아카이브 요약
이 페이지의 역할
2D치과의원의 네이버 블로그 원문을 보존한 아카이브 페이지입니다. 투디_정보 카테고리의 치아변색, 까맣게 변한 변색치를 블링스(Blinx)로 수복하기! by. 투디치과(2D치과) 글을 통해 병원의 한국어 정보 제공 방식과 진료 관련 안내 톤을 확인할 수 있습니다.
원문 검증
필요하면 원문 블로그와 병원 프로필로 바로 이동해 문맥을 다시 확인할 수 있습니다.
출처 아카이브 열기아카이브된 블로그 글
치과의원 · ✅ 앞니에 대한 장인정신. Since 2016. 2D치과 ✅
치아변색, 까맣게 변한 변색치를 블링스(Blinx)로 수복하기! by. 투디치과(2D치과) 안녕하세요! 오늘도 치아에 관한 유익한 소식으로 찾아온 투디치과(2D치과) 우디입니다 : D 오늘은 치아의 변색으로 인해 블링스 시술을 받으신 환자분의 블링스(Blinx)시술 후기 포스팅을 준비했는데요! 치아가 까맣게...
게시일
2020년 3월 24일
원문 기준으로 확인된 발행일입니다.
카테고리
투디_정보
원문 블로그 카테고리를 정리해 함께 표시합니다.
이미지 수
17
현재 아카이브에 연결된 이미지 수입니다.
아카이브 요약
2D치과의원의 네이버 블로그 원문을 보존한 아카이브 페이지입니다. 투디_정보 카테고리의 치아변색, 까맣게 변한 변색치를 블링스(Blinx)로 수복하기! by. 투디치과(2D치과) 글을 통해 병원의 한국어 정보 제공 방식과 진료 관련 안내 톤을 확인할 수 있습니다.
원문 검증
필요하면 원문 블로그와 병원 프로필로 바로 이동해 문맥을 다시 확인할 수 있습니다.
출처 아카이브 열기
치아변색, 까맣게 변한 변색치를 블링스(Blinx)로 수복하기! by. 투디치과(2D치과)
안녕하세요!
오늘도 치아에 관한
유익한 소식으로 찾아온
투디치과(2D치과) 우디입니다 : D
오늘은 치아의 변색으로 인해
블링스 시술을 받으신 환자분의
블링스(Blinx)시술 후기 포스팅을
준비했는데요!
치아가 까맣게 변색되어
이를 드러낼 때마다 줄곧
신경이 쓰이셨다고 합니다ㅠ
치아가 변색되는 원인은
다양하게 존재합니다.
단순히 치아의 색상이 전체적으로
누런빛으로 착색되어 변색되는 경우나
치아 뿌리, 혹은 잇몸에 염증이 생겨
부분적으로 색상이 변하는 경우가 있습니다.
오늘 환자분께서는 치근에 생긴 염증의 영향으로
뿌리 신경이 일부 손상되어
치아의 색상이 검게 변한 Case인데요.
블링스(Blinx)시술 전후 사진을 보시면서
변색치가 어떻게 바뀌었는지 알아보겠습니다.
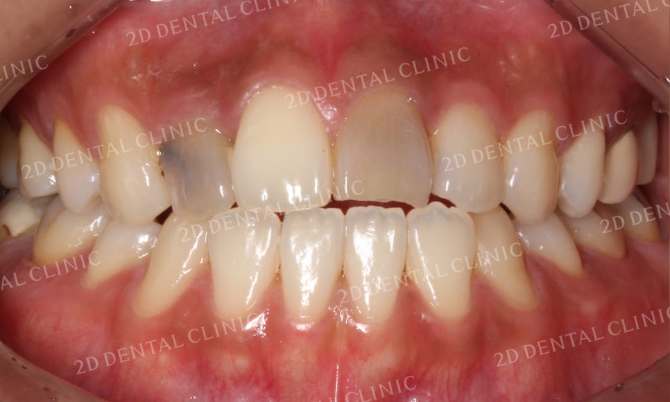
변색치 블링스(Blinx)시술 전
투디치과(2D치과)

치아변색, 까맣게 변한 변색치를 블링스(Blinx)로 수복하기! by. 투디치과(2D치과)
미소 시 전치부의 사진입니다.
사진을 보시면 상악 측절치(12번 치아)와
중절치(21번 치아)가 까맣게 변색된 모습이 보이는데요.
12번 치아의 경우 치근의 손상이 많이 진행되어
까만 부분이 짙어진 느낌입니다.
변색치 블링스(Blinx)시술 전
투디치과(2D치과)

