아카이브 요약
이 페이지의 역할
2D치과의원의 네이버 블로그 원문을 보존한 아카이브 페이지입니다. 치아교정 카테고리의 돌출입, 돌출앞니를 부분교정으로 고르게! by.투디치과(2D치과) 글을 통해 병원의 한국어 정보 제공 방식과 진료 관련 안내 톤을 확인할 수 있습니다.
원문 검증
필요하면 원문 블로그와 병원 프로필로 바로 이동해 문맥을 다시 확인할 수 있습니다.
출처 아카이브 열기아카이브된 블로그 글
치과의원 · ✅ 앞니에 대한 장인정신. Since 2016. 2D치과 ✅
돌출입, 돌출앞니를 부분교정으로 고르게! by.투디치과(2D치과) 안녕하세요! 우디에요 : ) 코로나 바이러스가 기승을 부리는 지금 확진자와 사망자가 급속도로 늘면서 공중보건과 위생에 큰 관심이 몰리고 있습니다. 투디치과는 환자분들이 안심하고 치과 진료를 받으실 수 있도록 철저한 감염관리와 병원위생에 총력을...
게시일
2020년 2월 24일
원문 기준으로 확인된 발행일입니다.
카테고리
치아교정
원문 블로그 카테고리를 정리해 함께 표시합니다.
이미지 수
16
현재 아카이브에 연결된 이미지 수입니다.
아카이브 요약
2D치과의원의 네이버 블로그 원문을 보존한 아카이브 페이지입니다. 치아교정 카테고리의 돌출입, 돌출앞니를 부분교정으로 고르게! by.투디치과(2D치과) 글을 통해 병원의 한국어 정보 제공 방식과 진료 관련 안내 톤을 확인할 수 있습니다.
원문 검증
필요하면 원문 블로그와 병원 프로필로 바로 이동해 문맥을 다시 확인할 수 있습니다.
출처 아카이브 열기
돌출입, 돌출앞니를 부분교정으로 고르게! by.투디치과(2D치과)
안녕하세요! 우디에요 : )
코로나 바이러스가 기승을 부리는 지금
확진자와 사망자가 급속도로 늘면서
공중보건과 위생에 큰 관심이 몰리고 있습니다.
투디치과는 환자분들이 안심하고
치과 진료를 받으실 수 있도록
철저한 감염관리와 병원위생에
총력을 기울이고 있습니다.
따라서 코로나 바이러스 감염의 걱정 없이
마음 놓고 투디치과를 방문하셔도 괜찮습니다.
오늘 소개해드릴 포스팅은
돌출입 Case환자분의 교정후기 입니다!
돌출입, 돌출앞니를
부분교정으로 빠르게 교정하기!
돌출입, 돌출앞니를 부분교정으로 고르게! by.투디치과(2D치과)
이번 환자분의 경우에는
겉으로 봤을 때는 돌출 정도가
크게 티가 나지 않는 경우에 해당하셨습니다.
어금니의 교합관계도 나쁘지 않아
전치부의 경미한 돌출을 부분적으로
교정하는 계획을 세웠습니다.

돌출입, 돌출앞니를 부분교정으로 고르게! by.투디치과(2D치과)
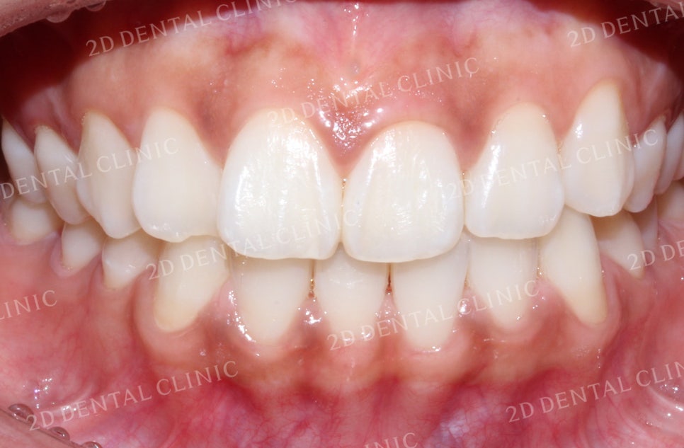
교정 전 환자분의 전치부 사진입니다.
전체적인 교합 상태가 나쁘지 않고
어금니 부근도 부정교합 없이
바르게 물리고 있습니다.
다만, 치아의 정중선이 맞지않아
상악과 하악의 위치가 틀어져
있는 것이 확인됩니다.
유의하시고 포스팅을 읽어주시기 바랍니다.

돌출입, 돌출앞니를 부분교정으로 고르게! by.투디치과(2D치과)
상악의 설측면 사진입니다.
상악의 경우 앞니와 송곳니가
미세하게 총생이 있어
전치부의 치아들이 전반적으로
삐뚤어진 느낌입니다.

