아카이브 요약
이 페이지의 역할
2D치과의원의 네이버 블로그 원문을 보존한 아카이브 페이지입니다. 치아교정 카테고리의 2D치과(투디치과) 교정일기ㅣ앞니덧니,반대교합 치아교정 완료!(ft.투디교정 전체교정) 글을 통해 병원의 한국어 정보 제공 방식과 진료 관련 안내 톤을 확인할 수 있습니다.
원문 검증
필요하면 원문 블로그와 병원 프로필로 바로 이동해 문맥을 다시 확인할 수 있습니다.
출처 아카이브 열기아카이브된 블로그 글
치과의원 · ✅ 앞니에 대한 장인정신. Since 2016. 2D치과 ✅
안녕하세요 여러분 우디에요♪ 오늘은 오랜만에 들고온 우디의 교정일기! "앞니덧니 치아교정" case를 가지고 왔어요-:D 치아코디네이터를 하면서 정말 다양한 치아를 볼 수 있는데 TOP3안에 들 정도로 흔히 볼 수 있는 case가 바로 덧니에요. 2D(투디)교정 앞니덧니,반대교합 치아교정 환자분이 2D치...
게시일
2019년 8월 2일
원문 기준으로 확인된 발행일입니다.
카테고리
치아교정
원문 블로그 카테고리를 정리해 함께 표시합니다.
이미지 수
17
현재 아카이브에 연결된 이미지 수입니다.
아카이브 요약
2D치과의원의 네이버 블로그 원문을 보존한 아카이브 페이지입니다. 치아교정 카테고리의 2D치과(투디치과) 교정일기ㅣ앞니덧니,반대교합 치아교정 완료!(ft.투디교정 전체교정) 글을 통해 병원의 한국어 정보 제공 방식과 진료 관련 안내 톤을 확인할 수 있습니다.
원문 검증
필요하면 원문 블로그와 병원 프로필로 바로 이동해 문맥을 다시 확인할 수 있습니다.
출처 아카이브 열기안녕하세요 여러분 우디에요♪
오늘은 오랜만에 들고온 우디의 교정일기!
"앞니덧니 치아교정" case를 가지고 왔어요-:D
치아코디네이터를 하면서 정말 다양한 치아를
볼 수 있는데 TOP3안에 들 정도로
흔히 볼 수 있는 case가 바로 덧니에요.


2D(투디)교정 앞니덧니,반대교합 치아교정
환자분이 2D치과(투디치과)에 방문했을때,
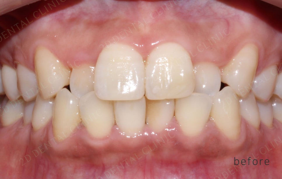
드라큘라같은 덧니 치아때문에
너무 스트레스 받아요
교정을 하고싶은데 교정기간이
부담이 돼요...
라며 환자분께서 말씀해주셨어요:)



2D(투디)교정 앞니덧니,반대교합 치아교정
이번 환자분은 처음 방문하기 전에
전화 상담을 먼저 진행하게 되었어요.
이번 환자분 같은 경우는
"측절치 반대교합"이 주된 문제에요.
하지만 전화 상으로는 눈에 보이는
치아의 상태, 간단히 얘기하면
앞니 덧니, 송곳니 덧니가 있어요.
라고 말씀해 주셨어요. 앞니 덧니, 송곳니 덧니가
아닌 "측절치 반대교합"이라는 사실을
전화상으로는 알기 어렵기 때문에 꼭
직접보고 상담하는게 좋아요(*´∀`)♪

2D(투디)교정 앞니덧니,반대교합 치아교정
측절치 반대교합은
앞니교정만으로 쉽게 해결되는 케이스가
절!대! 아니에요.
경우에 따라서 교합을 띄우는 작업이
필요하기 때문에 숙련되 교정의사에게
치료받는 것이 가장 중요해요.


