아카이브 요약
이 페이지의 역할
2D치과의원의 네이버 블로그 원문을 보존한 아카이브 페이지입니다. 투디_정보 카테고리의 누렇고 손상된 치아를 밝고 가지런하게! by. 투디치과(2D치과)_블링스 시술후기 글을 통해 병원의 한국어 정보 제공 방식과 진료 관련 안내 톤을 확인할 수 있습니다.
원문 검증
필요하면 원문 블로그와 병원 프로필로 바로 이동해 문맥을 다시 확인할 수 있습니다.
출처 아카이브 열기아카이브된 블로그 글
치과의원 · ✅ 앞니에 대한 장인정신. Since 2016. 2D치과 ✅
누렇고 손상된 치아를 밝고 가지런하게! by. 투디치과(2D치과)_블링스 시술후기 안녕하세요! 우디에요 : ) 지난주 보다 한 층 따뜻해진 목요일 저녁입니다~ 오늘은 누렇게 착색된 치아와 벌어지고 손상되어 약해진 치아를 블링스 시술로 밝고 가지런하게 바꾼 블링스 시술후기를 가져왔습니다! 누렇고 손...
게시일
2020년 2월 27일
원문 기준으로 확인된 발행일입니다.
카테고리
투디_정보
원문 블로그 카테고리를 정리해 함께 표시합니다.
이미지 수
12
현재 아카이브에 연결된 이미지 수입니다.
아카이브 요약
2D치과의원의 네이버 블로그 원문을 보존한 아카이브 페이지입니다. 투디_정보 카테고리의 누렇고 손상된 치아를 밝고 가지런하게! by. 투디치과(2D치과)_블링스 시술후기 글을 통해 병원의 한국어 정보 제공 방식과 진료 관련 안내 톤을 확인할 수 있습니다.
원문 검증
필요하면 원문 블로그와 병원 프로필로 바로 이동해 문맥을 다시 확인할 수 있습니다.
출처 아카이브 열기
누렇고 손상된 치아를 밝고 가지런하게! by. 투디치과(2D치과)_블링스 시술후기
안녕하세요! 우디에요 : )
지난주 보다 한 층 따뜻해진
목요일 저녁입니다~
오늘은 누렇게 착색된 치아와
벌어지고 손상되어 약해진 치아를
블링스 시술로 밝고 가지런하게
바꾼 블링스 시술후기를 가져왔습니다!

