아카이브 요약
이 페이지의 역할
2D치과의원의 네이버 블로그 원문을 보존한 아카이브 페이지입니다. 치아교정 카테고리의 돌출앞니 교정, 튀어나온 입을 넣어보자! by.투디치과(2D치과) 글을 통해 병원의 한국어 정보 제공 방식과 진료 관련 안내 톤을 확인할 수 있습니다.
원문 검증
필요하면 원문 블로그와 병원 프로필로 바로 이동해 문맥을 다시 확인할 수 있습니다.
출처 아카이브 열기아카이브된 블로그 글
치과의원 · ✅ 앞니에 대한 장인정신. Since 2016. 2D치과 ✅
돌출앞니 교정, 튀어나온 입을 넣어보자! by.투디치과(2D치과) 안녕하세요! 우디에요~ 비가 온 후 맑게 개인 하늘이 너무 예쁜 오늘 오랜만에 교정후기 소식을 준비했습니다! 오늘 소개해드릴 Case는 심한 크라우딩과 함께 돌출된 구강을 가진 Caae인데요, 측면에서 봤을 때 심하게 튀어나온 치아...
게시일
2020년 3월 27일
원문 기준으로 확인된 발행일입니다.
카테고리
치아교정
원문 블로그 카테고리를 정리해 함께 표시합니다.
이미지 수
30
현재 아카이브에 연결된 이미지 수입니다.
아카이브 요약
2D치과의원의 네이버 블로그 원문을 보존한 아카이브 페이지입니다. 치아교정 카테고리의 돌출앞니 교정, 튀어나온 입을 넣어보자! by.투디치과(2D치과) 글을 통해 병원의 한국어 정보 제공 방식과 진료 관련 안내 톤을 확인할 수 있습니다.
원문 검증
필요하면 원문 블로그와 병원 프로필로 바로 이동해 문맥을 다시 확인할 수 있습니다.
출처 아카이브 열기
돌출앞니 교정, 튀어나온 입을 넣어보자! by.투디치과(2D치과)
안녕하세요! 우디에요~
비가 온 후 맑게
개인 하늘이 너무 예쁜 오늘
오랜만에 교정후기 소식을
준비했습니다!
오늘 소개해드릴 Case는
심한 크라우딩과 함께
돌출된 구강을 가진 Caae인데요,
측면에서 봤을 때 심하게 튀어나온
치아들이 많이 거슬리는 상태입니다.
또한 상악의 과도한 성장과
하악의 미약한 성장으로
하악의 전치부 치아들이
입천장 쪽으로 정출된 상태였습니다.
치아가 전체적으로 삐뚤거림이
심한 상태이고, 치아 교합 시
아래턱의 근육이 긴장되는 상태입니다.
"돌출앞니 교정 전"
돌출앞니 전체교정 전
돌출앞니 교정, 튀어나온 입을 넣어보자! by.투디치과(2D치과)

돌출앞니 교정, 튀어나온 입을 넣어보자! by.투디치과(2D치과)
입을 다물었을 때 보이는
입술과 턱의 모습입니다.
돌출된 구강 구조로 인해
입을 다물 때 턱에 과도한 힘이 들어가고
그로 인해 입술에서 긴장감이 느껴지고 있습니다.
또한 아랫입술을 끌어당겨 입을 닫는
습관으로 인해 아랫입술에서 돌출감이 느껴집니다.

돌출앞니 교정, 튀어나온 입을 넣어보자! by.투디치과(2D치과)
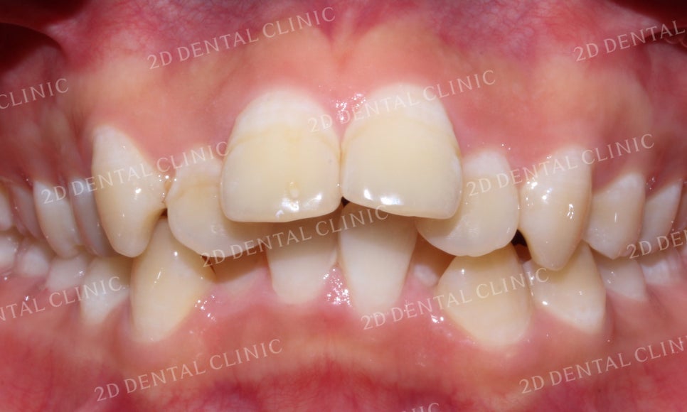
미소 시 전치부의 치아들을 보시면
전치부의 각도가 과도하게 뻐드러져 있고
중절치가 돌출된 상태입니다.
또한 전체적인 치열이 총생으로 인해
삐뚤삐뚤하게 배열된 상태입니다.

