아카이브 요약
이 페이지의 역할
2D치과의원의 네이버 블로그 원문을 보존한 아카이브 페이지입니다. 치아교정 카테고리의 부정교합 치아교정, 전체교정으로 완성하기! by. 투디치과(2D치과) 글을 통해 병원의 한국어 정보 제공 방식과 진료 관련 안내 톤을 확인할 수 있습니다.
원문 검증
필요하면 원문 블로그와 병원 프로필로 바로 이동해 문맥을 다시 확인할 수 있습니다.
출처 아카이브 열기아카이브된 블로그 글
치과의원 · ✅ 앞니에 대한 장인정신. Since 2016. 2D치과 ✅
부정교합 치아교정, 전체교정으로 완성하기! by. 투디치과(2D치과) 안녕하세요? 교정후기로 돌아온 투디치과 우디입니다 : ) 미세먼지로 온종일 뿌연 하늘이 계속되었는데요ㅠ 코로나19에 이어 미세먼지까지 극성인 요즘 이웃님들께서도 마스크 착용 잊지마시고 꼭 하시기 바랍니다! 오늘은 오랜만에 치아교정 후기...
게시일
2020년 2월 13일
원문 기준으로 확인된 발행일입니다.
카테고리
치아교정
원문 블로그 카테고리를 정리해 함께 표시합니다.
이미지 수
13
현재 아카이브에 연결된 이미지 수입니다.
아카이브 요약
2D치과의원의 네이버 블로그 원문을 보존한 아카이브 페이지입니다. 치아교정 카테고리의 부정교합 치아교정, 전체교정으로 완성하기! by. 투디치과(2D치과) 글을 통해 병원의 한국어 정보 제공 방식과 진료 관련 안내 톤을 확인할 수 있습니다.
원문 검증
필요하면 원문 블로그와 병원 프로필로 바로 이동해 문맥을 다시 확인할 수 있습니다.
출처 아카이브 열기
부정교합 치아교정, 전체교정으로 완성하기! by. 투디치과(2D치과)
안녕하세요?
교정후기로 돌아온
투디치과 우디입니다 : )
미세먼지로 온종일
뿌연 하늘이 계속되었는데요ㅠ
코로나19에 이어 미세먼지까지 극성인 요즘
이웃님들께서도 마스크 착용
잊지마시고 꼭 하시기 바랍니다!
오늘은 오랜만에
치아교정 후기로 인사드리는데요.
오늘 소개해드릴 환자분은
부정교합으로 인해 치아가
완전히 다물어지지 않는 문제로
내원해주셨습니다.
앞니가 완전히 맞물리지 않아서
식사할 때 너무 불편해요
부정교합 치아교정, 전체교정으로 완성하기! by. 투디치과(2D치과)
부정교합으로 치과를 찾아주시는
환자분들이 가장 불편을 호소하는 것은
바로, 식사할 때 불편이 느껴진다는 것인데요.
이번 환자분 역시 완전히 맞물리지 않는 앞니 때문에
음식물을 섭취하실 때 불편하시다고 하셨습니다.
글로 설명하니 잘 와닿지 않으시죠?
어떠한 상태인지 사진으로 보시겠습니다.
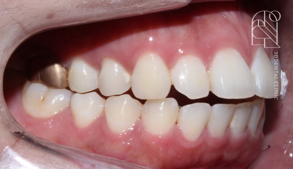
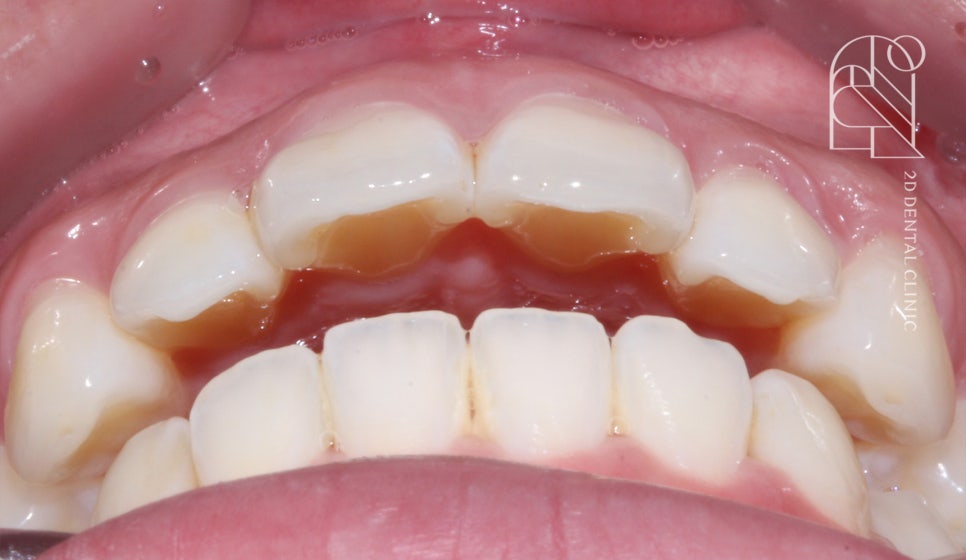
부정교합 전체교정 전
투디치과(2D치과)


부정교합 치아교정, 전체교정으로 완성하기! by. 투디치과(2D치과)
부정교합 전체교정 전 사진입니다.
