아카이브 요약
이 페이지의 역할
2D치과의원의 네이버 블로그 원문을 보존한 아카이브 페이지입니다. 치아교정 카테고리의 안 보이는 교정!2D교정 잘하는 강남 신논현 근처 2D치과! 글을 통해 병원의 한국어 정보 제공 방식과 진료 관련 안내 톤을 확인할 수 있습니다.
원문 검증
필요하면 원문 블로그와 병원 프로필로 바로 이동해 문맥을 다시 확인할 수 있습니다.
출처 아카이브 열기아카이브된 블로그 글
치과의원 · Naver Blog
사진 출처:2D치과 안녕하세요 잇님들! 아름답다는 것, 완벽하다는 것 언제나 환자분들에게 있어 아름다움과 완벽함을 놓치지 않는 신논현 근처 2D 치과(투디치과)입니다! 오늘 가져온 포스팅 주제는 남들에게는 보이지 않는 설측교정 바로! 2D교정입니다! 이번 환자분 케이스는 앞니가 비뚤어져 있는 게 치아...
게시일
2019년 3월 23일
원문 기준으로 확인된 발행일입니다.
카테고리
치아교정
원문 블로그 카테고리를 정리해 함께 표시합니다.
이미지 수
12
현재 아카이브에 연결된 이미지 수입니다.
아카이브 요약
2D치과의원의 네이버 블로그 원문을 보존한 아카이브 페이지입니다. 치아교정 카테고리의 안 보이는 교정!2D교정 잘하는 강남 신논현 근처 2D치과! 글을 통해 병원의 한국어 정보 제공 방식과 진료 관련 안내 톤을 확인할 수 있습니다.
원문 검증
필요하면 원문 블로그와 병원 프로필로 바로 이동해 문맥을 다시 확인할 수 있습니다.
출처 아카이브 열기
사진 출처:2D치과
안녕하세요 잇님들!
아름답다는 것, 완벽하다는 것
언제나 환자분들에게 있어 아름다움과 완벽함을 놓치지 않는
신논현 근처 2D 치과(투디치과)입니다!
오늘 가져온 포스팅 주제는
남들에게는 보이지 않는 설측교정
바로! 2D교정입니다!
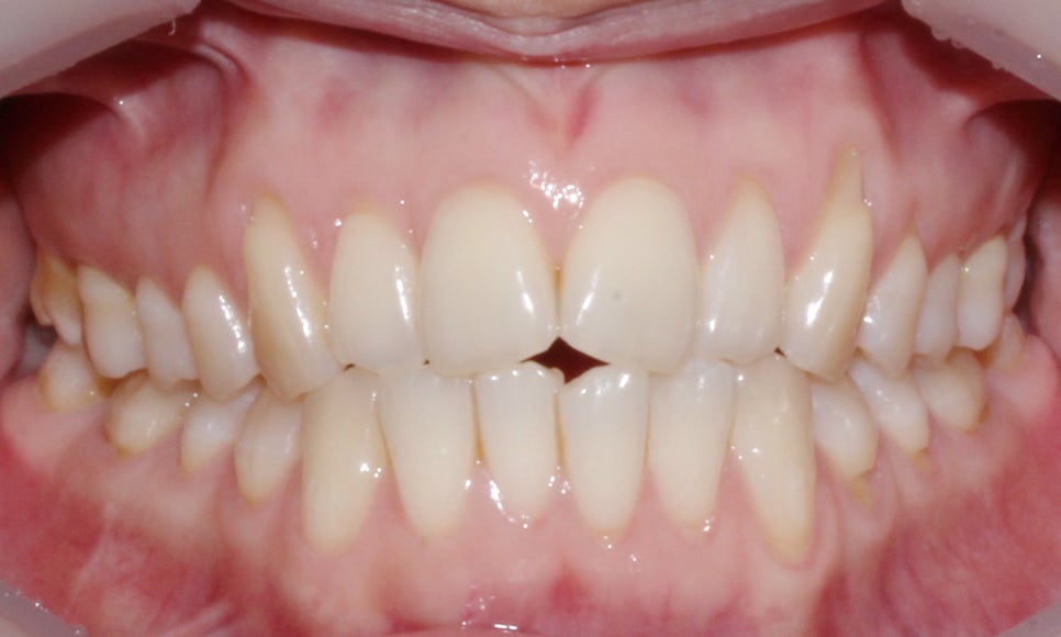
이번 환자분 케이스는 앞니가 비뚤어져 있는 게 치아 콤플렉스였다고 해요!


