아카이브 요약
이 페이지의 역할
2D치과의원의 네이버 블로그 원문을 보존한 아카이브 페이지입니다. 치아교정 카테고리의 돌출입 탈출기! 덧니 교정도 문제없어! by.투디치과(2D치과) 글을 통해 병원의 한국어 정보 제공 방식과 진료 관련 안내 톤을 확인할 수 있습니다.
원문 검증
필요하면 원문 블로그와 병원 프로필로 바로 이동해 문맥을 다시 확인할 수 있습니다.
출처 아카이브 열기아카이브된 블로그 글
치과의원 · ✅ 앞니에 대한 장인정신. Since 2016. 2D치과 ✅
돌출입, 덧니치아 2D교정으로 완성! by.투디치과(2D치과) 안녕하세요! 이웃님덜 생각만해도 신나는 금요일이네요! 오늘은 오랜만에 교정소식을 가져왔어요. 교정을 고민하시는 많은 이유 중에서 튀어나온 돌출입과 덧니 때문에 고민이신 분들 많으실 텐데요~ 이번 환자분도 돌출입과 덧니로 큰 걱정을 하셨다고 합니다...
게시일
2020년 1월 31일
원문 기준으로 확인된 발행일입니다.
카테고리
치아교정
원문 블로그 카테고리를 정리해 함께 표시합니다.
이미지 수
13
현재 아카이브에 연결된 이미지 수입니다.
아카이브 요약
2D치과의원의 네이버 블로그 원문을 보존한 아카이브 페이지입니다. 치아교정 카테고리의 돌출입 탈출기! 덧니 교정도 문제없어! by.투디치과(2D치과) 글을 통해 병원의 한국어 정보 제공 방식과 진료 관련 안내 톤을 확인할 수 있습니다.
원문 검증
필요하면 원문 블로그와 병원 프로필로 바로 이동해 문맥을 다시 확인할 수 있습니다.
출처 아카이브 열기
돌출입, 덧니치아 2D교정으로 완성! by.투디치과(2D치과)
안녕하세요! 이웃님덜
생각만해도 신나는 금요일이네요!
오늘은 오랜만에 교정소식을 가져왔어요.
교정을 고민하시는 많은 이유 중에서
튀어나온 돌출입과 덧니 때문에
고민이신 분들 많으실 텐데요~
이번 환자분도 돌출입과 덧니로
큰 걱정을 하셨다고 합니다..ㅠ
덧니교정 case


돌출입, 덧니치아 2D교정으로 완성! by.투디치과(2D치과)
덧니가 신경쓰여요...
웃을 때 너무 시선이 쏠리는데
방법이 없을까요?

2D치과(투디치과)에선 이러한
덧니로 교정을 고민하시는 분들께
개개인의 치아 상태에 따라
치료계획을 세워 진행합니다.
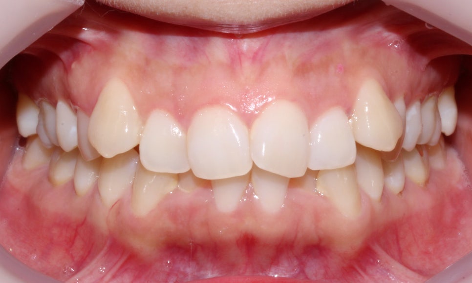
돌출입, 덧니교정 2D교정으로 진행 (전 사진)


돌출입, 덧니치아 2D교정으로 완성! by.투디치과(2D치과)
교정 중 크게 티가 나지 않는 것을 원하셔서
치아 상태를 살피고 적당한 치료방법이 있는지
정밀 진단을 진행했습니다.


상악과 하악의 교합면이 고르지 못하고
덧니로 인해 치열에 총생이 생겨
심미적으로 좋지 못한 상태입니다.

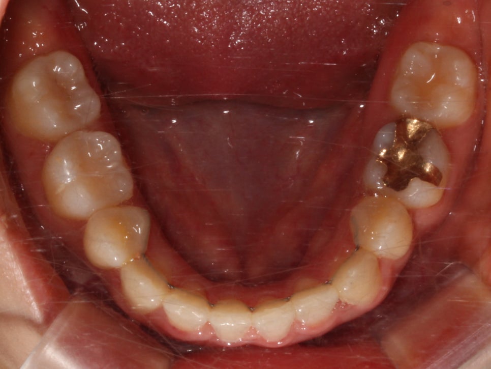
하악의 경우 덧니로 인해 치아 사이의 공간이
매우 좁아 전치부의 치아가
삐뚤빼뚤해 보이기까지 합니다.
원하시는 교정 방향이
장치가 겉으로 드러나지 않기를 희망하셔서
치아 안쪽, 설측으로 교정을 진행하는
2D교정(안보이는 교정장치)로
결정했습니다.
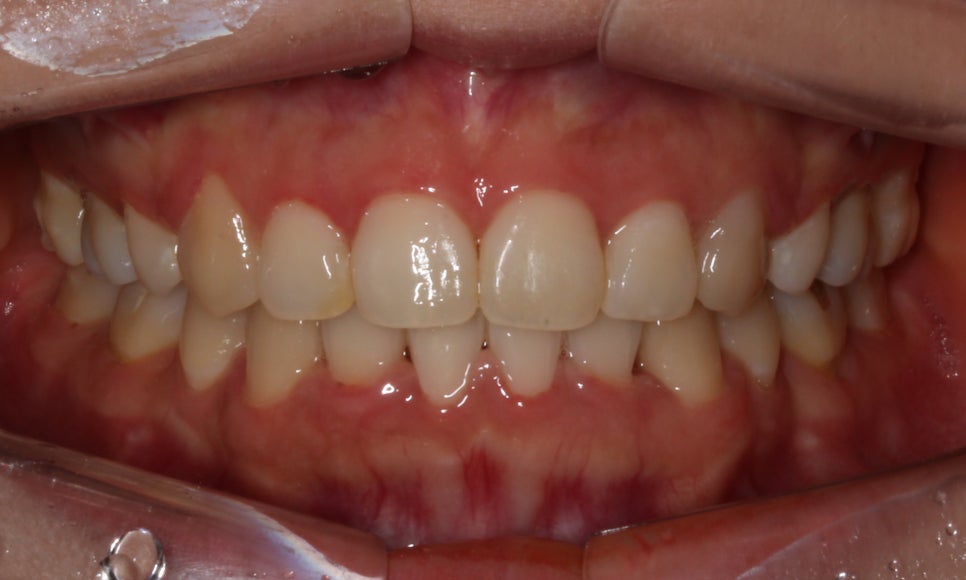
돌출입, 덧니교정 후 사진


