아카이브 요약
이 페이지의 역할
2D치과의원의 네이버 블로그 원문을 보존한 아카이브 페이지입니다. 치아교정 카테고리의 나비치아교정! 15개월만에 빠른 교정 by.투디치과(2D치과) 글을 통해 병원의 한국어 정보 제공 방식과 진료 관련 안내 톤을 확인할 수 있습니다.
원문 검증
필요하면 원문 블로그와 병원 프로필로 바로 이동해 문맥을 다시 확인할 수 있습니다.
출처 아카이브 열기아카이브된 블로그 글
치과의원 · ✅ 앞니에 대한 장인정신. Since 2016. 2D치과 ✅
안녕하세요 :) 우디에요! 오늘은 교정후기 소식으로 돌아왔어요~ 많은 이웃님들께서 투디치과(2D치과)의 교정 후기 소식을 기다리고 계시다는 말을 듣고! 오랜만에 나비치아 교정Case로 찾아왔습니다. 오늘 소개해드릴 교정후기는 나비치아 교정Case입니다! 나비치아에 대해 처음 들어보시는 분들도 계실텐데...
게시일
2020년 2월 3일
원문 기준으로 확인된 발행일입니다.
카테고리
치아교정
원문 블로그 카테고리를 정리해 함께 표시합니다.
이미지 수
14
현재 아카이브에 연결된 이미지 수입니다.
아카이브 요약
2D치과의원의 네이버 블로그 원문을 보존한 아카이브 페이지입니다. 치아교정 카테고리의 나비치아교정! 15개월만에 빠른 교정 by.투디치과(2D치과) 글을 통해 병원의 한국어 정보 제공 방식과 진료 관련 안내 톤을 확인할 수 있습니다.
원문 검증
필요하면 원문 블로그와 병원 프로필로 바로 이동해 문맥을 다시 확인할 수 있습니다.
출처 아카이브 열기
안녕하세요 :) 우디에요!
오늘은 교정후기 소식으로 돌아왔어요~
많은 이웃님들께서 투디치과(2D치과)의
교정 후기 소식을 기다리고 계시다는 말을 듣고!
오랜만에 나비치아 교정Case로 찾아왔습니다.
오늘 소개해드릴 교정후기는 나비치아 교정Case입니다!
나비치아에 대해 처음 들어보시는 분들도 계실텐데요
나비치아란?
앞니의 형태가 대칭적으로
뒤집혀 돌출된 치아를 말하며
앞니의 교합면이
V자 형태로 틀어진
상태를 말합니다.
교정치료를 받으시는 분들중에
상당 수가 나비치아 Case를 가지고 계신만큼
다양한 방법으로 치료할 수 있는데요
빠르고 쉽게 나비치아를
고치고 싶어하신다면
라미네이트, 쎄라필름(TheraFilm), 블링스(Blinx)
등의 심미치료를 진행하실 수 있습니다.
그러나 시간이 좀 걸리더라도
자연치아의 유실을 걱정하시거나
심미치료의 부작용이 걱정되시는 경우
교정치료를 진행하시는 것을 추천드립니다.
오늘 보여드릴 Case의 환자분 또한
자연치아의 유실을 걱정하셔서
비교적 시간이 걸리더라도 교정으로
나비치아를 치료하시길 원하셨어요.

나비치아교정! 15개월만에 빠른 교정 by.투디치과(2D치과)
빠르지 않아도 괜찮아요, 원래 치아를 최대한 살려주세요!
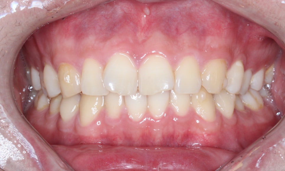
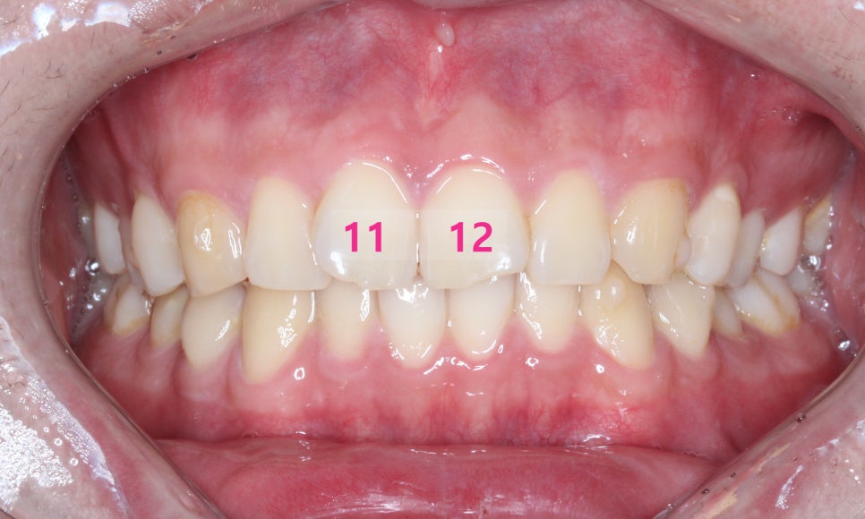
나비치아교정! 15개월만에 빠른 교정 (교정 전)
투디치과(2D치과)


