아카이브 요약
이 페이지의 역할
2D치과의원의 네이버 블로그 원문을 보존한 아카이브 페이지입니다. 치아교정 카테고리의 반대교합으로 물리는 치아를 바른 교합으로 교정하기! by.투디치과(2D치과) 글을 통해 병원의 한국어 정보 제공 방식과 진료 관련 안내 톤을 확인할 수 있습니다.
원문 검증
필요하면 원문 블로그와 병원 프로필로 바로 이동해 문맥을 다시 확인할 수 있습니다.
출처 아카이브 열기아카이브된 블로그 글
치과의원 · ✅ 앞니에 대한 장인정신. Since 2016. 2D치과 ✅
반대교합으로 물리는 치아를 바른 교합으로 교정하기! by.투디치과(2D치과) 안녕하세요! 우디에요 : ) 오늘은 아침부터 흐린 날씨에 일어나기 힘든 날이었어요ㅠ 날씨가 흐리니 하루 종일 축 처지고 힘든 느낌이에요ㅜ 이웃님들은 오늘 어떤 하루를 보내셨나요? 오늘은 오랜만에 투디치과(2D치과)...
게시일
2020년 3월 17일
원문 기준으로 확인된 발행일입니다.
카테고리
치아교정
원문 블로그 카테고리를 정리해 함께 표시합니다.
이미지 수
18
현재 아카이브에 연결된 이미지 수입니다.
아카이브 요약
2D치과의원의 네이버 블로그 원문을 보존한 아카이브 페이지입니다. 치아교정 카테고리의 반대교합으로 물리는 치아를 바른 교합으로 교정하기! by.투디치과(2D치과) 글을 통해 병원의 한국어 정보 제공 방식과 진료 관련 안내 톤을 확인할 수 있습니다.
원문 검증
필요하면 원문 블로그와 병원 프로필로 바로 이동해 문맥을 다시 확인할 수 있습니다.
출처 아카이브 열기
반대교합으로 물리는 치아를 바른 교합으로 교정하기! by.투디치과(2D치과)
안녕하세요! 우디에요 : )
오늘은 아침부터 흐린 날씨에
일어나기 힘든 날이었어요ㅠ
날씨가 흐리니
하루 종일 축 처지고
힘든 느낌이에요ㅜ
이웃님들은 오늘
어떤 하루를 보내셨나요?
오늘은 오랜만에
투디치과(2D치과)에
내원해 주신 환자분의
교정 후기를 준비했는데요!
거꾸로 물리는 측절치를
정상적인 교합으로
교정하고 싶어 하셨습니다.
입을 다물었을 때 거꾸로 물리는
앞니가 불편해요...
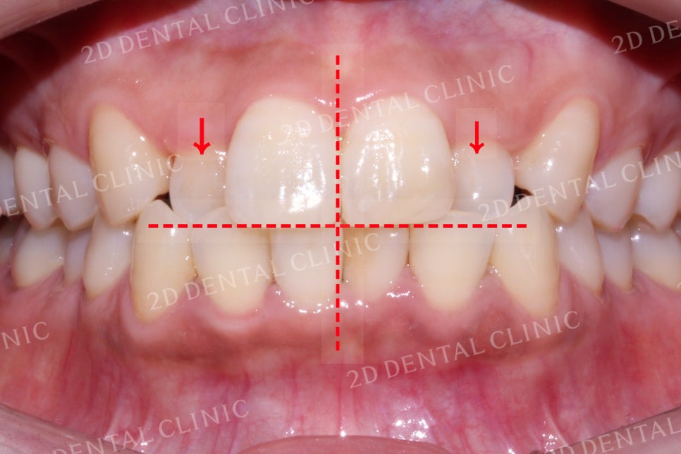
"반대교합 교정 전"
반대교합 교정 전
반대교합으로 물리는 치아를 바른 교합으로 교정하기! by.투디치과(2D치과)

반대교합으로 물리는 치아를 바른 교합으로 교정하기! by.투디치과(2D치과)
미소 시 전치부의 사진입니다.
상악의 치아들을 살펴보면
좌우의 측절치가 하악의
뒤쪽으로 물리고 있는데요,
정상적인 교합은 상악 전치부가
하악의 전치부를 살짝 덮는 정도로
물리는 것이 특징입니다.
그러나 이번 Case처럼
상하악의 치아가 거꾸로 교합된다면
'반대교합'에 해당한다고 볼 수 있습니다.
반대교합 교정 전
반대교합으로 물리는 치아를 바른 교합으로 교정하기! by.투디치과(2D치과)

반대교합으로 물리는 치아를 바른 교합으로 교정하기! by.투디치과(2D치과)
미소 시 전치부의 반측면 사진입니다.
거꾸로 물리는 '반대교합'이
22번 치아에서 두드러지게
나타나고 있습니다.
하악에서도 미세하게
크라우딩이 발견되고 있습니다.
*크라우딩이란? 치열이 고르지 못하고 삐뚤삐뚤한 상태를 말합니다.
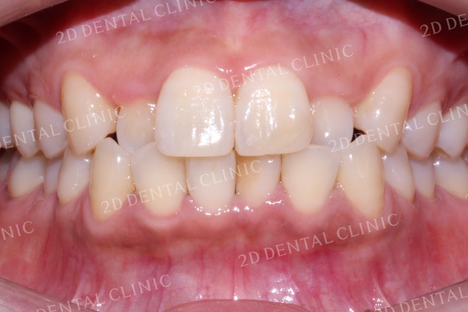
반대교합 교정 전
반대교합으로 물리는 치아를 바른 교합으로 교정하기! by.투디치과(2D치과)

