아카이브 요약
이 페이지의 역할
2D치과의원의 네이버 블로그 원문을 보존한 아카이브 페이지입니다. 치아교정 카테고리의 [투디교정] 부정교합 앞니교정을 투디교정으로 고르게! by.투디치과(2D치과) 글을 통해 병원의 한국어 정보 제공 방식과 진료 관련 안내 톤을 확인할 수 있습니다.
원문 검증
필요하면 원문 블로그와 병원 프로필로 바로 이동해 문맥을 다시 확인할 수 있습니다.
출처 아카이브 열기아카이브된 블로그 글
치과의원 · ✅ 앞니에 대한 장인정신. Since 2016. 2D치과 ✅
[투디교정] 부정교합 앞니교정을 투디교정으로 고르게! by.투디치과(2D치과) 안녕하세요! 우디입니다 : ) 오늘은 오랜만에 투디치과에서 교정치료를 진행하신 환자분의 교정 후기 포스팅을 준비했습니다~ 이번 Case는 부정교합으로 인한 치아 교정 후기인데요, 치아 교정 전 환자분께서는 과개교합...
게시일
2020년 4월 2일
원문 기준으로 확인된 발행일입니다.
카테고리
치아교정
원문 블로그 카테고리를 정리해 함께 표시합니다.
이미지 수
17
현재 아카이브에 연결된 이미지 수입니다.
아카이브 요약
2D치과의원의 네이버 블로그 원문을 보존한 아카이브 페이지입니다. 치아교정 카테고리의 [투디교정] 부정교합 앞니교정을 투디교정으로 고르게! by.투디치과(2D치과) 글을 통해 병원의 한국어 정보 제공 방식과 진료 관련 안내 톤을 확인할 수 있습니다.
원문 검증
필요하면 원문 블로그와 병원 프로필로 바로 이동해 문맥을 다시 확인할 수 있습니다.
출처 아카이브 열기![[투디교정] 부정교합 앞니교정을 투디교정으로 고르게! by.투디치과(2D치과) 관련 이미지 1](https://pub-9f2bb3498faf4d1d8714b41df24753e3.r2.dev/content/clinics/archive/grb36g4zmx/naver_blog/dental2d/assets/by_hash/c732a4293e746ba3a03d97ff7e853acedd07e7559406513d1b336e92cce9885c.jpg)
[투디교정] 부정교합 앞니교정을 투디교정으로 고르게! by.투디치과(2D치과)
안녕하세요! 우디입니다 : )
오늘은 오랜만에 투디치과에서
교정치료를 진행하신 환자분의
교정 후기 포스팅을 준비했습니다~
이번 Case는 부정교합으로 인한
치아 교정 후기인데요,
치아 교정 전 환자분께서는
과개교합 증상
상하악 전치부 크라우딩
상악 왼쪽 중절치 회전
상하악 전치부 크기 부조화
하악 오른쪽 제2소구치 설측경사
등의 문제들을 가지고 계셨습니다.
따라서 이러한 치아 문제들을 해결하기 위한
교정치료 계획을 정밀진단 후 진행하였습니다.
"부정교합 교정 전"
부정교합 투디교정 전
투디치과(2D치과)
![[투디교정] 부정교합 앞니교정을 투디교정으로 고르게! by.투디치과(2D치과) 관련 이미지 2](https://pub-9f2bb3498faf4d1d8714b41df24753e3.r2.dev/content/clinics/archive/grb36g4zmx/naver_blog/dental2d/assets/by_hash/5fb777414ed6356cc7d6d39c9d3496e64cd6954fbc34d3ba81affba97084806c.jpg)
[투디교정] 부정교합 앞니교정을 투디교정으로 고르게! by.투디치과(2D치과)
부정교합 교정 전 입술의 모습입니다.
치아교합 시 전치부 크기의 부조화 때문에
입술에서 돌출감이 느껴지고 있습니다.
![[투디교정] 부정교합 앞니교정을 투디교정으로 고르게! by.투디치과(2D치과) 관련 이미지 3](https://pub-9f2bb3498faf4d1d8714b41df24753e3.r2.dev/content/clinics/archive/grb36g4zmx/naver_blog/dental2d/assets/by_hash/a841a91d6a42b8ac6db492112596faad82c4877b782277b8d0f043939121608b.jpg)
[투디교정] 부정교합 앞니교정을 투디교정으로 고르게! by.투디치과(2D치과)
미소 시 전치부의 모습을 보면
삐뚤삐뚤하게 크라우딩이 발견되고,
상악 중절치에서 회전이 있는 모습입니다.
또한 전치부 교합 상태를 보시면
상악이 하악을 과도하게 덮는
과개교합 증상이 확인됩니다.