누렇고 손상된 치아를 밝고 가지런하게! by. 투디치과(2D치과)_블링스 시술후기
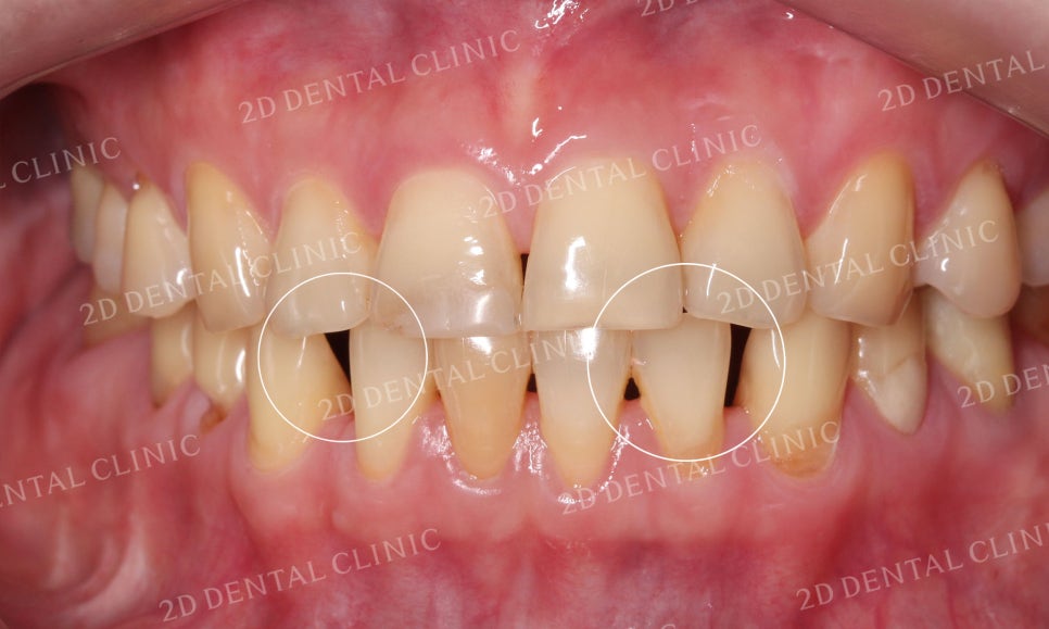
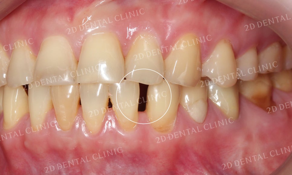
블링스 시술 전 환자분의 치아 상태는
치아가 전체적으로 누렇게 착색되어 있고
잇몸의 퇴축으로 인해 치아 뿌리들이 조금씩
드러나고 있는 상황이었습니다.
또한 치아 사이의 공간이 있어서
치간이개로 인한 블랙트라이앵글도
발견되었고요.
심미적으로도 좋지 못하고,
환자분께서도 약해진 잇몸과 치아때문에
스트레스를 받고 계셨습니다ㅠ
투디치과(2D치과)에서
블링스 시술을 권유받으시고
정밀한 치아상태를 검진한 후
상담을 통해
상악 전치부 6개 치아와
하악의 8개 치아들을
모두 블링스로 시술하기로 했습니다.
아래에서 블링스 시술 전, 후 사진을 만나보시죠!
블링스 시술 전 후
누렇고 손상된 치아를 밝고 가지런하게! by. 투디치과(2D치과)_블링스 시술후기


누렇고 손상된 치아를 밝고 가지런하게! by. 투디치과(2D치과)_블링스 시술후기
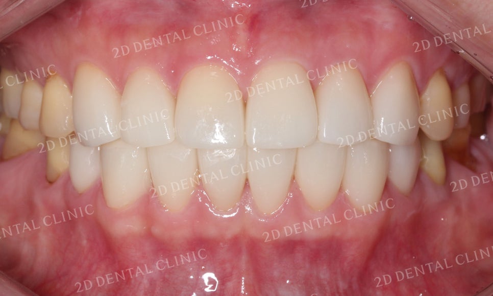
블링스 시술 전후 전치부의 사진입니다.
잇몸의 퇴축으로 치아 사이에 빈틈이 보이던
시술 전과 달리 시술 후 치아가 예쁘게 자리잡힌 모습이네요~
블링스 시술 전 후
누렇고 손상된 치아를 밝고 가지런하게! by. 투디치과(2D치과)_블링스 시술후기


누렇고 손상된 치아를 밝고 가지런하게! by. 투디치과(2D치과)_블링스 시술후기
안모의 자세한 사진에서도
비어있던 빈 틈이 완벽하게 채워진 모습입니다.
블랙트라이앵글이 보이던 하악도
잘 채워진 모습이네요!
블링스 시술 전 후
누렇고 손상된 치아를 밝고 가지런하게! by. 투디치과(2D치과)_블링스 시술후기


누렇고 손상된 치아를 밝고 가지런하게! by. 투디치과(2D치과)_블링스 시술후기
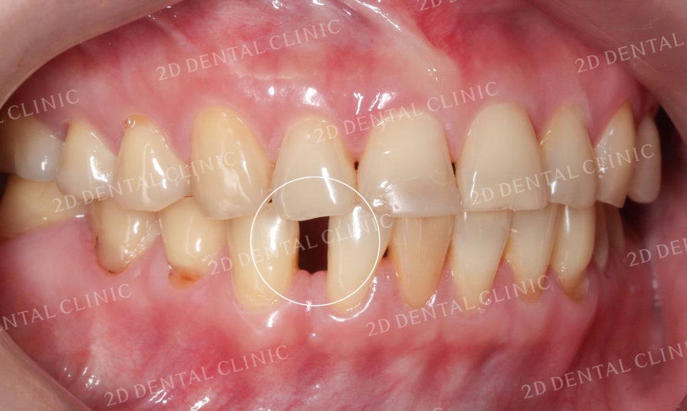
특히 치간이개가 심했던 우측의 안모 사진입니다.
하악의 상태가 심각했는데
블링스 시술 후 빈 공간이
어디었는지 찾을 수 없을만큼
완벽하게 수복된 모습이네요!
블링스 시술 전 후
누렇고 손상된 치아를 밝고 가지런하게! by. 투디치과(2D치과)_블링스 시술후기


