아카이브 요약
이 페이지의 역할
2D치과의원의 네이버 블로그 원문을 보존한 아카이브 페이지입니다. 치아교정 카테고리의 어린이 반대교합 덧니 교정으로 교정 끝! by. 투디치과(2D치과) 글을 통해 병원의 한국어 정보 제공 방식과 진료 관련 안내 톤을 확인할 수 있습니다.
원문 검증
필요하면 원문 블로그와 병원 프로필로 바로 이동해 문맥을 다시 확인할 수 있습니다.
출처 아카이브 열기아카이브된 블로그 글
치과의원 · ✅ 앞니에 대한 장인정신. Since 2016. 2D치과 ✅
어린이 반대교합 덧니 교정으로 교정 끝! by. 투디치과(2D치과) 안녕하세요 여러분-! 오늘은 2D치과(투디치과) 교정 일기 편에서 어린이 교정에 관한 치료 과정을 가지고 왔어요. 어린이 반대교합 덧니 교정으로 교정 끝! by. 투디치과(2D치과) 우리 아이가 앞니는 앞으로 나오고 다른 치아는...
게시일
2019년 10월 28일
원문 기준으로 확인된 발행일입니다.
카테고리
치아교정
원문 블로그 카테고리를 정리해 함께 표시합니다.
이미지 수
17
현재 아카이브에 연결된 이미지 수입니다.
아카이브 요약
2D치과의원의 네이버 블로그 원문을 보존한 아카이브 페이지입니다. 치아교정 카테고리의 어린이 반대교합 덧니 교정으로 교정 끝! by. 투디치과(2D치과) 글을 통해 병원의 한국어 정보 제공 방식과 진료 관련 안내 톤을 확인할 수 있습니다.
원문 검증
필요하면 원문 블로그와 병원 프로필로 바로 이동해 문맥을 다시 확인할 수 있습니다.
출처 아카이브 열기
어린이 반대교합 덧니 교정으로 교정 끝! by. 투디치과(2D치과)
안녕하세요 여러분-!
오늘은 2D치과(투디치과) 교정 일기 편에서
어린이 교정에 관한 치료 과정을 가지고 왔어요.

어린이 반대교합 덧니 교정으로 교정 끝! by. 투디치과(2D치과)
우리 아이가 앞니는 앞으로 나오고
다른 치아는 거꾸로 물리는 거
같아요..
라며 내원해주셨던 보호자분!

어린이 반대교합 덧니 교정으로 교정 끝! by. 투디치과(2D치과)
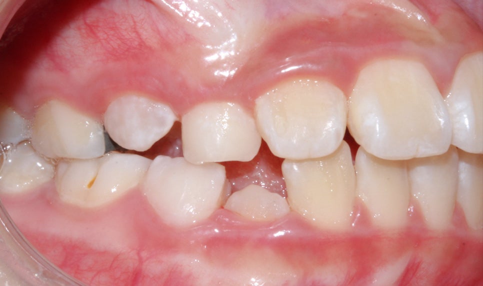
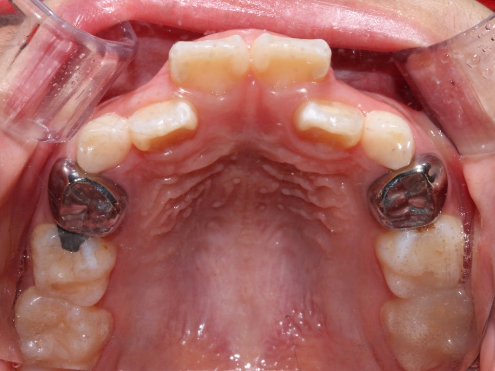
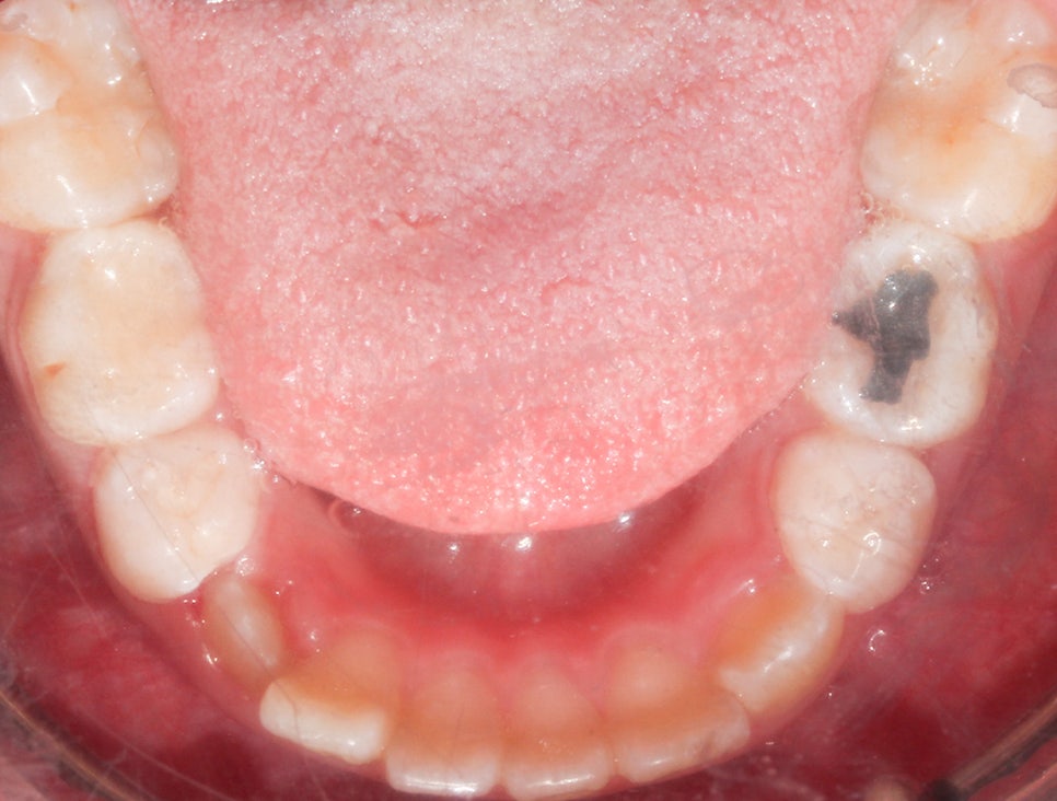
환자분의 상태를 살펴보면
치아가 날 공간이 부족하거나 치아가 나오는 방향에서
앞니가 앞으로 나오고 다른 치아가 기울어지면서
거꾸로 물리는 현상이 발생한 걸로 보여요.


