아카이브 요약
이 페이지의 역할
2D치과의원의 네이버 블로그 원문을 보존한 아카이브 페이지입니다. 치아교정 카테고리의 [돌출입 무턱] 안모교정 진행중! by.투디치과(투디치과)전체교정 글을 통해 병원의 한국어 정보 제공 방식과 진료 관련 안내 톤을 확인할 수 있습니다.
원문 검증
필요하면 원문 블로그와 병원 프로필로 바로 이동해 문맥을 다시 확인할 수 있습니다.
출처 아카이브 열기아카이브된 블로그 글
치과의원 · ✅ 앞니에 대한 장인정신. Since 2016. 2D치과 ✅
[돌출입 무턱] 안모교정 진행중! by.투디치과(투디치과)전체교정 안녕하세요 여러분! 오늘은 저희 치과에서 진행한 안모교정 케이스를 소개해 드릴까 해요. 안모교정이란? 자신의 얼굴형에 가장 아름답고 이상적인 비율을 찾아 얼굴형과 치아가 조화롭게 교정되는 것을 말해요. 환자분 전 이미지 투디치과...
게시일
2019년 11월 20일
원문 기준으로 확인된 발행일입니다.
카테고리
치아교정
원문 블로그 카테고리를 정리해 함께 표시합니다.
이미지 수
12
현재 아카이브에 연결된 이미지 수입니다.
아카이브 요약
2D치과의원의 네이버 블로그 원문을 보존한 아카이브 페이지입니다. 치아교정 카테고리의 [돌출입 무턱] 안모교정 진행중! by.투디치과(투디치과)전체교정 글을 통해 병원의 한국어 정보 제공 방식과 진료 관련 안내 톤을 확인할 수 있습니다.
원문 검증
필요하면 원문 블로그와 병원 프로필로 바로 이동해 문맥을 다시 확인할 수 있습니다.
출처 아카이브 열기![[돌출입 무턱] 안모교정 진행중! by.투디치과(투디치과)전체교정 관련 이미지 1](https://pub-9f2bb3498faf4d1d8714b41df24753e3.r2.dev/content/clinics/archive/grb36g4zmx/naver_blog/dental2d/assets/by_hash/33b721951dd550d909a1d4cd89ac4895b2ea14f745c5166be2ff0fabd53a2be0.jpg)
[돌출입 무턱] 안모교정 진행중! by.투디치과(투디치과)전체교정
안녕하세요 여러분!
오늘은 저희 치과에서 진행한 안모교정
케이스를 소개해 드릴까 해요.
안모교정이란?
자신의 얼굴형에 가장 아름답고 이상적인 비율을 찾아
얼굴형과 치아가 조화롭게 교정되는 것을 말해요.
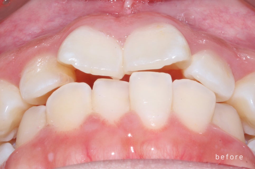
환자분 전 이미지
투디치과(투디치과)
![[돌출입 무턱] 안모교정 진행중! by.투디치과(투디치과)전체교정 관련 이미지 2](https://pub-9f2bb3498faf4d1d8714b41df24753e3.r2.dev/content/clinics/archive/grb36g4zmx/naver_blog/dental2d/assets/by_hash/973a791bc14addc0aebb76c6b11b88ee006efe81d6058bca8be5b11d4493e9f2.jpg)
![[돌출입 무턱] 안모교정 진행중! by.투디치과(투디치과)전체교정 관련 이미지 3](https://pub-9f2bb3498faf4d1d8714b41df24753e3.r2.dev/content/clinics/archive/grb36g4zmx/naver_blog/dental2d/assets/by_hash/1031dff22ed113026485b54a75e92a494a9023488b5d39ee1c9d7a37b6e0a89c.jpg)
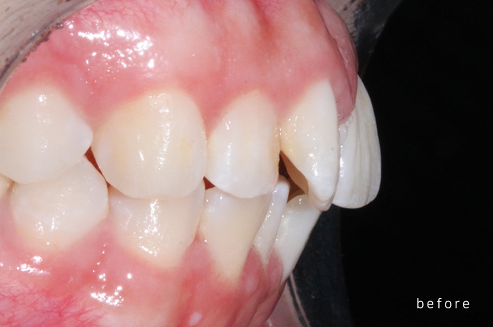
[돌출입 무턱] 안모교정 진행중! by.투디치과(투디치과)전체교정
옆모습을 보면 돌출입처럼
보이고 무턱인 거 같아요..
라며 환자분께서는 2D치과(투디치과)에
내원해 주셨어요. 자신의 돌출입과
무턱이 교정만으로 가능한지에 대해 궁금해
하셨답니다.
일반적으로 우리의 얼굴은 눈, 코, 입, 턱 등에 의해
결정되는 상대 요소들이에요.
그렇기 때문에 돌출입이라는 것만 보고 판단하면 안 되며
명확한 진단을 통해 원인을 파악하고
환자분께 알맞은 치료 계획을 추천드려야 합니다.
![[돌출입 무턱] 안모교정 진행중! by.투디치과(투디치과)전체교정 관련 이미지 4](https://pub-9f2bb3498faf4d1d8714b41df24753e3.r2.dev/content/clinics/archive/grb36g4zmx/naver_blog/dental2d/assets/by_hash/4d2083751772b0666351853f65a93b3e24ce5ff80557dcde22f7f8916cfd5362.jpg)
[돌출입 무턱] 안모교정 진행중! by.투디치과(투디치과)전체교정
이번 case는 치아교정만으로 이상적인 얼굴의 밸런스와
각도를 만들기 위해서 최대한 심미적인 효과를 극대화
할 수 있도록 안모교정 계획을 세웠어요.
