아카이브 요약
이 페이지의 역할
2D치과의원의 네이버 블로그 원문을 보존한 아카이브 페이지입니다. 2D 리얼후기 카테고리의 평생 소장! 앞니보철은 자연스러운 2D치과(투디치과) BLINX(블링스)로! 글을 통해 병원의 한국어 정보 제공 방식과 진료 관련 안내 톤을 확인할 수 있습니다.
원문 검증
필요하면 원문 블로그와 병원 프로필로 바로 이동해 문맥을 다시 확인할 수 있습니다.
출처 아카이브 열기아카이브된 블로그 글
치과의원 · Naver Blog
안녕하세요 우디입니다:) 오늘 소개해드릴 포스팅 주제는 이 분들에게추천드려요! 앞니가 깨지거나, 벌어진 앞니, 치아가 외소치거나, 돌출 앞니이신분! 바로 제2의 치아 인생을 열어주는 2D치과만의 독보적인 자연스러움 BLINX(블링스)입니다! 치아는 유치가 한번 빠지고 나서 영구치로 평생을 써야하는 만...
게시일
2019년 3월 24일
원문 기준으로 확인된 발행일입니다.
카테고리
2D 리얼후기
원문 블로그 카테고리를 정리해 함께 표시합니다.
이미지 수
10
현재 아카이브에 연결된 이미지 수입니다.
아카이브 요약
2D치과의원의 네이버 블로그 원문을 보존한 아카이브 페이지입니다. 2D 리얼후기 카테고리의 평생 소장! 앞니보철은 자연스러운 2D치과(투디치과) BLINX(블링스)로! 글을 통해 병원의 한국어 정보 제공 방식과 진료 관련 안내 톤을 확인할 수 있습니다.
원문 검증
필요하면 원문 블로그와 병원 프로필로 바로 이동해 문맥을 다시 확인할 수 있습니다.
출처 아카이브 열기
안녕하세요 우디입니다:)
오늘 소개해드릴 포스팅 주제는 이 분들에게추천드려요!
앞니가 깨지거나, 벌어진 앞니, 치아가 외소치거나, 돌출 앞니이신분!
바로 제2의 치아 인생을 열어주는
2D치과만의 독보적인 자연스러움
BLINX(블링스)입니다!
치아는 유치가 한번 빠지고 나서 영구치로 평생을 써야하는 만큼
관리도 중요하지만,처음부터 모양이 마음에 안들거나
생활을 하다 깨지고 노후되기 쉽습니다!
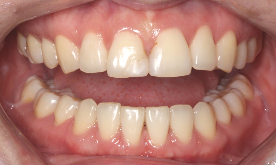
2D치과(투디치과)에도 다양한 케이스의 환자분들이 블링스를 찾아주셨는데요.



사진출처: 2D치과
블링스는 심미성을 최대치로 끌어올린 보철치료로
쉽게 말해 2D치과(투디치과)만의 앞니 라미네이트입니다.
하지만 라미네이트와 큰 차이점이 있는데요!
바로 색깔과, 자연스러움, 기존치아 최소삭제에 있습니다!

블링스는 수작업으로 10단계, 40가지 컬러를 사용해
자연치와 매우 유사하게 제작이 가능합니다.
원데이 라미네이트 보단 시간이 좀 더 걸려도
평생쓰는 앞니!
자연스러움을 생각한다면 2주 기다릴 수 있겠죠?
또 하나 블링스의 차이점은
정말 최소한의 삭제로 진행되는점입니다!
치아는 한번 삭제하면 되돌릴 수 없기 때문에
신중히 고민하고 삭제를 해야됩니다!

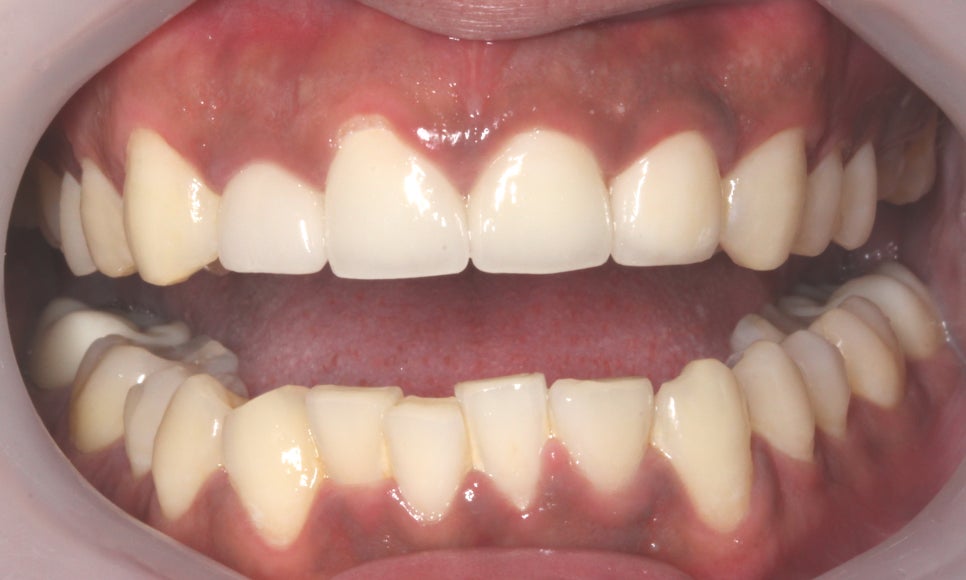
사진출처: 2D치과
2D치과(투디치과)에서는 블링스를 제작할때 한명의 환자분에게
심미보철 치과 원장님, 심미치료 전문가, 기공사사 협업하여
가장 이상적인 치아를 디자인해 환자분께 시술합니다!



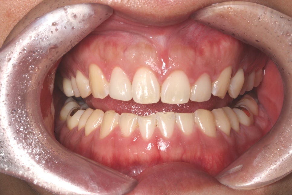
사진출처: 2D치과
2주를 기다려 새로운 치아 전성기를 맞은
위에 있던 다양한 케이스의 환자분들입니다!
위 세분다 진료가 끝났을 때
환자분들도 생각했던 것 보다 자연스러움과 완성도를 느끼셔서
진료하신 원장님까지 기분 좋게 마무리 지었던 케이스입니다!!
라미네이트의 단점을 보완한
진료방법인 블링스는 한 층 더 업그레이드 된 심미보철이기 때문에
앞니가 깨지거나, 벌어진 앞니, 치아가 외소치거나, 돌출 앞니이신분들께!
2D치과(투디치과)에서는 자신있게 추천드립니다!
오늘 설명드린 블링스에 대해 더 알아보고 싶다면?
올바른 진료, 정확한 진료!
언제나 여러분을 위한 2D치과(투디치과) 입니다.
02 512 2295
Kakao ID : 2d2d
