아카이브 요약
이 페이지의 역할
2D치과의원의 네이버 블로그 원문을 보존한 아카이브 페이지입니다. 투디_정보 카테고리의 김현진 연애의맛? 또 어디서 봤더라? 글을 통해 병원의 한국어 정보 제공 방식과 진료 관련 안내 톤을 확인할 수 있습니다.
원문 검증
필요하면 원문 블로그와 병원 프로필로 바로 이동해 문맥을 다시 확인할 수 있습니다.
출처 아카이브 열기아카이브된 블로그 글
치과의원 · ✅ 앞니에 대한 장인정신. Since 2016. 2D치과 ✅
#김현진, #투디치과, #무삭제라미네이트, #연애의맛, #연애의맛김현진, #세라필름, #윤정수, #연애의맛윤정수, #쎄라필름 연애의맛 김현진 안녕하세요 우디에요! 최근 인기리에 방영되고 있는 '연애의맛'에 저희 #투디치과 에서 진료받으신 '김현진'이 출연해 주셨더라구요~! 윤정수 님과의 열애를 공개적으로 공표하시고...
게시일
2019년 12월 20일
원문 기준으로 확인된 발행일입니다.
카테고리
투디_정보
원문 블로그 카테고리를 정리해 함께 표시합니다.
이미지 수
11
현재 아카이브에 연결된 이미지 수입니다.
아카이브 요약
2D치과의원의 네이버 블로그 원문을 보존한 아카이브 페이지입니다. 투디_정보 카테고리의 김현진 연애의맛? 또 어디서 봤더라? 글을 통해 병원의 한국어 정보 제공 방식과 진료 관련 안내 톤을 확인할 수 있습니다.
원문 검증
필요하면 원문 블로그와 병원 프로필로 바로 이동해 문맥을 다시 확인할 수 있습니다.
출처 아카이브 열기#김현진, #투디치과, #무삭제라미네이트, #연애의맛, #연애의맛김현진, #세라필름, #윤정수, #연애의맛윤정수, #쎄라필름

연애의맛 김현진
안녕하세요 우디에요!
최근 인기리에 방영되고 있는
'연애의맛'에 저희 #투디치과 에서 진료받으신
'김현진'이 출연해 주셨더라구요~!
윤정수 님과의 열애를 공개적으로 공표하시고
무려 국민 MC 유재석을 실시간 검색어
2위로 밀어버렸네 〃´-`〃
김현진 님은
서울대 의류학과를 졸업하신 브레인 이세요!
현재는 변리사를 준비하고 계시다는데
워낙 똑똑하신 분이라 금방 합격하실 것 같네요!
치과에서 진료를 받아서 그러신지
저는 김현진 님의 아름다운 치아만
눈에 들어오더라구요
(직업병 :-))
#김현진님의 아름다운 치아는
#투디치과의 #세라필름으로 완성되었어요!
요즘 우리 2D치과(투디치과)에서 쎄라필름에 대한
상담문의가 폭발적으로 들어오고 있어요.
그래서 궁금증을 조금이나마 해소해드리기 위해서
직!접! 보고 느낀 점을 얘기해 드리려구 해요〃´-`〃
"수작업으로 쎄라필름을 작업하시는 기공사님"
일반적으로 무삭제 라미네이트(쎄라필름)은
주변 추천을 통해서 오셨다는 분들이 70%이상이에요.
무삭제를 하기 위해서는 매우 얇은 치아 팁이 필요해요.
그래서0.1mm의 최소 두께로 얇게 만들어야되기 때문에
기계는절.대할 수없는 작업이에요
그래서 기계가 아닌 전문 기공사님이
직접 수작으로 제작을 해야돼요.
그래야 더욱 자신의 치아의 색상, 모양, 질감
모든 면에서 만족도를 높일 수 있어요.
이렇게 특별한 진료이니만큼 2D치과(투디치과)에서
"무삭제 쎄라필름" 진료명칭이 생겨났어요:D