위에서 설명드렸던 것 처럼
상악과 하악의 교합이 좋지 못하여
개폐 시 전치부가
벌어져 있는 모습입니다.
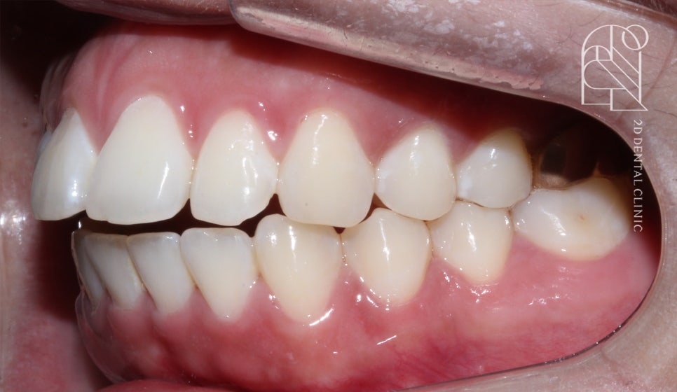
부정교합 전체교정 전
투디치과(2D치과)


부정교합 치아교정, 전체교정으로 완성하기! by. 투디치과(2D치과)
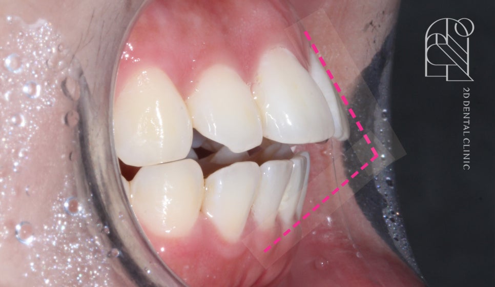
좌 우의 안모 사진에서도 완전히 다물어지지 않는 상태입니다.
이렇게 입을 다물었음에도 치아가 완전히
맞물리지 않고 일부가 열려있는 교합 상태를
'개방교합'이라고 하는데요,
'개방교합'이 발생하는 요인은
유전적인 원인보다는
환자분의 습관에서 비롯되는 경우가 많습니다.
많은 경우의 환자분들이
손가락 빨기, 혀 내밀기 등
구강건강에 악영향을 미치게 하는
습관들을 가지고 있기 때문에
후천적으로 발생하게 됩니다.
일반적인 교합 상태를 가진 Case와 비교해서
개방교합 환자분들의 경우에
음식을 절단하고 씹는 과정에서
문제가 발생하기 때문에
저작능력이 현저하게 떨어지게 됩니다.
따라서 입 안에서 제대로 분해되지 않은
음식물들이 소화기관에 부담을 주어
시간이 지남에 따라 만성 소화불량과 같은
소화장애에 영향을 주기도 합니다.
