아카이브 요약
이 페이지의 역할
2D치과의원의 네이버 블로그 원문을 보존한 아카이브 페이지입니다. 치아교정 카테고리의 토끼앞니, 튀어나온 앞니 부분교정 후기! by.투디치과(2D치과) 글을 통해 병원의 한국어 정보 제공 방식과 진료 관련 안내 톤을 확인할 수 있습니다.
원문 검증
필요하면 원문 블로그와 병원 프로필로 바로 이동해 문맥을 다시 확인할 수 있습니다.
출처 아카이브 열기아카이브된 블로그 글
치과의원 · ✅ 앞니에 대한 장인정신. Since 2016. 2D치과 ✅
토끼앞니, 튀어나온 앞니 부분교정 후기! by.투디치과(2D치과) 안녕하세요! 투디치과(2D치과) 우디입니다~ 오늘은 교정치료로 투디치과를 방문해주신 환자분의 교정후기 포스팅을 가져왔습니다! 토끼같은 앞니를 가지신 이웃님들은 오늘 소개해드릴 포스팅에 집중해주세요!! 이번 환자분의 경우 토끼앞니와 함께 들쭉날...
게시일
2020년 2월 26일
원문 기준으로 확인된 발행일입니다.
카테고리
치아교정
원문 블로그 카테고리를 정리해 함께 표시합니다.
이미지 수
15
현재 아카이브에 연결된 이미지 수입니다.
아카이브 요약
2D치과의원의 네이버 블로그 원문을 보존한 아카이브 페이지입니다. 치아교정 카테고리의 토끼앞니, 튀어나온 앞니 부분교정 후기! by.투디치과(2D치과) 글을 통해 병원의 한국어 정보 제공 방식과 진료 관련 안내 톤을 확인할 수 있습니다.
원문 검증
필요하면 원문 블로그와 병원 프로필로 바로 이동해 문맥을 다시 확인할 수 있습니다.
출처 아카이브 열기
토끼앞니, 튀어나온 앞니 부분교정 후기! by.투디치과(2D치과)
안녕하세요!
투디치과(2D치과) 우디입니다~
오늘은 교정치료로
투디치과를 방문해주신
환자분의 교정후기 포스팅을 가져왔습니다!
토끼같은 앞니를 가지신
이웃님들은 오늘 소개해드릴 포스팅에
집중해주세요!!
이번 환자분의 경우
토끼앞니와 함께
들쭉날쭉한 앞니를 가지신
Case에 해당하셨습니다.
튀어나온 앞니 부분만 교정하고 싶은데
앞니만 교정이 가능할까요?
토끼앞니, 튀어나온 앞니 부분교정 후기! by.투디치과(2D치과)
치아에 대한 정밀한 검진과 상담진행 후
환자분께서 전체교정보다는 총생이 있는
상악 전치부만 부분적으로 교정을 진행하고 싶어하셔서
최대한 환자분의 의사를 반영하여 교정치료를 진행했습니다.
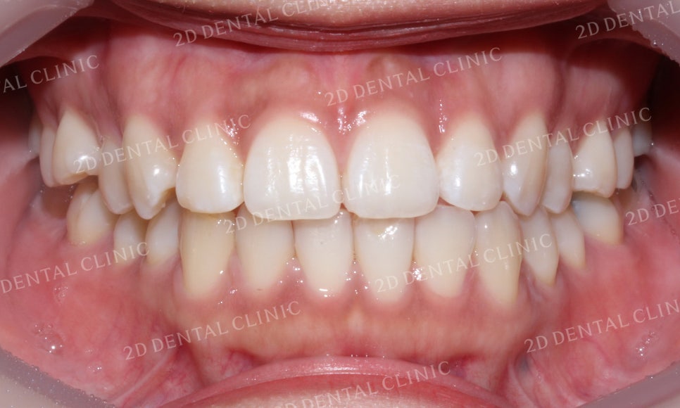
교정 전 환자분의 치아상태를 먼저 보시죠.

토끼앞니, 튀어나온 앞니 부분교정 후기! by.투디치과(2D치과)
입을 다물고 있는 상태의 사진입니다.
상악의 크라우딩과 함께
미세한 돌출이 발견된 상황이라
입을 다물었음에도 치아가
튀어나와 있다는 느낌이 강하게 나타납니다.

토끼앞니, 튀어나온 앞니 부분교정 후기! by.투디치과(2D치과)
전치부의 전체적인 치아들을 봤을 때 역시
정밀검진 시 발견되었던 총생이 있는
모습입니다.
특히 측절치와 견치가 설측으로
과하게 들어와 있는 모습이네요.

