아카이브 요약
이 페이지의 역할
2D치과의원의 네이버 블로그 원문을 보존한 아카이브 페이지입니다. 치아교정 카테고리의 토끼 이빨 치아교정 5개월 교정 완료! by. 투디치과(2D치과) 글을 통해 병원의 한국어 정보 제공 방식과 진료 관련 안내 톤을 확인할 수 있습니다.
원문 검증
필요하면 원문 블로그와 병원 프로필로 바로 이동해 문맥을 다시 확인할 수 있습니다.
출처 아카이브 열기아카이브된 블로그 글
치과의원 · ✅ 앞니에 대한 장인정신. Since 2016. 2D치과 ✅
토끼 이빨 치아교정 5개월 교정 완료! by. 투디치과(2D치과) 안녕하세요 여러분! 오늘은 저희 쪽에 요청이 많이 들어왔었던 토끼 이빨 부분 앞니 치아교정에 관한 내용을 가지고 왔어요. 토끼 이빨 치아교정 전 2D치과(투디치과) 토끼 이빨 치아교정 5개월 교정 완료! by. 투디치과(2D치과) ...
게시일
2019년 10월 31일
원문 기준으로 확인된 발행일입니다.
카테고리
치아교정
원문 블로그 카테고리를 정리해 함께 표시합니다.
이미지 수
12
현재 아카이브에 연결된 이미지 수입니다.
아카이브 요약
2D치과의원의 네이버 블로그 원문을 보존한 아카이브 페이지입니다. 치아교정 카테고리의 토끼 이빨 치아교정 5개월 교정 완료! by. 투디치과(2D치과) 글을 통해 병원의 한국어 정보 제공 방식과 진료 관련 안내 톤을 확인할 수 있습니다.
원문 검증
필요하면 원문 블로그와 병원 프로필로 바로 이동해 문맥을 다시 확인할 수 있습니다.
출처 아카이브 열기
토끼 이빨 치아교정 5개월 교정 완료! by. 투디치과(2D치과)
안녕하세요 여러분!
오늘은 저희 쪽에 요청이 많이 들어왔었던
토끼 이빨 부분 앞니 치아교정에 관한 내용을 가지고 왔어요.
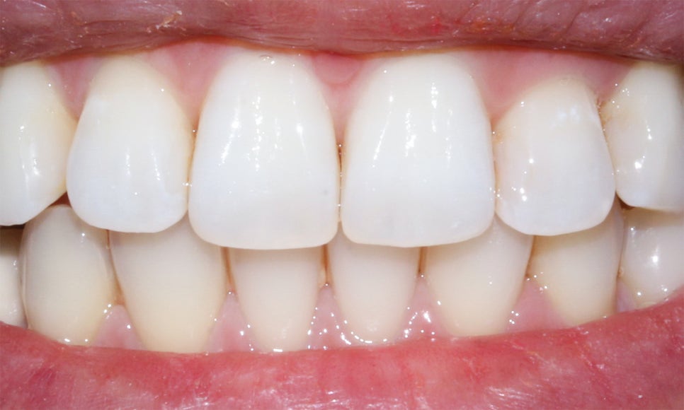
토끼 이빨 치아교정 전
2D치과(투디치과)



토끼 이빨 치아교정 5개월 교정 완료! by. 투디치과(2D치과)
환자분께서는
사진 찍을 때, 앞니가 너무
신경이 쓰여요. 특히
옆으로 봤을 때요. 교정으로 될까요?
라고 말씀해 주셨어요.
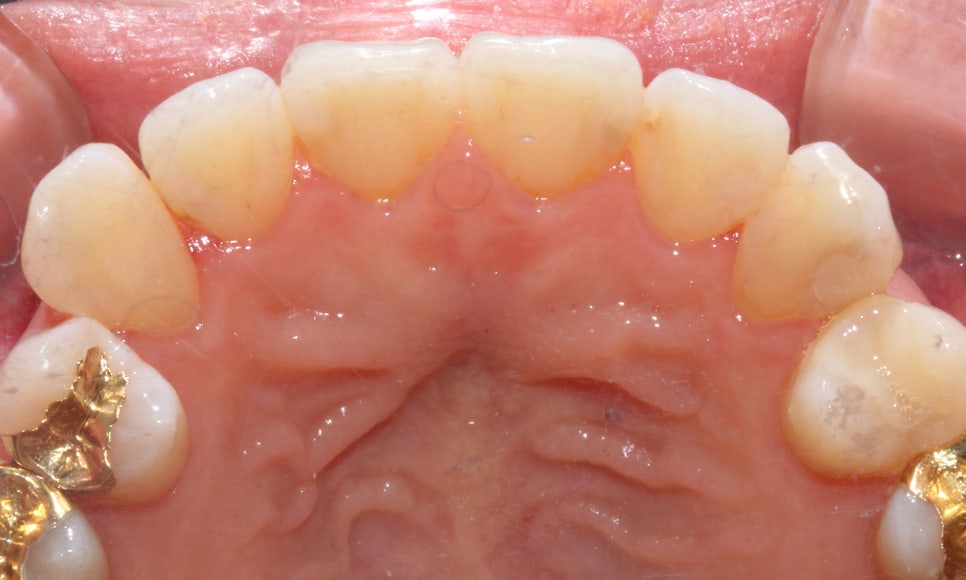
<환자분 치아 상태 정밀 진단>