돌출앞니 교정, 튀어나온 입을 넣어보자! by.투디치과(2D치과)
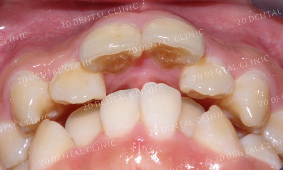
전치부 치아를 자세히 살펴보면
상악의 중절치가 돌출되어 있는 상태입니다.
상악의 돌출된 중절치의 뒤쪽으로 측절치가
파고들어 맹출 된 상태로 교정 후 치열이
고르게 바뀌면서 치간이개로 인한
블랙트라이앵글이 발생할 수 있습니다.
하악의 전치부 역시 크라우딩이 심한 상태로
교정 후 블랙트라이앵글 발생 가능성이 높습니다.

돌출앞니 교정, 튀어나온 입을 넣어보자! by.투디치과(2D치과)
치아 교합 시 절단연의 모습입니다.
상악 전치부가 삐뚤삐뚤하게 배열된 상태로
치아의 절단연 역시 삐뚤거림이 심한 상태입니다.

돌출앞니 교정, 튀어나온 입을 넣어보자! by.투디치과(2D치과)
전치부의 측면 사진을 보시면
중절치가 돌출된 모습입니다.
전치부의 각도가 과도하게 전방으로
뻐드러져 있기 때문에 미약하게 성장한
하악이 상대적으로 더 작아 보이는 경향이 있습니다.

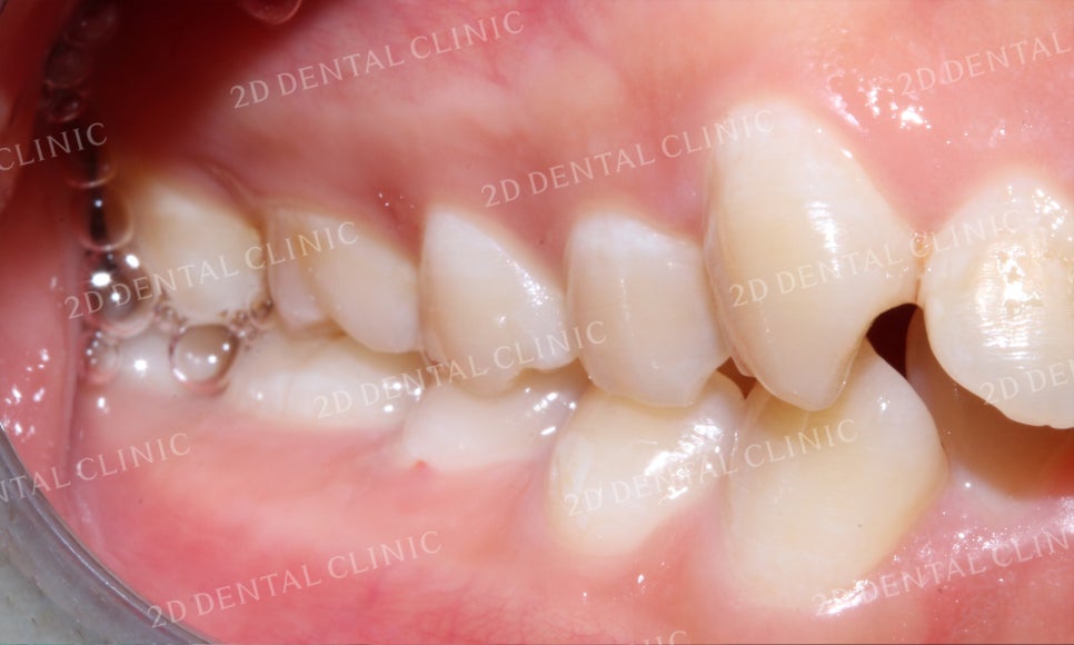
돌출앞니 교정, 튀어나온 입을 넣어보자! by.투디치과(2D치과)
좌측 구치부의 교합 시 모습입니다.
발달한 상악과 미약한 하악의
교합으로 하악이 과도하게
물리는 것을 확인할 수 있습니다.