나비치아교정! 15개월만에 빠른 교정 by.투디치과(2D치과)
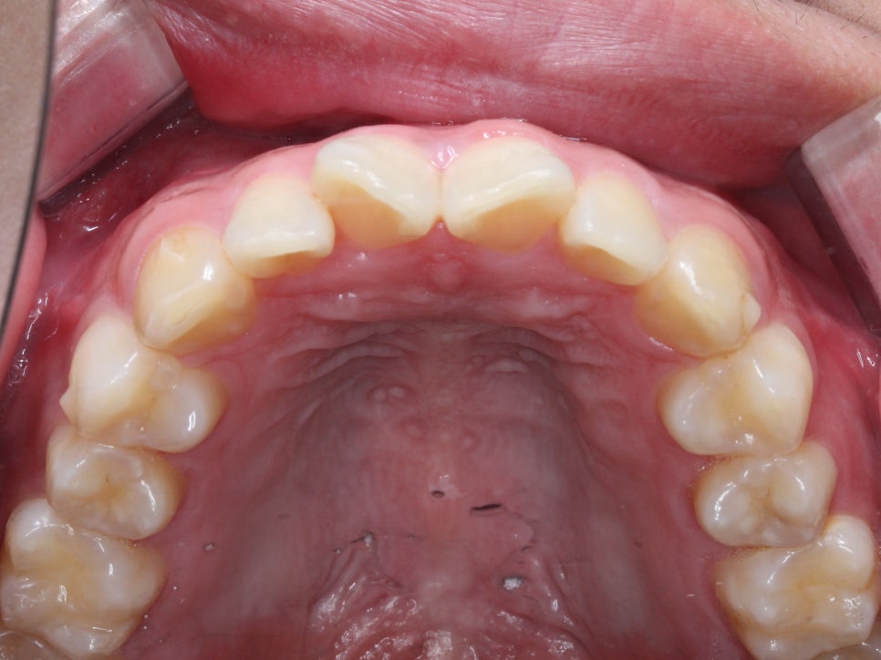
교정 전 사진을 보시면
앞니의 모양
특히 11, 12번 치아의 형태가
V자 모양으로 대칭적이게
틀어져 있는 모습입니다.

나비치아교정! 15개월만에 빠른 교정 by.투디치과(2D치과)
이렇게 나비치아의 형태로
치아가 틀어졌을 경우에는
앞니의 뒤집힌 공간 사이로
송곳니 등 주변의 치아들이
자리를 차지하려 앞쪽으로 밀리면서
치아의 크라우딩(총생)이
발생하는 경우가 많습니다.
따라서 치아의 틀어짐을 발견하셨다면
되도록 빠른 시일 내에 치과에 방문하셔서
교정 치료를 진행하셔야 합니다.
나비치아교정! 15개월만에 빠른 교정 (교정 전)
투디치과(2D치과)


나비치아교정! 15개월만에 빠른 교정 by.투디치과(2D치과)
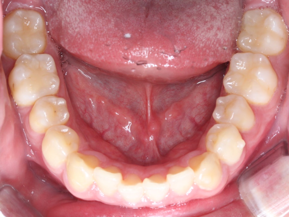
상악과 하악의 안쪽면 사진에서도
치아의 총생이 발견되었습니다.
상악의 경우 앞니의 나비치아 성향이 두드러지는 반면
하악의 경우에는 중절치의 미세한 돌출과
측절치의 이탈로 인해 총생이 발견되네요.
그럼 이번 나비치아Case 환자분의
교정 후 모습을 만나볼까요?
[Before] [After]