![[돌출입 무턱] 안모교정 진행중! by.투디치과(투디치과)전체교정 관련 이미지 5](https://pub-9f2bb3498faf4d1d8714b41df24753e3.r2.dev/content/clinics/archive/grb36g4zmx/naver_blog/dental2d/assets/by_hash/e56db0bfa033e5cdfceacef6ac6145ce61ae2bcbb13df9cec08ebf030ede73da.jpg)
[돌출입 무턱] 안모교정 진행중! by.투디치과(투디치과)전체교정
환자분의 치아 상태를 살펴보면 하악의 성장이
미약한 경우인데 치아교정만으로 효과를 볼 수 있기
때문에 상악은 발치를 진행하고 하악
턱 끝의 전방 이동을 도모하였어요.
환자분 안모교정 진행 중.
투디치과(투디치과)
![[돌출입 무턱] 안모교정 진행중! by.투디치과(투디치과)전체교정 관련 이미지 6](https://pub-9f2bb3498faf4d1d8714b41df24753e3.r2.dev/content/clinics/archive/grb36g4zmx/naver_blog/dental2d/assets/by_hash/9f7e65b8a33bb7d0d3e8192d9a5577e1949be39bf29b9f7c98415fb58b2e0782.jpg)
![[돌출입 무턱] 안모교정 진행중! by.투디치과(투디치과)전체교정 관련 이미지 7](https://pub-9f2bb3498faf4d1d8714b41df24753e3.r2.dev/content/clinics/archive/grb36g4zmx/naver_blog/dental2d/assets/by_hash/b2ffaddd380c9f2dd50ba166c99cfd5b7a6a0c04572d91e2845ea9e35dd254f6.jpg)
![[돌출입 무턱] 안모교정 진행중! by.투디치과(투디치과)전체교정 관련 이미지 8](https://pub-9f2bb3498faf4d1d8714b41df24753e3.r2.dev/content/clinics/archive/grb36g4zmx/naver_blog/dental2d/assets/by_hash/b45e576b02d3828fcf0deb2be337cedd5fa6d16349cdbb144534a192f90879ac.jpg)
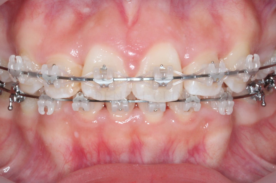
[돌출입 무턱] 안모교정 진행중! by.투디치과(투디치과)전체교정
환자분은 현재 전체교정으로 진행 중에 있어요.
교정한지 8개월 정도 지난 상태인데
돌출되어있는 앞니가 눈에 띄게 정상적으로
제자리를 찾아가고 있답니다.
안모교정 전/후 이미지
투디치과(투디치과)
![[돌출입 무턱] 안모교정 진행중! by.투디치과(투디치과)전체교정 관련 이미지 9](https://pub-9f2bb3498faf4d1d8714b41df24753e3.r2.dev/content/clinics/archive/grb36g4zmx/naver_blog/dental2d/assets/by_hash/f2cf058ab3caee75730121f0285fba6141632c784905a06d3b6459f2c0383687.jpg)
![[돌출입 무턱] 안모교정 진행중! by.투디치과(투디치과)전체교정 관련 이미지 10](https://pub-9f2bb3498faf4d1d8714b41df24753e3.r2.dev/content/clinics/archive/grb36g4zmx/naver_blog/dental2d/assets/by_hash/b49f578ef09ddc49dc7998a40872d68c0f54437baf478708792d2b9037d93d91.jpg)
[돌출입 무턱] 안모교정 진행중! by.투디치과(투디치과)전체교정
안모교정 전/후 이미지(2)
투디치과(투디치과)
![[돌출입 무턱] 안모교정 진행중! by.투디치과(투디치과)전체교정 관련 이미지 11](https://pub-9f2bb3498faf4d1d8714b41df24753e3.r2.dev/content/clinics/archive/grb36g4zmx/naver_blog/dental2d/assets/by_hash/973a791bc14addc0aebb76c6b11b88ee006efe81d6058bca8be5b11d4493e9f2.jpg)
![[돌출입 무턱] 안모교정 진행중! by.투디치과(투디치과)전체교정 관련 이미지 12](https://pub-9f2bb3498faf4d1d8714b41df24753e3.r2.dev/content/clinics/archive/grb36g4zmx/naver_blog/dental2d/assets/by_hash/935c485d0b3e506978811a48ea0c26e1e95ae586ef8a4f4f6888114f85fb231d.jpg)
[돌출입 무턱] 안모교정 진행중! by.투디치과(투디치과)전체교정
이번 case는 교정 기간이 1년 반 정도
소요될 예정이며 8개월이 지난 지금의 안모를
확인하면 심미적으로 크게 개선이 되었고
무턱이 아닌 턱 선이 살아있는 걸 보실 수 있어요.
남은 7개월 동안 환자분과 2D치과(투디치과)
원장 선생님들과 함께 교정이 잘 되었으면 합니다.
안모교정은
치아 돌출, 안면 비대칭, 주걱턱 무턱 증상인 경우에
원장님께서 직접 보시고 진단과 계획을 내려요.
치아 교정뿐만 아니라 자신의 콤플렉스였던
얼굴형도 심미적으로 개선이 될 수 있기 때문에
자신의 증상과 비슷하다 생각이 드신다면
추천드려요.