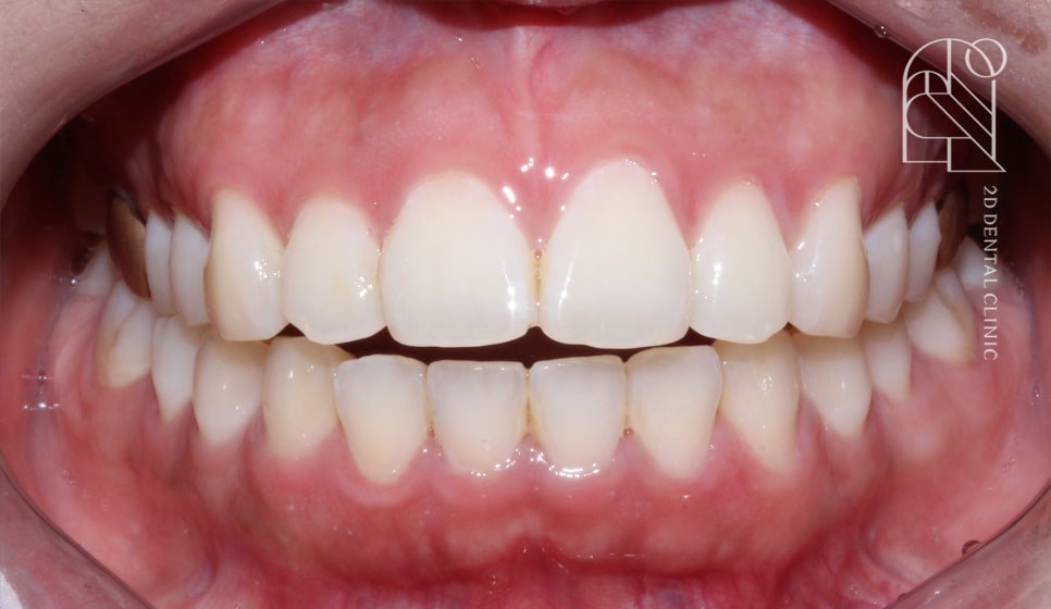
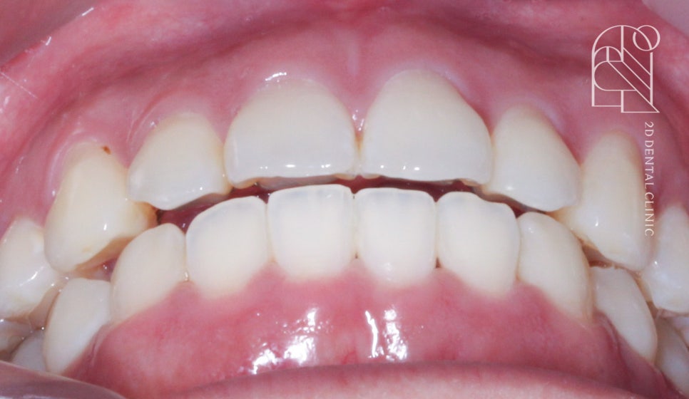
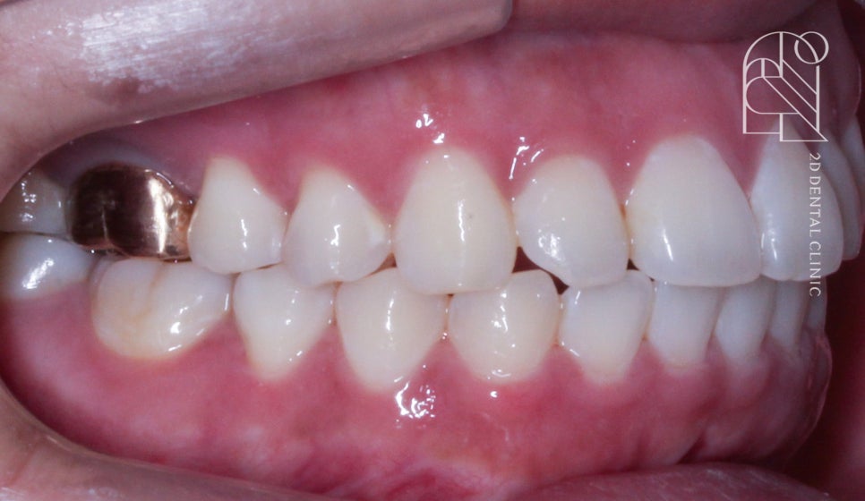
부정교합 전체교정 후
[Before] [After]


부정교합 치아교정, 전체교정으로 완성하기! by. 투디치과(2D치과)
벌어져있던 전치부의 교합이
완전히 맞물리도록 교정 된 모습입니다.