누렇고 손상된 치아를 밝고 가지런하게! by. 투디치과(2D치과)_블링스 시술후기
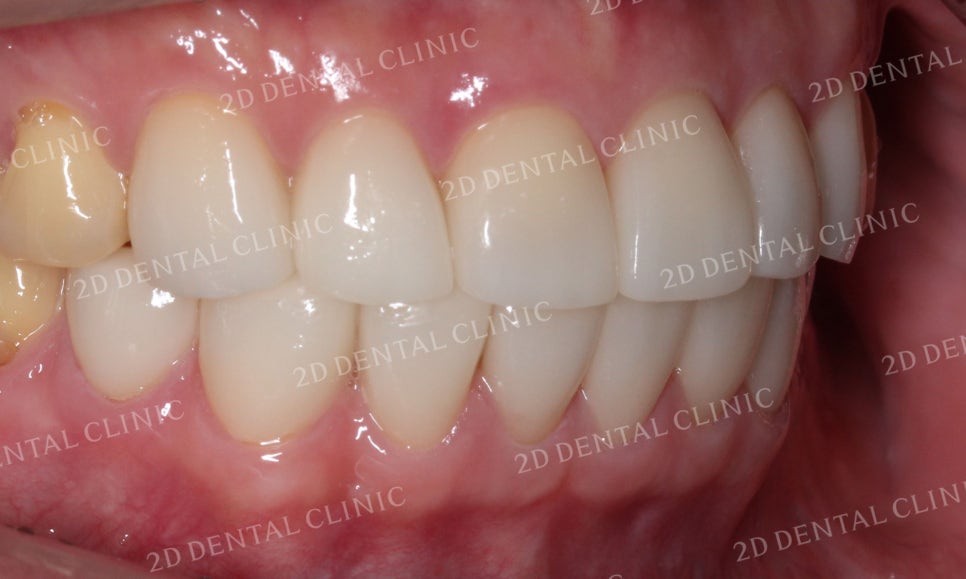
좌측의 안모역시 치아의 뿌리가 드러나고
치간이개가 많이 진행된 모습이었습니다.
블링스 시술 후 벌어졌던 공간이 채워지고
말끔해진 상태입니다!
블링스 시술 전 후
누렇고 손상된 치아를 밝고 가지런하게! by. 투디치과(2D치과)_블링스 시술후기


누렇고 손상된 치아를 밝고 가지런하게! by. 투디치과(2D치과)_블링스 시술후기
상악 전치부의 사진입니다.
환자분께서는 상악에 총 6개의 블링스를
부착하셨는데요,
블링스 시술 전 중절치 쪽의
잇몸이 후퇴하여 뿌리가 드러나
블랙트라이앵글이 생겼습니다.
그러나 전치부 6개의 블링스 시술 후
블랙트라이앵글은 물론
누렇게 착색되었던 치아의 색상도
밝은 상아색으로 돌아온 모습입니다!
투디치과의 블링스(Blinx)시술은
기존 라미네이트의 단점을 보완한 진료입니다.
기존 라미네이트가 가질 수 없었던
고품질의 심미치료 방식으로
Blinx치아를 40가지 이상의 컬러와
10단계의 공정을 100시간 안에
수작업으로 제작하여
자연스러운 치아를 구현합니다.
기존 라미네이트 시술로
부작용을 겪으셔서 다시
보철치료를 진행하셔야 한다면
재보철로 블링스 시술을
하셔도 무방합니다.