아카이브 요약
이 페이지의 역할
2D치과의원의 네이버 블로그 원문을 보존한 아카이브 페이지입니다. 치아교정 카테고리의 덧니치아교정, 클리피씨 전체교정으로 완벽하게! by.투디치과(2D치과) 글을 통해 병원의 한국어 정보 제공 방식과 진료 관련 안내 톤을 확인할 수 있습니다.
원문 검증
필요하면 원문 블로그와 병원 프로필로 바로 이동해 문맥을 다시 확인할 수 있습니다.
출처 아카이브 열기아카이브된 블로그 글
치과의원 · ✅ 앞니에 대한 장인정신. Since 2016. 2D치과 ✅
덧니치아교정, 클리피씨 전체교정으로 완벽하게! by.투디치과(2D치과) 안녕하세요~~~ 정말 오랜만에 교정후기로 인사드리는 투디치과(2D치과) 우디입니다 : ) 갑자기 추워진 날씨에 정리했던 두꺼운 옷을 주섬주섬 꺼내 입으신 이웃님들 많으신가요..? 오늘 아침은 어제보다 더 추워서 정말 덜덜 떨면서 나왔어요...
게시일
2020년 2월 18일
원문 기준으로 확인된 발행일입니다.
카테고리
치아교정
원문 블로그 카테고리를 정리해 함께 표시합니다.
이미지 수
19
현재 아카이브에 연결된 이미지 수입니다.
아카이브 요약
2D치과의원의 네이버 블로그 원문을 보존한 아카이브 페이지입니다. 치아교정 카테고리의 덧니치아교정, 클리피씨 전체교정으로 완벽하게! by.투디치과(2D치과) 글을 통해 병원의 한국어 정보 제공 방식과 진료 관련 안내 톤을 확인할 수 있습니다.
원문 검증
필요하면 원문 블로그와 병원 프로필로 바로 이동해 문맥을 다시 확인할 수 있습니다.
출처 아카이브 열기
덧니치아교정, 클리피씨 전체교정으로 완벽하게! by.투디치과(2D치과)
안녕하세요~~~
정말 오랜만에 교정후기로 인사드리는
투디치과(2D치과) 우디입니다 : )
갑자기 추워진 날씨에
정리했던 두꺼운 옷을 주섬주섬
꺼내 입으신 이웃님들 많으신가요..?
오늘 아침은 어제보다 더 추워서
정말 덜덜 떨면서 나왔어요ㅠ
이웃님들도 꽃샘추위에 감기 걸리지 않도록
따뜻하게 입고 다니세요!
오늘 만나볼 교정후기 포스팅은
덧니치아 전체교정 Case입니다!
덧니도 위아래로 심하고
부정교합도 심해서 이상해요...
덧니치아교정, 클리피씨 전체교정으로 완벽하게! by.투디치과(2D치과)
덧니로 인해 치아에 부정교합까지
발생한 Case의 환자분입니다.
정밀진단 전 상담을 했을 때
덧니로 인한 총생이 심했던 상태라서
앞니의 반대교합이 발견되셨는데요,
이로 인해 일상생활에서
불편을 느끼는 것은 물론
치아를 드러내야하는 자리에서
마음 놓고 웃지도 못한다는
말씀을 해주셨습니다.
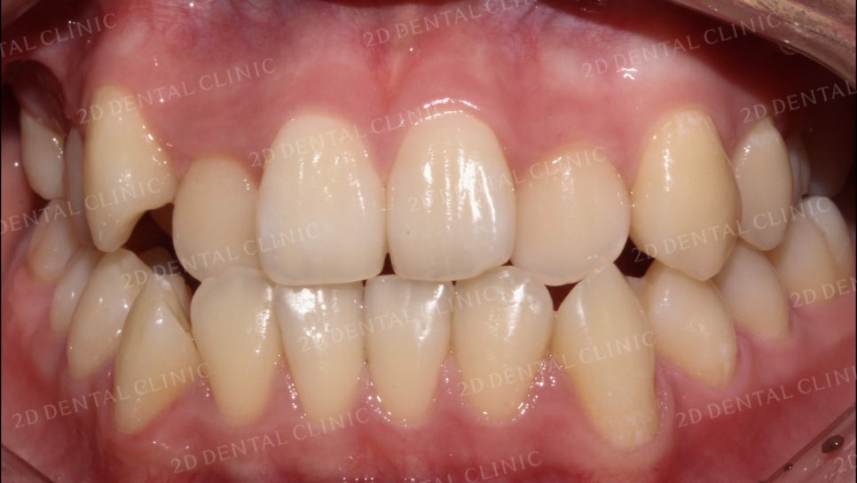
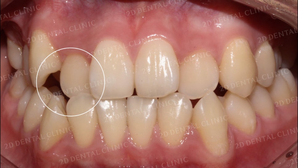
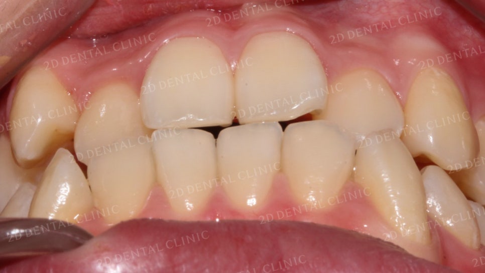
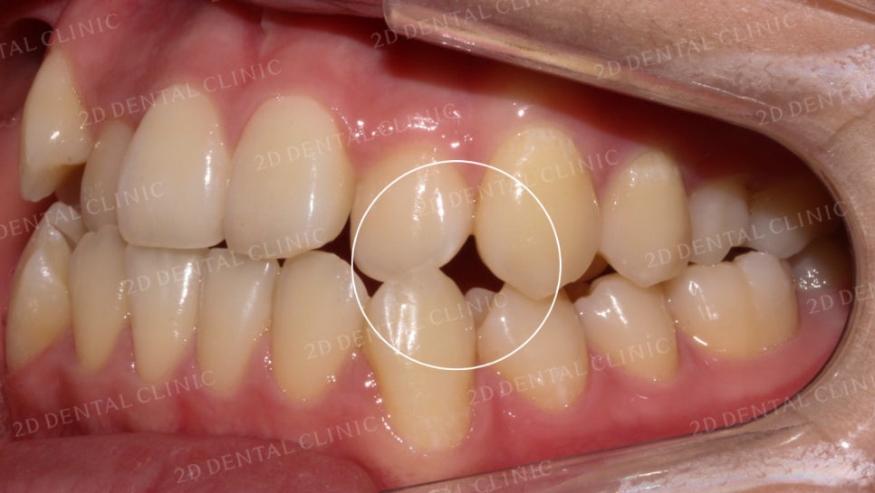
덧니치아 전체교정 전
투디치과(2D치과)