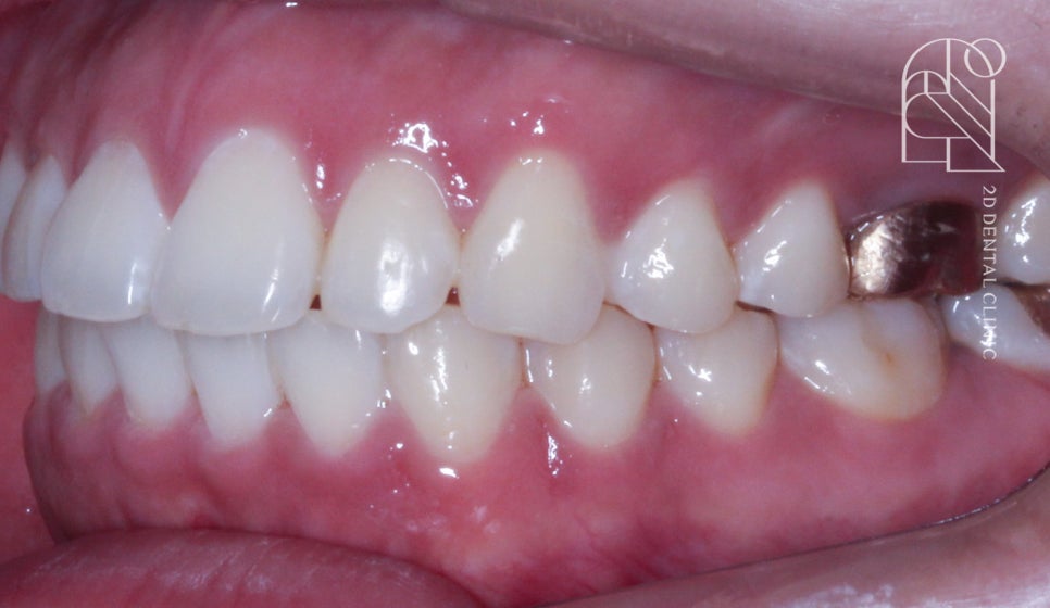
[Before] [After]


부정교합 치아교정, 전체교정으로 완성하기! by. 투디치과(2D치과)
아래쪽에서 본 치아의 교합 역시
상악 설측면이 보일 정도로 개방되었던
교정 전과 달리 바르게 맞물리게 된 모습이네요.
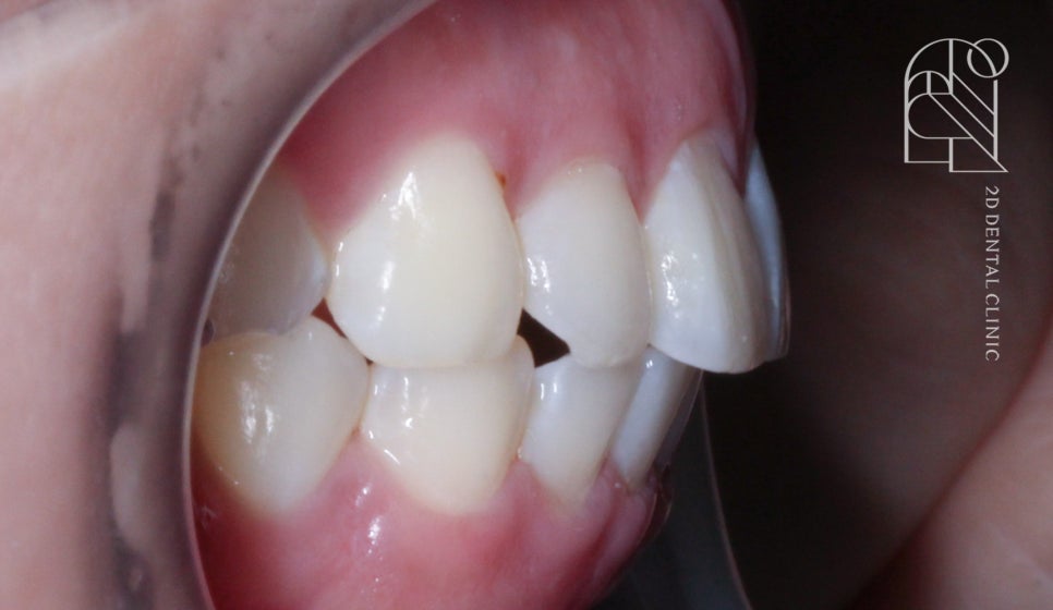
[Before] [After]


부정교합 치아교정, 전체교정으로 완성하기! by. 투디치과(2D치과)
측면에서 본 모습 또한
큰 각으로 열려있던 교정 전의 모습과 달리
완전히 다물어진 교정 후의 모습입니다.


부정교합 치아교정, 전체교정으로 완성하기! by. 투디치과(2D치과)
좌 우에서 본 치아 모습 역시
확연히 좋아진 모습입니다.
오늘은 부정교합 치아교정, 전체교정으로 완성하기
교정 후기를 만나보았는데요,
이번 Case의 환자분께서는
세라믹 전체교정으로 총 15개월의
교정기간이 소요되셨습니다.
이 점 참고하시어 포스팅을
읽어주시기 바랍니다.