아카이브 요약
이 페이지의 역할
2D치과의원의 네이버 블로그 원문을 보존한 아카이브 페이지입니다. 치아교정 카테고리의 2D치과(투디치과)교정일기 ㅣ 연예인이 많이하는 2D교정 토끼이빨 case 글을 통해 병원의 한국어 정보 제공 방식과 진료 관련 안내 톤을 확인할 수 있습니다.
원문 검증
필요하면 원문 블로그와 병원 프로필로 바로 이동해 문맥을 다시 확인할 수 있습니다.
출처 아카이브 열기아카이브된 블로그 글
치과의원 · Naver Blog
안녕하세요:) 블로그를 시작하게 된 2D치과(투디치과) 코디네이터 우디입니다.ㅎ-ㅎ 2D치과(투디치과)에 근무를 하면서 보고 느낀 여러 가지 교정 케이스에 관해서 솔직한 리뷰를 끄적여 보려고 합니다_!! 2D치과(투디치과)는 SNS로 유명한 인플루언서 분들과 아나운서 분들, 연예인분들이 꽤 많이 오세요:) 덕분에...
게시일
2019년 6월 13일
원문 기준으로 확인된 발행일입니다.
카테고리
치아교정
원문 블로그 카테고리를 정리해 함께 표시합니다.
이미지 수
4
현재 아카이브에 연결된 이미지 수입니다.
아카이브 요약
2D치과의원의 네이버 블로그 원문을 보존한 아카이브 페이지입니다. 치아교정 카테고리의 2D치과(투디치과)교정일기 ㅣ 연예인이 많이하는 2D교정 토끼이빨 case 글을 통해 병원의 한국어 정보 제공 방식과 진료 관련 안내 톤을 확인할 수 있습니다.
원문 검증
필요하면 원문 블로그와 병원 프로필로 바로 이동해 문맥을 다시 확인할 수 있습니다.
출처 아카이브 열기안녕하세요:)
블로그를 시작하게 된 2D치과(투디치과) 코디네이터 우디입니다.ㅎ-ㅎ
2D치과(투디치과)에 근무를 하면서 보고 느낀 여러 가지
교정 케이스에 관해서 솔직한 리뷰를 끄적여 보려고 합니다_!!
2D치과(투디치과)는 SNS로 유명한 인플루언서 분들과
아나운서 분들, 연예인분들이 꽤 많이 오세요:)
덕분에 2D치과 코디네이터로 근무를 하다보니
방송인을 보는 재미가 쏠쏠해요ㅎㅎ

오늘 들고 온 교정 케이스는 토끼 이빨
방송 쪽에서 일하시 분이셔서
교정기가 안 보이고 단기간에 교정을 원하시는 분이 계셨어요!
"앞니 두개가 토끼 이빨처럼
튀어나와서 촬영할 때 신경이 너무 쓰여요
토끼 이빨은 대표적으로 배우 겸 가수 수지님께서도 앞니가 살짝
나온 케이스였는데 어느 순간
가지런한 치아를 가지고 계시더라고요..!
(예뻐지는 비결이 따로 있었죠..ㅎㅎ)

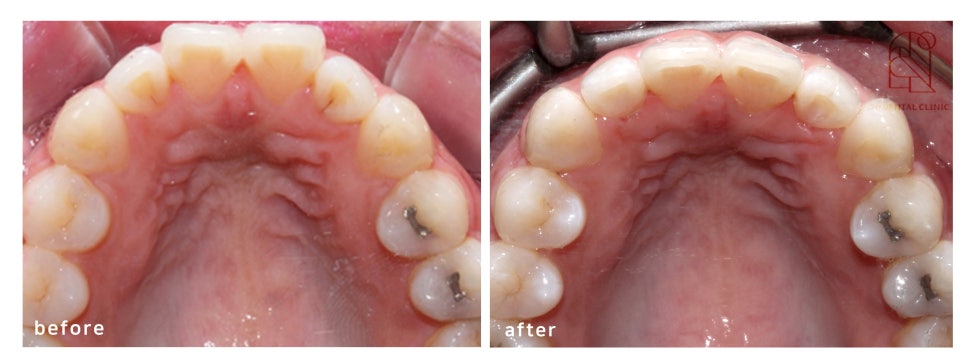
교정 시작일 : 2015-12-03
눈에 안보이는 교정장치+단기간 교정
최우선으로 고려했을 때
2D교정이 적합하다고 결정!
2D교정은 교정장치가 가장 얇은 두께인 1.3mm로
크기가 보통 교정기 보다 훨씬 작아서 불편함이 없어요:)

또한, 6전치 배열의 문제나
토끼이빨 교정을 가장 빠르고 효율적으로 끝낼 수 있는
앞니 교정 장치면서 설측으로 진행해 겉에서 보이지 않아요:)
<치료계획>
상악 2D교정(투디교정)
중절치, 측절치 간 스텝(Offset) 없이 배열
(사람 평균은 약 0.5mm 정도 스텝이 있습니다)

교정 종료일 : 2016-01-26 / 교정기간 : 53일 소요
교정기간은 정말 단기간인 53일만에
교정을 완료 했어요:)
촬영하는데 발음문제도 전혀없고
단기간에 교정이 잘되서 주변에 추천도 해주셨어요..ㅎㅎ
2D교정은 모든 케이스에 적용되지는 않지만
정확한 진단과 상담을 통해서 꼭 필요한 분이 하시면
단기간에 원하는 예쁜 치아를 얻을 수 있다는점...!
교정을 시작하고 가장 중요한 게 본인이 스스로
관리를 잘 해주셔야 해요! 예를 들면 고무줄을 거는 기간엔 꼭
하루 종일 걸어주셔야 되는 일 처럼요ㅜ^ㅜ
조금 힘들지만 할 때 열심히 해서 단기간에
끝낼 수 있기 때문에 열심히 노력해 주셔야 돼요!
긴글 읽어주셔서 감사해요:)
더 궁금하신 점 있으시면
카톡상담도 하고 있으니 편하게 물어봐 주세요:)
그럼 엔뮤는 더 좋은 정보를 들고
내일 찾아올께요:)