돌출앞니 교정, 튀어나온 입을 넣어보자! by.투디치과(2D치과)
우측 구치부 역시 좌측과 같은 상태로
상하악 교합이 깊게 물리는 모습입니다.

돌출앞니 교정, 튀어나온 입을 넣어보자! by.투디치과(2D치과)
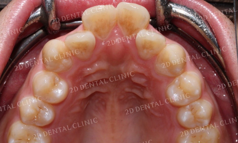
상악의 설측면 사진입니다.
발달된 구강의 구조가
전치로 가면 갈수록 좁아지는
V-Shape을 띠고 있습니다.

돌출앞니 교정, 튀어나온 입을 넣어보자! by.투디치과(2D치과)
하악의 설측면에서 본 사진은
전치부의 치아들이 구강 내 좁은 공간으로 인해
총생이 심하게 발생한 모습입니다.
이렇게 악궁의 공간이 부족한 경우
치아가 충분히 배열될 수 있도록
악궁을 넓혀주어야 합니다.

"돌출앞니 교정 후"
돌출앞니 전체교정 후
돌출앞니 교정, 튀어나온 입을 넣어보자! by.투디치과(2D치과)
<Before> <After>


교정 전 입술에서 돌출감이 느껴지던 모습과 달리
교정 후 튀어나온 느낌이 많이 사라진 모습입니다.
또한 턱과 아랫입술에 힘을 주어 입을 다물었던
교정 전의 모습에서 교정 후 턱 근육의 긴장이
크게 이완된 모습입니다.
돌출앞니 전체교정 후
돌출앞니 교정, 튀어나온 입을 넣어보자! by.투디치과(2D치과)
<Before> <After>


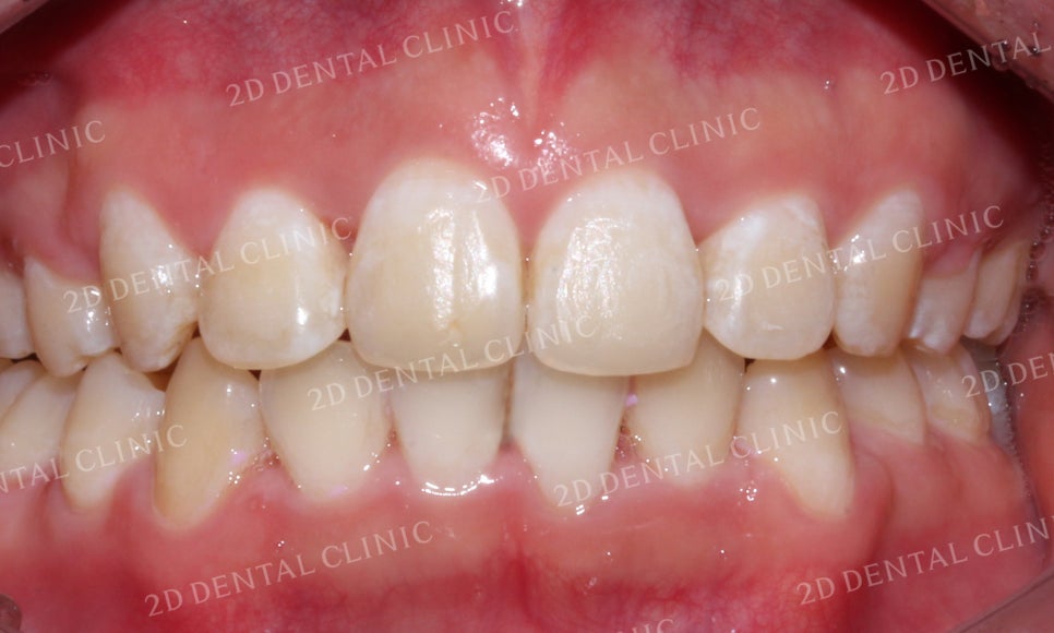
미소 시 전치부의 모습을 보시면
교정 전 전치부의 크라우딩으로 인해
심하게 삐뚤거리던 치아들이
교정 후 가지런하게 배열된 모습입니다.
돌출앞니 전체교정 후
돌출앞니 교정, 튀어나온 입을 넣어보자! by.투디치과(2D치과)
<Before> <After>