나비치아교정! 15개월만에 빠른 교정 by.투디치과(2D치과)
측면에서 보았을때 나비치아가
두드러져 보였던 교정 전과 달리
완만한 곡선의 형태로 앞니가 배열된
교정 후 모습입니다.
[Before] [After]


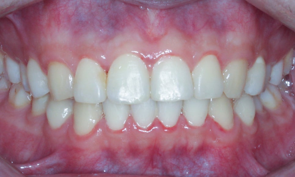
나비치아교정! 15개월만에 빠른 교정 by.투디치과(2D치과)
정면에서 보아도 확실히
교정 전과 달리 정돈된 모습이네요!

나비치아교정! 15개월만에 빠른 교정 by.투디치과(2D치과)
문제였던 11번, 12번 치아 역시
V자 형태가 아닌 부드러운 곡선을
띠게 되었습니다!
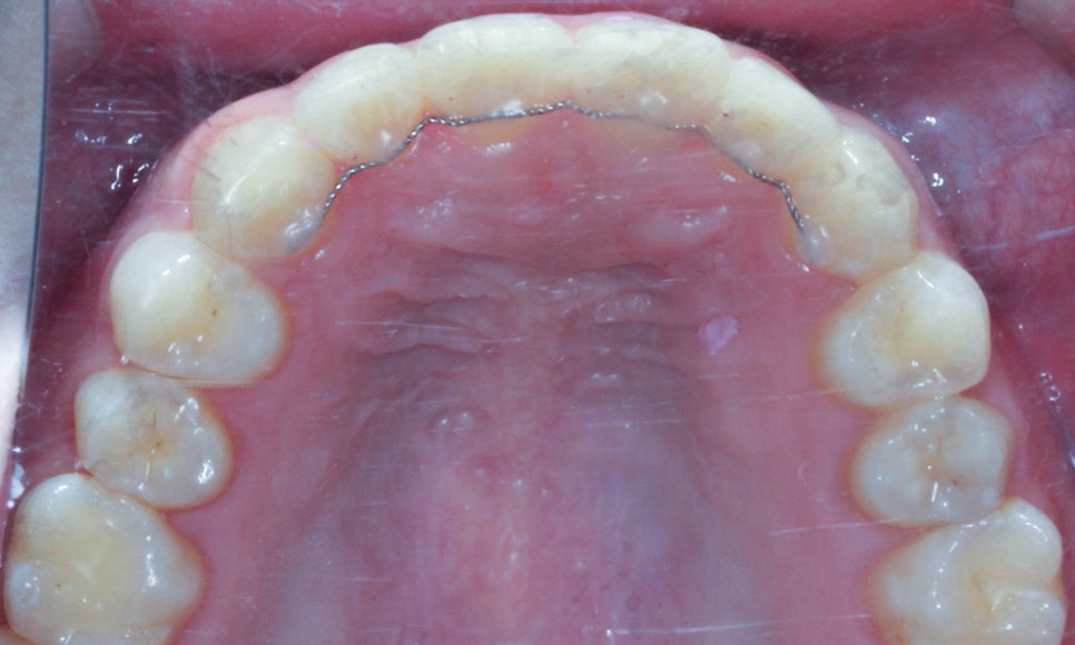
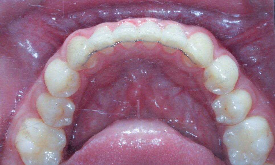
나비치아교정! 15개월만에 빠른 교정 (교정 후)
투디치과(2D치과)


나비치아교정! 15개월만에 빠른 교정 by.투디치과(2D치과)
상악과 하악의 안쪽면 역시
가지런하게 배열된 모습이네요
특히 치아 크라우딩이 발견되었던
하악의 전치부가 예쁘게 정돈된 모습이죠?
이번 환자분께서는 빠른 효과의 심미치료가 아닌
교정치료로 자연치아를 살리고 싶어하셨기에
약 15개월의 교정 기간이 소요되었습니다.
이 점 참고하시고 나비치아 교정의
고민이 있으신 분들은
자신이 원하는 방향에 따라
심미치료, 혹은 교정치료로
계획을 세우시는 것이 좋겠습니다.