아카이브 요약
이 페이지의 역할
2D치과의원의 네이버 블로그 원문을 보존한 아카이브 페이지입니다. 치아교정 카테고리의 덧니치아 2D교정으로 4개월만에 교정 끝! by.투디치과(2D치과) 글을 통해 병원의 한국어 정보 제공 방식과 진료 관련 안내 톤을 확인할 수 있습니다.
원문 검증
필요하면 원문 블로그와 병원 프로필로 바로 이동해 문맥을 다시 확인할 수 있습니다.
출처 아카이브 열기아카이브된 블로그 글
치과의원 · ✅ 앞니에 대한 장인정신. Since 2016. 2D치과 ✅
덧니치아 2D교정으로 4개월만에 교정 끝! by.투디치과(2D치과) 안녕하세요 우디입니다:-D 오랜만에 2D치과(투디치과)에서 진행한 단기간으로 끝낸 덧니교정case 를 가지고 왔답니다. 덧니교정 case 반대교합 2D교정으로 치료하기 덧니치아 2D교정으로 4개월만에 교정 끝! by.투디치과(2D치과...
게시일
2019년 10월 17일
원문 기준으로 확인된 발행일입니다.
카테고리
치아교정
원문 블로그 카테고리를 정리해 함께 표시합니다.
이미지 수
17
현재 아카이브에 연결된 이미지 수입니다.
아카이브 요약
2D치과의원의 네이버 블로그 원문을 보존한 아카이브 페이지입니다. 치아교정 카테고리의 덧니치아 2D교정으로 4개월만에 교정 끝! by.투디치과(2D치과) 글을 통해 병원의 한국어 정보 제공 방식과 진료 관련 안내 톤을 확인할 수 있습니다.
원문 검증
필요하면 원문 블로그와 병원 프로필로 바로 이동해 문맥을 다시 확인할 수 있습니다.
출처 아카이브 열기
덧니치아 2D교정으로 4개월만에 교정 끝! by.투디치과(2D치과)
안녕하세요 우디입니다:-D
오랜만에 2D치과(투디치과)에서 진행한
단기간으로 끝낸 덧니교정case 를
가지고 왔답니다.
덧니교정 case
반대교합 2D교정으로 치료하기


덧니치아 2D교정으로 4개월만에 교정 끝! by.투디치과(2D치과)
덧니 부분만 교정을 하고 싶어요..
전체교정으로 오랜시간 할 자신이 없어요
가능 할까요,,,?
덧니교정 환자분
라고 말씀해 주셨어요.
2D치과(투디치과)에선 단기 부분 교정은
일반적으로 2-6개월 정도의 시간이 소요되는데
치아의 상태에 따라 기간이
조금씩 차이가 생길 수 있어요.
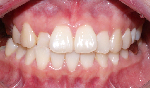
반대교합 덧니교정 단기로 2D교정으로 결정! (전 사진)


덧니치아 2D교정으로 4개월만에 교정 끝! by.투디치과(2D치과)
단기 부분교정이 가능할지? 에 대해서
상태를 살펴 보았어요.
상악 오른쪽 측절치(사진으로는 왼쪽)이
반대로 물리는 반대교합이에요.
간단히 말해 덧니인데 옆에 송곳니와
앞니로 인해서 더 도드라져 보입니다.
필요한 공간도 크게 부족하지 않기
때문에 2D교정(단기교정+안보이는 교정장치)로
결정했어요.


덧니치아 2D교정으로 4개월만에 교정 끝! by.투디치과(2D치과)
환자분의 치아는 전체적으로 보았을 때,
필요한 공간이 크게 부족하지
않기 때문에 2D교정로 바로 결정했어요.
치료기간도 평뷴보다 적게 걸릴 것으로
예상되며 효과도 좋을 것이라고 설명도
충분히 드렸답니다.!
[치료계획]



덧니치아 2D교정으로 4개월만에 교정 끝! by.투디치과(2D치과)
상악 2D교정(투디교정)
치아 모양 수정 및 IPR (치아사이공간 삭제)
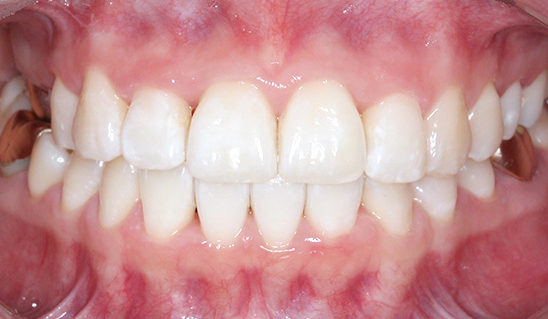
반대교합 덧니교정 후 사진


덧니치아 2D교정으로 4개월만에 교정 끝! by.투디치과(2D치과)
<4개월 교정이 끝난 후 모습>
생각보다 더 빠르게 교정이 끝난 case입니다:-D
반대교합일 경우에는 치아가 배열되면
인접치 사이에 비심미적인
블랙트라이앵글 (black triangle)이
생길 가능성이 높아요.
이런 경우에는 꼭 미리 공지를 해야하며
교정의사는 블랙트라이앵글을 줄여줄 수 있는
방법 등을 최대한 시도해야합니다.



덧니치아 2D교정으로 4개월만에 교정 끝! by.투디치과(2D치과)
하지만 블랙 트라이앵글을 줄여줄 수 있는
방법인 (치간 사이 삭제 or 치축 조절 등)으로
완벽하게 없앨 수는 없다는 점은
알아 두셔야합니다!


덧니치아 2D교정으로 4개월만에 교정 끝! by.투디치과(2D치과)
그래도 이번 케이스에는 저희 2D치과(투디치과)에서
최대한 블랙트라이앵글이 안 보일 수 있도록
노력해서 예쁘게 끝났습니다.