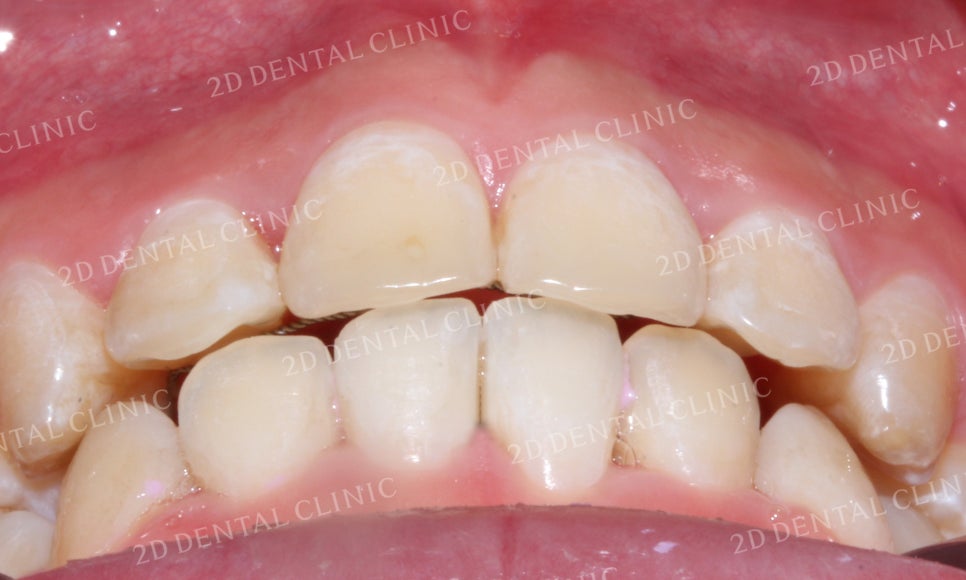
전치부 치아의 모습을 보시면
돌출된 중절치 뒤로 맹출 되어 있던
측절치가 교정 후 고르게 바뀐 모습입니다.
삐뚤거림이 심하던 하악의 전치부 또한
가지런하게 배열된 모습입니다.
돌출앞니 전체교정 후
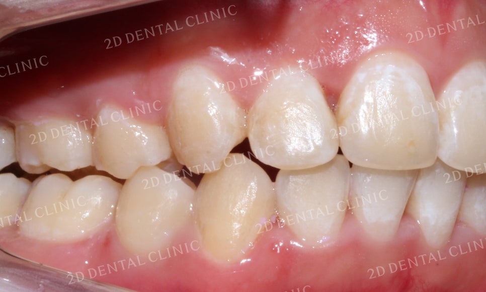
돌출앞니 교정, 튀어나온 입을 넣어보자! by.투디치과(2D치과)
<Before> <After>


교합 시 절단연의 모습을 보시면
앞뒤로 심하게 어긋나 있던 치아들이
가지런하게 배열되면서
삐뚤삐뚤하던 절단연이 가지런한
곡선을 띠게 된 모습입니다.
돌출앞니 전체교정 후
돌출앞니 교정, 튀어나온 입을 넣어보자! by.투디치과(2D치과)
<Before> <After>


돌출감이 심하게 느껴졌던
전치부의 측면 사진에서는
전방으로 뻐드러진 중절치가 정상 각도로
들어가게 되면서 하악과의 교합도
정상적으로 바뀌게 되었습니다.
돌출앞니 전체교정 후
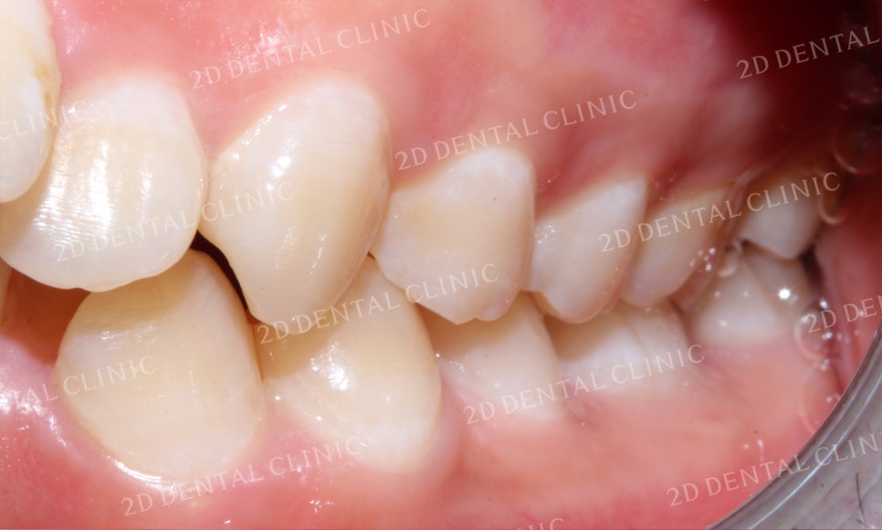
돌출앞니 교정, 튀어나온 입을 넣어보자! by.투디치과(2D치과)
<Before> <After>