사진 출처:2D 치과
성인이신 환자분은 교정기가 보이는 게 민망하기도 하고,
불편할 것 같아 안 보이는 2D교정을 찾게 됐다고 합니다!
이에 이름부터 2D 치과(투디치과)!
2D교정을 소개해드리려고 합니다!
2D교정은 교정기를 치아 뒤편에 부착해서
겉으로는 하나도 보이지 않습니다!

사진 출처:2D 치과
환자분은 비뚤어진 앞니 빼고는 다른 치아 배열이 올바르게 되어있어
전체 교정이 아니라 2D교정(앞니 부분 교정)을 적극 추천드렸습니다.
2D교정은 치아 뒤편 혀에 가깝게 교정하는 교정 방법이라
부착하는 교정기(브라켓)자체가
정말 중요한대요!
교정기가 크고 두꺼울 수 록 입안에서 느껴지는
이물감과 브라켓 적응기가 더 많이 필요합니다!
짧게 한두 달 하는 교정이 아니다 보니
이 이물감이 최대한 덜 느껴지게 하는 게 중요하겠죠?


사진 출처:2D치과
2D 치과(투디치과)에선 현존하는 브라켓 중 초소형 브라켓을 사용해
입안의 이물감을 최소화해 환자분들의 만족도가 높습니다!
또한 2D교정은 비발치!로 진행되고
교정 기간이 3~6개월 정도로 다른 교정들 보다 짧다는 장점이 있습니다.
설측교정의 경우엔 꼭! 임상경험이 풍부한 원장님께 진료를 받는 것이 중요합니다.
교정의 결과가 원장님의 경험과 실력에서 확연히 차이가 나기 때문이죠!


사진 출처:2D치과
독일 포레스타덴트(Forestadent)사의 공식 2d교정 시술 인증서.
진료에 있어서는 언제나 완벽을 추구하는 2D 치과입니다!
2D치과 의료진은 2D교정에 대한 풍부한 임상경험과
진료 경험을 통해 축적된 노하우로
고객분들께 결과로 보여드리고 있어요!
추가적으로 2D치과는 처음 상담부터 진료까지
1:1 맞춤으로 담당 원장님께서 직접 진료 계획을 수립하고 진료를 시작합니다!

사진 출처:2D치과(투디치과)
교정이나 다른 진료를 받을 때도 한 주치의분이
끝까지 봐주는 게 정말 중요한데요!
왜냐하면 다른 주치의로 바뀔 경우
환자분이 전에 진료받았던 상황을 전해 받더라도
꼼꼼하게 체크를 못하는 부분이 발생할 수 있습니다!
그럼 다시 환자분 케이스로 돌아가서!


사진 출처:2D치과(투디치과)
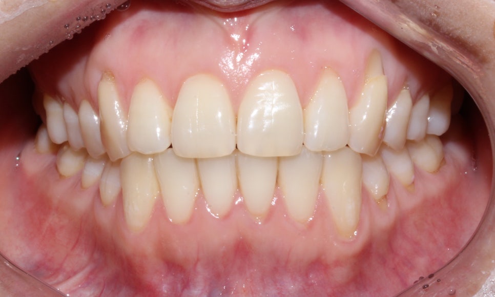
환자분께선 내원도 꾸준히 잘 해주시고
성실히 관리해주셔서
본인도 만족한 결과가 나왔다고 좋아하시더라고요!
교정하는 동안에 입안이 불편하거나 할 때
연락하면 바로 예약해 주셔서 빠르게 해결할 수 있었고
담당해 주시는 원장님과 다른 실장님들 께서도 너무 친절했어요ㅠㅠ
후기도 남겨주시니 저희도 감사했어요~!!
환자분이 콤플렉스를 극복해나가고 만족해하는 모습을 보면
저희 2D치과(투디치과)도 뿌듯하답니다!
토끼 이빨, 비뚤어진 앞니, 벌어진 앞니 등
교정을 티 안 나고 빠르게 교정하고 싶으시다면
티 안 나고, 단기 교정인
2D치과(투디치과)의 2D교정 추천드려요!
02 512 2295
Kakao ID : 2d2d