사진 설명을 입력하세요.
무삭제 라미네이트가 정말 있을까? 하는
고민 다들 하실꺼에요:D
무삭제 쎄라필름에 대해 상담 오시는 대부분의 환자분께서
가장 많이하는 질문 중 하나가
정말 무삭제가 맞나요?
출처 입력
라는 질문을 가장 많이하세요.
제가 무삭제 쎄라필름을 수작업으로 만들어 주시는
기공사님도 만나 제작되는 과정, 치료를 하는것을
직접 본 결과 무삭제가 맞아요:D

사진 설명을 입력하세요.
2D치과(투디치과)에 처음 근무했을때,
무삭제 쎄라필름을 알기 위해서 직접 기공소에 방문해서
많은 정보를 듣고 보고 배웠었어요´ω`
기공소를 방문해 쎄라필름이 어떻게 제작이
되는지 직접 보니,수작업으로 치아의 색상, 모양, 질감등
섬세하게 작업을 하시더라구요.
일반 라미네이트가 따라 잡을 수 없는 섬세한 디테일까지
하나하나 잡아서 작업을 해주시는 것을 보니
수작업으로 치아 팁을 제작하는 건
"엄청나게 큰 차이구나.."
라는것을 느꼈어요..!
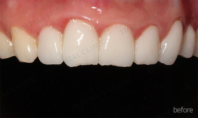
개선 된 점 :
깨진 앞니 보정, 잇몸라인 정리, 치아미백


쎄라필름 전/후, 깨진앞니
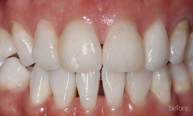
개선 된 점 :
치아 사이의 공간(브랙 트라이앵글) 정리, 치아 미백


쎄라필름 전/후, 블랙 트라이앵글 앞니
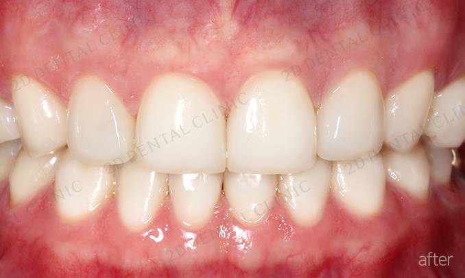
개선 된 점 :
벌어진 앞니 보정, 치아 미백


쎄라필름 전/후, 벌어진 앞니
쎄라필름 전/후, 벌어진 앞니
위의 전,후 사진들 처럼, 무삭제 쎄라필름은
최소 두께 0.1mm의 치아 팁접착으로
다른 치아와 매우 어우러지며 개선되었다는 점을
알 수 있어요:)
자신이 가진 콤플렉스와 심미성을
한번에 잡을 수 있어서 무삭제 쎄라필름의
인기가 더욱 많아지는 거 같은 생각이....

김현진
김현진씨는 2D치과(투디치과)에서 촬영을 하면서 직접
쎄라필름 진료를 했어요♡
김현진씨가 쎄라필름을 선택한 이유는
방송에서 앞니가 커서 균형이 안맞아보여요
무엇보다 미백으로도 빠지지않는 누런치아가 너무
스트레스를 받아요
방송에서 앞니가 커서 균형이 안맞아보여요
무엇보다 미백으로도 빠지지않는 누런치아가 너무
스트레스를 받아요
라고 말씀하셨어요:D
무삭제 쎄라필름은 깨진 앞니뿐만 아니라
심미적인 치아보정과 미백효과도 있기때문에
방속쪽에서 일하시는 분들은
심미적인 목적으로 많이 찾으세요.
그만큼 단시간에 자연스럽게 바뀌는 거에요!
쎄라필름을 고민하시는 환자분께서
이 글을 보시고 조금이나마 원하시는 정보가
있기를 바랍니다
그럼2만
2D치과의원
서울특별시 강남구 강남대로 470 808타워 8층