우측 구치부의 교합을 보시면
상악의 과도한 성장으로
깊게 물리던 교합 상태가
교정 후 바른 교합상태로 바뀐 모습입니다.
상악과 하악의 대구치가
엇갈리게 물리게 됩니다.
돌출앞니 전체교정 후
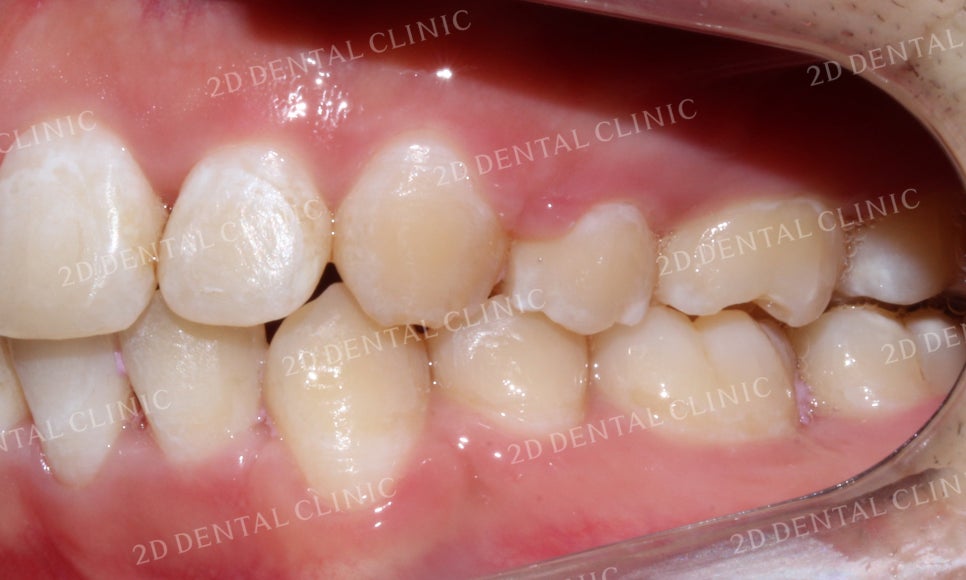
돌출앞니 교정, 튀어나온 입을 넣어보자! by.투디치과(2D치과)
<Before> <After>


좌측의 구치부 교합 역시
교정 전 상하악이 딱 맞게 맞물리는 상태에서
교정 후 정상적인 교합 상태로 바뀐 모습입니다.
돌출앞니 전체교정 후
돌출앞니 교정, 튀어나온 입을 넣어보자! by.투디치과(2D치과)
<Before> <After>


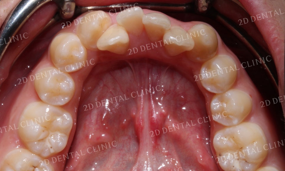
상악의 설측면을 보시면
중절치가 전방으로 뻐드러져
있었던 교정 전 모습에서
교정 후 중절치의 뻐드러짐 없이
고르게 바뀐 모습입니다.
또한 V-Shape으로 좁게 모여있던
악궁이 교정 후 U자 형태로 자연스럽게
확장된 모습입니다.
돌출앞니 전체교정 후
돌출앞니 교정, 튀어나온 입을 넣어보자! by.투디치과(2D치과)
<Before> <After>


하악의 전치부 사진입니다.
좁은 악궁으로 인해 크라우딩이 심했던
교정 전 모습과 달리 교정 후 삐뚤거림이 사라지고
가지런하게 배열된 모습입니다.
블랙트라이앵글이 발생할 수 있습니다.