덧니치아교정, 클리피씨 전체교정으로 완벽하게! by.투디치과(2D치과)
덧니치아 전체교정 전 사진입니다.
상악의 전치부에서 심한 덧니와
부정교합이 발견되는데요,
덧니로 인해 상악과 하악의 교합이
반대로 물리는 '반대교합'
Case에 해당하는 환자분입니다.
덧니치아 전체교정 전
투디치과(2D치과)


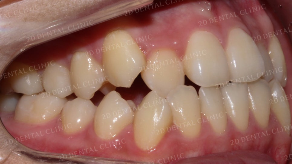
덧니치아교정, 클리피씨 전체교정으로 완벽하게! by.투디치과(2D치과)
좌우의 안모사진에서도 앞니가
완전히 하악의 뒤쪽으로 들어가
맞물리는 모습입니다.
덧니치아는 흔히
유아기에 유치를 적절한 시기에
탈락시키지 못해 영구치가
원래의 방향과 다른 위치로
맹출되어 발생하는 경우가 많은데요
이러한 덧니를 그냥 방치하게 된다면
초기에는 치아가 완전하게 자리잡지 않아
불편함을 크게 느끼지 못하겠지만
시간이 지남에 따라 영구치들이
모두 자리를 잡게 되면
제대로 된 치아의 역할을 하지못하는
경우가 많습니다.
치아의 위치에 따라 송곳니, 앞니 등
음식물을 씹거나 잘라낼 때
제 역할을 해야하는 데
이렇게 덧니로 맹출되게 된다면
주변의 정상적인 치아들에
부담이 가게 되겠죠.
따라서 덧니를 방치하신다면
정상적인 치아들도 틀어지면서
치아의 교합이 변하게 됩니다.
그러므로 만약 덧니가 있으시다면
치료시기를 놓쳐 더 큰 치료계획을
세우기 전에 치과에 방문하시어
정밀한 검진을 받는 것을 추천드립니다.
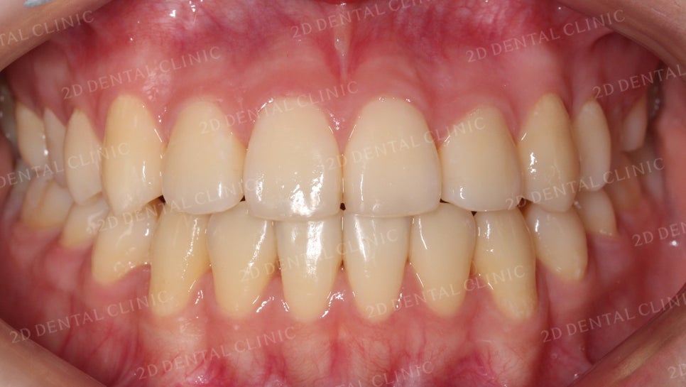
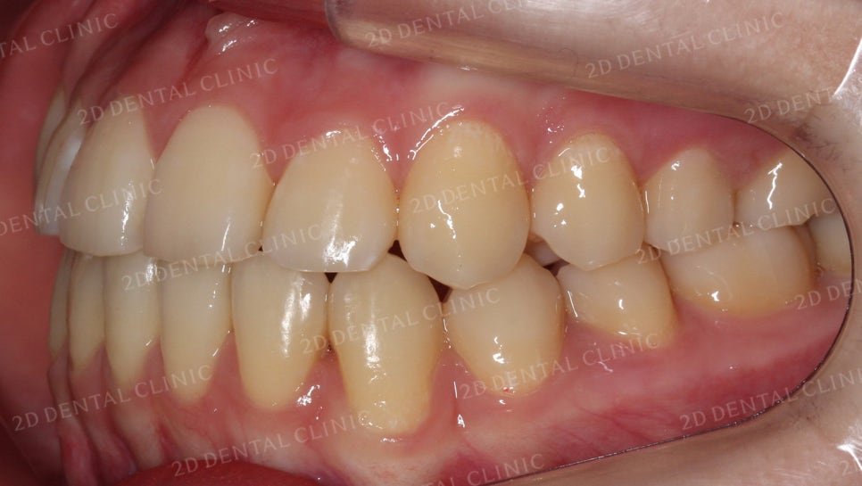
덧니치아 전체교정 후
[Before] [After]


