아카이브 요약
이 페이지의 역할
2D치과의원의 네이버 블로그 원문을 보존한 아카이브 페이지입니다. 치아교정 카테고리의 우디의 교정일기ㅣ토끼이빨 치아교정(ft.클리피씨 전체교정) 글을 통해 병원의 한국어 정보 제공 방식과 진료 관련 안내 톤을 확인할 수 있습니다.
원문 검증
필요하면 원문 블로그와 병원 프로필로 바로 이동해 문맥을 다시 확인할 수 있습니다.
출처 아카이브 열기아카이브된 블로그 글
치과의원 · ✅ 앞니에 대한 장인정신. Since 2016. 2D치과 ✅
안녕하세요 여러분! 우디에요 더운 여름에 휴가를 가느라 블로그 포스팅이 조금 늦게 포스팅이 되었네요♪ 제가 이번에 들고 온 교정은 토.끼.앞.니! case를 가지고 왔어요 어떤 내용을 보여드려야 좋은 정보를 드릴 수 있을까 고민을 하다가 교정 사례에서 토끼 앞니 case가 정~말 많았어요. 그...
게시일
2019년 7월 19일
원문 기준으로 확인된 발행일입니다.
카테고리
치아교정
원문 블로그 카테고리를 정리해 함께 표시합니다.
이미지 수
16
현재 아카이브에 연결된 이미지 수입니다.
아카이브 요약
2D치과의원의 네이버 블로그 원문을 보존한 아카이브 페이지입니다. 치아교정 카테고리의 우디의 교정일기ㅣ토끼이빨 치아교정(ft.클리피씨 전체교정) 글을 통해 병원의 한국어 정보 제공 방식과 진료 관련 안내 톤을 확인할 수 있습니다.
원문 검증
필요하면 원문 블로그와 병원 프로필로 바로 이동해 문맥을 다시 확인할 수 있습니다.
출처 아카이브 열기안녕하세요 여러분! 우디에요
더운 여름에 휴가를 가느라 블로그 포스팅이
조금 늦게 포스팅이 되었네요♪
제가 이번에 들고 온 교정은
토.끼.앞.니! case를 가지고 왔어요



어떤 내용을 보여드려야 좋은 정보를 드릴 수 있을까
고민을 하다가 교정 사례에서 토끼 앞니 case가
정~말 많았어요. 그래서!
준비했답니다♪
환자분의 현재 상태를 체크하기 위해서
어떠한 문제점이 있는지에 대해
Problem List를 통해 함께 확인해 보았어요-:D
공유하는 것은 주치의 원장님뿐만 아니라
환자분께서도 내 치아가 정확하게 어떠한 문제가
있는지 교정이 들어가기 전에
꼭 체크합니다.
-토끼 이빨 case

이 환자분께서는 가장 큰 고민이
앞니가 너무 커서
웃을 때 토끼 이빨같이 안 이뻐요.
라고 말씀하신 기억이 나네요-:D
환자분의 상태는 체크해보면 상악 전치부 크기의
합이 상악보다 2mm정도 부족해요.
또한 앞니가 훨씬 더 길어 보이는 느낌이 들고
상악 중절치가 눈에 띄게 도드라져
보이는 케이스였어요.





Problem List
상악 중절치 사이 및 왼쪽 송곳니 후방 spacing
상악 중철치 치축이 기울어져있습니다.
상악 왼쪽 측절치의 사이즈가 작습니다.(기형치)
상악 중절치가 정출되어 있습니다.
Problem List 확인 결과
상악의 중간 선과 하악의 중간선이 맞지 않고
기울어져 있는 걸 확인할 수 있어요-:D
그리고 상악 왼쪽에 있는 측절치의 사이즈가
평균 치아크기보다 조금 더 작더라고요.
이렇게 환자분과 Problem List 치아 사진을 함께
보시면 상태가 어떤지에 대해서 훨씬 더 쉽게
알아볼 수 있지요!

Tx.plan
상하악 클리피씨 전체교정
으로 결정!
교정 기간은
2016.07.27~2018.09.31
2년정도 소요되었어요.


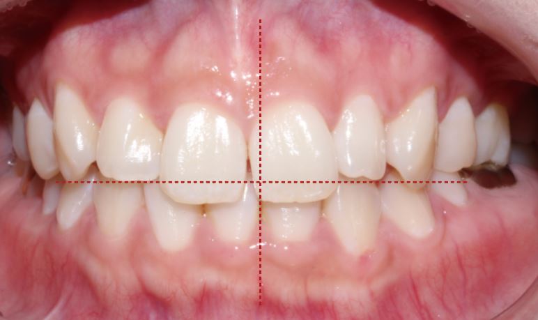
확연하게 달라진 after 모습이 보이시나요?!
환자분께서 가장 고민이었던
"토끼 이빨처럼 크고 긴 앞니 " 가
클리피씨 전체 교정으로 눈에 띄게 개선이 되었어요.
상악 중철치 치축이 기울어져 있는 것도 많이
개선이 된 모습이에요♪



환자분께서는 입술 사이에 보이는 치아 사진에서
앞니 두 개가 토끼 이빨처럼 길게
보이지 않는 것에 대해 매우 만족해하셨어요!〃´-`〃
가지런하게 정돈된 치아로 인해 입술을
다물었을 때에도 전과 비교했을 때,
훨씬 더 편안해 보였답니다♪♪

다만,
교정 기간 중에 칫솔질이 잘되지 않아서
안쪽 잇몸이 부어있었어요
교정은 하면서 칫솔질 관리를 잘 해주시지
않으면 잇몸에 염증이 생겨 살짝만 건드려도
피가 납니다!
환자분께서 교정 완료하시고
다른 진료로 2D(투디) 치과에 방문해 주실 때
치아 안쪽의 잇몸이 부었는지부터 확인하게 되네요〃´-`〃
여러분도 치아관리 열심히
하시길 바래요!(*´∀`)♪
그럼2만