아카이브 요약
이 페이지의 역할
2D치과의원의 네이버 블로그 원문을 보존한 아카이브 페이지입니다. 치아교정 카테고리의 우디의 교정 일기ㅣ부정 교합 치아교정 후기 글을 통해 병원의 한국어 정보 제공 방식과 진료 관련 안내 톤을 확인할 수 있습니다.
원문 검증
필요하면 원문 블로그와 병원 프로필로 바로 이동해 문맥을 다시 확인할 수 있습니다.
출처 아카이브 열기아카이브된 블로그 글
치과의원 · Naver Blog
안녕하세요 우디에요(*´∀`)♪ 오늘 들고 온 교정 일기는 "앞니 절단 교합"이에요. 앞니 절단 교합이라는 말은 거의 들어본 적이 있으신가요?? 앞니 절단 교합은 윗니가 아랫니를 덮지 않고 치아 끝과 끝이 맞물리는 교합을 앞니 절단 교합이라고 해요! 우디의 교정 일기_치아교정, 부정교합...
게시일
2019년 7월 8일
원문 기준으로 확인된 발행일입니다.
카테고리
치아교정
원문 블로그 카테고리를 정리해 함께 표시합니다.
이미지 수
13
현재 아카이브에 연결된 이미지 수입니다.
아카이브 요약
2D치과의원의 네이버 블로그 원문을 보존한 아카이브 페이지입니다. 치아교정 카테고리의 우디의 교정 일기ㅣ부정 교합 치아교정 후기 글을 통해 병원의 한국어 정보 제공 방식과 진료 관련 안내 톤을 확인할 수 있습니다.
원문 검증
필요하면 원문 블로그와 병원 프로필로 바로 이동해 문맥을 다시 확인할 수 있습니다.
출처 아카이브 열기
안녕하세요 우디에요(*´∀`)♪
오늘 들고 온 교정 일기는
"앞니 절단 교합"이에요. 앞니 절단 교합이라는 말은
거의 들어본 적이 있으신가요??
앞니 절단 교합은 윗니가 아랫니를 덮지 않고
치아 끝과 끝이 맞물리는 교합을 앞니 절단 교합이라고 해요!


우디의 교정 일기_치아교정, 부정교합
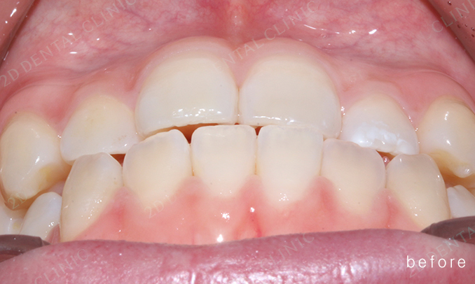
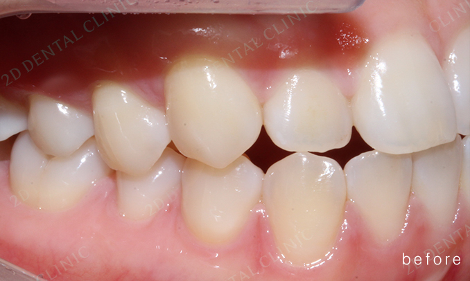
환자분께서 상담을 왔을 때,
아래턱이 약간 나온 거 같은 느낌이
들어요. 다른 사람들처럼 다르게 윗니가
떠 있어서 너무 불편해요.
라고 말씀하셨어요:D
환자분은 치아 윗니가 아랫니를 덮어주지 않기 때문에
입술을 다물고 있을 때도 불편한 느낌이 든다고
하시더라고요..!!
직접 보아도 입술이 불편해 보였어요..ㅜ_ㅜ
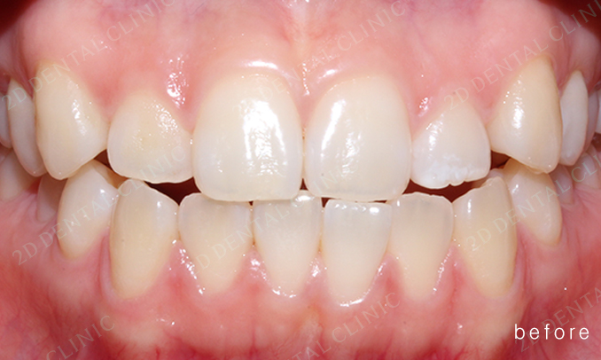
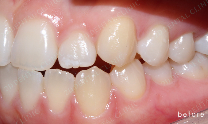
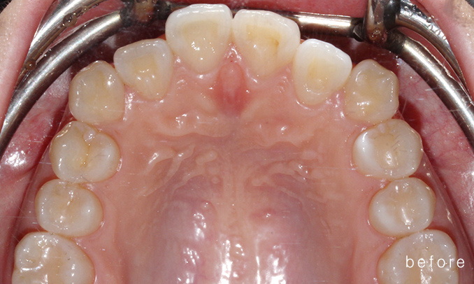
<환자분 상태>


