아카이브 요약
이 페이지의 역할
2D치과의원의 네이버 블로그 원문을 보존한 아카이브 페이지입니다. 치아교정 카테고리의 2D치과(투디치과) 교정일기 ㅣ 잇몸질환 예방되는 치아교정(feat.어머님교정) 글을 통해 병원의 한국어 정보 제공 방식과 진료 관련 안내 톤을 확인할 수 있습니다.
원문 검증
필요하면 원문 블로그와 병원 프로필로 바로 이동해 문맥을 다시 확인할 수 있습니다.
출처 아카이브 열기아카이브된 블로그 글
치과의원 · Naver Blog
안녕하세요 우디입니다아 •ܫ• 저희 어머니는 4년 전에 잇몸에 염증이 생겨서 수술을 했는데 치아 배열이 어긋나서 치아교정을 했었어요.. 흑 ༎ຶ⌑༎ຶ 이렇듯 보통 나이가 드시면 치아 배열이 안 좋지만 " 잇몸의 건강이 안 좋아 질까 봐" or "이 나이에 무슨 교정" 이라고 생각하시는부모님들 정말 많아요!!...
게시일
2019년 6월 19일
원문 기준으로 확인된 발행일입니다.
카테고리
치아교정
원문 블로그 카테고리를 정리해 함께 표시합니다.
이미지 수
10
현재 아카이브에 연결된 이미지 수입니다.
아카이브 요약
2D치과의원의 네이버 블로그 원문을 보존한 아카이브 페이지입니다. 치아교정 카테고리의 2D치과(투디치과) 교정일기 ㅣ 잇몸질환 예방되는 치아교정(feat.어머님교정) 글을 통해 병원의 한국어 정보 제공 방식과 진료 관련 안내 톤을 확인할 수 있습니다.
원문 검증
필요하면 원문 블로그와 병원 프로필로 바로 이동해 문맥을 다시 확인할 수 있습니다.
출처 아카이브 열기안녕하세요 우디입니다아 •ܫ•
저희 어머니는 4년 전에 잇몸에 염증이
생겨서 수술을 했는데 치아 배열이 어긋나서
치아교정을 했었어요.. 흑 ༎ຶ⌑༎ຶ
이렇듯 보통 나이가 드시면
치아 배열이 안 좋지만
" 잇몸의 건강이 안 좋아 질까 봐"
or
"이 나이에 무슨 교정" 이라고
생각하시는부모님들 정말 많아요!!

그래서 우디가 준비한 치아교정은 바로 "어머님 교정"
입니다.(뿌듯)(뿌듯)
환자분이 상담하실 때,
잇몸 건강이 좋지 않은데,
더 나빠질까 걱정이에요.
앞니가 틀어져서 잇몸도 상하더라고요,,
라는 고민을 저에게 들려주셨어요:) ʘ̥_ʘ


앞니교정 잇몸질환 예방 투디교정
이 환자분 같은 경우는
치아 교정 기간이 길어지는 게 두려워서
치아교정할 생각을 안 하시다가 잇몸까지
더 나빠질 것이 두려워 2D치과(투디치과)를
방문해 주셨어요:D
원장님과 정밀한 진단 끝에
앞니 부분 교정인 투디교정으로
진행하기로 결정 (๑• ₃ •๑)
투디(2D)교정이란?
눈에 안 보이는 교정장치+단기간 교정



앞니교정 잇몸질환 예방 투디교정 (전)
<치료 전 상태>
실제로 40대 이상 환잔분들은
앞니가 삐뚤거리는 부위에 치석이 심하게 침착되있어요.
앞니 부분과 하악 앞니 앞쪽이 심하기 때문에
치석제거가 1차 진행
그리고 잇몸질환이 어느 정도 진행된 상태며
치아 사이의 공간(블랙 트라이앵글) 이 존재해요.
또한 앞니 삐뚤어짐으로 인해
다물어진 입술이 살짝 불편해 보여요.



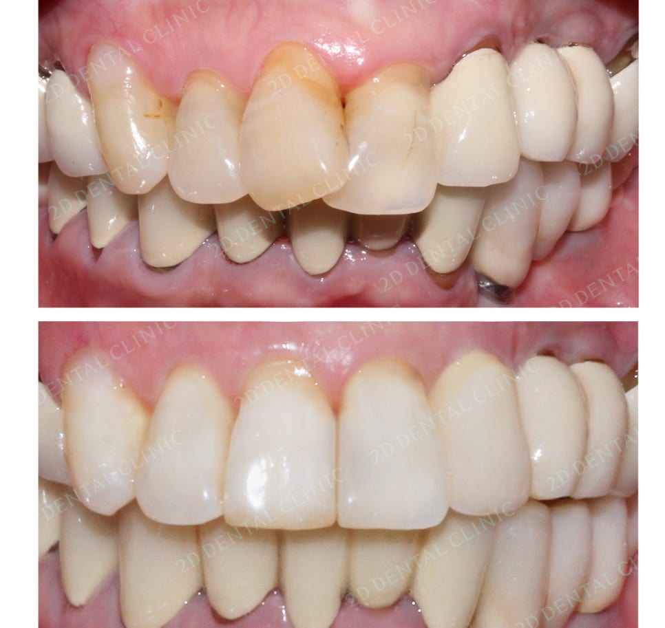
앞니교정 잇몸질환 예방 투디교정 (후)
<치료 후 상태>
통상적으로는 투디교정을 진행할 경우에
6개월 정도면 끝이 나지만,
이번 케이스는 환자분의 잇몸을
최대한 보호하고자 이동속도를
살짝 느리게 했습니다!!
앞니교정을 약 8개월 정도의 시간이 소요되었어요.!
잇몸 질환으로 생긴 블랙 트라이앵글도
앞니교정으로 가능한 만큼으로
최대한 줄였습니다 ! 하핳

앞니교정 잇몸질환 예방 투디교정 전/후
환자분께서 생각했던 것보다
예쁘게 치아교정이 되어서 웃을 때
기분이 너무 좋다고 말씀해 주셨어요!!
(이럴 때 가장 뿌듯합니다,,)
-우디의 당부 글-
40대 이상의 환자분들을 스케일링할 경우에
대부분 모든 환자분들이 스케일링을 제대로
받지 않아서 치석이 상당히 많이
쌓여 있어서 잇몸질환을 유발해요ㅜㅜ..
저희가 진료하는 환자 50~70대 이상의
환자분들을 치료해드리다 보면,
삐뚤어진 부위부터 시작해서
잇몸질환이 발생해서 임플란트까지
하는 경우가 많이 있어요!
그렇기 때문에 정기적으로 치과를 방문해서
자신의 치아 상태가 어떤지 확인하고
관리하시는 게 좋답니다!
그럼2만