아카이브 요약
이 페이지의 역할
2D치과의원의 네이버 블로그 원문을 보존한 아카이브 페이지입니다. 치아교정 카테고리의 비대칭 앞니, 돌출앞니를 전체 교정으로 교정하고 싶다면!? by.투디치과(2D치과) 글을 통해 병원의 한국어 정보 제공 방식과 진료 관련 안내 톤을 확인할 수 있습니다.
원문 검증
필요하면 원문 블로그와 병원 프로필로 바로 이동해 문맥을 다시 확인할 수 있습니다.
출처 아카이브 열기아카이브된 블로그 글
치과의원 · ✅ 앞니에 대한 장인정신. Since 2016. 2D치과 ✅
비대칭앞니, 돌출앞니를 전체교정으로 교정하고 싶다면!? by.투디치과(2D치과) 안녕하세요~! 오늘도 돌아온 우디 time! 교정 후기 포스팅으로 인사드리는 투디치과(2D치과) 우디입니다 : ) 오늘은 절기 상 얼어있던 대동강이 풀린다는 '우수'라고 하네요! 하지만 아직은 기온이 많이 낮아 조금 쌀쌀한...
게시일
2020년 2월 19일
원문 기준으로 확인된 발행일입니다.
카테고리
치아교정
원문 블로그 카테고리를 정리해 함께 표시합니다.
이미지 수
22
현재 아카이브에 연결된 이미지 수입니다.
아카이브 요약
2D치과의원의 네이버 블로그 원문을 보존한 아카이브 페이지입니다. 치아교정 카테고리의 비대칭 앞니, 돌출앞니를 전체 교정으로 교정하고 싶다면!? by.투디치과(2D치과) 글을 통해 병원의 한국어 정보 제공 방식과 진료 관련 안내 톤을 확인할 수 있습니다.
원문 검증
필요하면 원문 블로그와 병원 프로필로 바로 이동해 문맥을 다시 확인할 수 있습니다.
출처 아카이브 열기
비대칭앞니, 돌출앞니를 전체교정으로 교정하고 싶다면!? by.투디치과(2D치과)
안녕하세요~!