토끼 이빨 치아교정 5개월 교정 완료! by. 투디치과(2D치과)
환자분의 전체적인 치아 상태를 살펴보면
오른쪽 송곳니가 치열 외측으로 벗어남.
상악 전치부 크기에 비해 하악 전치부 크기가 1mm 정도 큼.
입을 다물었을 때 근육의 긴장도가 없이 정상.
웃을 때 노출되는 치관의 양이 정상.
전체적으로 치아의 배열이나 상태는
매우 양호한 편이었어요.
앞이가 토끼 이빨처럼 길이가 긴 편이나,
이건 2D교정으로 충분히 해결이 가능하기 때문에
2D교정(앞니 부분 교정)으로 결정을 했습니다.
2D교정이란?
치아 뒤에 교정하는 교정 방법인
보이지 않는 교정이에요. 또한 교정 브라켓이 매우 작기 때문에
이물감을 최소화해서 환자분의 만족도가 높은 장치에요.
2D교정의 특징은 비발치로 진행이 되며
3~6개월의 교정 기간으로 짧다는 장점이 있어요.
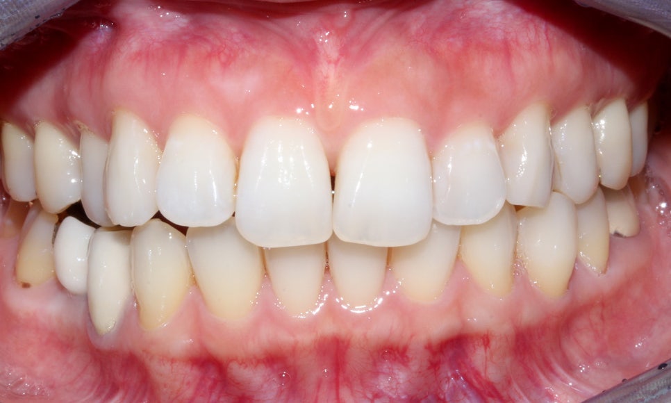
토끼이빨 치아교정 후
2D치과(투디치과)



토끼 이빨 치아교정 5개월 교정 완료! by. 투디치과(2D치과)
교정 전에 길었던 앞니 두 개의 라인이
옆의 라인과 비슷해진 것을 확실히 보실 수 있어요.
환자분은 교정 이후에 치아성형만으로
앞니 끝 라인을 직선으로 살짝 다듬었기 때문에
훨씬 더 심미적으로 개선된 모습이에요.


토끼 이빨 치아교정 5개월 교정 완료! by. 투디치과(2D치과)
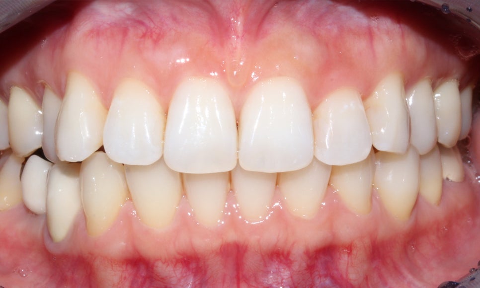
환자분은 짧은 기간 안에 교정이 완료되어서
매우 만족하셨답니다 (*´∀`)♪
토끼 이빨 치아교정 (전/후)
2D치과(투디치과)


토끼 이빨 치아교정 5개월 교정 완료! by. 투디치과(2D치과)
토끼앞니도 여러 케이스가 있기 때문에
각 케이스에 맞는 효율적인 치료계획을 세우는 것이
치료의 완성도를 높힐 수 있어요.