덧니치아교정, 클리피씨 전체교정으로 완벽하게! by.투디치과(2D치과)
덧니로 인해 하악위 뒤쪽으로
맞물리던 전치부의 치아들이
제자리를 찾은 모습입니다.
[Before] [After]


덧니치아교정, 클리피씨 전체교정으로 완벽하게! by.투디치과(2D치과)
반대교합으로 물리던 교합면도
상악이 하악을 일정하게 덮는 형태로
고르게 교정되었네요!
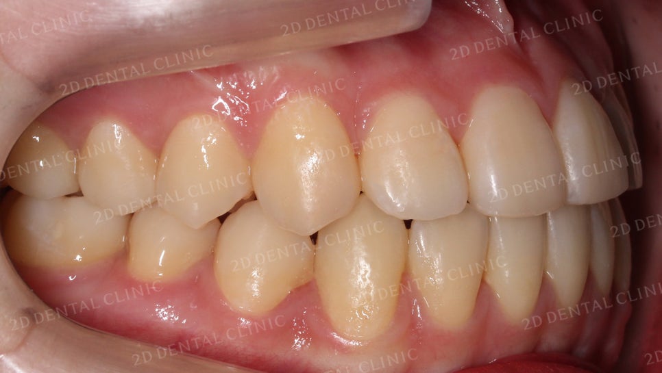
[Before] [After]


덧니치아교정, 클리피씨 전체교정으로 완벽하게! by.투디치과(2D치과)
측면에서 특히 반대교합이
잘 보이는 Case의 환자분이셨는데요,
약 15개월 간의 치료과정 후
정상적인 교합관계를 찾은 모습입니다.
[Before] [After]


