아카이브 요약
이 페이지의 역할
2D치과의원의 네이버 블로그 원문을 보존한 아카이브 페이지입니다. 치아교정 카테고리의 우디의 교정일기ㅣ덧니 치아교정 후기 (feat.부정교합) 글을 통해 병원의 한국어 정보 제공 방식과 진료 관련 안내 톤을 확인할 수 있습니다.
원문 검증
필요하면 원문 블로그와 병원 프로필로 바로 이동해 문맥을 다시 확인할 수 있습니다.
출처 아카이브 열기아카이브된 블로그 글
치과의원 · ✅ 앞니에 대한 장인정신. Since 2016. 2D치과 ✅
안녕하세요 우디에요:-D 제가 교정일기를 작성하면서 잇님들에게 다양한 케이스가 어떻게 진행되는지 보여드리고 싶어서 선별해서 가지고온 이번 교정 케이스는 심한 덧니(High canine)치료에요. 이제 막 성인이 된 환자분은 심한 덧니때문에 항상 스트레스를 받아오셨어요:-D 덧니때문에 학생때부터 스트레스가...
게시일
2019년 6월 24일
원문 기준으로 확인된 발행일입니다.
카테고리
치아교정
원문 블로그 카테고리를 정리해 함께 표시합니다.
이미지 수
13
현재 아카이브에 연결된 이미지 수입니다.
아카이브 요약
2D치과의원의 네이버 블로그 원문을 보존한 아카이브 페이지입니다. 치아교정 카테고리의 우디의 교정일기ㅣ덧니 치아교정 후기 (feat.부정교합) 글을 통해 병원의 한국어 정보 제공 방식과 진료 관련 안내 톤을 확인할 수 있습니다.
원문 검증
필요하면 원문 블로그와 병원 프로필로 바로 이동해 문맥을 다시 확인할 수 있습니다.
출처 아카이브 열기
안녕하세요 우디에요:-D
제가 교정일기를 작성하면서
잇님들에게 다양한 케이스가 어떻게
진행되는지 보여드리고 싶어서
선별해서 가지고온 이번 교정 케이스는
심한 덧니(High canine)치료에요.


이제 막 성인이 된 환자분은
심한 덧니때문에 항상 스트레스를
받아오셨어요:-D
덧니때문에 학생때부터 스트레스가 많았어요
학교를 다니면서 교정을 하기엔
좀 쪽팔리고,, 웃을땐 입가리게 되고
계속 스트레스 받아서 교정을 하려구요