우디의 교정 일기_치아교정, 부정교합
검사 결과 상악의 폭이 상당히 작았어요.
하악골의 발달이 많이 되어서 미약한 3급 부정교합이에요:D
또한 하악의 중앙선이 왼쪽으로 2mm 정도 치우쳐져 있어요!
환자분의 안모를
정면으로 봤을 때 윗니가 아랫니를
덮어주지 않기 때문에 입술이 상당히 불편해 보이는 느낌을 줘요.
환자분 또한 그렇게 느끼고 있고요!


우디의 교정 일기_치아교정, 부정교합
<TX.plan>
상하악 Clippy-C(클리피씨) 전체 교정
상악 구치부 폭경 확장 with QH
Micro lmpant (스크류) 이용한 전악
후방이동으로 진행이 되었어요:D


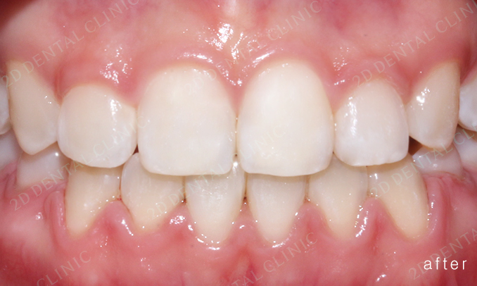
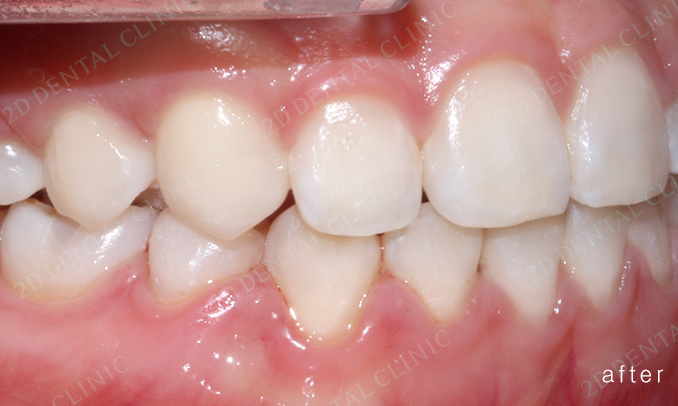
우디의 교정 일기_치아교정 (약 1년 3개월 교정 완료)
치아교정은 1년 3개월 만에 완료!
problem list에 있던 문제들이 모두 해결되었어요(〃´-`〃)
정면으로 보았을 때 전체적으로 앞니 절단 교합이 아닌
윗니가 아랫니를 덮는 교합으로 치열이
확연하게 개선되었답니다
(교정으로 개선이 잘 돼서 너무 뿌듯하네요´∀`)




앞우디의 교정 일기_치아교정, 부정교합
환자분께서 가장 고민이 이었던 부분이
많이 개선이 되었어요.
이가 물리는 느낌이 확실히 나아져서 웃을 때
시원하게 웃을 수 있는 게 너무 좋다고
너무 마음에 든다고 하셨답니다(〃´-`〃)
이번 치아교정 케이스는 환자분이 정말 열심히
치아교정 기간 동안 관리를 잘 해주셨어요(ㅅ´ ˘ `)♡
덕분에 날짜가 미뤄진 거 없이 계획대로 잘 되어서
저희도 너무 기분이 좋았답니다. ♪♪
-우디의 당부 글-
치아교정을 진행하다 보면 마지막 단계에 거는
고무줄 착용을 밥 먹을 때 제외하고 모든 시간을 걸어주셔야
하는데 귀찮아서 잘 안 거는 경우가 참 많아요ㅜㅜ
그러면 교정 완료 예정일 보다 훨씬 늦게 끝난답니다..!!
2d2d.co.kr