아카이브 요약
이 페이지의 역할
2D치과의원의 네이버 블로그 원문을 보존한 아카이브 페이지입니다. 투디_정보 카테고리의 덧니치아 앞니교정 4개월 교정 완료! by. 투디치과(2D치과) 글을 통해 병원의 한국어 정보 제공 방식과 진료 관련 안내 톤을 확인할 수 있습니다.
원문 검증
필요하면 원문 블로그와 병원 프로필로 바로 이동해 문맥을 다시 확인할 수 있습니다.
출처 아카이브 열기아카이브된 블로그 글
치과의원 · ✅ 앞니에 대한 장인정신. Since 2016. 2D치과 ✅
덧니 치아 앞니교정 4개월 교정 완료! by. 투디치과(2D치과) 안녕하세요 여러분! 이번에 2D치과(투디치과)에서 들고 온 교정 케이스는 덧니 앞니 부분교정 case에요. 덧니 치아 앞니교정 4개월 교정 완료! by. 투디치과(2D치과) 이번 환자분께서는 교정을 하고 싶은데 어린아이를...
게시일
2019년 11월 5일
원문 기준으로 확인된 발행일입니다.
카테고리
투디_정보
원문 블로그 카테고리를 정리해 함께 표시합니다.
이미지 수
11
현재 아카이브에 연결된 이미지 수입니다.
아카이브 요약
2D치과의원의 네이버 블로그 원문을 보존한 아카이브 페이지입니다. 투디_정보 카테고리의 덧니치아 앞니교정 4개월 교정 완료! by. 투디치과(2D치과) 글을 통해 병원의 한국어 정보 제공 방식과 진료 관련 안내 톤을 확인할 수 있습니다.
원문 검증
필요하면 원문 블로그와 병원 프로필로 바로 이동해 문맥을 다시 확인할 수 있습니다.
출처 아카이브 열기
덧니 치아 앞니교정 4개월 교정 완료! by. 투디치과(2D치과)
안녕하세요 여러분!
이번에 2D치과(투디치과)에서 들고 온 교정 케이스는
덧니 앞니 부분교정 case에요.

덧니 치아 앞니교정 4개월 교정 완료! by. 투디치과(2D치과)
이번 환자분께서는
교정을 하고 싶은데
어린아이를 키우고 있는 상황이라
교정 기간이 길어지면 조금 부담스럽더라고요.
단기간에 끝낼 수 있을까요?
라고 말씀하시며 방문해 주셨어요.

덧니 치아 앞니교정 4개월 교정 완료! by. 투디치과(2D치과)
일반적으로 덧니 교정을 생각하면
원장님들이 딱 떠올리는 건 High Canine일꺼에요.
High Canine란?
흔히 볼 수 있는 케이스인 송곳니가 위쪽으로
뾰족하게 난 치아를 이야기해요.
보통 덧니가 심할 경우에는 전체 교정이 필요합니다.
하지만 이번 환자분께서는 송곳니의 문제가 아니라
측절치의 문제이기 때문에 부분 앞니교정으로도
충분히 가능한 케이스에요.


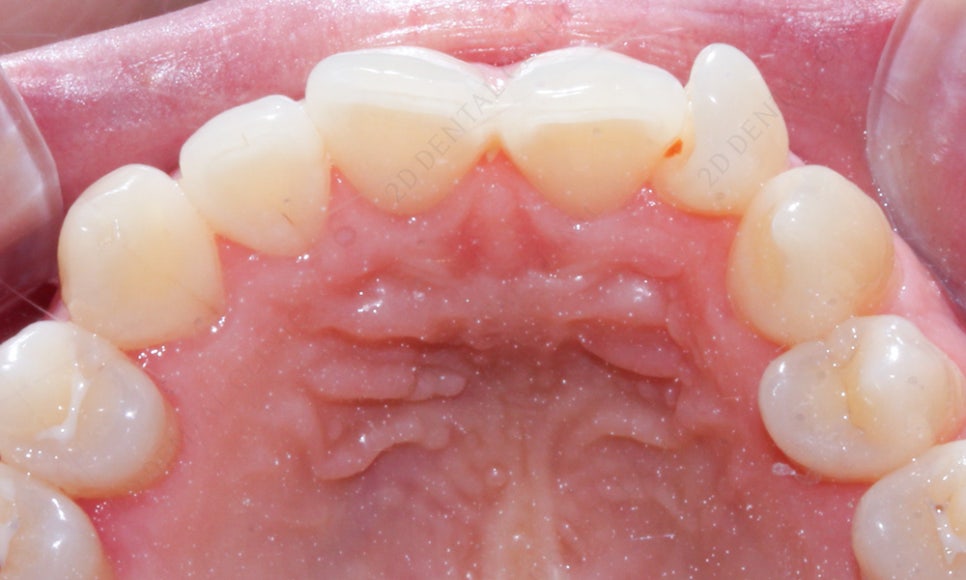
덧니 치아 앞니교정 4개월 교정 완료! by. 투디치과(2D치과)
이렇게 앞니 옆에 치아가 돌아간 것은
측절치로 인한 상대적으로 덧니로 보이는 거기 때문에
앞니교정 or 투명교정으로도 효과가 좋습니다-:D
이런 교정 같은 경우에는 전체 교정에 비해
단기간(6개월 정도)에 교정이 완료됩니다.
(환자분마다 조금의 차이는 있어요!)


덧니 치아 앞니교정 4개월 교정 완료! by. 투디치과(2D치과)
환자분의 치아를 진단한 결과
/90도 회전 측절치 개선
/전치부 배열을 위한 앞니교정
[교정 예상 기간 6개월 전/후]
환자분은 치아교정 기간이 길어질까 봐
걱정하셨는데 다행히도 단 기간에 끝날 수 있는
앞니교정으로 바로 시작했어요.

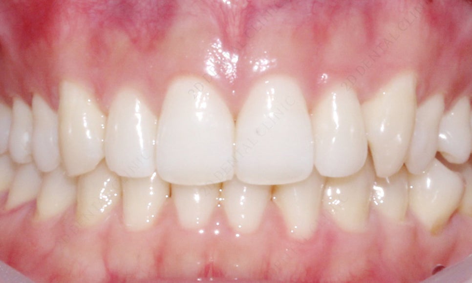
덧니 치아 앞니교정 4개월 교정 완료! by. 투디치과(2D치과)
2D치과(투디치과) 앞니교정 기간 [4개월 소요]
회전이 되어있던 측절치가 제자리로
개선이 완료 되었어요.
환자분께서 신경이 쓰이셨던
덧니 같은 느낌의 치아도 사라지고 자신 있게
웃을 수 있다며 많이 좋아하셨답니다



덧니 치아 앞니교정 4개월 교정 완료! by. 투디치과(2D치과)
2D치과(투디치과)에서 4개월이라는 짧은 기간
동안에 예쁜 치아가 완성이 되어서
저희 또한 매우 뿌듯한 케이스였답니다.
감사합니다.