치아교정, 덧니교정(부정교합)
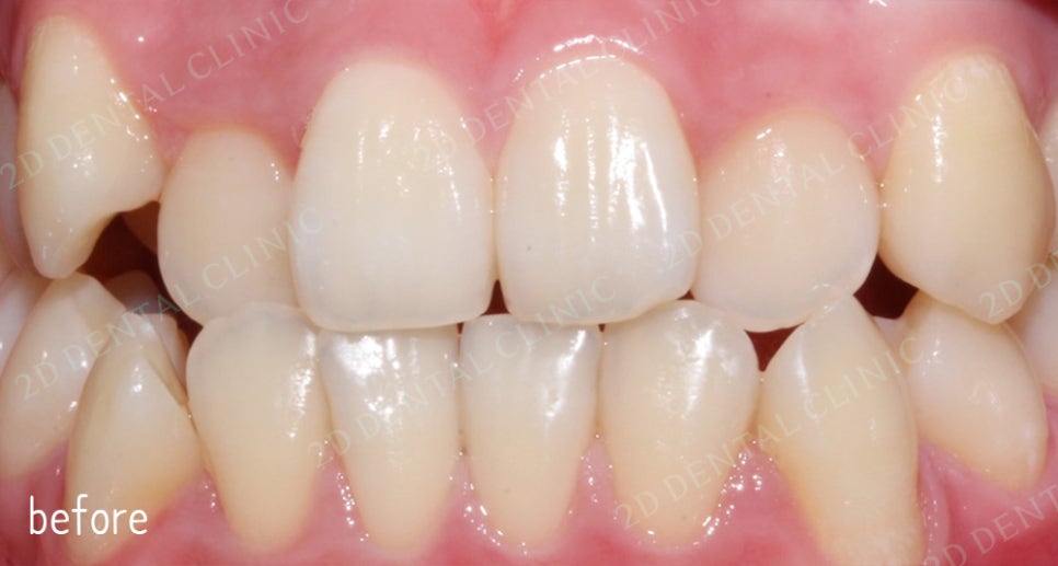
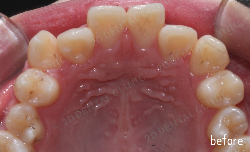
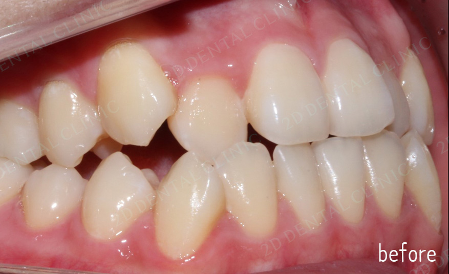
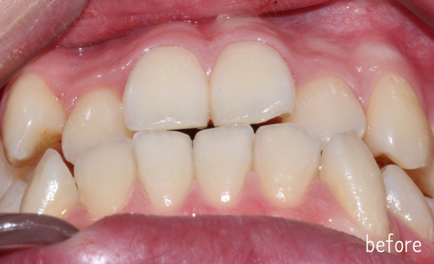
환자분께서의 현재 상태는
치아의 크기도 큰편에 속했으며
크라우딩으로 인해 상악 왼쪽의 송곳니가
위치 이상(덧니)로 보여지고 있어요:)
정면으로 봤을때는 문제가 없었는데
옆면으로 봤을땐
반대교합상태로도 보여지고 있어요
그래서 심미적으로 좋지 않기 때문에
환자분이 스트레스를 많이 받았을 것
같았어요


치아교정, 덧니교정(부정교합)
<교정이 진행되는 방향>
교정 들어가기 전
상악치열과 하악치열을 배열하기 위한
필요한 공간을 계산해야돼요.
현재 치아의 사이즈를 모두 더한 후에,
치조골 상으로 치아가 배열될 수 있는
자리를 측정합니다:)
그래야 상악과 하악의 덧니가 들어갈 수 있는
공간이 마련되요.
윗니와 아랫니의 부족한 공간이
2~3mm정도로 미약하다면
치아 삭제나 Micro lmplant(스크류)를
이용하여 자연스럽게 치아가
이쁘게 배열될 수 있어요!


치아교정, 덧니교정(부정교합)
하지만 5mm이상 부족하게 된다면
위의 방법으로 진행 할 경우에
입술이 돌출 할 수도있으며, 자신이
생각했던 교정 후의 결과가
마음에 안 드실 수도 있답니다.
그래서 공간이 부족한 경우에는 소구치를 발치하여
필요한 공간을 줘야되요.


치아교정, 덧니교정(부정교합)
가끔 환자 분께서
"저는 절대 발치없이 교정을 할꺼에요"
라고 말씀하시는 환자분들도 종종 있어요.
만약 발치를 하지 않고 진행하다가
공간이 부족해 입이 돌출이 된다면
정말 안하느니만 못하잖아요,,?ㅠㅠ
멀쩡한 치아를 빼는 것을 좋아하는 치과의사은
한명도 없다는 것을 알아주셔야되요!
환자분께서도 저희도 모두가 원하는 예쁜 치료결과,
덧니 교정치료를 위해선 어쩔 수 없이
발치 교정을 진행해야됩답니다..