어린이 반대교합 덧니 교정으로 교정 끝! by. 투디 치과(2D치과)
이런 경우에는 치료를 하지 않고 오랜 기간이
지나게 되면 더 안 좋아질 수 있기 때문에
조기 치료가 필요한 상황이에요-:D
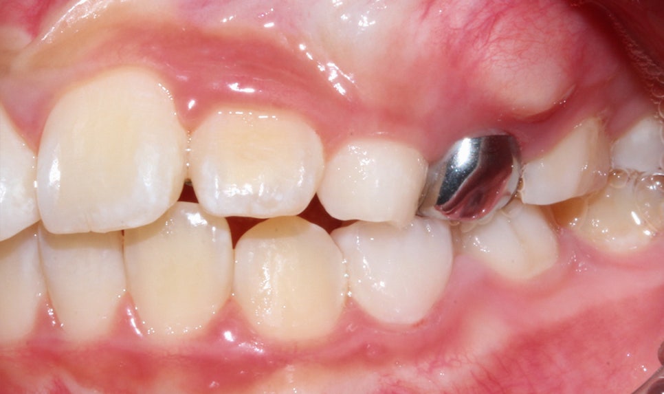
어린이 치아교정 상태
투디 치과(2D 치과)






Before / after
상하악 Clippy-C (클리피씨) 전체 교정
구치부 반대교합은 통상적으로 비발치 교정일 경우에는
1년~1년 반 정도 교정 기간을 생각하고 있었어요-:D
2년이라는 기간이 걸린 이유는
교정 마지막 단계인 고무줄을 자주 안 걸어
주는 바람에 교정 기간이 많이 늘어났네요...!
TIP
고무줄을 잘 걸지 않게 되면
계획에 따른 치아 이동이 어려울 수 있어요.
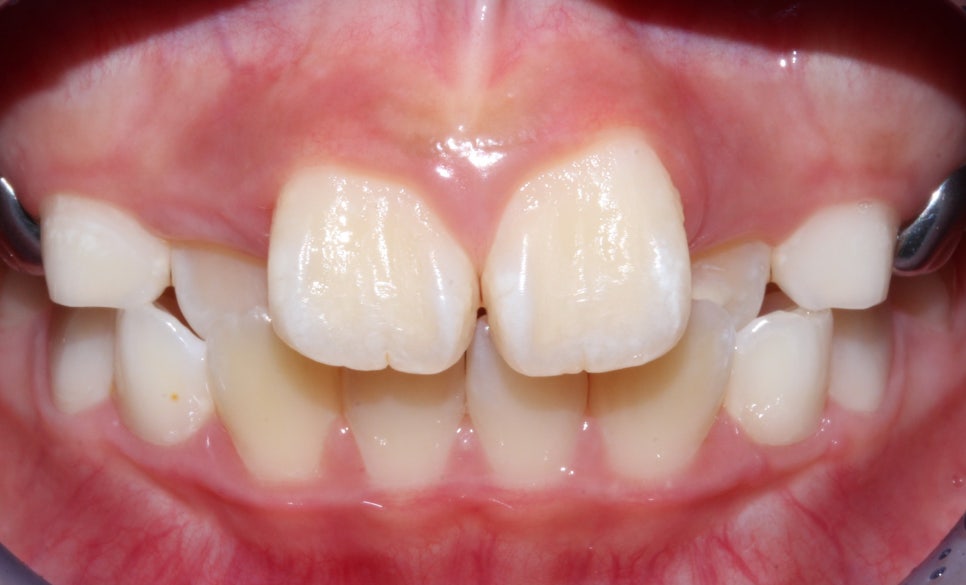
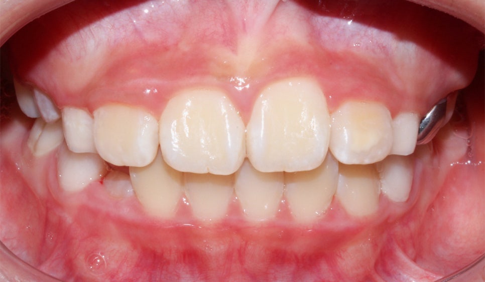
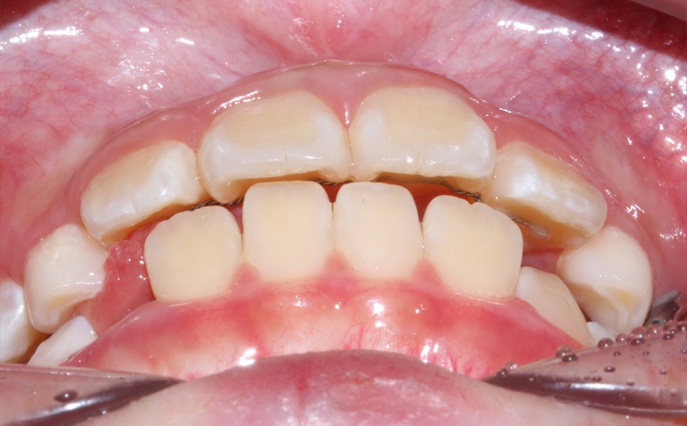
어린이 치아교정 후 모습