돌출입, 덧니치아 2D교정으로 완성! by.투디치과(2D치과)
<14개월 교정이 끝난 후 모습>
교정이 끝난 모습입니다:-D
덧니교정일 경우에는 치아가 배열되면
겹쳐져 있던 치아가 제자리로 돌아오면서
블랙트라이앵글 (black triangle)이
생길 가능성이 높습니다.
이런 경우에는 사전에 상담을 통해
가능성을 공지받고 어떠한 방식으로
치료를 진행할 것인지 환자분과
상의 후 교정이 진행됩니다.


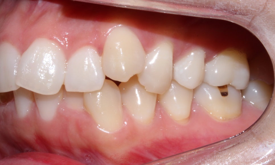
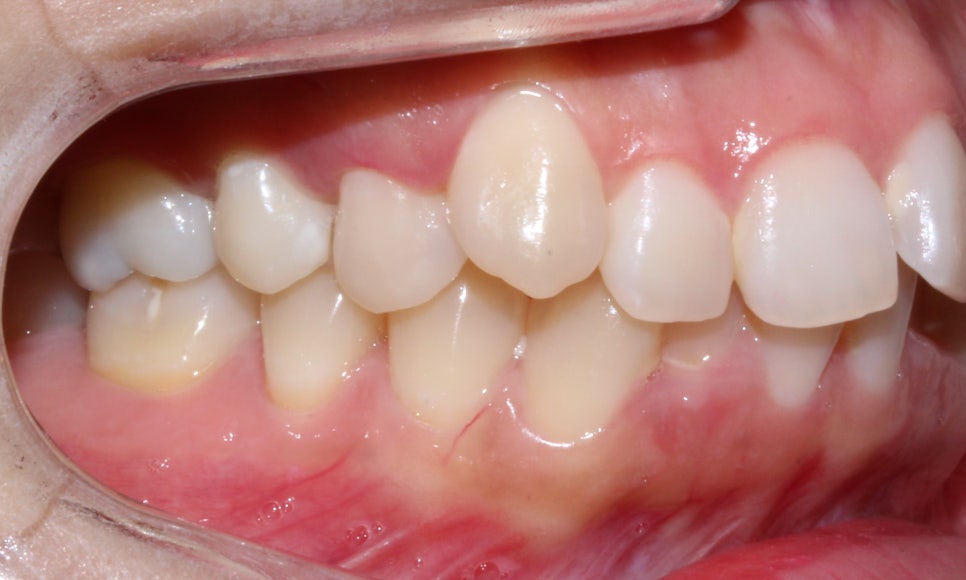
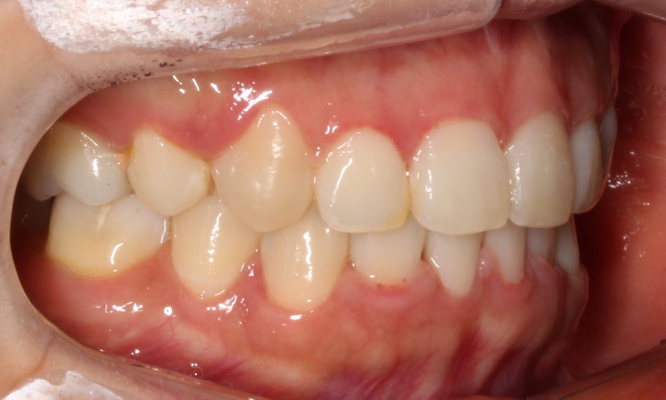
돌출입, 덧니치아 2D교정으로 완성! by.투디치과(2D치과)
총갱이 심했던 하악도 자연스럽게
교정이 잘 마쳐졌습니다.
이번 환자분의 경우처럼 덧니가
심할 경우에는 반드시 정밀한 진단과
상담을 통해 인접치 부근의
블랙트라이앵글 발생 가능성을
확인하는 것을 추천드리며
투디차과의 전문적인 심미보정
치료 과정을 통해
치아 사이의 블랙트라이앵글을
효과적으로 제거 할 수 있도록
계획을 세우는 것이 중요합니다.
예쁜 미소를 되찾으신 환자분!
이제 아름다운 미소를 맘껏 뽐내시기 바라요~~