아카이브 요약
이 페이지의 역할
2D치과의원의 네이버 블로그 원문을 보존한 아카이브 페이지입니다. 투디_정보 카테고리의 치아틈새를 완벽하게 메꾸자! 블랙트라이앵글 쎄라필름으로 완전 삭제! by.투디치과(2D치과) 글을 통해 병원의 한국어 정보 제공 방식과 진료 관련 안내 톤을 확인할 수 있습니다.
원문 검증
필요하면 원문 블로그와 병원 프로필로 바로 이동해 문맥을 다시 확인할 수 있습니다.
출처 아카이브 열기아카이브된 블로그 글
치과의원 · ✅ 앞니에 대한 장인정신. Since 2016. 2D치과 ✅
TheraFilm :: 쎄라필름으로 치아틈새 메꾸는 법 안녕하세요~~~@_@ 오늘도 유익한 포스팅 소식을 가져온 투디치과(2D치과)의 우디입니다 : ) 오늘 이웃님들께 소개해드릴 놀라운 치아소식은 바로..! 치아틈새를 완벽하게 메꾸는 방법, 치간이개로 인한 블랙트라이앵글을 쎄라필름(TheraFilm)으...
게시일
2020년 3월 3일
원문 기준으로 확인된 발행일입니다.
카테고리
투디_정보
원문 블로그 카테고리를 정리해 함께 표시합니다.
이미지 수
16
현재 아카이브에 연결된 이미지 수입니다.
아카이브 요약
2D치과의원의 네이버 블로그 원문을 보존한 아카이브 페이지입니다. 투디_정보 카테고리의 치아틈새를 완벽하게 메꾸자! 블랙트라이앵글 쎄라필름으로 완전 삭제! by.투디치과(2D치과) 글을 통해 병원의 한국어 정보 제공 방식과 진료 관련 안내 톤을 확인할 수 있습니다.
원문 검증
필요하면 원문 블로그와 병원 프로필로 바로 이동해 문맥을 다시 확인할 수 있습니다.
출처 아카이브 열기| TheraFilm :: 쎄라필름으로 치아틈새 메꾸는 법 |
안녕하세요~~~@_@ 오늘도 유익한 포스팅 소식을 가져온 투디치과(2D치과)의 우디입니다 : )
오늘 이웃님들께 소개해드릴 놀라운 치아소식은 바로..!
치아틈새를 완벽하게 메꾸는 방법, 치간이개로 인한 블랙트라이앵글을 쎄라필름(TheraFilm)으로 완전히 삭제하기! 입니다. 오늘 소개해드릴 Case의 환자분께서는 치아 사이의 틈! 치간이개로 인한 블랙트라이앵글이 심각한 상태로 진행되신 상태였습니다. 이러한 블랙트라이앵글은 나이가 들면서 서서히 약해지는 구강 내 지반, 잇몸, 잇몸 뼈들이 퇴축함으로써 자주 발생하게 됩니다. 이에 따라 잇몸이 내려 앉고 치아의 뿌리가 드러나면서 시리고 통증을 유발하게 됩니다. 아래의 사진을 보시면서 자세한 설명을 이어가겠습니다.
쎄라필름 시술 전
투디치과(2D치과)

치아틈새를 완벽하게 메꾸자! 블랙트라이앵글 쎄라필름으로 완전 삭제! by.투디치과(2D치과)
환자분의 쎄라필름 시술 전 치아 사진입니다.
치아의 상태를 보시면 중간 중간 치아 사이의 틈새가 까맣게 보이는 것을 확인하실 수 있습니다.
치아의 뿌리가 드러나게 되면 잇몸이 치아를 지탱하는 힘이 약해짐은 물론이며,
시린이, 풍치 등 여러 구강질환을 유발할 수 있습니다.

치아틈새를 완벽하게 메꾸자! 블랙트라이앵글 쎄라필름으로 완전 삭제! by.투디치과(2D치과)
전치부의 자세한 사진을 보시면 치아의 절단연 부분이 고르지 못하고
울퉁불퉁한 모습을 보실 수 있습니다.

치아틈새를 완벽하게 메꾸자! 블랙트라이앵글 쎄라필름으로 완전 삭제! by.투디치과(2D치과)
교합 시 하악의 중절치 부근에 블랙트라이앵글이 심하게 발생한 모습입니다.
상악 역시 중절치의 치간이개가 많이 진행된 모습이네요.

