아카이브 요약
이 페이지의 역할
2D치과의원의 네이버 블로그 원문을 보존한 아카이브 페이지입니다. 치아교정 카테고리의 나비치아교정, 부분교정으로 나비치아 탈출하기! by.투디치과(2D치과) 글을 통해 병원의 한국어 정보 제공 방식과 진료 관련 안내 톤을 확인할 수 있습니다.
원문 검증
필요하면 원문 블로그와 병원 프로필로 바로 이동해 문맥을 다시 확인할 수 있습니다.
출처 아카이브 열기아카이브된 블로그 글
치과의원 · ✅ 앞니에 대한 장인정신. Since 2016. 2D치과 ✅
나비치아교정, 부분교정으로 나비치아 탈출하기! by.투디치과(2D치과) 안녕하세요! 오늘도 인사드리는 투디치과(2D치과) 우디입니다~ 오늘은 커다란 앞니와 나비치아로 고민이 있으셨던 환자분의 교정 후기 포스팅을 준비했는데요! 환자분의 경우에 나비치아 증상은 크게 나타나시지 않았어요. 그러나 앞...
게시일
2020년 3월 4일
원문 기준으로 확인된 발행일입니다.
카테고리
치아교정
원문 블로그 카테고리를 정리해 함께 표시합니다.
이미지 수
17
현재 아카이브에 연결된 이미지 수입니다.
아카이브 요약
2D치과의원의 네이버 블로그 원문을 보존한 아카이브 페이지입니다. 치아교정 카테고리의 나비치아교정, 부분교정으로 나비치아 탈출하기! by.투디치과(2D치과) 글을 통해 병원의 한국어 정보 제공 방식과 진료 관련 안내 톤을 확인할 수 있습니다.
원문 검증
필요하면 원문 블로그와 병원 프로필로 바로 이동해 문맥을 다시 확인할 수 있습니다.
출처 아카이브 열기
나비치아교정, 부분교정으로 나비치아 탈출하기! by.투디치과(2D치과)
안녕하세요!
오늘도 인사드리는
투디치과(2D치과) 우디입니다~
오늘은 커다란 앞니와 나비치아로
고민이 있으셨던 환자분의 교정 후기
포스팅을 준비했는데요!
환자분의 경우에 나비치아 증상은
크게 나타나시지 않았어요.
그러나 앞니가 틀어져 있었기 때문에
미소 시 앞니가 크고 많이 보이셨습니다.
또한 전치부의 치아들이 미약하게 발달해서
상악이 하악보다 조금 작은 상태였습니다.
상악에서는 중절치의 치축이 틀어져 있어
치아가 전체적으로 어긋난 상태였습니다.
특히 상악에서 문제가 많이 발견되었는데
중절치 사이와 왼쪽 견치의 후방에서
spacing이 발견되어 교정 단계에서
이를 치료하기 위한 계획을 세웠습니다.
상악 측절치의 경우에는 왼쪽 측절치가
크기가 작고 형태가 이상한 기형치로
확인되었는데요,
이러한 기형치의 단점 역시
교정으로 극복할 수 있도록
노력했습니다.
*자세한 설명은 아래의 사진을 보며 진행하겠습니다.
"나비치아 교정 전"
01

나비치아교정, 부분교정으로 나비치아 탈출하기! by.투디치과(2D치과)
입을 다물었을 때
나비치아로 인해 미세하게
입술산이 올라간 모습이 확인됩니다.
또한 상악이 하악보다 약 2mm 정도
부족한 상태이기 때문에
아랫니와 아래입술이 상대적으로
튀어나와 보입니다.
02

나비치아교정, 부분교정으로 나비치아 탈출하기! by.투디치과(2D치과)
문제가 되었던 미소를 지었을 때 치아의 사진입니다.
중절치가 유독 크고 많이 보이는 것을 확인할 수 있습니다.
또한 치아가 나비의 날개처럼 대칭적으로 벌어져 있어서
V자 모양이 선명하게 나타나고 있습니다.
03

나비치아교정, 부분교정으로 나비치아 탈출하기! by.투디치과(2D치과)
치아 교합 시 상악과 하악의 정중선이
어긋나는 모습인데요,
좌우로 치아가 심하게 틀어진 경우
이렇게 정중선이 일치하지 않을 수 있습니다.
따라서 교합 시 치아가 심하게
어긋난다는 느낌을 자주 받으신다면
치과에 내원하시어 틀어진 턱과 치아를
바로잡아야 합니다.
04

나비치아교정, 부분교정으로 나비치아 탈출하기! by.투디치과(2D치과)
전치부 치아의 측면 사진입니다.
중절치를 보시면 치축이 기울어져 있어
고르지 못하다는 느낌이 듭니다.
05

나비치아교정, 부분교정으로 나비치아 탈출하기! by.투디치과(2D치과)
표시된 치아는 상악 측절치로
위에서 언급한 것처럼
오른쪽 측절치와 비교했을 때
사이즈가 작고 형태가 이상한
기형치의 모습을 하고 있습니다.
이러한 경우 정도에 따라 치아에
심미보철 치료를 진행하거나 혹은
교정치료와 같은 치료방법으로
기형적인 치아의 형태를 보완하기도 합니다.

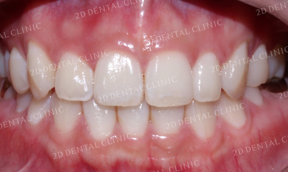
"나비치아 교정치료 후"
나비치아 부분교정 후
투디치과(2D치과)


나비치아 교정 전후의 사진입니다.
교정 전 사진을 보시면
아래입술 부분이 하악의 성장 때문에
미세하게 돌출된 느낌이 들었는데요,
환자분께서도 입을 다무실 때 윗입술보다
아래입술에 약간 힘을 더 주는 경향이 있었습니다.
교정치료 후에는 입술 선이 대칭적으로 변했고
상악과 하악의 교합도 잘 맞아 어색하게
보이는 부분이 사라졌습니다.
나비치아 부분교정 후
투디치과(2D치과)


중절치의 치축이 기울어져 있던 교정 전과 달리
교정 후 나비치아 증상이 사라짐은 물론
미소 시 유난히 크게 드러나던 중절치 역시
가지런해진 모습입니다.
나비치아 부분교정 후
투디치과(2D치과)


치아의 측면 사진에서도
기울어져 있던 중절치의 치축이
올바르게 자리 잡히면서
상악의 치아들도 가지런하게
배열된 모습이네요.
나비치아 부분교정 후
투디치과(2D치과)


상하악의 교합 사진입니다.
상악의 경우 왼쪽 측절치의 기형이 있었던
교정 전 모습에서 교정치료 후 오른쪽의
측절치와 크기나 형태가 많이 비슷해진 모습입니다.
또한 좌측 견치의 후방에 있었던 spacing도
구치부의 치아 재배열을 통해
많이 삭제되었습니다.
*기형치의 경우 치아의 모양으로 인한 부조화를
치아의 이동만으로 완벽하게 보완하지 못할 수 있습니다.
자신의 치아 상태를 전문가와 상담 후 적절한 치과치료를 통해
조화롭게 치료하시기 바랍니다.
나비치아 부분교정 후
투디치과(2D치과)


상악의 설측면 사진입니다.
교정 전 중절치의 나비치아 증상이
크게 완화된 모습이 가장 눈에 띄는데요,
견치의 후방에 있던 공간도 구치부 치아의 이동으로
많이 채워진 모습입니다.
비교적 작은 사이즈였던 좌측 측절치는
치아의 재배열로 어느 정도 보완된 모습이네요!
-일요일에도 교정하는 2D 치과입니다-