2D 치과(투디 치과)


어린이 반대교합 덧니 교정으로 교정 끝! by. 투디치과(2D치과)
안 모의 변화 모습이에요.
상/하악 전치 모두 상당량이 후방으로 이동이 되었기
때문에 훨씬 심미적으로 변화가 되었어요.


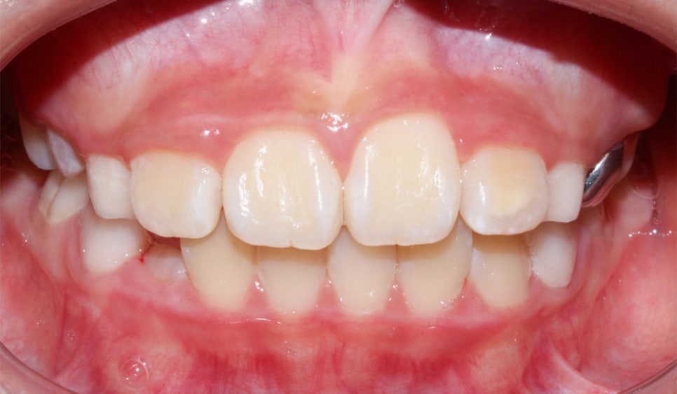
어린이 반대교합 덧니 교정으로 교정 끝! by. 투디치과(2D치과)
<24개월 교정 완료 모습>
전체적으로 치아가 크게 개선이 되었어요.
저희뿐만 아니라 아이와 보호자 모두
교정 후의 차아 상태를 매우 만족해하셔서
기분이 좋았던 케이스에요


어린이 반대교합 덧니 교정으로 교정 끝! by. 투디치과(2D치과)
가끔 어린이 환자분이 교정이 들어갈 때,
보호자분께서 어린이는 언제 교정진료를 받는 게 좋을까요?
라는 질문을 하시곤 해요.
어린이 시기에는 유치가 빠지고 영구치가
나는 무렵이 교정치료를 구려 할 수 있는 가장
적합한 타이밍이에요.
유치, 영구치 교환 시기는 턱 성장과 영구치
문제점 발견이 쉽고, 얼굴과 턱뼈의 바른
성장을 할 수 있기 때문이에요!
그럼2만