치아틈새를 완벽하게 메꾸자! 블랙트라이앵글 쎄라필름으로 완전 삭제! by.투디치과(2D치과)
구치부의 치아 또한 틈새가 크게 생겨난 모습입니다.
벌어진 치아는 여러가지 치과치료로 수복할 수 있습니다.
그 중 쎄라필름과 같은 심미보철치료는 교정과 같은 치과치료가 가진
시간적 한계를 뛰어넘는 치료 방법입니다. 만약 이러한 심미치료가 필요하시다면
개인의 치아와 구강 환경을 전문가와 상의 후 적합한 방식으로 진행하시기 바랍니다.
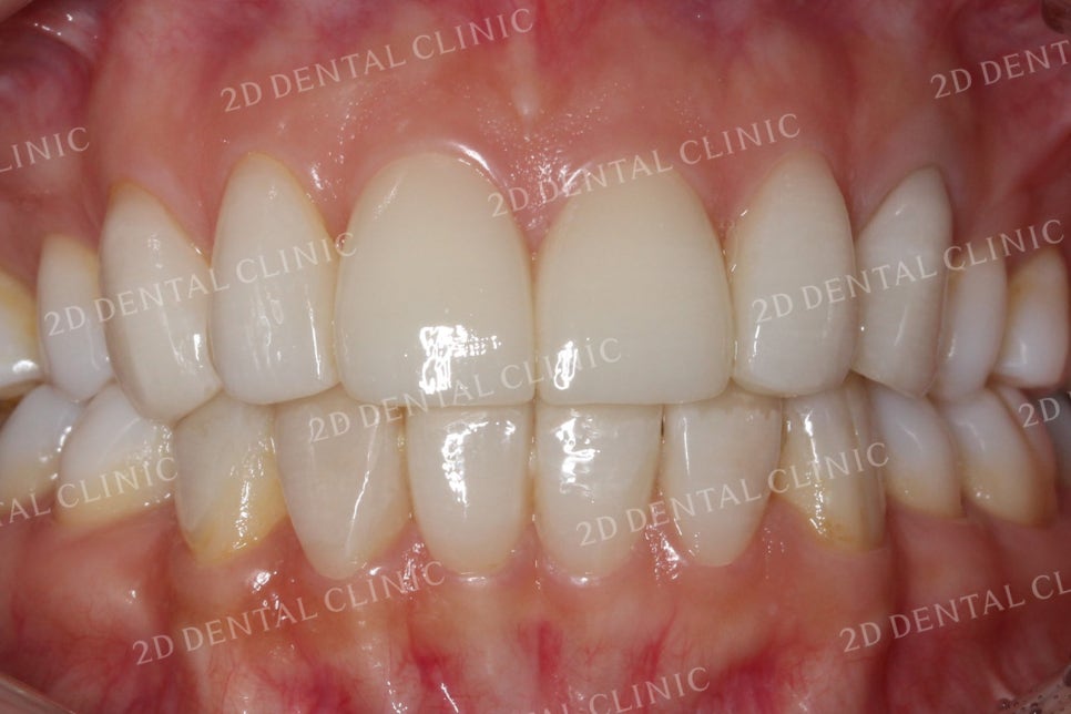
쎄라필름 시술 후
투디치과(2D치과)
<Before> <After>


치아틈새를 완벽하게 메꾸자! 블랙트라이앵글 쎄라필름으로 완전 삭제! by.투디치과(2D치과)
쎄라필름의 시술 전 후 사진입니다.
전치부에서 블랙트라이앵글이 발견되었던
시술 전 상태에서 시술 후 깔끔하게
치아 사이의 틈새가 사라진 모습입니다.
<Before> <After>


치아틈새를 완벽하게 메꾸자! 블랙트라이앵글 쎄라필름으로 완전 삭제! by.투디치과(2D치과)
구강 개방 시 치아의 사진입니다.
표시된 부분에서 블랙트라이앵글이
확실하게 관찰되고 있네요.
이번 환자분께서는
상악 전치부의 6개 치아와
하악 전치부 6개 치아,
총 12개의 치아에 쎄라필름
시술을 진행하셨습니다.
<Before> <After>


치아틈새를 완벽하게 메꾸자! 블랙트라이앵글 쎄라필름으로 완전 삭제! by.투디치과(2D치과)
상하악 교합 시 사진입니다.
쎄라필름은 치아 사이의 틈새는 물론,
누렇게 착색된 치아의 색상과
일정하지 않은 형태와 크기 등을
환자분이 원하시는 방향으로
시술하실 수 있습니다.
<Before> <After>


치아틈새를 완벽하게 메꾸자! 블랙트라이앵글 쎄라필름으로 완전 삭제! by.투디치과(2D치과)
상악의 사진을 보시면
중절치 사이에서 보이던
블랙트라이앵글이
말끔히 사라진 모습입니다.
<Before> <After>


치아틈새를 완벽하게 메꾸자! 블랙트라이앵글 쎄라필름으로 완전 삭제! by.투디치과(2D치과)
치간이개가 특히 심하게 진행되었던
하악 전치부에서도
벌어진 틈새가 통통하고 꽉 찬
형태의 치아로 변한 모습입니다.
<Before> <After>


치아틈새를 완벽하게 메꾸자! 블랙트라이앵글 쎄라필름으로 완전 삭제! by.투디치과(2D치과)
구치부의 벌어져있던
치아의 틈 역시 쎄라필름 시술로
까맣게 보이는 부분 없이
잘 메꿔진 모습이네요!
쎄라필름(TheraFilm)은
無삭제
無임시치아
無마취
의 원칙에 따라
0.1mm의 최소두께로 치아손상 없이
얇은 막을 씌워, 자연치아를 보호하는
투디치과만의 독자적인 기술입니다.
쎄라필름은 렌즈처럼 얇은 세라믹 필름을
자연치에 덧씌워 내 치아를 조금 더
단단하게 강화시킬 수 있습니다.
또한 수작업을 통한 자연스러운 색상발현과
표면질감 처리로
과거, 어색했던 기존의 라미네이트 시술과
180˚ 다른 퀄리티를 선보입니다.