오늘도 돌아온 우디 time!
교정 후기 포스팅으로 인사드리는
투디치과(2D치과) 우디입니다 : )
오늘은 절기 상
얼어있던 대동강이 풀린다는
'우수'라고 하네요!
하지만 아직은
기온이 많이 낮아
조금 쌀쌀한 하루에요.
이웃님들도
빨리 봄을 만끽하고 싶으시겠지만
아직은 겨울의 매서움이 가시지 않았으니
따뜻한 차림으로 외출하시기 바랍니다!
오늘 준비한 포스팅은
비대칭 앞니와 돌출 성향이 있는
환자분의 치아 전체 교정 후기입니다.
앞니가 티 나게 비대칭이고
입이 돌출이라 걱정이에요ㅠ
비대칭앞니, 돌출앞니를 전체교정으로 교정하고 싶다면!? by.투디치과(2D치과)
라는 고민으로 내원해주셨는데요.
앞니의 비대칭이 심한 Case였기 때문에
우측의 앞니가 들떠서 교합되는 상태였습니다.
뿐만 아니라 상악 전치부가 전체적으로
앞으로 들리듯이 돌출되어 있는 상태라
그대로 두면 심각한 부정교합으로
악화될 수도 있었습니다.
환자분들이 교정치료를 위해
치과를 찾아오시는 상황 중 많은 수가
이미 치아가 크게 틀어진 뒤인 경우가 많습니다.
심미적으로 나쁘지 않거나
미세한 총생이 발견된다면
간단한 심미보철치료로
빠른 시간 안에 치아를
수복하시기를 희망하십니다.
물론, 빠르고 간단한 보정 효과를
원하신다면 심미보철치료도 충분히
괜찮은 치료방법입니다.
하지만 치아의 틀어짐을
근본적으로 바로잡기 위해서는
충분한 시간을 가지고
환자분의 상태에 적합한
교정치료 계획을 세워
단계적으로 치아를 바로잡아야 합니다.
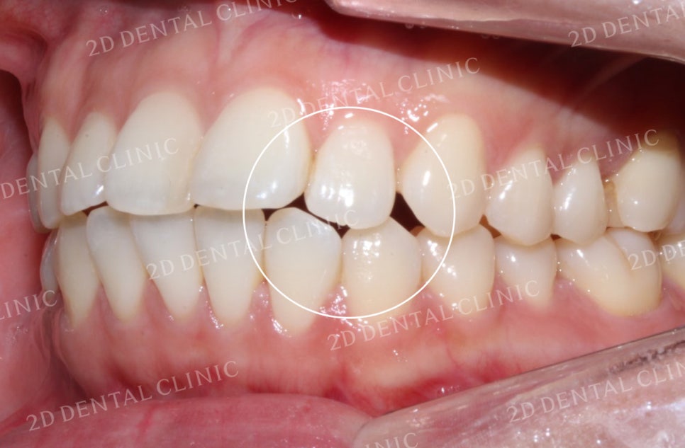
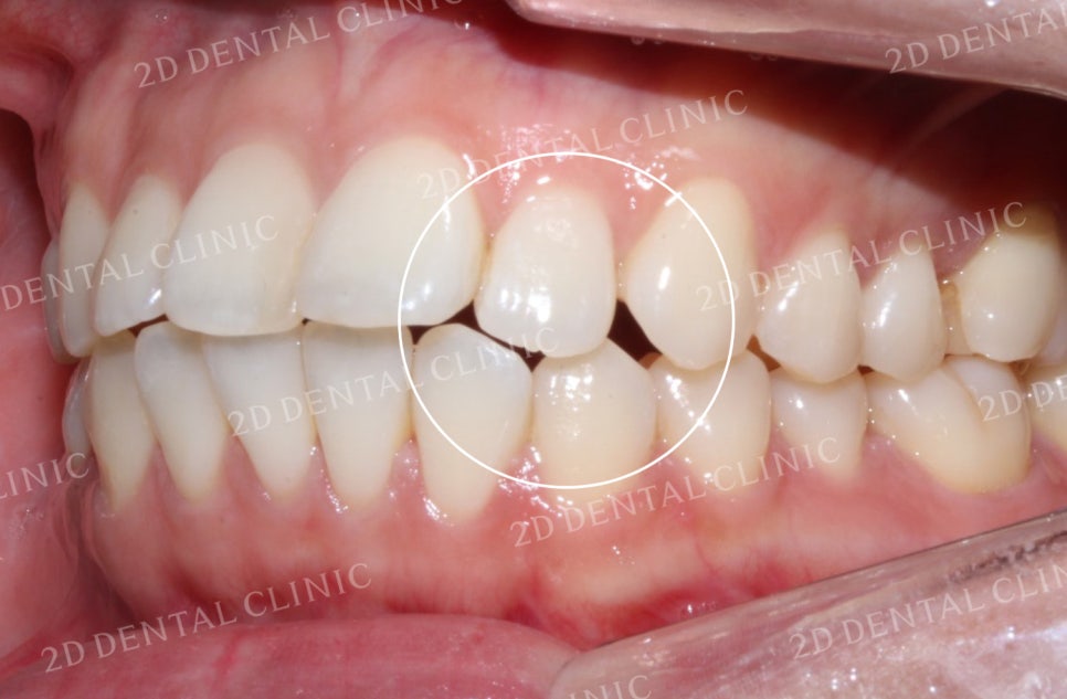
비대칭 돌출앞니 전체 교정 전
투디치과(2D치과)