![[투디교정] 부정교합 앞니교정을 투디교정으로 고르게! by.투디치과(2D치과) 관련 이미지 4](https://pub-9f2bb3498faf4d1d8714b41df24753e3.r2.dev/content/clinics/archive/grb36g4zmx/naver_blog/dental2d/assets/by_hash/5045433b91c134462af9e4d4a0257f85d4c50ddba537716814a6859497e619e1.jpg)
[투디교정] 부정교합 앞니교정을 투디교정으로 고르게! by.투디치과(2D치과)
미소 시 전치부 측면의 사진을 보시면
상악과 하악의 크기가 조화롭지 못한 모습인데요.
과도하게 성장한 상악이 미약하게 자란 하악과
크기가 맞지 않아 부정교합 증상을 보이고 있습니다.
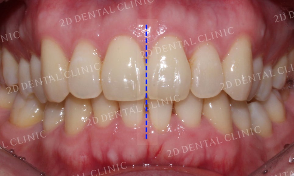
![[투디교정] 부정교합 앞니교정을 투디교정으로 고르게! by.투디치과(2D치과) 관련 이미지 5](https://pub-9f2bb3498faf4d1d8714b41df24753e3.r2.dev/content/clinics/archive/grb36g4zmx/naver_blog/dental2d/assets/by_hash/aa9b89c676db41036924328bfa4d210985ce18041c2a25d7e54c53dbf1a92dc2.jpg)
[투디교정] 부정교합 앞니교정을 투디교정으로 고르게! by.투디치과(2D치과)
전치부을 자세히 보면
치아의 배열이 고르지 못하고
들쭉날쭉한 모습입니다.
또한 상하악 치아의 정중선이 맞지 않고
틀어져 있는 것이 확인됩니다.
![[투디교정] 부정교합 앞니교정을 투디교정으로 고르게! by.투디치과(2D치과) 관련 이미지 6](https://pub-9f2bb3498faf4d1d8714b41df24753e3.r2.dev/content/clinics/archive/grb36g4zmx/naver_blog/dental2d/assets/by_hash/310a571f9285aff82f07368761584b585d9c3d609844d6d92b3b5f4bb15249b9.jpg)
[투디교정] 부정교합 앞니교정을 투디교정으로 고르게! by.투디치과(2D치과)
상악의 설측면을 보시면
전치부 치아의 총생을
확실하게 확인할 수 있는데요,
21번 치아가 회전되어 있어
전치부 치열을 더 삐뚤게 만드는 모습입니다.
"부정교합 교정 후"
부정교합 투디교정 전
투디치과(2D치과)
<Before> <After>
![[투디교정] 부정교합 앞니교정을 투디교정으로 고르게! by.투디치과(2D치과) 관련 이미지 7](https://pub-9f2bb3498faf4d1d8714b41df24753e3.r2.dev/content/clinics/archive/grb36g4zmx/naver_blog/dental2d/assets/by_hash/5fb777414ed6356cc7d6d39c9d3496e64cd6954fbc34d3ba81affba97084806c.jpg)
![[투디교정] 부정교합 앞니교정을 투디교정으로 고르게! by.투디치과(2D치과) 관련 이미지 8](https://pub-9f2bb3498faf4d1d8714b41df24753e3.r2.dev/content/clinics/archive/grb36g4zmx/naver_blog/dental2d/assets/by_hash/ed652ddee46b2966c5f3505916e409c91e25dc10067a6375a2b8cd62012797fd.jpg)
[투디교정] 부정교합 앞니교정을 투디교정으로 고르게! by.투디치과(2D치과)
치아 교합 시 입술의 모습입니다.
교정 전 전치부의 총생으로 인해
미세하게 튀어나와 보이던 입술이
교정 후 돌출감 없이 교정된 모습입니다.
아랫입술에서 느껴지던 근육의
긴장감도 크게 완화된 모습이네요!
부정교합 투디교정 전
투디치과(2D치과)
<Before> <After>
![[투디교정] 부정교합 앞니교정을 투디교정으로 고르게! by.투디치과(2D치과) 관련 이미지 9](https://pub-9f2bb3498faf4d1d8714b41df24753e3.r2.dev/content/clinics/archive/grb36g4zmx/naver_blog/dental2d/assets/by_hash/f02d62910b048002b663faeb5fe521efae1fd49728a0d7afab5f912401d83533.jpg)
![[투디교정] 부정교합 앞니교정을 투디교정으로 고르게! by.투디치과(2D치과) 관련 이미지 10](https://pub-9f2bb3498faf4d1d8714b41df24753e3.r2.dev/content/clinics/archive/grb36g4zmx/naver_blog/dental2d/assets/by_hash/a6e3912fb59f455aedeeefb696ab065b4bdca5dfcc36cf980d1105fd95bbc718.jpg)
[투디교정] 부정교합 앞니교정을 투디교정으로 고르게! by.투디치과(2D치과)
미소 시 전치부의 모습입니다.
교정 전 전치부의 총생으로
삐뚤삐뚤하게 보이던 절단연이
고르게 바뀌었고,
과도하게 하악을 덮던 치아의 교합 상태도
정상적인 교합으로 바뀐 모습입니다.