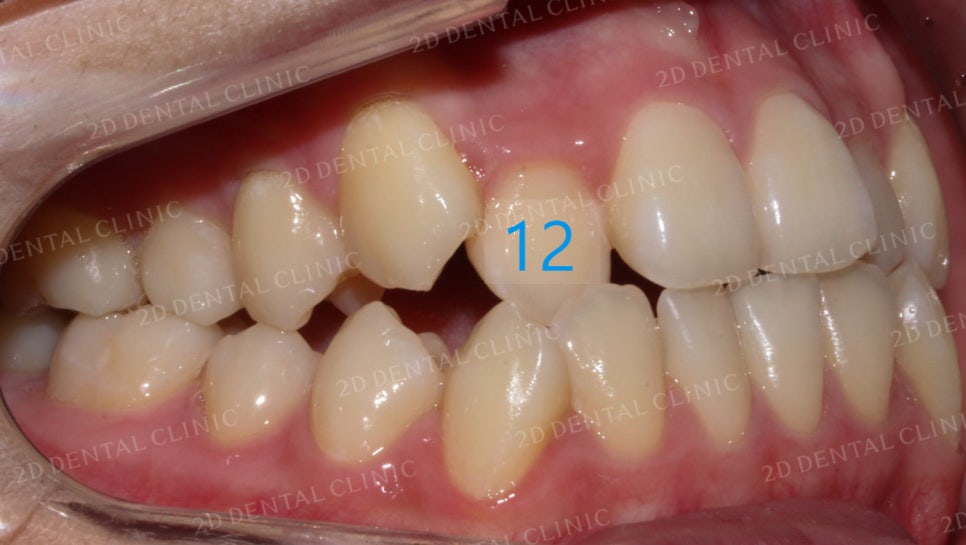
덧니치아교정, 클리피씨 전체교정으로 완벽하게! by.투디치과(2D치과)
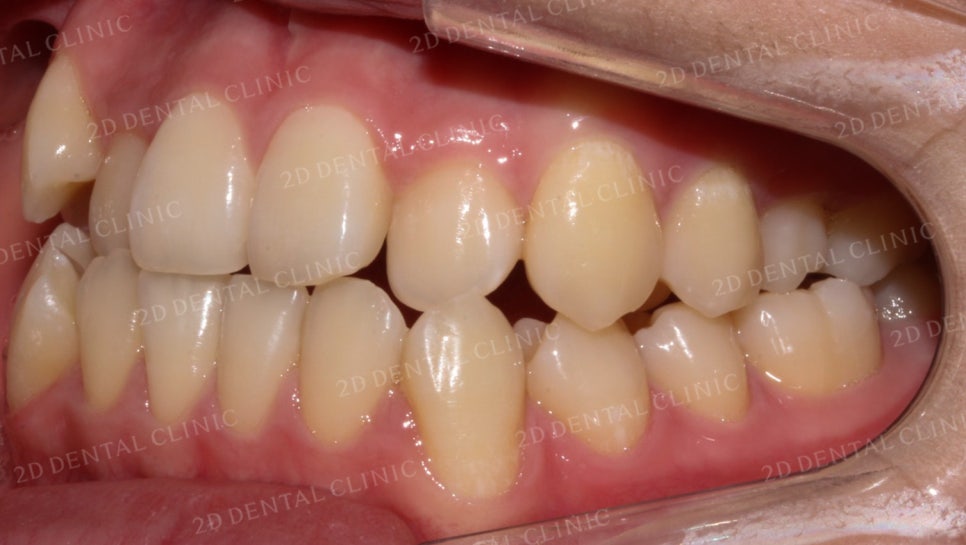
우측의 안모사진입니다.
유난히 심각했던 12번 치아의
반대 교합이 완변하게 자리를 찾은 모습이네요.
[Before] [After]


덧니치아교정, 클리피씨 전체교정으로 완벽하게! by.투디치과(2D치과)
좌측의 안모사진에서도
반대교합으로 인해 구멍이 생겼던
교정 전과 달리 올바른 교합 상태로
바뀐 모습입니다.
[Before] [After]


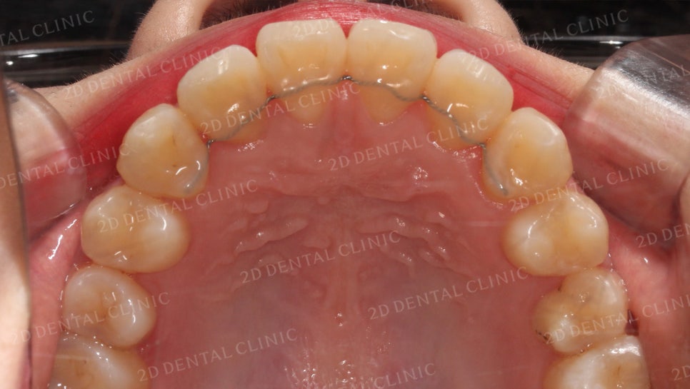
덧니치아교정, 클리피씨 전체교정으로 완벽하게! by.투디치과(2D치과)
상악의 설측면 사진입니다.
12번, 22번 치아가 설측면으로
빠져있는 것이 보이시나요?
교정 후에는 곡선의 형태로
가지런하게 배열되었습니다.
[Before] [After]


덧니치아교정, 클리피씨 전체교정으로 완벽하게! by.투디치과(2D치과)
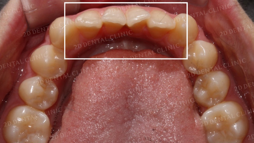
하악의 교합 역시
치열의 총생으로 인해
들쭉날쭉했던 배열이
가지런하게 변하면서
반대교합으로 물리던 하악도
바르게 자리잡았네요.
오늘은 덧니치아로 인한
반대교합 Case 환자분의
교정 후기를 소개해드렸습니다.
이번 환자분의 경우
치아의 전체적인 교합이
많이 좋지 않았고,
덧니치아의 잘못된 맹출로 인해
치아의 크라우딩도 심했기 때문에
약 15개월의 전체교정 계획을
수립했습니다.
이 점 유의하시고
포스팅을 읽어주시기 바랍니다.