아카이브 요약
이 페이지의 역할
2D치과의원의 네이버 블로그 원문을 보존한 아카이브 페이지입니다. 치아교정 카테고리의 나비치아교정, 부분 치아교정으로 하고 싶다면? by.투디치과(2D치과) 글을 통해 병원의 한국어 정보 제공 방식과 진료 관련 안내 톤을 확인할 수 있습니다.
원문 검증
필요하면 원문 블로그와 병원 프로필로 바로 이동해 문맥을 다시 확인할 수 있습니다.
출처 아카이브 열기아카이브된 블로그 글
치과의원 · ✅ 앞니에 대한 장인정신. Since 2016. 2D치과 ✅
안녕하세요! 즐거운 금요일 저녁에 인사드리는 투디치과 우디입니다:-> 이웃님들 오늘 하루 어떠셨나요? 퇴근 후 약속에 설레시진 않으신가요? 오늘은 오랜만에 치아 교정 후기를 가지고 왔습니다! 오늘 소개해드릴 교정 Case는 나비치아교정, 부분 치아교정 사례입니다. 앞니만 부분적으로 빠르게 교정할 수...
게시일
2020년 2월 7일
원문 기준으로 확인된 발행일입니다.
카테고리
치아교정
원문 블로그 카테고리를 정리해 함께 표시합니다.
이미지 수
15
현재 아카이브에 연결된 이미지 수입니다.
아카이브 요약
2D치과의원의 네이버 블로그 원문을 보존한 아카이브 페이지입니다. 치아교정 카테고리의 나비치아교정, 부분 치아교정으로 하고 싶다면? by.투디치과(2D치과) 글을 통해 병원의 한국어 정보 제공 방식과 진료 관련 안내 톤을 확인할 수 있습니다.
원문 검증
필요하면 원문 블로그와 병원 프로필로 바로 이동해 문맥을 다시 확인할 수 있습니다.
출처 아카이브 열기
안녕하세요!
즐거운 금요일 저녁에 인사드리는
투디치과 우디입니다:->
이웃님들 오늘 하루 어떠셨나요?
퇴근 후 약속에 설레시진 않으신가요?
오늘은 오랜만에
치아 교정 후기를 가지고 왔습니다!
오늘 소개해드릴 교정 Case는
나비치아교정, 부분 치아교정 사례입니다.
앞니만 부분적으로
빠르게 교정할 수 있을까요?
많은 분들이 교정치료 과정과 금액 때문에
섣불리 교정을 결정하시지 못하시는데요
이러한 환자분들을 위해
치아 전체가 아닌 일부만 교정하는
부분교정을 추천해드립니다.
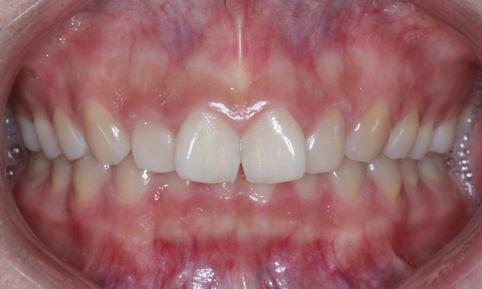
나비치아 부분교정 교정 전
투디치과(2D치과)


치아 교정 전 사진입니다.
앞니가 V자 형태로 대칭되게 틀어진
나비치아의 특징이 잘 보여지네요.
나비치아 부분교정 교정 전
투디치과(2D치과)


나비치아를 가지신 경우 정면에서
봤을 때 보다 반측면, 혹은 측면에서
바라봤을 때 치열의 틀어짐이 더 확연하게 드러납니다.
만약 자신의 치아가 나비치아인지 아닌지
잘 모르시겠다면 측면의 안모사진을
촬영해보시면 비교적 쉽게 파악하실 수 있을 것입니다.
나비치아 부분교정 교정 전
투디치과(2D치과)