치아변색, 까맣게 변한 변색치를 블링스(Blinx)로 수복하기! by. 투디치과(2D치과)
측면 사진을 보시면 측절치의
손상 정도를 확인할 수 있습니다.
안쪽의 뿌리까지 염증이 타고 올라
변색된 부분이 비치고 있는 모습입니다.
변색치 블링스(Blinx)시술 전
투디치과(2D치과)

치아변색, 까맣게 변한 변색치를 블링스(Blinx)로 수복하기! by. 투디치과(2D치과)
중절치의 경우 측절치보다
정도는 심하지 않지만
치근의 손상이 어느 정도 진행된
모습이 확인되고 있습니다.
음식물로 인한 치아의 착색과는 다르게
치근 손상으로 인한 변색치는
치아의 전체적인 색감이 변하기보단
치아의 일부만 검은색에 가깝게
변하는 것이 특징입니다.
변색치 블링스(Blinx)시술 전
투디치과(2D치과)

치아변색, 까맣게 변한 변색치를 블링스(Blinx)로 수복하기! by. 투디치과(2D치과)
상악을 자세히 보시면
일반적인 착색 치아와 다른
양상을 보인다는 것이 확인됩니다.
변색치의 경우
잇몸과 치근에서부터 변색이 시작되어
절단연 방향으로 번지는 모양새입니다.
투디치과의 블링스 시술은
투디치과의 블링스(Blinx)시술은
40가지 이상의 컬러와 10단계 공정을
100시간에 걸쳐 수작업으로 제작하는
심미보철 시술입니다.
치면의 요철이나 절단연의 굴곡으로
심미보철 치료를 희망하시는 경우
자연스러운 색감과 형태로
마치 교정치료를 한 것 같은 효과를
낼 수 있습니다.
변색치 블링스(Blinx)시술 후
투디치과(2D치과)
<블링스 시술 전> <블링스 시술 후>


치아변색, 까맣게 변한 변색치를 블링스(Blinx)로 수복하기! by. 투디치과(2D치과)
미소 시 전치부의 모습입니다.
측절치와 중절치의 변색이
많이 진행되었던 시술 전 모습에서
블링스 시술 후 같은 색상의 치아로
바뀐 모습입니다.
변색치 블링스(Blinx)시술 후
투디치과(2D치과)
<블링스 시술 전> <블링스 시술 후>


치아변색, 까맣게 변한 변색치를 블링스(Blinx)로 수복하기! by. 투디치과(2D치과)
치아 교합 시 전치부의 모습입니다.
절단연이 울퉁불퉁하고
미세하게 개방교합 증상이 발견되었던
시술 전과 비교하여 블링스 시술 후
절단연이 고르게 변한 모습이 확인됩니다.
변색치 블링스(Blinx)시술 후
투디치과(2D치과)
<블링스 시술 전> <블링스 시술 후>


치아변색, 까맣게 변한 변색치를 블링스(Blinx)로 수복하기! by. 투디치과(2D치과)
치아 개방 시 모습에서도
중절치가 약간 짧아 보였던 시술 전 모습에서
시술 후 중절치를 비롯한 전치부 치아들의
크기가 비슷하게 바뀐 모습이네요!
변색치 블링스(Blinx)시술 후
투디치과(2D치과)
<블링스 시술 전> <블링스 시술 후>


치아변색, 까맣게 변한 변색치를 블링스(Blinx)로 수복하기! by. 투디치과(2D치과)
전체적으로 누런 잿빛을 띠던
21번 치아의 시술 전후 사진입니다.
하악을 덮지 못하는 길이로 맹출 되었던
시술 전 치아의 모습에서
블링스 시술 후 11번 중절치와
같은 크기로 수복된 모습이 보입니다.
변색치 블링스(Blinx)시술 후
투디치과(2D치과)
<블링스 시술 전> <블링스 시술 후>


치아변색, 까맣게 변한 변색치를 블링스(Blinx)로 수복하기! by. 투디치과(2D치과)
치근의 손상이 심했던
12번 치아 또한 블링스 시술을 통해
원래의 치아색을 찾을 수 있었습니다.
삐뚤어진 치아의 방향과 작아 보이던
치아의 크기도 블링스 부착 후
정상적인 형태로 바뀐 모습이네요!
변색치 블링스(Blinx)시술 후
투디치과(2D치과)
<블링스 시술 전> <블링스 시술 후>


치아변색, 까맣게 변한 변색치를 블링스(Blinx)로 수복하기! by. 투디치과(2D치과)
마지막으로 시술 전후의 차이를
한눈에 볼 수 있는 상악 전치부 사진입니다.
까맣게 변색되었던 치아들이
원래의 자연치처럼 밝고 투명한 색감으로
바뀐 모습입니다.