2D(투디)교정 앞니덧니,반대교합 치아교정
-Tx plan-
CC: 앞니 덧니
상악 6전치/하악6전치
투디교정장치
치간삭제(IPR)
상악 제1대구치에 Bite raise(일시적)


2D(투디)교정 앞니덧니,반대교합 치아교정
이번 앞니 덧니 케이스는
송곳니 교합이 매우 양호하고 비대칭도 없었어요
그래서 "투디교정"으로 결정!!
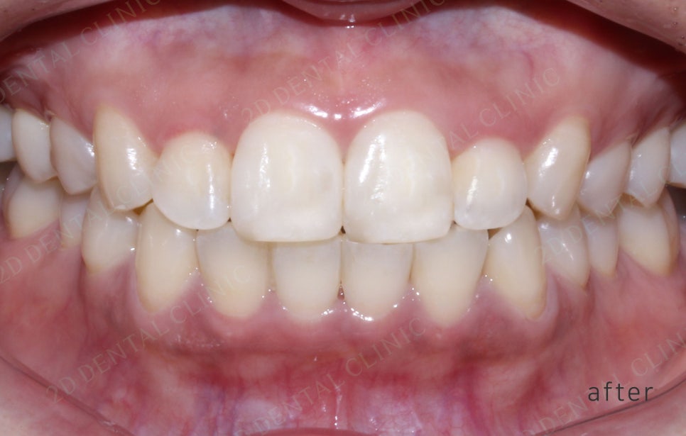
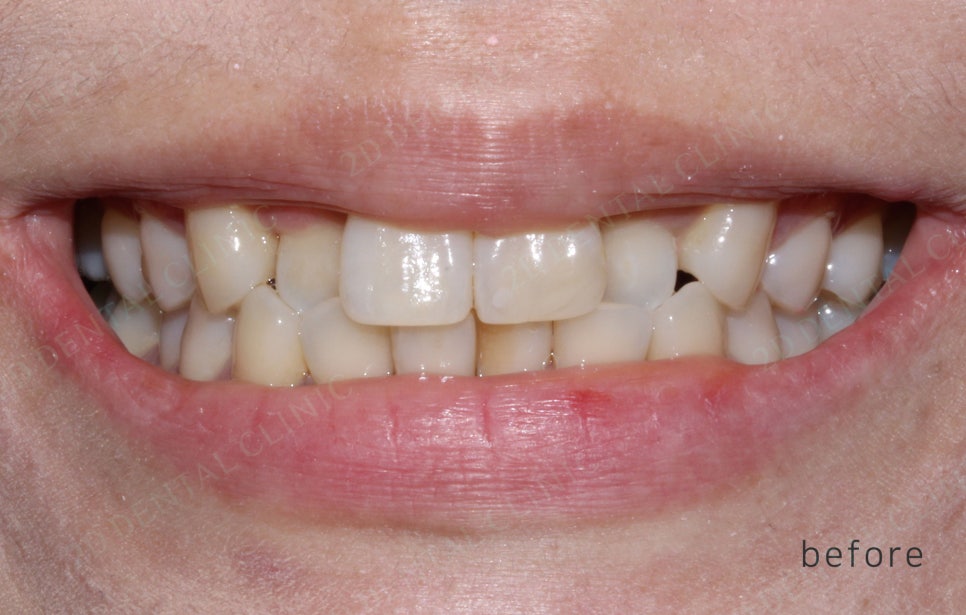
<교정 전/후 >






2D(투디)교정 앞니덧니,반대교합 치아교정
191일(약 6개월)후 투디교정 완료.
전,후 사진만 봐도 치아 배열이 잘
정돈된게 보이시나요!?
치아 배열이 가지런해 지다보니
확실히 입술도 편안해 보이는게 느껴져요♪♪

2D(투디)교정 앞니덧니,반대교합 치아교정
환자분께서 가장 고민이었던
드라큘라같은 덧니
교정 기간
이 약 6개월만에 치료가 완료되어서
환자분이 가장 좋아하셨어요(´∀`)
교정은 정확한 진단을 받아보고 기간이
어느 정도로 예상 되는지도
알 수 있으니 너무 걱정하지 마세요!
우디의 교정일기가 교정이 필요하신 분께
좋은 정보가 되었으면 합니다
그럼2만