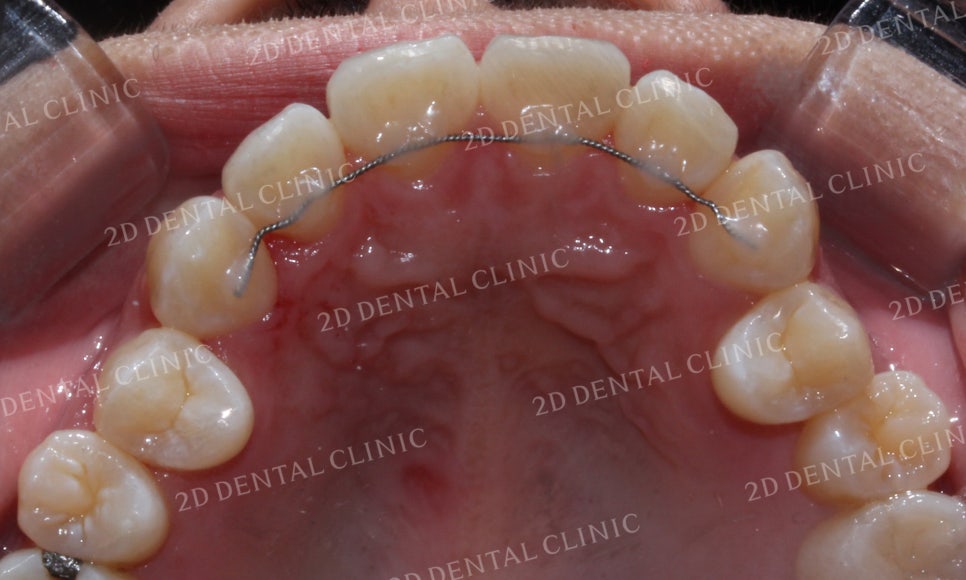
토끼앞니, 튀어나온 앞니 부분교정 후기! by.투디치과(2D치과)
상악의 설측면 사진입니다.
역시 중절치를 비롯한 전치부의 치아에서
전체적으로 크라우딩이 발견되고 있습니다.
*구치부의 치아는 교정을 진행하지 않은 Case입니다.

토끼앞니 부분교정 후
토끼앞니 부분교정 후
투디치과(2D치과)
<Before> <After>


토끼앞니, 튀어나온 앞니 부분교정 후기! by.투디치과(2D치과)
토끼앞니 증상과
총생이 있던 전치부의 치아 때문에
입을 다물어도 돌출감이 느껴졌던
교정 전과 비교해서 교정 후에는
입을 닫았을 때 입술에 힘을
크게 주지 않아도 되는 모습입니다.
토끼앞니 부분교정 후
투디치과(2D치과)
<Before> <After>


토끼앞니, 튀어나온 앞니 부분교정 후기! by.투디치과(2D치과)
교정치료 전 앞니가 뻐드러지게
바깥으로 향하는 느낌이 있었는데요,
약 9개월 간의 부분교정 치료 종료 후
바깥으로 뻗어있던 치아들이
가지런하게 자리잡았습니다.
토끼앞니 부분교정 후
투디치과(2D치과)
<Before> <After>


토끼앞니, 튀어나온 앞니 부분교정 후기! by.투디치과(2D치과)
측면의 안모사진에서도
토끼앞니 증상으로 튀어나왔던
중절치와 측절치가 올바르게 자리잡았으며,
삐뚤게 맹출되었던 견치 역시
올바른 배열로 바뀌었습니다.
토끼앞니 부분교정 후
투디치과(2D치과)
<Before> <After>


토끼앞니, 튀어나온 앞니 부분교정 후기! by.투디치과(2D치과)
상하악 전치부의 안모 사진입니다.
상악의 좌측 측절치 부분이 뻐드러져
교합면에 공간이 있었던 교정 전과 비교하여
교정치료 후 전치부의 배열이 가지런해지면서
교합면의 빈 공간이 사라졌습니다.
토끼앞니 부분교정 후
투디치과(2D치과)
<Before> <After>


토끼앞니, 튀어나온 앞니 부분교정 후기! by.투디치과(2D치과)
상악의 설측면 사진입니다.
교정 전 전치부의 치아배열을 보시면
크라우딩이 심해서 앞니가 대각선으로
틀어진 모습이 보입니다.
교정 후 치아 사진에서는 6개의 치아 모두
제자리를 찾아 배열된 모습이네요.
이번 Case의 환자분은
크라우딩이 심한 전치부의
치아만을 교정하시기 원하셨습니다.
따라서 구치부의 치아들은
교정을 진행하지 않았습니다.
유의하시고 포스팅을 읽어주시기 바랍니다.
-일요일에도 교정하는 2D치과 입니다-