비대칭앞니, 돌출앞니를 전체교정으로 교정하고 싶다면!? by.투디치과(2D치과)
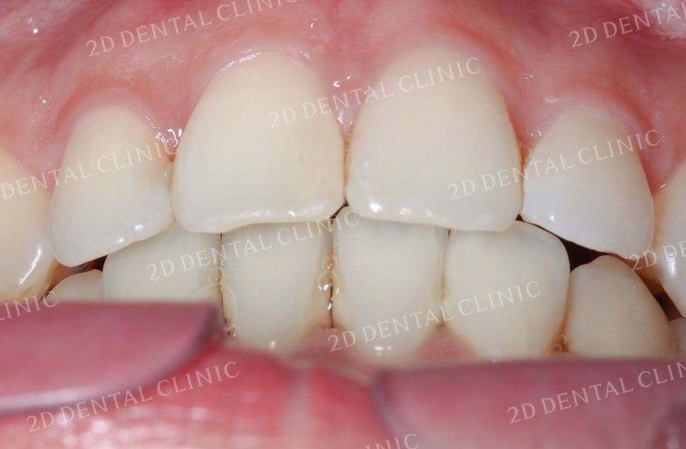
비대칭 돌출앞니 교정 전 사진입니다.
11번 치아보다 21번 치아가
순측면으로 들려있는 것이 확인됩니다.
전치부의 치아들이 전체적으로
돌출된 형태인데요,
하악의 경우 비좁은 공간으로 인해
앞니의 총생까지 발견되고 있습니다.
또한 상악과 하악의 교합이 좋지 않아
교합면이 들뜨고 벌어진 모습이네요.
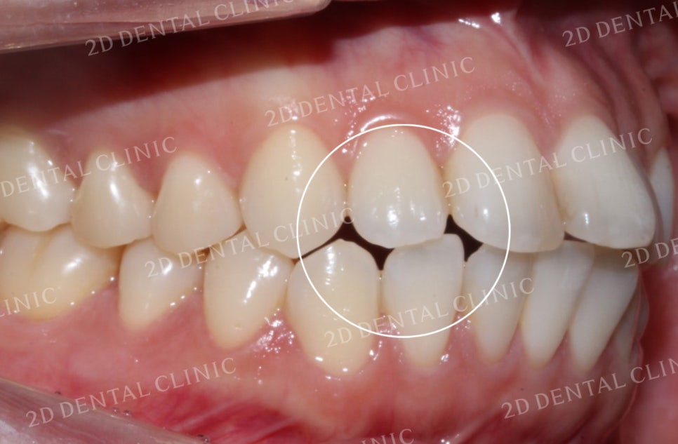
비대칭 돌출앞니 전체교정 전
투디치과(2D치과)