부정교합 투디교정 전
투디치과(2D치과)
<Before> <After>
![[투디교정] 부정교합 앞니교정을 투디교정으로 고르게! by.투디치과(2D치과) 관련 이미지 11](https://pub-9f2bb3498faf4d1d8714b41df24753e3.r2.dev/content/clinics/archive/grb36g4zmx/naver_blog/dental2d/assets/by_hash/5045433b91c134462af9e4d4a0257f85d4c50ddba537716814a6859497e619e1.jpg)
![[투디교정] 부정교합 앞니교정을 투디교정으로 고르게! by.투디치과(2D치과) 관련 이미지 12](https://pub-9f2bb3498faf4d1d8714b41df24753e3.r2.dev/content/clinics/archive/grb36g4zmx/naver_blog/dental2d/assets/by_hash/f61ca1cac6990688c81943d33b5da85da81f3fd63c1422ec5dc1864d874ff567.jpg)
[투디교정] 부정교합 앞니교정을 투디교정으로 고르게! by.투디치과(2D치과)
미소 시 전치부 측면의 모습입니다.
상하악의 크기 부조화로 인해
전방으로 돌출되어 있던 상악 전치부가
돌출감 없이 교정된 모습입니다.
전치부 치열도 가지런하게 바뀐 모습이네요!
부정교합 투디교정 전
투디치과(2D치과)
<Before> <After>
![[투디교정] 부정교합 앞니교정을 투디교정으로 고르게! by.투디치과(2D치과) 관련 이미지 13](https://pub-9f2bb3498faf4d1d8714b41df24753e3.r2.dev/content/clinics/archive/grb36g4zmx/naver_blog/dental2d/assets/by_hash/251af7aed5426d3dcc3888b26cc40d5276b1bc2e05065792822bf7833b1150ab.jpg)
![[투디교정] 부정교합 앞니교정을 투디교정으로 고르게! by.투디치과(2D치과) 관련 이미지 14](https://pub-9f2bb3498faf4d1d8714b41df24753e3.r2.dev/content/clinics/archive/grb36g4zmx/naver_blog/dental2d/assets/by_hash/428da423c21785de0465fcab74c9b09c4164e0c2c4f2ac4e012aebed5785d22e.jpg)
[투디교정] 부정교합 앞니교정을 투디교정으로 고르게! by.투디치과(2D치과)
전치부의 치아를 자세히 살펴보면
크라우딩으로 인해 들쭉날쭉하던 치열이
고르게 교정된 모습이고, 미세하게 틀어져 있던
상하악의 정중선 또한 잘 맞춰진 모습입니다.
교정되면서 교정 전 발견되었던
블랙트라이앵글이 악화될 수 있으니
교정치료 후 심미보철치료를 통해
치아를 수복하는 것이 좋습니다.
부정교합 투디교정 전
투디치과(2D치과)
<Before> <After>
![[투디교정] 부정교합 앞니교정을 투디교정으로 고르게! by.투디치과(2D치과) 관련 이미지 15](https://pub-9f2bb3498faf4d1d8714b41df24753e3.r2.dev/content/clinics/archive/grb36g4zmx/naver_blog/dental2d/assets/by_hash/b75f023b0ff8ef85df9efdcb0f6334eead21d14d0e550d47c814532b5d38f15f.jpg)
![[투디교정] 부정교합 앞니교정을 투디교정으로 고르게! by.투디치과(2D치과) 관련 이미지 16](https://pub-9f2bb3498faf4d1d8714b41df24753e3.r2.dev/content/clinics/archive/grb36g4zmx/naver_blog/dental2d/assets/by_hash/1d44a8e9667814bd159758c7e8180ffe85b655eebef815de22bf9067535ec054.jpg)
[투디교정] 부정교합 앞니교정을 투디교정으로 고르게! by.투디치과(2D치과)
상악의 설측면을 보시면
21번 치아에서 발견되었던
치아의 회전이 가지런하게 바뀐 모습입니다.
또한 삐뚤삐뚤하던 전치부 치열도
부드러운 곡선 형태로 고르게
교정된 것을 확인할 수 있습니다.
이번 부정교합Case의 환자분께서는
교정기간이 약 13개월 소요되셨으며
투디교정을 통해 치아 안쪽에
브라켓을 부착하여 교정을 진행하였습니다.
투디교정의 경우 설측에 브라켓이 부착되기 때문에
교정장치의 노출을 꺼리시거나 미관상 문제 등으로
교정을 고민하시는 환자분들께 적합한 교정 방식입니다.
환자분들께서는 치과 방문 후 정밀진단을 통해
자신에게 적합한 치료방식을 선택하시어
교정을 진행하시기 바랍니다.
![[투디교정] 부정교합 앞니교정을 투디교정으로 고르게! by.투디치과(2D치과) 관련 이미지 17](https://pub-9f2bb3498faf4d1d8714b41df24753e3.r2.dev/content/clinics/archive/grb36g4zmx/naver_blog/dental2d/assets/by_hash/06bd440e48f71a0de68c49abe113b7f04b15f5ba52046ccfb4434b5cc5b76ece.jpg)