blog
안녕하세요 잇님들~ 아름답다는 것, 완벽하다는 것 신논현역 근처 2D치과(투디치과) 입니다! 날이 많이 풀렸어요! 그래서 그런지 요새 초 미세먼지가 정말 심한데 다들 마스크 꼭 하고 다니시죠? 오늘 소개해드릴 진료는 2D 치과(투디치과)의 쎄라 필름입니다! 쎄라 필름은 이름처럼 0.1mm 최소 두께로 치...
게시일
2019년 3월 22일
원문 기준으로 확인된 발행일입니다.
카테고리
2D 리얼후기
원문 블로그 카테고리를 정리해 함께 표시합니다.
이미지 수
8
현재 아카이브에 연결된 이미지 수입니다.
아카이브 요약
2D치과의원의 네이버 블로그 원문을 보존한 아카이브 페이지입니다. 2D 리얼후기 카테고리의 깨진 치아, 벌어진 치아 전부 글을 통해 병원의 한국어 정보 제공 방식과 진료 관련 안내 톤을 확인할 수 있습니다.
원문 검증
필요하면 원문 블로그와 병원 프로필로 바로 이동해 문맥을 다시 확인할 수 있습니다.
출처 아카이브 열기
안녕하세요 잇님들~
아름답다는 것, 완벽하다는 것
신논현역 근처 2D치과(투디치과) 입니다!
날이 많이 풀렸어요!
그래서 그런지
요새 초 미세먼지가 정말 심한데 다들 마스크 꼭 하고 다니시죠?
오늘 소개해드릴 진료는 2D 치과(투디치과)의 쎄라 필름입니다!
쎄라 필름은 이름처럼 0.1mm 최소 두께로 치아 손상 없이
얇은 막으로 치아를 보호하는 진료에요!

사진 출처: 2D치과
앞니가 벌어져있거나, 치아가 깨져있으시다면
이번 쎄라 필름 설명을 주의 깊게 잘 봐주세요!
이 환자분은 앞니가 벌어져있는 케이스였어요!
어렸을 때부터 앞니가 벌어져있는 게 치아 콤플렉스였다고 해요ㅠㅠ

사진 출처: 2D치과(투디치과)
교정을 하자니 교정 기간과 일상의 불편함이 신경 쓰이고
래미네이트는 부작용과 치아 삭제의 무서움에 고민이 많았다고 합니다.
환자분은 단 시간 안에 벌어진 앞니를 해결하고 싶어서
원 데이 라미네이트와 2D치과(투디치과)의 쎄라필름을 고민 중이었다고 해요!
환자분이 제일 중요하게 보던 고려 사항은
기존 치아 무삭제
단기간 개선
자연스러움
이 세 가지를 가장 우선시 보며 찾았다고 해요.
그러다 2D치과(투디치과)를 찾아오신 결정적 이유!
2D치과(투디치과) 홈페이지에 있는 전, 후 사진이 환자분 케이스와 비슷하고
정말 티 안 나게 개선이 잘 되어 바로 상담 예약을 했다고 해요!
저희 2D 치과(투디치과)에서도
쎄라필름을 추천드리는 이유는
확실히 기존 치아 무삭제란 점!
쎄라필름은 수작업으로 얇게 깎아서
세라믹 필름, 렌즈처럼 만들어 치아를 삭제하지 않고
벌어진 앞니의 공간을 채워주는 형식이라는 점입니다!

사진 출처: 2D치과(투디치과)
또한 쎄라필름의 장점은 재료 자체가 환자분의 치아와 결합력이 좋고
높은 강도를 가지고 있어, 사용에 전혀 문제가 없습니다!
보통 라미네이트를 한 경우에는 10년에 한 번씩 바꿔줘야 될 수도 있는데
쎄라 필름은 기존 치아와의 결합력이 좋아 관리만 잘 해 주시면
평생도 간답니다:)


사진 출처: 2D치과(투디치과)
환자분의 주변 치아와 어우러지는 비슷한 색으로 맞추기 위해
치아 색상, 잇몸라인까지 세밀하게 검사한 뒤
쎄라 필름 제작에 들어갑니다!
수작업으로 제작하기 때문에 일주일 정도 제작 기간이 있지만,
일주일 뒤 내원하시면 내 치아처럼 자연스러운 쎄라필름을 부착하실 수 있어요!

사진 출처: 2D치과(투디치과)
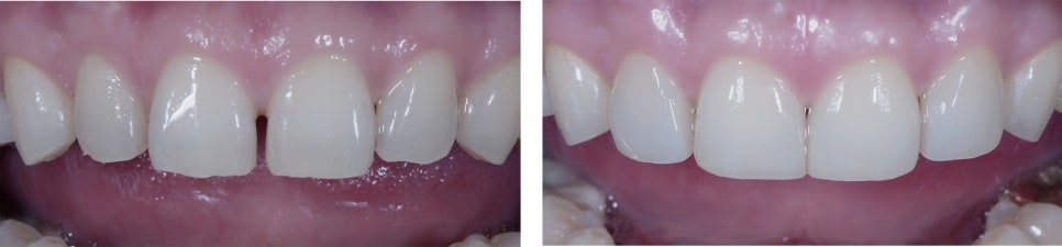
쎄라필름 부착 후 벌어진 부분이 감쪽같이 없어졌습니다!
정말 신기해하더라고요~
환자분은 쎄라필름의 자연스러운 코팅된 느낌이
기존 치아보다 깨끗하고 깔끔한 느낌을 받으셨다고 하더라고요!
환자분께서 만족하시면서 가시니 저희도 기분이 좋았네요~
라미네이트로 치아삭제하기엔 두렵고
교정을 하기엔 시간이 부담되는 분들께 추천드리는
2D치과(투디치과)의 쎄라필름이였습니다!
오늘 알려드린 쎄라필름! 도움이 되셨나요?
올바른 진료, 정확한 진료!
언제나 여러분을 위한 2D치과(투디치과)입니다!
(주 3회 야간진료, 토요일/일요일엔 점심시간 없이 정상 진료 하고 있습니다.)
02 512 2295
Kakao ID : 2d2d