비대칭앞니, 돌출앞니를 전체교정으로 교정하고 싶다면!? by.투디치과(2D치과)
좌우의 안모 사진입니다.
표시된 부분에서 완전히 맞물리지 못한
치아 사이의 틈이 발견되고 있네요.
이러한 교합면 사이의 빈 공간은
음식물 섭취 시 불편을 유발하는 원인 중 하나입니다.
비대칭 돌출앞니 전체교정 전
투디치과(2D치과)


비대칭앞니, 돌출앞니를 전체교정으로 교정하고 싶다면!? by.투디치과(2D치과)
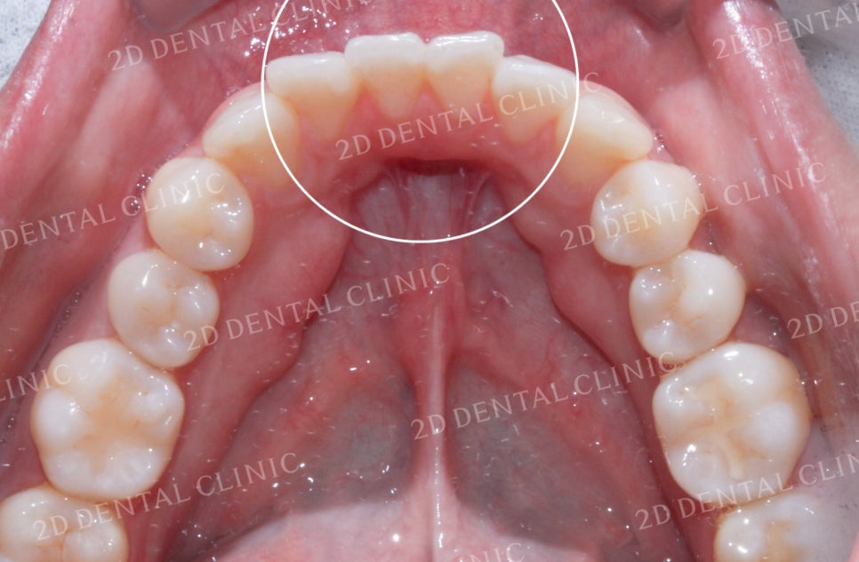
<하악 설측면 사진> <상악 설측면 사진>
상악과 하악의 설측면 사진입니다.
하악의 경우 전치부의 좁은 공간으로 인해
총생이 발견되는데요,
상악 역시 치아가 올바르게 배열되기에
충분한 공간이 확보되지 못한 상태입니다.
비대칭 돌출앞니 전체교정 전
투디치과(2D치과)