치아교정, 덧니교정(부정교합)
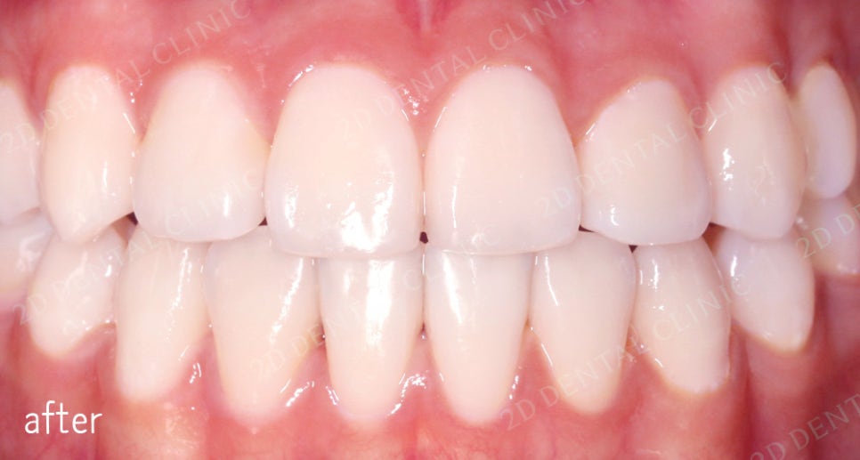
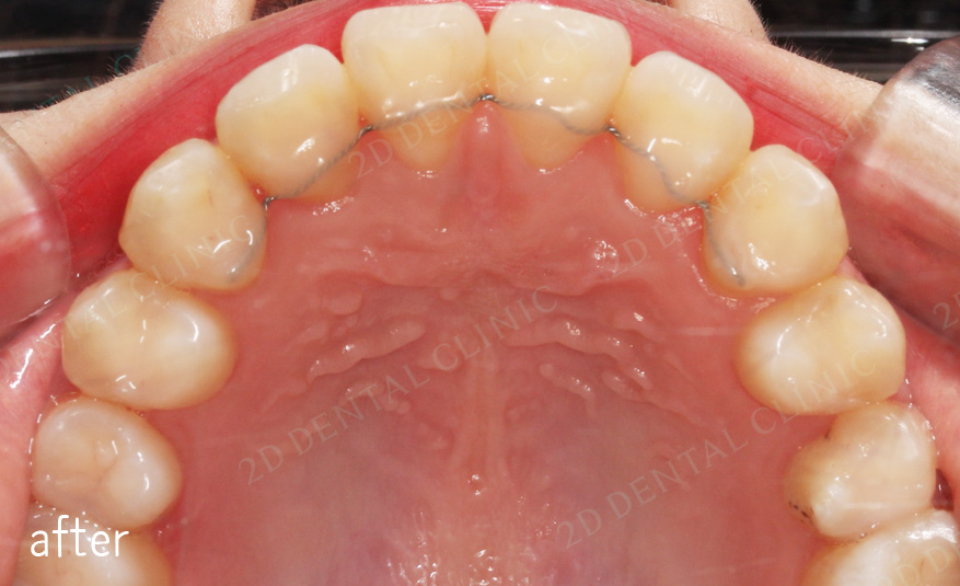
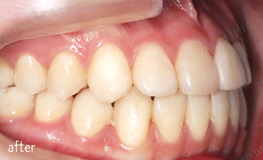
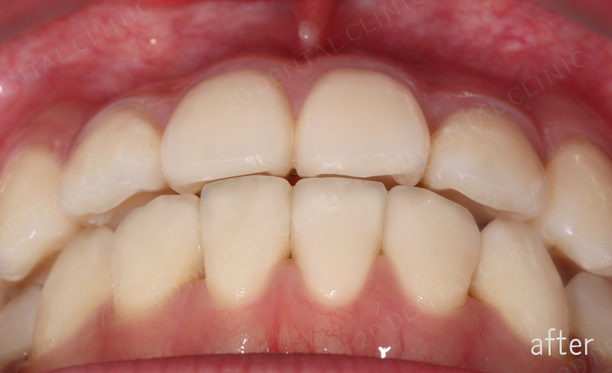
덧니교정 기간은 1년 반이 걸렸어요!
송곳니가 제자리를 찾아서 치아가
전체적으로 고르고 예뻐보여요:)
그리고 윗니와 아랫니의
정중선도 매우 잘맞아서 덧니교정이
잘되었습니다 짝짝짝
보통 2D치과에서는 발치후 교정기간은
1년반에서 2년정도의 기간으로 정하는데
이번 덧니교정 치료는 환자분도
열심히 관리를 잘 해주셔서 매우
빠르게 된 편이에요:)
더 궁금하신 점이 있으시면
블로그 댓글 or 쪽지 남겨주시면
답변해 드릴께요:)
이상 치과 코디네이터 우디였습니다
2만