상악의 설측면 치아 사진입니다.
V자로 확실하게 틀어진 모습이 보이시죠?
이번 환자분의 Case는
나비치아를 부분적으로 바로잡기 위해
부분교정으로 교정기간을 단축한 사례입니다.
이 점 참고하시고 치과 방문에 참고해 주시기 바랍니다.
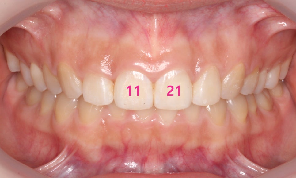
나비치아 부분교정 후
[Before] [After]


나비치아의 V자로 인해 생겼던
앞니의 틈이 바르게 채워진 모습입니다.
[Before] [After]


반측면 사진에서도 치아의 순측면에
요철이 없이 매끈하게 교정된 모습입니다.
[Before] [After]


안모의 순측면 사진에서도
11번, 21번 치아의
틀어짐이 많이 정돈된 느낌입니다.
[Before] [After]


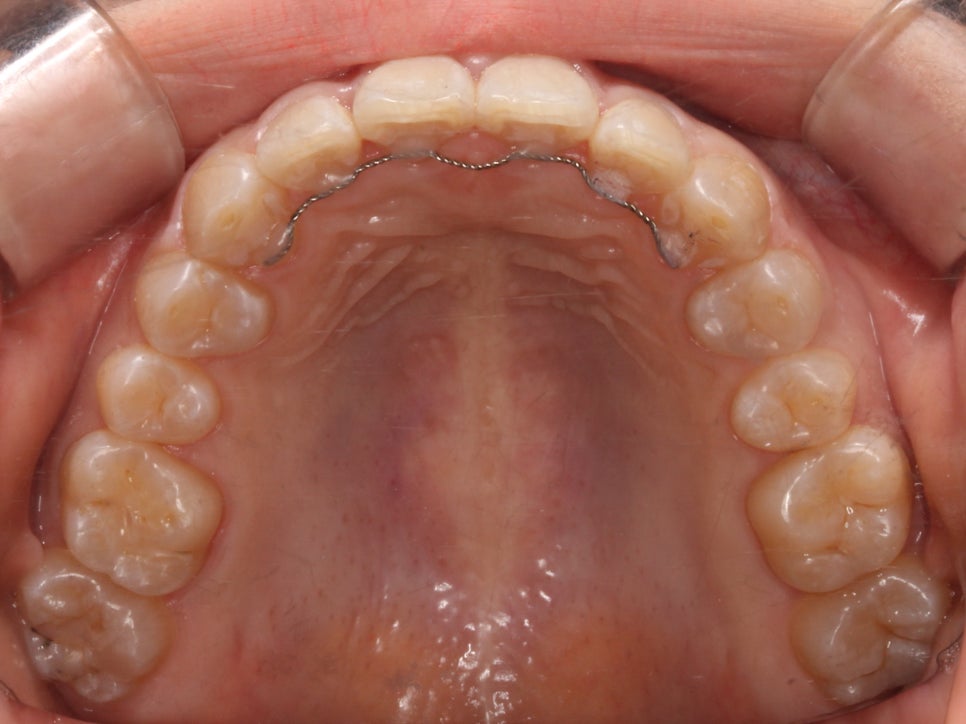
상악의 설측면 사진에서도
대칭적으로 틀어졌던 앞니가
완만하게 바뀐 모습입니다.
전체교정의 경우
치료과정 중 발치, 신경치료 등
비교적 고통이 수반되는 치료가
있을 수 있습니다.
그러나 부분교정을 하신다면
교정 기간 자체가 전체 교정보다 짧고
치료과정 중 고통도 적게 발생하는 편이라
빠르고 간단하게 교정을 희망하시는 분들이
많이 선호하시는 편입니다.
하지만 부분교정의 경우
단축된 교정치료 기간으로 인해
치료 종료 후 시간이 지나면서
치아의 변형이 일어날 가능성 또한
있습니다.
그렇기에 본인의 치아 상태와
조건에 따라서 어떤 치료 방식으로
교정을 진행하실 지 신중하게 결정하시는 것이 좋습니다.