비대칭앞니, 돌출앞니를 전체교정으로 교정하고 싶다면!? by.투디치과(2D치과)
앞니의 돌출 정도가 심하지 않다고
느끼시는 분들도 계실 것 같아
측면의 안모 사진을 가져왔습니다.
이렇게 보시면 >(새 부리) 모양으로 치아가 확실히
앞쪽으로 돌출된 모습을 보실 수 있습니다.
환자분의 경우
앞니의 비대칭뿐만 아니라
전체적인 치아가 돌출된
상태셨기 때문에
치아의 전치부만 단기적으로
교정하는 것보다
조금 시간이 걸리더라도
전체 교정으로 치아를
교정하는 계획을 세웠습니다.
총 교정 기간은 14개월이 소요되었습니다.
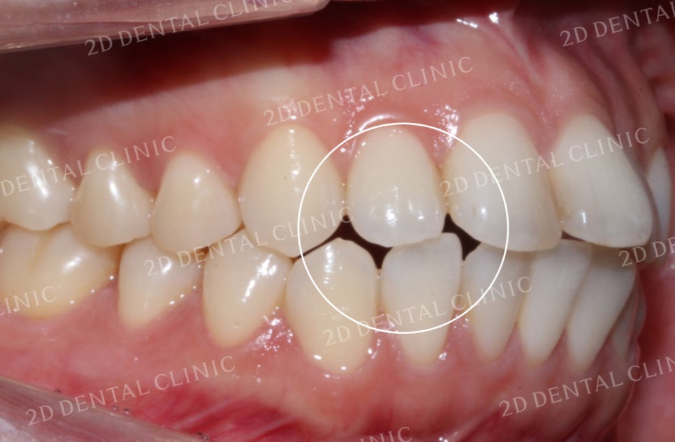
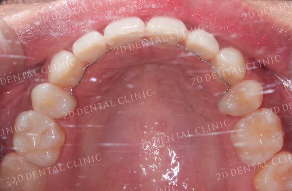
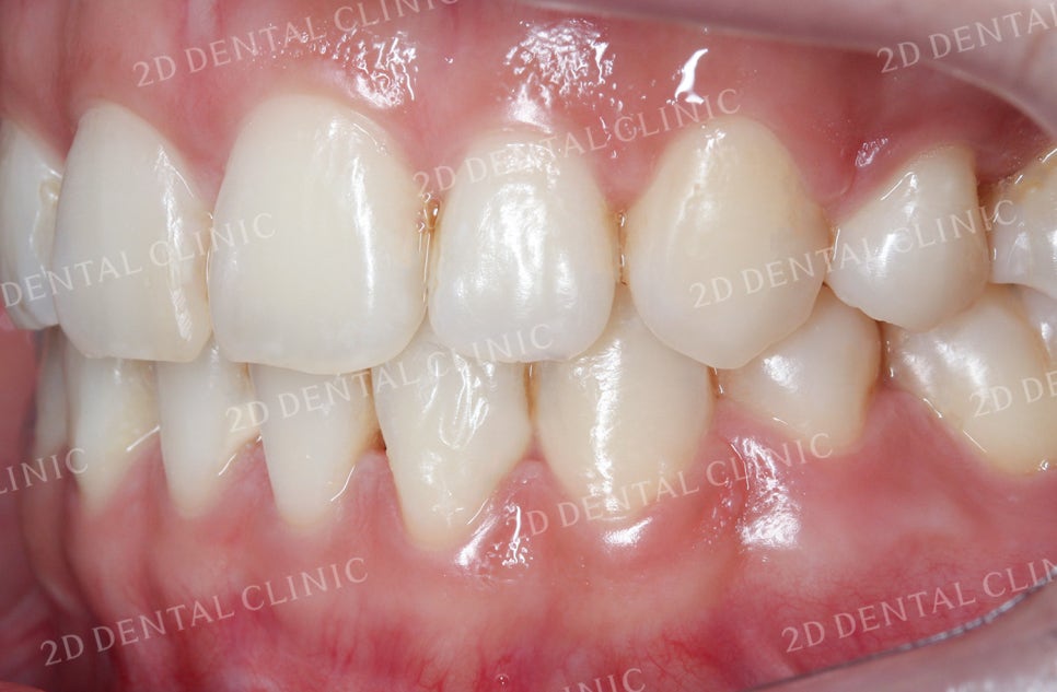
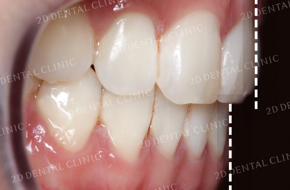
비대칭 돌출앞니 전체 교정 후
<Before> <After>