반대교합으로 물리는 치아를 바른 교합으로 교정하기! by.투디치과(2D치과)
전치부 치아들을 더 자세하게 살펴보면
전체적으로 크라우딩이 발견되고 있고,
12번 치아와 22번 치아가 거꾸로 교합되는 상태입니다.
이러한 측절치의 교합을 바르게 교정하는 방향으로
교정 치료 계획을 세웠습니다.
이루어지지 않았을 시 배열 후 블랙트라이앵글이 생길 수 있습니다.
반대교합 교정 전
반대교합으로 물리는 치아를 바른 교합으로 교정하기! by.투디치과(2D치과)

반대교합으로 물리는 치아를 바른 교합으로 교정하기! by.투디치과(2D치과)
상악의 설측면 사진입니다.
위에서 말했던 것처럼
측절치가 설측면으로
과도하게 들어와 있는 모습입니다.
반대교합 교정 전
반대교합으로 물리는 치아를 바른 교합으로 교정하기! by.투디치과(2D치과)

반대교합으로 물리는 치아를 바른 교합으로 교정하기! by.투디치과(2D치과)
하악의 설측면 사진입니다.
전치부를 보시면
총생으로 인해 치열이
고르지 않고 삐뚤삐뚤한 모습인데요,
중절치가 틀어져 있기 때문에
정면에서 본다면 상악과 정중선이
맞지 않을 수 있습니다.

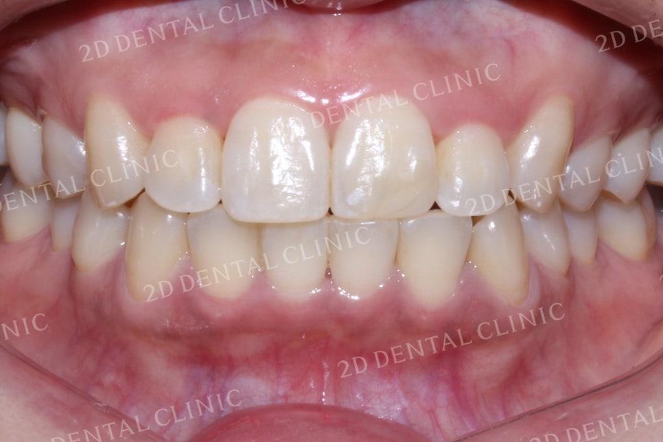
"반대교합 교정 후"
반대교합 교정 후
반대교합으로 물리는 치아를 바른 교합으로 교정하기! by.투디치과(2D치과)
<Before> <After>


반대교합으로 물리는 치아를 바른 교합으로 교정하기! by.투디치과(2D치과)
미소 시 치아의 상태를 보시면
전치부의 치아들이 삐뚤삐뚤하고
상악 측절치가 반대로 물리고 있었습니다.
교정 후 삐뚤삐뚤하던 치아의 크라우딩이
많이 사라졌고, 상하악의 정중선도
가지런하게 맞춰졌습니다.
또한 반대로 물리고 있었던
측절치가 정상적인 교합으로 바뀌며
바른 교합 상태를 갖추게 되었습니다.
반대교합 교정 후
반대교합으로 물리는 치아를 바른 교합으로 교정하기! by.투디치과(2D치과)
<Before> <After>


반대교합으로 물리는 치아를 바른 교합으로 교정하기! by.투디치과(2D치과)
미소 시 반측면 치아의 모습입니다.
블랙트라이앵글이 발생할 가능성이 있었던
측절치의 반대교합이 치조골의 정상적인
성장으로 가지런하게 채워진 모양입니다
반대교합 교정 후
반대교합으로 물리는 치아를 바른 교합으로 교정하기! by.투디치과(2D치과)
<Before> <After>


반대교합으로 물리는 치아를 바른 교합으로 교정하기! by.투디치과(2D치과)
전치부 치아의 교합 역시
측절치가 반대로 물리던 교정 전과 달리
교정 후 바른 교합 상태로 교정되었습니다.
또한 들쭉날쭉했었던
하악의 전치부 치아들도
가지런한 모습으로 바뀌었습니다.
반대교합 교정 후
반대교합으로 물리는 치아를 바른 교합으로 교정하기! by.투디치과(2D치과)
<Before> <After>


반대교합으로 물리는 치아를 바른 교합으로 교정하기! by.투디치과(2D치과)
상악의 설측면에서 명확하게 느껴졌던
측절치의 경사가 교정 후 정상 경사로
바뀐 모습입니다.
반대교합 역시 치열이
가지런하게 바뀌면서
올바른 교합 상태로 바뀌었네요!
반대교합 교정 후
반대교합으로 물리는 치아를 바른 교합으로 교정하기! by.투디치과(2D치과)
<Before> <After>


반대교합으로 물리는 치아를 바른 교합으로 교정하기! by.투디치과(2D치과)
하악의 설측면 또한 크라우딩으로
들쭉날쭉하게 배열되었던
전치부의 치아들이
가지런하게 재배열되면서
틀어져 있던 정중선도
바르게 교정된 모습입니다.

-일요일에도 교정하는 투디 치과입니다-