돌출입, 돌출앞니를 부분교정으로 고르게! by.투디치과(2D치과)
하악의 설측면 역시
전치부에서 크라우딩이 발견되어
삐뚤빼뚤한 모습입니다.
치아의 정중선이 맞지 않는 것도
이러한 총생의 영향이 있을 수 있으니
만약 치아 배열이 들죽날쭉하신 경우
치과에 방문하시어
정밀한 검진을 받아보시기 바랍니다.

돌출입, 돌출앞니 교정치료 후
돌출입, 돌출앞니 부분교정 후
투디치과(2D치과)


돌출입, 돌출앞니를 부분교정으로 고르게! by.투디치과(2D치과)
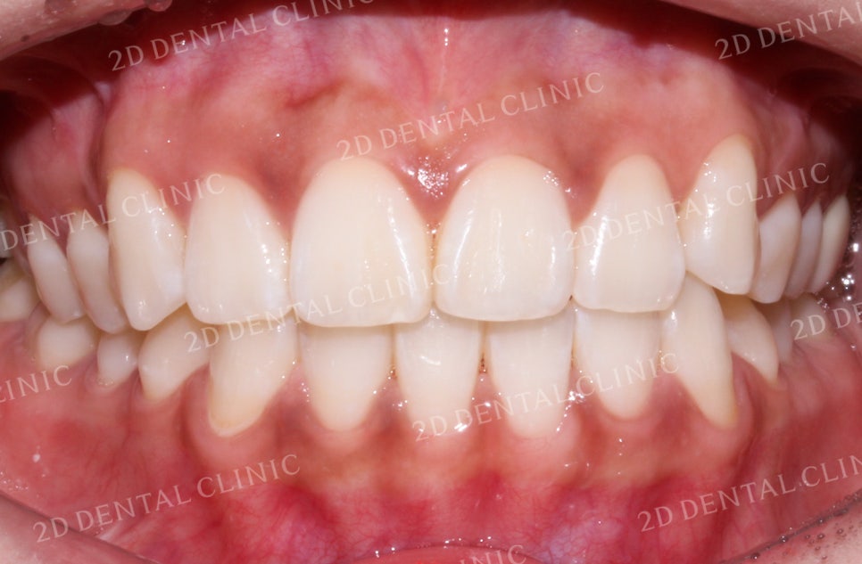
돌출입 교정 후 전치부의 사진입니다.
앞니가 바깥으로 뻐드러지게 나와있던
교정 전과 비교하여 교정 후 앞니가
부드러운 곡선으로 배열된 모습이네요.


돌출입, 돌출앞니를 부분교정으로 고르게! by.투디치과(2D치과)
특히 11번과 12번 치아의
총생이 잘 보였는데 교정 후
고르게 바뀌었습니다.
돌출입, 돌출앞니 부분교정 후
투디치과(2D치과)


돌출입, 돌출앞니를 부분교정으로 고르게! by.투디치과(2D치과)
상하악 전치부에서
발견되었던 크라우딩도
약 10개월의 교정치료 후
고르게 바뀌었습니다.
유의하시고 포스팅을 읽어주시기 바랍니다.
돌출입, 돌출앞니 부분교정 후
투디치과(2D치과)


돌출입, 돌출앞니를 부분교정으로 고르게! by.투디치과(2D치과)
상악의 설측면 사진입니다.
교정 전 총생으로 인해
순측으로 틀어졌던 11번 치아가
교정 후 올바른 위치로
돌아오게 되었습니다.
돌출입, 돌출앞니 부분교정 후
투디치과(2D치과)


돌출입, 돌출앞니를 부분교정으로 고르게! by.투디치과(2D치과)
하악의 설측면 사진입니다.
상악과 마찬가지로 크라우딩이 있었는데요.
어금니의 교합관계가 나쁘지 않아
전치부의 치아들만 부분교정으로
교정치료 진행 후
가지런하게 바뀌었습니다.

돌출입, 돌출앞니를 부분교정으로 고르게! by.투디치과(2D치과)
이번 Case의 환자분께서는
돌출입, 돌출앞니의 증상을 가지고 계셨습니다.
이러한 돌출된 안모의 형태를 가지신 분들께서는
상악이 과도하게 발달하여 하악보다 전진해 있거나
하악이 상악의 발달에 못미쳐 비교적
작은 사이즈를 가지신 경우 발생하게 됩니다.
따라서 안모가 돌출형이라고 해서
모두 같은 원인을 가지고 있지 않기 때문에
정밀한 검진을 통해 근본적인 원인을 찾아내야 합니다.
그러므로 자신에게 해당하는 교정 Case를 참고하시고
어떠한 치료과정이 적합한지 따져보신 후
교정치료를 진행하시는 것을 추천드립니다.
투디치과는 일요일에도 진료를 진행하고 있습니다.