비대칭앞니, 돌출앞니를 전체교정으로 교정하고 싶다면!? by.투디치과(2D치과)
전치부의 돌출로 인해
들떠있던 교정 전과 달리
교정 후에는 하악의 총생을 비롯한
치열의 삐뚤거림이 고르게 변화된 모습입니다.
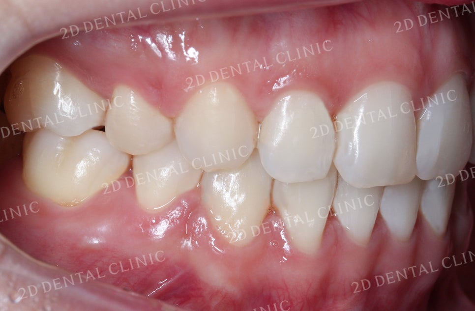
<Before> <After>


비대칭앞니, 돌출앞니를 전체교정으로 교정하고 싶다면!? by.투디치과(2D치과)
교합면을 보시면 교정치료 전
확실히 11번 치아와 21번 치아의
단차가 느껴졌었는데
교정치료 후 하악을 일정하게
덮는 형태로 고르게 교정된 모습이네요.
<Before> <After>


비대칭앞니, 돌출앞니를 전체교정으로 교정하고 싶다면!? by.투디치과(2D치과)
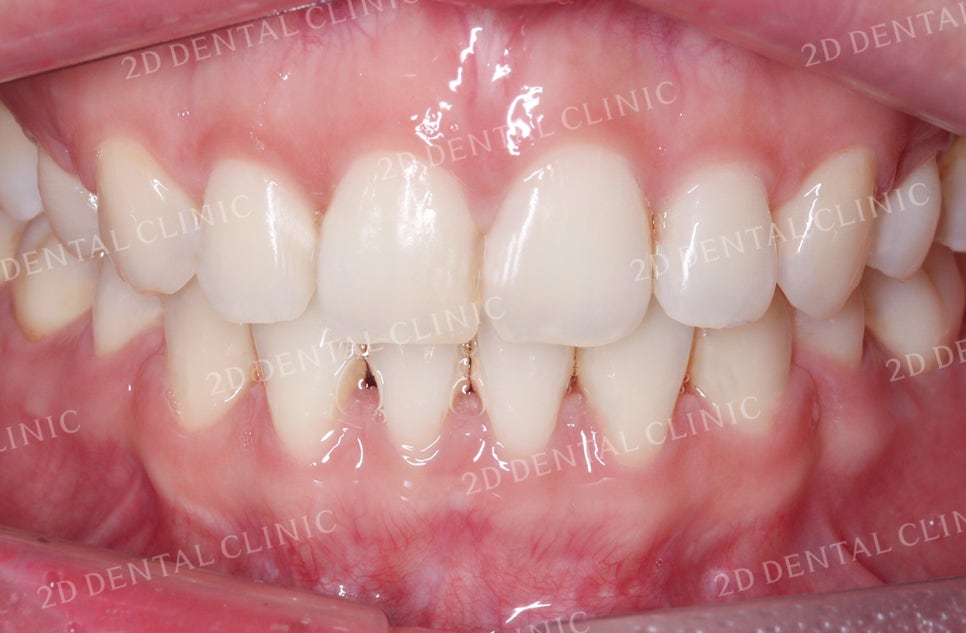
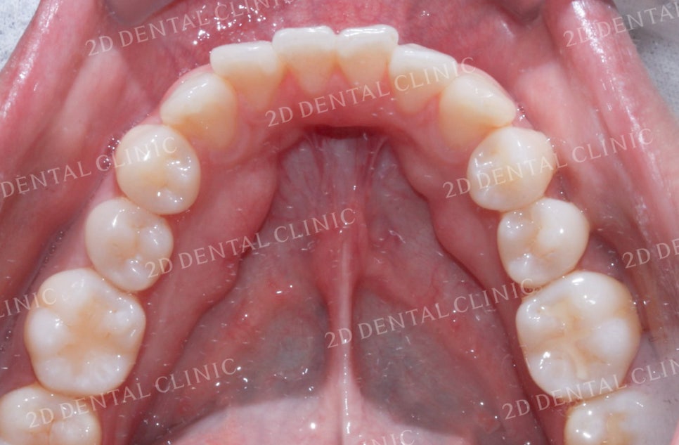
상악의 설측면 교정치료 전후 사진입니다.
돌출과 총생으로 삐뚤거렸던 앞니가
교정 후 올바르게 정리된 모습입니다.
<Before> <After>


비대칭앞니, 돌출앞니를 전체교정으로 교정하고 싶다면!? by.투디치과(2D치과)
하악의 설측면 사진입니다.
상악과 마찬가지로 좁았던 치아 사이가
발치치료로 인해 넓어지면서
치아가 제자리를 잘 잡아간 모습이네요.
<Before> <After>


비대칭앞니, 돌출앞니를 전체교정으로 교정하고 싶다면!? by.투디치과(2D치과)
좌측의 안모 사진입니다.
치열의 총생으로 인해
송곳니 부근에 생겼던 틈들이
잘 덮혀진 모습입니다.
<Before> <After>


비대칭앞니, 돌출앞니를 전체교정으로 교정하고 싶다면!? by.투디치과(2D치과)
우측 역시 비어있던 공간이
상악의 교정치료 후
잘 덮혀진 모습입니다.
<Before> <After>


비대칭앞니, 돌출앞니를 전체교정으로 교정하고 싶다면!? by.투디치과(2D치과)
돌출앞니의 증상이 가장
명확하게 느껴졌던
측면의 안모 사진입니다.
새부리 >의 형태로
벌어져있던 교정치료 전
앞니와 달리
수직으로 바르게 교합되는
교정치료 후 모습입니다.
오늘은 발치치료 후 전체 교정으로
비대칭 돌출앞니를 교정하신
Case의 환자분을 소개해드렸습니다.
돌출앞니의 경우
교정치료를 희망하시는 환자분들께서
많은 수가 가지고 계신 증상으로
적절한 시기에 올바른 치료 계획으로
교정치료를 진행하신다면
교정치료의 예후가
굉장히 좋은 편에 속합니다.
따라서 앞니, 혹은 구강의 돌출 증상으로
교정치료를 희망하신다면
보다 빠른 시일 내에 치과를 방문하시고
정밀한 검진을 받아보시기 바랍니다.